Revision 3

#44873

Store at -20C

CST Logo
Orders:

877-616-CELL (2355)

[email protected]

Support:

877-678-TECH (8324)

3 Trask Lane | Danvers | Massachusetts | 01923 | USA

For Research Use Only. Not for Use in Diagnostic Procedures.

Applications:
W, IHC-P, IF-F

Reactivity:
H M R Mk

Sensitivity:
Endogenous

MW (kDa):
280

Source/Isotype:
Rabbit IgG

UniProt ID:
#P21333

Entrez-Gene Id:
2316

Product Usage Information

Application Dilution
Western Blotting 1:1000
Immunohistochemistry (Paraffin) 1:400 - 1:1600
Immunofluorescence (Frozen) 1:100 - 1:400

Storage

Supplied in 10 mM sodium HEPES (pH 7.5), 150 mM NaCl, 100 µg/mL BSA, 50% glycerol, and less than 0.02% sodium azide. Store at –20°C. Do not aliquot the antibody.

For a carrier free (BSA and azide free) version of this product see product #72246.

Specificity/Sensitivity

Filamin A (E8P8M) Rabbit Monoclonal Antibody recognizes endogenous levels of total filamin A protein.

Source / Purification

Monoclonal antibody is produced by immunizing animals with recombinant protein specific to the central sequence of human filamin A protein.

Background

Filamins are a family of dimeric actin binding proteins that function as structural components of cell adhesion sites. They also serve as a scaffold for subcellular targeting of signaling molecules (1). The actin binding domain (α-actinin domain) located at the amino terminus is followed by as many as 24 tandem repeats of about 96 residues and the dimerization domain is located at the carboxy terminus. In addition to actin filaments, filamins associate with other structural and signaling molecules such as β-integrins, Rho/Rac/Cdc42, PKC and the insulin receptor, primarily through the carboxy-terminal dimerization domain (1-3). Filamin A, the most abundant, and filamin B are widely expressed isoforms, while filamin C is predominantly expressed in muscle (1). Filamin A is phosphorylated by PAK1 at Ser2152, which is required for PAK1-mediated actin cytoskeleton reorganization (4).

Species Reactivity

Species reactivity is determined by testing in at least one approved application (e.g., western blot).

Western Blot Buffer

IMPORTANT: For western blots, incubate membrane with diluted primary antibody in 5% w/v BSA, 1X TBS, 0.1% Tween® 20 at 4°C with gentle shaking, overnight.

Applications Key

W: Western Blotting IHC-P: Immunohistochemistry (Paraffin) IF-F: Immunofluorescence (Frozen)

Cross-Reactivity Key

H: Human M: Mouse R: Rat Mk: Monkey

Trademarks and Patents

Cell Signaling Technology is a trademark of Cell Signaling Technology, Inc.

All other trademarks are the property of their respective owners. Visit cellsignal.com/trademarks for more information.

Limited Uses

Except as otherwise expressly agreed in a writing signed by a legally authorized representative of CST, the following terms apply to Products provided by CST, its affiliates or its distributors. Any Customer's terms and conditions that are in addition to, or different from, those contained herein, unless separately accepted in writing by a legally authorized representative of CST, are rejected and are of no force or effect.

Products are labeled with For Research Use Only or a similar labeling statement and have not been approved, cleared, or licensed by the FDA or other regulatory foreign or domestic entity, for any purpose. Customer shall not use any Product for any diagnostic or therapeutic purpose, or otherwise in any manner that conflicts with its labeling statement. Products sold or licensed by CST are provided for Customer as the end-user and solely for research and development uses. Any use of Product for diagnostic, prophylactic or therapeutic purposes, or any purchase of Product for resale (alone or as a component) or other commercial purpose, requires a separate license from CST. Customer shall (a) not sell, license, loan, donate or otherwise transfer or make available any Product to any third party, whether alone or in combination with other materials, or use the Products to manufacture any commercial products, (b) not copy, modify, reverse engineer, decompile, disassemble or otherwise attempt to discover the underlying structure or technology of the Products, or use the Products for the purpose of developing any products or services that would compete with CST products or services, (c) not alter or remove from the Products any trademarks, trade names, logos, patent or copyright notices or markings, (d) use the Products solely in accordance with CST Product Terms of Sale and any applicable documentation, and (e) comply with any license, terms of service or similar agreement with respect to any third party products or services used by Customer in connection with the Products.

