Revision 1

#38915

Store at -20C

CST Logo
Orders:

877-616-CELL (2355)

[email protected]

Support:

877-678-TECH (8324)

3 Trask Lane | Danvers | Massachusetts | 01923 | USA

For Research Use Only. Not for Use in Diagnostic Procedures.

Applications:
W, IHC-Bond, IHC-P

Reactivity:
H

Sensitivity:
Endogenous

MW (kDa):
50

Source/Isotype:
Rabbit IgG

UniProt ID:
#P02679

Entrez-Gene Id:
2266

Product Usage Information

This product is the carrier free version of product #45850. All data were generated using the same antibody clone in the standard formulation which contains BSA and glycerol.

This formulation is ideal for use with technologies requiring specialized or custom antibody labeling, including fluorophores, metals, lanthanides, and oligonucleotides. It is not recommended for ChIP, ChIP-seq, CUT&RUN or CUT&Tag assays. If you require a carrier free formulation for chromatin profiling, please contact us. Optimal dilutions/concentrations should be determined by the end user.

BSA and Azide Free antibodies are quality control tested by size exclusion chromatography (SEC) to determine antibody integrity.

Formulation

Supplied in 1X PBS (10 mM Na2HPO4, 3 mM KCl, 2 mM KH2PO4, and 140 mM NaCl (pH 7.8)). BSA and Azide Free.

For standard formulation of this product see product #45850

Storage

Store at -20°C. This product will freeze at -20°C so it is recommended to aliquot into single-use vials to avoid multiple freeze/thaw cycles. A slight precipitate may be present and can be dissolved by gently vortexing. This will not interfere with antibody performance.

Specificity/Sensitivity

Fibrinogen gamma chain (E1U3Z) Rabbit Monoclonal Antibody (BSA and Azide Free) recognizes endogenous levels of total fibrinogen gamma chain protein. This antibody may cross-react with an unidentified protein of 70 kDa in some cell extracts.

Source / Purification

Monoclonal antibody is produced by immunizing animals with a synthetic peptide corresponding to residues surrounding Ser190 of human fibrinogen gamma chain protein.

Background

Fibrinogen is a large, multimeric plasma glycoprotein that is constitutively synthesized by liver hepatocytes. As a key component of blood clots, fibrinogen plays a central role in hemostasis and thrombosis. In total, six polypeptide chains (2Aα, 2Bβ, and 2γ) are produced intracellularly in a coordinated manner, which are then covalently linked together by a network of disulfide bonds to form a fibrinogen heterohexamer (1). Research studies have shown that expression of the three fibrinogen genes is upregulated as part of the acute phase inflammatory response (2,3).

Upon engagement of the clotting cascade, thrombin-mediated cleavage of the fibrinogen Aα and Bβ chains creates fibrin monomers and a platform for the polymerization of fibrin monomers into protofibrils and an insoluble web of stable fibrin fibers (4,5). Whereas thrombin is the enzyme that drives fibrin polymerization and clot formation, plasmin is the enzymatic counterpart that facilitates fibrinolysis and clot breakdown (6).

In addition to its position as a central node in the normal coagulation cascade, dysregulated fibrin deposition has been observed in pathological conditions such as cancer and viral infection (7,8).
The fibrinogen gamma chain is expressed as two isoforms that result from alternative mRNA splicing, the γA chain and the γ' chain. Research studies have shown that the fibrinogen gamma chain plays important roles in shaping the architecture of fibrin clots and modulates the innate immune response through interaction with its receptor, CD11b, expressed on neutrophils and monocytes (9,10).

Species Reactivity

Species reactivity is determined by testing in at least one approved application (e.g., western blot).

Applications Key

W: Western Blotting IHC-Bond: IHC Leica Bond IHC-P: Immunohistochemistry (Paraffin)

Cross-Reactivity Key

H: Human

Trademarks and Patents

Cell Signaling Technology is a trademark of Cell Signaling Technology, Inc.

SignalStain is a registered trademark of Cell Signaling Technology, Inc.

All other trademarks are the property of their respective owners. Visit cellsignal.com/trademarks for more information.

