Revision 5

#73617

Store at -20C

CST Logo
Orders:

877-616-CELL (2355)

[email protected]

Support:

877-678-TECH (8324)

3 Trask Lane | Danvers | Massachusetts | 01923 | USA

For Research Use Only. Not for Use in Diagnostic Procedures.

Applications:
W, IHC-P, IF-IC, FC-FP

Reactivity:
H

Sensitivity:
Endogenous

MW (kDa):
32

Source/Isotype:
Rabbit IgG

UniProt ID:
#Q08830

Entrez-Gene Id:
2267

Product Usage Information

Application Dilution
Western Blotting 1:1000
Immunohistochemistry (Paraffin) 1:200 - 1:400
Immunofluorescence (Immunocytochemistry) 1:200 - 1:800
Flow Cytometry (Fixed/Permeabilized) 1:100 - 1:400

Storage

Supplied in 10 mM sodium HEPES (pH 7.5), 150 mM NaCl, 100 µg/mL BSA, 50% glycerol, and less than 0.02% sodium azide. Store at –20°C. Do not aliquot the antibody.

For a carrier free (BSA and azide free) version of this product see product #94562.

Specificity/Sensitivity

FGL1 (E7C1Q) Rabbit Monoclonal Antibody recognizes endogenous levels of total FGL1 protein.

Source / Purification

Monoclonal antibody is produced by immunizing animals with recombinant human FGL1 protein.

Background

FGL1 (fibrinogen-like protein 1, also known as hepassocin) is a secreted protein mainly expressed in liver and its expression is further enhanced following acute liver injury (1-3). FGL1 mice have multiple metabolic abnormalities and are more prone to develop hepatocellular carcinoma under certain experimental conditions, suggesting FGL1 has diverse functions in vivo (4,5). More recently, FGL1 was found to be highly expressed in human cancer cells and function as an inhibitory ligand for LAG3. Blockade of the FGL1-LAG3 interaction stimulates tumor immunity in mouse models. In addition, a high plasma FGL1 level in human cancer patients is associated with a poor prognosis and resistance to anti-PD-1/PD-L1 immunotherapy (6).

Species Reactivity

Species reactivity is determined by testing in at least one approved application (e.g., western blot).

Western Blot Buffer

IMPORTANT: For western blots, incubate membrane with diluted primary antibody in 5% w/v nonfat dry milk, 1X TBS, 0.1% Tween® 20 at 4°C with gentle shaking, overnight.

Applications Key

W: Western Blotting IHC-P: Immunohistochemistry (Paraffin) IF-IC: Immunofluorescence (Immunocytochemistry) FC-FP: Flow Cytometry (Fixed/Permeabilized)

Cross-Reactivity Key

H: Human

Trademarks and Patents

Cell Signaling Technology is a trademark of Cell Signaling Technology, Inc.

All other trademarks are the property of their respective owners. Visit cellsignal.com/trademarks for more information.

Limited Uses

Except as otherwise expressly agreed in a writing signed by a legally authorized representative of CST, the following terms apply to Products provided by CST, its affiliates or its distributors. Any Customer's terms and conditions that are in addition to, or different from, those contained herein, unless separately accepted in writing by a legally authorized representative of CST, are rejected and are of no force or effect.

Products are labeled with For Research Use Only or a similar labeling statement and have not been approved, cleared, or licensed by the FDA or other regulatory foreign or domestic entity, for any purpose. Customer shall not use any Product for any diagnostic or therapeutic purpose, or otherwise in any manner that conflicts with its labeling statement. Products sold or licensed by CST are provided for Customer as the end-user and solely for research and development uses. Any use of Product for diagnostic, prophylactic or therapeutic purposes, or any purchase of Product for resale (alone or as a component) or other commercial purpose, requires a separate license from CST. Customer shall (a) not sell, license, loan, donate or otherwise transfer or make available any Product to any third party, whether alone or in combination with other materials, or use the Products to manufacture any commercial products, (b) not copy, modify, reverse engineer, decompile, disassemble or otherwise attempt to discover the underlying structure or technology of the Products, or use the Products for the purpose of developing any products or services that would compete with CST products or services, (c) not alter or remove from the Products any trademarks, trade names, logos, patent or copyright notices or markings, (d) use the Products solely in accordance with CST Product Terms of Sale and any applicable documentation, and (e) comply with any license, terms of service or similar agreement with respect to any third party products or services used by Customer in connection with the Products.

Orders: 877-616-CELL (2355) [email protected] Support: 877-678-TECH (8324) [email protected] Web: cellsignal.com
For Research Use Only. Not for Use in Diagnostic Procedures.

