Revision 7

#44800

Store at -20C

CST Logo
Orders:

877-616-CELL (2355)

[email protected]

Support:

877-678-TECH (8324)

3 Trask Lane | Danvers | Massachusetts | 01923 | USA

For Research Use Only. Not for Use in Diagnostic Procedures.

Applications:
W, IHC-Bond, IHC-P, IF-IC

Reactivity:
H

Sensitivity:
Endogenous

MW (kDa):
300

Source/Isotype:
Rabbit IgG

UniProt ID:
#P02751

Entrez-Gene Id:
2335

Product Usage Information

This product is the carrier free version of product #26836. All data were generated using the same antibody clone in the standard formulation which contains BSA and glycerol.

This formulation is ideal for use with technologies requiring specialized or custom antibody labeling, including fluorophores, metals, lanthanides, and oligonucleotides. It is not recommended for ChIP, ChIP-seq, CUT&RUN, or CUT&Tag assays. If you require a carrier-free formulation for chromatin profiling, please contact us. Optimal dilutions/concentrations should be determined by the end user.

BSA and Azide Free antibodies are quality control tested by size exclusion chromatography (SEC) to determine antibody integrity.

Formulation

Supplied in 1X PBS (10 mM Na2HPO4, 3 mM KCl, 2 mM KH2PO4, and 140 mM NaCl (pH 7.8)). BSA and Azide Free.

For standard formulation of this product see product #26836.

Storage

Store at -20°C. This product will freeze at -20°C so it is recommended to aliquot into single-use vials to avoid multiple freeze/thaw cycles. A slight precipitate may be present and can be dissolved by gently vortexing. This will not interfere with antibody performance.

Specificity/Sensitivity

Fibronectin/FN1 (E5H6X) Rabbit Monoclonal Antibody (BSA and Azide Free) recognizes endogenous levels of total Fibronectin/FN1 protein.

Source / Purification

Monoclonal antibody is produced by immunizing animals with a protein fragment corresponding to residues near the carboxy terminus of human Fibronectin/FN1 protein.

Background

Fibronectin is a multi-domain extracellular matrix (ECM) protein. The protein uses its different domains to bind distinct ECM components such as collagens, growth factors, and cell surface integrins to carry on its functions (1). Fibronectin has been implicated in many essential biological processes, including tissue repair, fibrosis, and tumor development (1,2). There are many fibronectin isoforms. Plasma fibronectin is synthesized by hepatocytes and exists as a compact, inactive conformation in the bloodstream. It is a major component of fibrin clots. Upon binding to integrins or other cell surface receptors, fibronectin switches to an extended conformation, and exposes its function domains to activated extracellular matrix assembly (3). Fibroblasts, endothelial cells, and many types of cancer cells have also been shown to synthesize cellular fibronectin isoforms. Among them, the EDA or EDB isoforms are particularly highly expressed during fibrosis and cancer development, and are potential diagnostic and therapeutic targets (4-6).

Species Reactivity

Species reactivity is determined by testing in at least one approved application (e.g., western blot).

Applications Key

W: Western Blotting IHC-Bond: IHC Leica Bond IHC-P: Immunohistochemistry (Paraffin) IF-IC: Immunofluorescence (Immunocytochemistry)

Cross-Reactivity Key

H: Human

Trademarks and Patents

Cell Signaling Technology is a trademark of Cell Signaling Technology, Inc.

SignalStain is a registered trademark of Cell Signaling Technology, Inc.

All other trademarks are the property of their respective owners. Visit cellsignal.com/trademarks for more information.

Limited Uses

Except as otherwise expressly agreed in a writing signed by a legally authorized representative of CST, the following terms apply to Products provided by CST, its affiliates or its distributors. Any Customer's terms and conditions that are in addition to, or different from, those contained herein, unless separately accepted in writing by a legally authorized representative of CST, are rejected and are of no force or effect.