Orders: 877-616-CELL (2355) [email protected] Support: 877-678-TECH (8324) [email protected] Web: cellsignal.com
For Research Use Only. Not for Use in Diagnostic Procedures.

Revision 3

Cell Signaling Technology Logo
Western blot analysis of extracts from various cell ines using Filamin A (E8P8M) Rabbit mAb (upper) or α-Actinin (D6F6) XP® Rabbit mAb #6487 (lower). Low expression of filamin A protein in MKN-45, THP-1, and A20 cells is consistent with the predicted expression pattern.
Western Blotting Image 1: Filamin A (E8P8M) Rabbit Monoclonal Antibody
Immunohistochemical analysis of paraffin-embedded human esophageal carcinoma using Filamin A (E8P8M) Rabbit mAb.
Immunohistochemistry Image 1: Filamin A (E8P8M) Rabbit Monoclonal Antibody
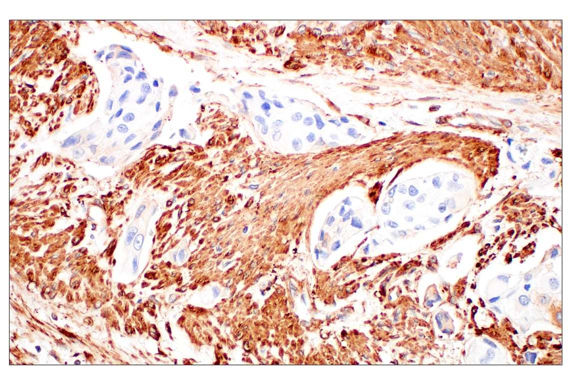
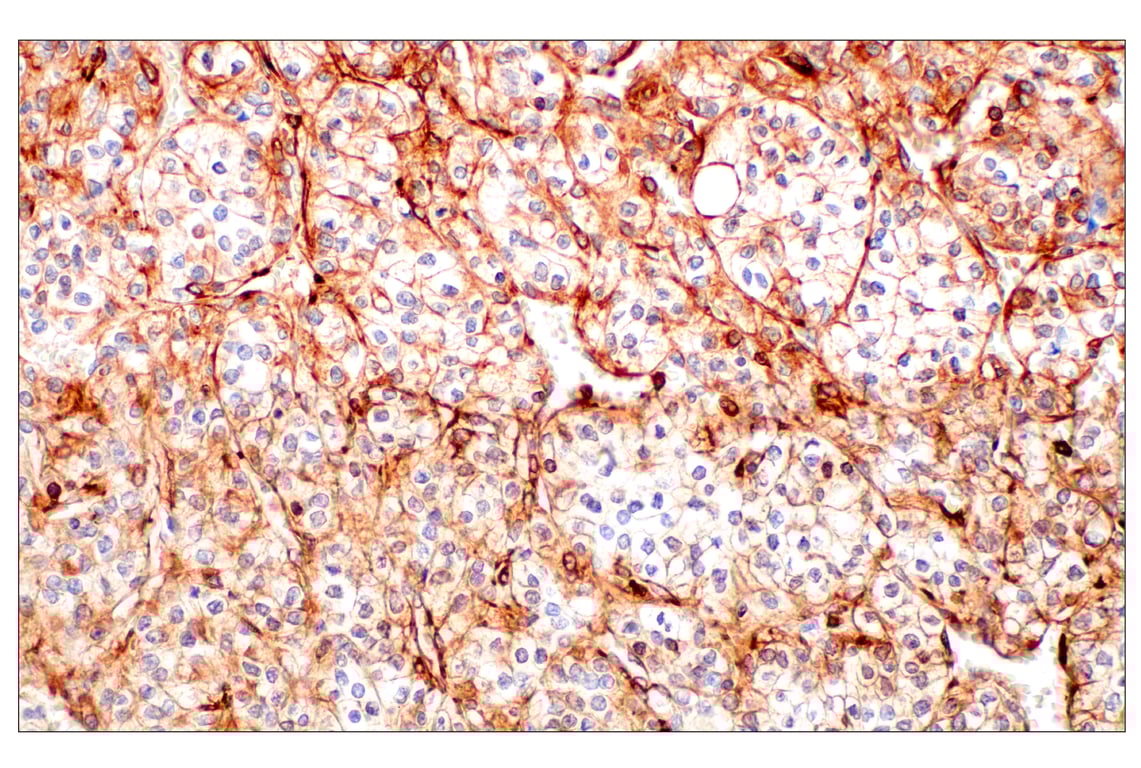
Immunohistochemical analysis of paraffin-embedded human squamous cell carcinoma of the cervix using Filamin A (E8P8M) Rabbit mAb.
Immunohistochemistry Image 2: Filamin A (E8P8M) Rabbit Monoclonal Antibody
Orders: 877-616-CELL (2355) [email protected] Support: 877-678-TECH (8324) [email protected] Web: cellsignal.com
For Research Use Only. Not for Use in Diagnostic Procedures.