Revision 5

Cell Signaling Technology Logo
Western blot analysis of extracts from various cell lines using FGL1 (E7C1Q) XP® Rabbit mAb (upper) or β-Actin (D6A8) Rabbit mAb #8457 (lower).
Western Blotting Image 1: FGL1 (E7C1Q) Rabbit Monoclonal Antibody
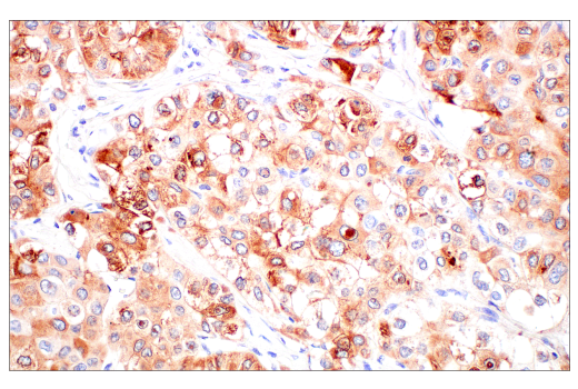
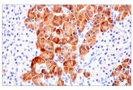
Immunohistochemical analysis of paraffin-embedded human hepatocellular carcinoma using FGL1 (E7C1Q) XP® Rabbit mAb.
Immunohistochemistry Image 1: FGL1 (E7C1Q) Rabbit Monoclonal Antibody
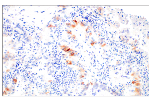
Immunohistochemical analysis of paraffin-embedded human papillary lung adenocarcinoma using FGL1 (E7C1Q) XP® Rabbit mAb.
Immunohistochemistry Image 2: FGL1 (E7C1Q) Rabbit Monoclonal Antibody
Orders: 877-616-CELL (2355) [email protected] Support: 877-678-TECH (8324) [email protected] Web: cellsignal.com
For Research Use Only. Not for Use in Diagnostic Procedures.

Revision 5

Cell Signaling Technology Logo
Immunohistochemical analysis of paraffin-embedded human hepatocellular carcinoma using FGL1 (E7C1Q) XP® Rabbit mAb.
Immunohistochemistry Image 3: FGL1 (E7C1Q) Rabbit Monoclonal Antibody
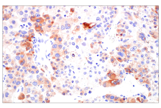
Immunohistochemical analysis of paraffin-embedded human prostate adenocarcinoma using FGL1 (E7C1Q) XP® Rabbit mAb.
Immunohistochemistry Image 4: FGL1 (E7C1Q) Rabbit Monoclonal Antibody
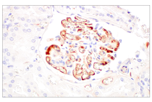
Immunohistochemical analysis of paraffin-embedded normal human kidney using FGL1 (E7C1Q) XP® Rabbit mAb.
Immunohistochemistry Image 5: FGL1 (E7C1Q) Rabbit Monoclonal Antibody
Orders: 877-616-CELL (2355) [email protected] Support: 877-678-TECH (8324) [email protected] Web: cellsignal.com
For Research Use Only. Not for Use in Diagnostic Procedures.

Revision 5

Cell Signaling Technology Logo
Immunohistochemical analysis of paraffin-embedded normal human pancreas using FGL1 (E7C1Q) XP® Rabbit mAb.
Immunohistochemistry Image 6: FGL1 (E7C1Q) Rabbit Monoclonal Antibody
Immunohistochemical analysis of paraffin-embedded normal human liver using FGL1 (E7C1Q) XP® Rabbit mAb (left) compared to concentration-matched Rabbit (DA1E) mAb IgG XP® Isotype Control #3900 (right).
Immunohistochemistry Image 7: FGL1 (E7C1Q) Rabbit Monoclonal Antibody
Immunohistochemical analysis of paraffin-embedded SHP-77 cell pellet (left, positive) or PC-3 cell pellet (right, negative) using FGL1 (E7C1Q) XP® Rabbit mAb.
Immunohistochemistry Image 8: FGL1 (E7C1Q) Rabbit Monoclonal Antibody
Orders: 877-616-CELL (2355) [email protected] Support: 877-678-TECH (8324) [email protected] Web: cellsignal.com
For Research Use Only. Not for Use in Diagnostic Procedures.

Revision 5

Cell Signaling Technology Logo
Confocal immunofluorescent analysis of SHP-77 cells (left, high-expressing), Hep G2 cells (middle, low-expressing), and HCT 116 cells (right, negative) using FGL1 (E7C1Q) XP® Rabbit mAb (green) and DAPI #4083 (blue).
Immunofluorescence Image 1: FGL1 (E7C1Q) Rabbit Monoclonal Antibody
Flow cytometric analysis of Ramos cells (blue, negative) and SHP-77 cells (green, positive) using FGL1 (E7C1Q) XP® Rabbit mAb (solid lines) or concentration-matched Rabbit (DA1E) mAb IgG XP® Isotype Control #3900 (dashed lines). Anti-rabbit IgG (H+L), F(ab')2 Fragment (Alexa Fluor® 488 Conjugate) #4412 was used as a secondary antibody.
Flow Cytometry Image 1: FGL1 (E7C1Q) Rabbit Monoclonal Antibody
Orders: 877-616-CELL (2355) [email protected] Support: 877-678-TECH (8324) [email protected] Web: cellsignal.com
For Research Use Only. Not for Use in Diagnostic Procedures.