Products are labeled with For Research Use Only or a similar labeling statement and have not been approved, cleared, or licensed by the FDA or other regulatory foreign or domestic entity, for any purpose. Customer shall not use any Product for any diagnostic or therapeutic purpose, or otherwise in any manner that conflicts with its labeling statement. Products sold or licensed by CST are provided for Customer as the end-user and solely for research and development uses. Any use of Product for diagnostic, prophylactic or therapeutic purposes, or any purchase of Product for resale (alone or as a component) or other commercial purpose, requires a separate license from CST. Customer shall (a) not sell, license, loan, donate or otherwise transfer or make available any Product to any third party, whether alone or in combination with other materials, or use the Products to manufacture any commercial products, (b) not copy, modify, reverse engineer, decompile, disassemble or otherwise attempt to discover the underlying structure or technology of the Products, or use the Products for the purpose of developing any products or services that would compete with CST products or services, (c) not alter or remove from the Products any trademarks, trade names, logos, patent or copyright notices or markings, (d) use the Products solely in accordance with CST Product Terms of Sale and any applicable documentation, and (e) comply with any license, terms of service or similar agreement with respect to any third party products or services used by Customer in connection with the Products.

Orders: 877-616-CELL (2355) [email protected] Support: 877-678-TECH (8324) [email protected] Web: cellsignal.com
For Research Use Only. Not for Use in Diagnostic Procedures.

Revision 7

Cell Signaling Technology Logo
Western blot analysis of extracts from various cell lines using Fibronectin/FN1 (E5H6X) Rabbit mAb (upper) and β-Actin (D6A8) Rabbit mAb #8457 (lower). The absence of Fibronectin/FN1 expression in PANC-1 cell extracts is consistent with molecular and proteomic expression profiling data, confirming specificity of the antibody. Data were generated using the standard formulation of this product.
Western Blotting Image 1: Fibronectin/FN1 (E5H6X) Rabbit Monoclonal Antibody (BSA and Azide Free)
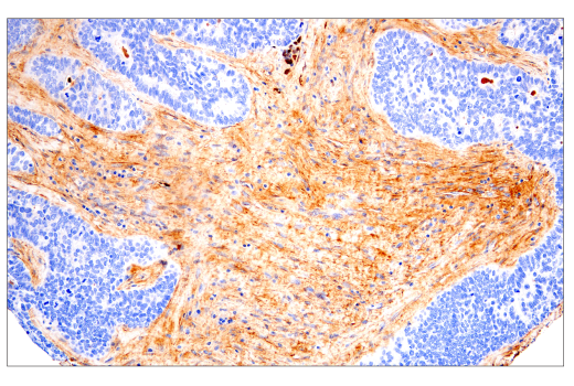
Immunohistochemical analysis of paraffin-embedded human neuroendocrine carcinoma of the lung using Fibronectin/FN1 (E5H6X) Rabbit mAb performed on the Leica® BOND™ Rx. Data were generated using the standard formulation of this product.
Immunohistochemistry Image 1: Fibronectin/FN1 (E5H6X) Rabbit Monoclonal Antibody (BSA and Azide Free)
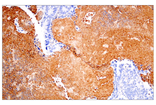
Immunohistochemical analysis of paraffin-embedded human lung adenocarcinoma using Fibronectin/FN1 (E5H6X) Rabbit mAb. Data were generated using the standard formulation of this product.
Immunohistochemistry Image 1: Fibronectin/FN1 (E5H6X) Rabbit Monoclonal Antibody (BSA and Azide Free)
Orders: 877-616-CELL (2355) [email protected] Support: 877-678-TECH (8324) [email protected] Web: cellsignal.com
For Research Use Only. Not for Use in Diagnostic Procedures.