Revision 3

Cell Signaling Technology Logo
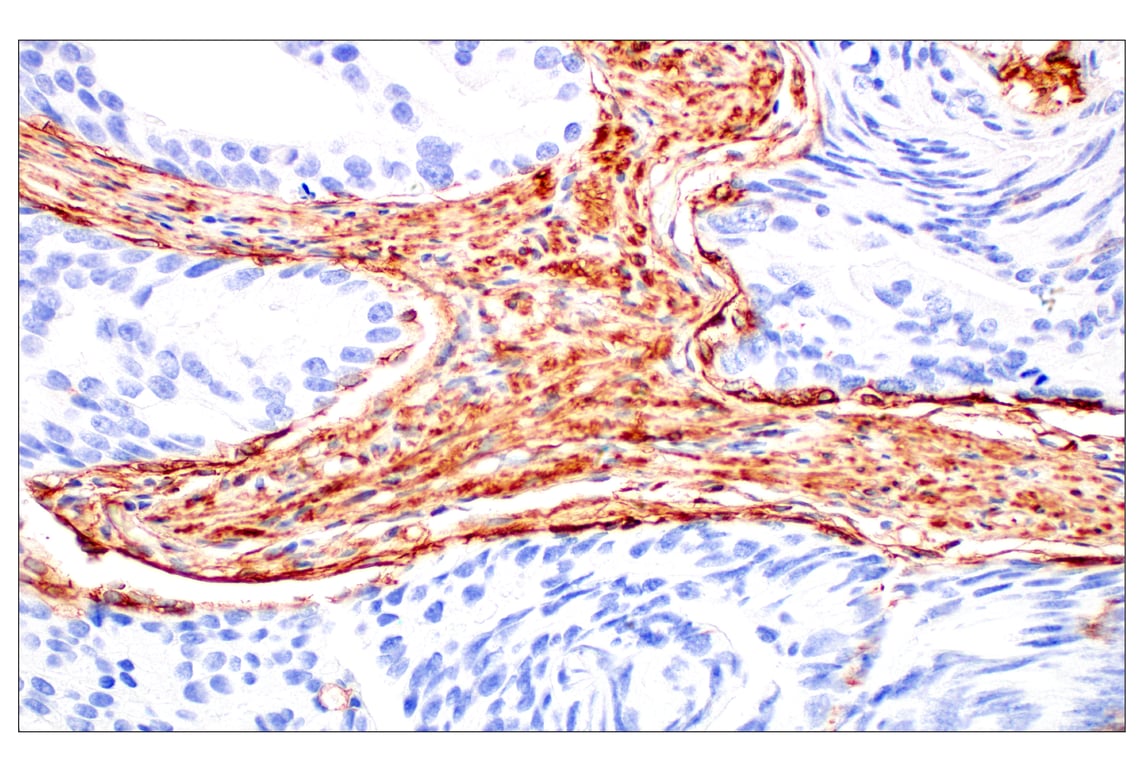
Immunohistochemical analysis of paraffin-embedded human renal cell carcinoma using Filamin A (E8P8M) Rabbit mAb.
Immunohistochemistry Image 3: Filamin A (E8P8M) Rabbit Monoclonal Antibody
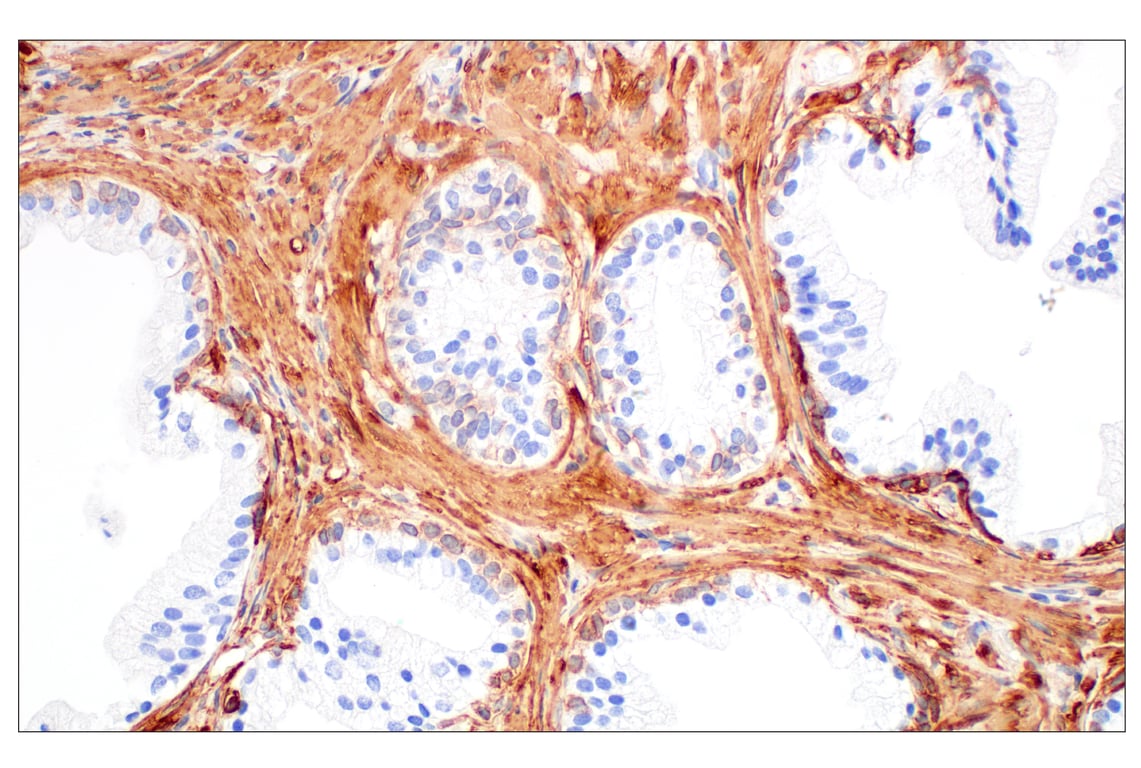
Immunohistochemical analysis of paraffin-embedded human prostate adenocarcinoma using Filamin A (E8P8M) Rabbit mAb.
Immunohistochemistry Image 4: Filamin A (E8P8M) Rabbit Monoclonal Antibody
Immunohistochemical analysis of paraffin-embedded human urothelial carcinoma using Filamin A (E8P8M) Rabbit mAb.
Immunohistochemistry Image 5: Filamin A (E8P8M) Rabbit Monoclonal Antibody
Orders: 877-616-CELL (2355) [email protected] Support: 877-678-TECH (8324) [email protected] Web: cellsignal.com
For Research Use Only. Not for Use in Diagnostic Procedures.