Limited Uses

Except as otherwise expressly agreed in a writing signed by a legally authorized representative of CST, the following terms apply to Products provided by CST, its affiliates or its distributors. Any Customer's terms and conditions that are in addition to, or different from, those contained herein, unless separately accepted in writing by a legally authorized representative of CST, are rejected and are of no force or effect.

Products are labeled with For Research Use Only or a similar labeling statement and have not been approved, cleared, or licensed by the FDA or other regulatory foreign or domestic entity, for any purpose. Customer shall not use any Product for any diagnostic or therapeutic purpose, or otherwise in any manner that conflicts with its labeling statement. Products sold or licensed by CST are provided for Customer as the end-user and solely for research and development uses. Any use of Product for diagnostic, prophylactic or therapeutic purposes, or any purchase of Product for resale (alone or as a component) or other commercial purpose, requires a separate license from CST. Customer shall (a) not sell, license, loan, donate or otherwise transfer or make available any Product to any third party, whether alone or in combination with other materials, or use the Products to manufacture any commercial products, (b) not copy, modify, reverse engineer, decompile, disassemble or otherwise attempt to discover the underlying structure or technology of the Products, or use the Products for the purpose of developing any products or services that would compete with CST products or services, (c) not alter or remove from the Products any trademarks, trade names, logos, patent or copyright notices or markings, (d) use the Products solely in accordance with CST Product Terms of Sale and any applicable documentation, and (e) comply with any license, terms of service or similar agreement with respect to any third party products or services used by Customer in connection with the Products.

Orders: 877-616-CELL (2355) [email protected] Support: 877-678-TECH (8324) [email protected] Web: cellsignal.com
For Research Use Only. Not for Use in Diagnostic Procedures.

Revision 1

Cell Signaling Technology Logo
Western blot analysis of extracts from various cell lines using Fibrinogen gamma chain (E1U3Z) XP® Rabbit mAb (upper) and β-Actin (D6A8) Rabbit mAb #8457 (lower). Absence of signal in extracts from DU 145 and NCI-H1299 cells is predicted from RNAseq and confirms the specificity of the antibody for fibrinogen gamma chain protein. Data were generated using the standard formulation of this product.
Western Blotting Image 1: Fibrinogen gamma chain (E1U3Z) Rabbit Monoclonal Antibody (BSA and Azide Free)
Immunohistochemical analysis of paraffin-embedded human colon carcinoma using Fibrinogen gamma chain (E1U3Z) XP® Rabbit mAb performed on the Leica® BOND™ Rx. Data were generated using the standard formulation of this product.
Immunohistochemistry Image 1: Fibrinogen gamma chain (E1U3Z) Rabbit Monoclonal Antibody (BSA and Azide Free)
Immunohistochemical analysis of paraffin-embedded human non-small cell lung carcinoma using Fibrinogen gamma chain (E1U3Z) XP® Rabbit mAb performed on the Leica® BOND™ Rx. Data were generated using the standard formulation of this product.
Immunohistochemistry Image 2: Fibrinogen gamma chain (E1U3Z) Rabbit Monoclonal Antibody (BSA and Azide Free)
Orders: 877-616-CELL (2355) [email protected] Support: 877-678-TECH (8324) [email protected] Web: cellsignal.com
For Research Use Only. Not for Use in Diagnostic Procedures.