Revision 7

Cell Signaling Technology Logo
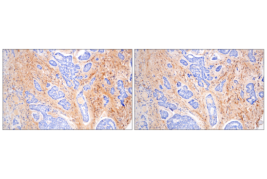
Immunohistochemical analysis of paraffin-embedded human colon adenocarcinoma using Fibronectin/FN1 (E5H6X) Rabbit mAb (left) compared to concentration-matched Rabbit (DA1E) mAb IgG XP® Isotype Control #3900 (right). Data were generated using the standard formulation of this product.
Immunohistochemistry Image 2: Fibronectin/FN1 (E5H6X) Rabbit Monoclonal Antibody (BSA and Azide Free)
Immunohistochemical analysis of paraffin-embedded human colon adenocarcinoma using Fibronectin/FN1 (E5H6X) Rabbit mAb. Data were generated using the standard formulation of this product.
Immunohistochemistry Image 3: Fibronectin/FN1 (E5H6X) Rabbit Monoclonal Antibody (BSA and Azide Free)
Immunohistochemical analysis of paraffin-embedded human B-cell non-Hodgkin lymphoma using Fibronectin/FN1 (E5H6X) Rabbit mAb. Data were generated using the standard formulation of this product.
Immunohistochemistry Image 4: Fibronectin/FN1 (E5H6X) Rabbit Monoclonal Antibody (BSA and Azide Free)
Orders: 877-616-CELL (2355) [email protected] Support: 877-678-TECH (8324) [email protected] Web: cellsignal.com
For Research Use Only. Not for Use in Diagnostic Procedures.

Revision 7

Cell Signaling Technology Logo
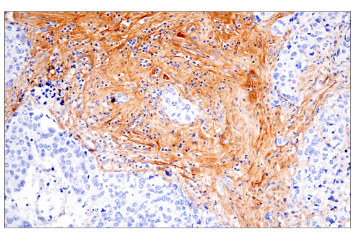
Immunohistochemical analysis of paraffin-embedded human adenoid cystic carcinoma of the trachea using Fibronectin/FN1 (E5H6X) Rabbit mAb (left) or Fibronectin Rabbit mAb (right). These two antibodies detect independent, unique epitopes on human Fibronectin/FN1 protein. The similar staining patterns obtained with both antibodies help to confirm the specificity of the staining. Data were generated using the standard formulation of this product.
Immunohistochemistry Image 5: Fibronectin/FN1 (E5H6X) Rabbit Monoclonal Antibody (BSA and Azide Free)
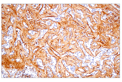
Immunohistochemical analysis of paraffin-embedded human ductal breast carcinoma using Fibronectin/FN1 (E5H6X) Rabbit mAb. Data were generated using the standard formulation of this product.
Immunohistochemistry Image 6: Fibronectin/FN1 (E5H6X) Rabbit Monoclonal Antibody (BSA and Azide Free)
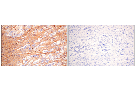
Immunohistochemical analysis of paraffin-embedded Hep G2 cell pellet (left, positive) or PANC-1 cell pellet (right, negative) using Fibronectin/FN1 (E5H6X) Rabbit mAb. Data were generated using the standard formulation of this product.
Immunohistochemistry Image 7: Fibronectin/FN1 (E5H6X) Rabbit Monoclonal Antibody (BSA and Azide Free)
Orders: 877-616-CELL (2355) [email protected] Support: 877-678-TECH (8324) [email protected] Web: cellsignal.com
For Research Use Only. Not for Use in Diagnostic Procedures.

Revision 7

Cell Signaling Technology Logo
Confocal immunofluorescent analysis of U-118 MG cells (left, positive) and PANC-1 cells (right, negative) using Fibronectin/FN1 (E5H6X) Rabbit mAb (green). Actin filaments were labeled with DyLight™ 650 Phalloidin #12956 (red). Samples were mounted in ProLong® Gold Antifade Reagent with DAPI #8961 (blue). Data were generated using the standard formulation of this product.
Immunofluorescence Image 1: Fibronectin/FN1 (E5H6X) Rabbit Monoclonal Antibody (BSA and Azide Free)
Orders: 877-616-CELL (2355) [email protected] Support: 877-678-TECH (8324) [email protected] Web: cellsignal.com
For Research Use Only. Not for Use in Diagnostic Procedures.