Revision 3

Cell Signaling Technology Logo
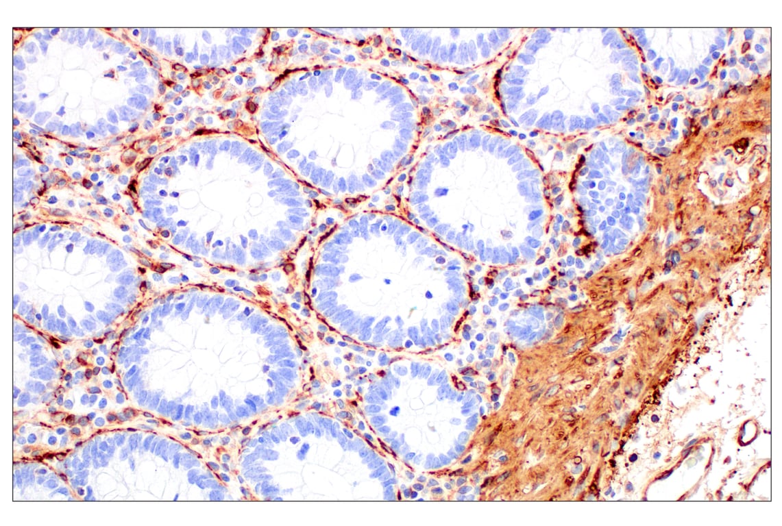
Immunohistochemical analysis of paraffin-embedded normal human colon using Filamin A (E8P8M) Rabbit mAb.
Immunohistochemistry Image 6: Filamin A (E8P8M) Rabbit Monoclonal Antibody
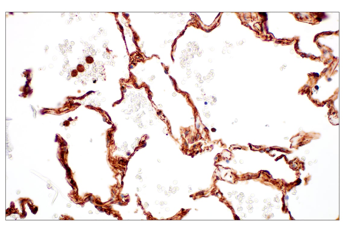
Immunohistochemical analysis of paraffin-embedded normal human lung using Filamin A (E8P8M) Rabbit mAb.
Immunohistochemistry Image 7: Filamin A (E8P8M) Rabbit Monoclonal Antibody
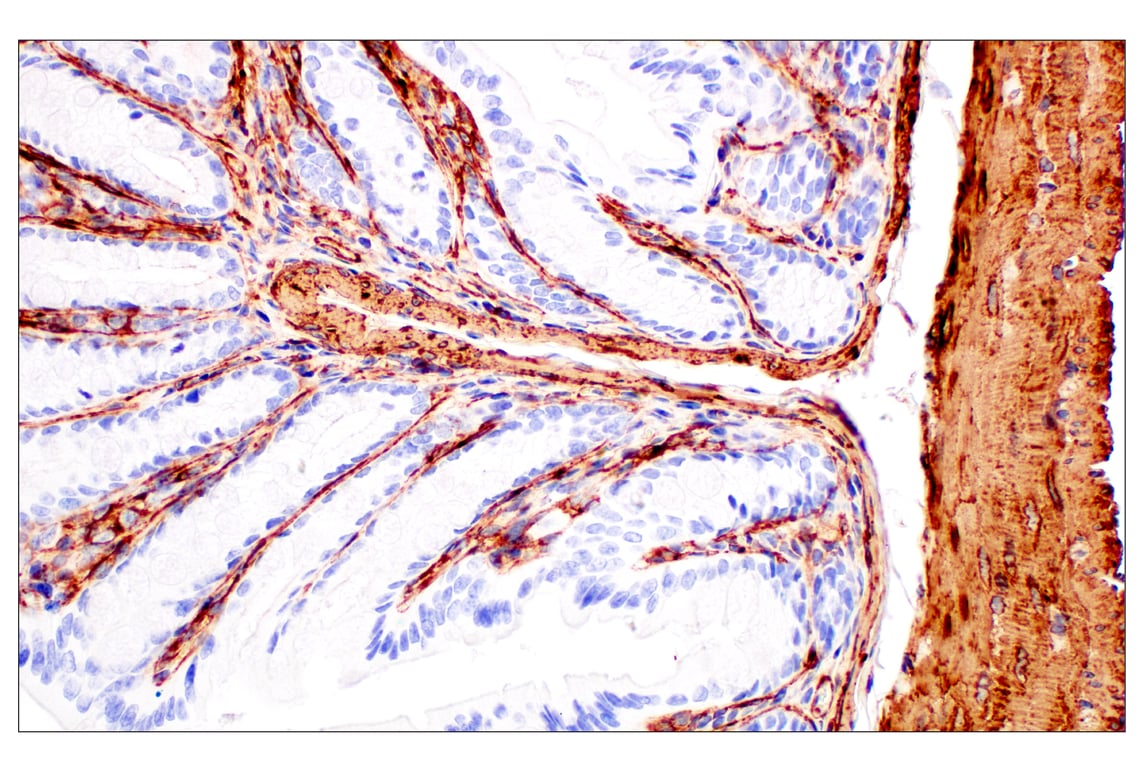
Immunohistochemical analysis of paraffin-embedded normal human prostate using Filamin A (E8P8M) Rabbit mAb.
Immunohistochemistry Image 8: Filamin A (E8P8M) Rabbit Monoclonal Antibody
Orders: 877-616-CELL (2355) [email protected] Support: 877-678-TECH (8324) [email protected] Web: cellsignal.com
For Research Use Only. Not for Use in Diagnostic Procedures.