Revision 1

Cell Signaling Technology Logo
Immunohistochemical analysis of paraffin-embedded human B-cell non-Hodgkin lymphoma using Fibrinogen gamma chain (E1U3Z) XP® Rabbit mAb performed on the Leica® BOND™ Rx. Data were generated using the standard formulation of this product.
Immunohistochemistry Image 3: Fibrinogen gamma chain (E1U3Z) Rabbit Monoclonal Antibody (BSA and Azide Free)
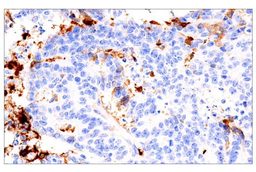
Immunohistochemical analysis of paraffin-embedded human small cell carcinoma of the salivary gland using Fibrinogen gamma chain (E1U3Z) XP® Rabbit mAb. Data were generated using the standard formulation of this product.
Immunohistochemistry Image 1: Fibrinogen gamma chain (E1U3Z) Rabbit Monoclonal Antibody (BSA and Azide Free)
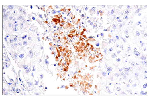
Immunohistochemical analysis of paraffin-embedded human hepatocellular carcinoma using Fibrinogen gamma chain (E1U3Z) XP® Rabbit mAb. Data were generated using the standard formulation of this product.
Immunohistochemistry Image 2: Fibrinogen gamma chain (E1U3Z) Rabbit Monoclonal Antibody (BSA and Azide Free)
Orders: 877-616-CELL (2355) [email protected] Support: 877-678-TECH (8324) [email protected] Web: cellsignal.com
For Research Use Only. Not for Use in Diagnostic Procedures.

Revision 1

Cell Signaling Technology Logo
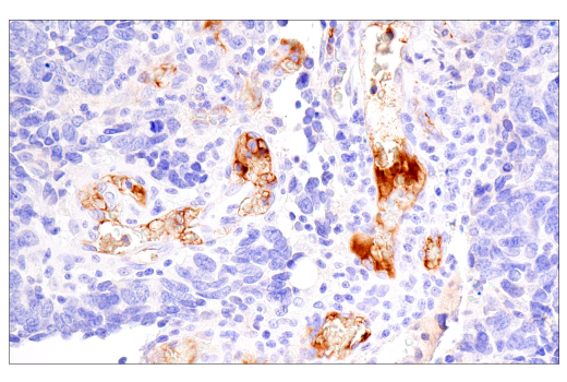
Immunohistochemical analysis of paraffin-embedded normal human placenta using Fibrinogen gamma chain (E1U3Z) XP® Rabbit mAb. Data were generated using the standard formulation of this product.
Immunohistochemistry Image 3: Fibrinogen gamma chain (E1U3Z) Rabbit Monoclonal Antibody (BSA and Azide Free)
Immunohistochemical analysis of paraffin-embedded human lung sarcoma (left), breast carcinoma (middle), or T-cell lymphoma (right) using Fibrinogen gamma chain (E1U3Z) XP® Rabbit mAb (top) or a Fibrinogen gamma chain Rabbit mAb (bottom). These two antibodies detect unique, non-overlapping epitopes on human fibrinogen gamma chain. The similar staining patterns obtained with both antibodies help to confirm the specificity of the staining. Data were generated using the standard formulation of this product.
Immunohistochemistry Image 4: Fibrinogen gamma chain (E1U3Z) Rabbit Monoclonal Antibody (BSA and Azide Free)
Immunohistochemical analysis of paraffin-embedded human ductal breast carcinoma using Fibrinogen gamma chain (E1U3Z) XP® Rabbit mAb (left) compared to concentration-matched Rabbit (DA1E) mAb IgG XP® Isotype Control #3900 (right). Data were generated using the standard formulation of this product.
Immunohistochemistry Image 5: Fibrinogen gamma chain (E1U3Z) Rabbit Monoclonal Antibody (BSA and Azide Free)
Orders: 877-616-CELL (2355) [email protected] Support: 877-678-TECH (8324) [email protected] Web: cellsignal.com
For Research Use Only. Not for Use in Diagnostic Procedures.

Revision 1

Cell Signaling Technology Logo
Immunohistochemical analysis of paraffin-embedded Hep G2 cell pellet (left, positive) or NCI-H1299 cell pellet (right, negative) using Fibrinogen gamma chain (E1U3Z) XP® Rabbit mAb. Data were generated using the standard formulation of this product.
Immunohistochemistry Image 6: Fibrinogen gamma chain (E1U3Z) Rabbit Monoclonal Antibody (BSA and Azide Free)
Orders: 877-616-CELL (2355) [email protected] Support: 877-678-TECH (8324) [email protected] Web: cellsignal.com
For Research Use Only. Not for Use in Diagnostic Procedures.