Revision 3

Cell Signaling Technology Logo
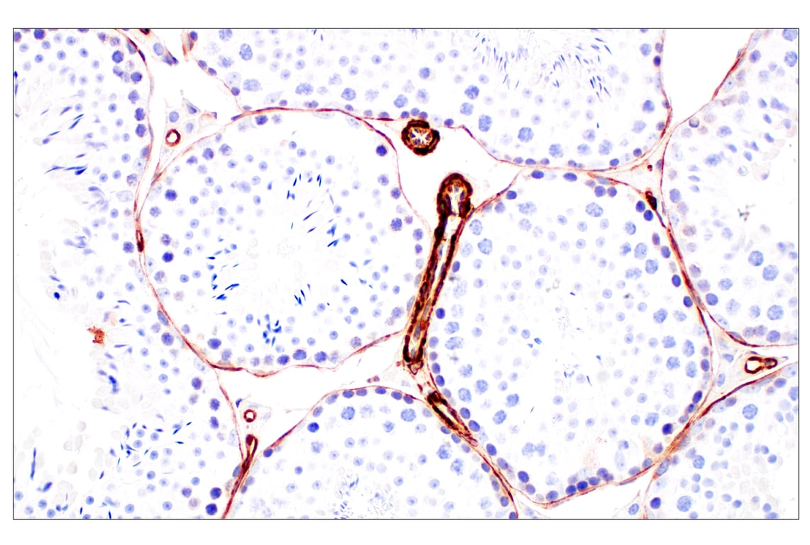
Immunohistochemical analysis of paraffin-embedded normal human testis using Filamin A (E8P8M) Rabbit mAb.
Immunohistochemistry Image 9: Filamin A (E8P8M) Rabbit Monoclonal Antibody
Immunohistochemical analysis of paraffin-embedded normal human brain using Filamin A (E8P8M) Rabbit mAb.
Immunohistochemistry Image 10: Filamin A (E8P8M) Rabbit Monoclonal Antibody
Immunohistochemical analysis of paraffin-embedded mouse colon using Filamin A (E8P8M) Rabbit mAb.
Immunohistochemistry Image 11: Filamin A (E8P8M) Rabbit Monoclonal Antibody
Orders: 877-616-CELL (2355) [email protected] Support: 877-678-TECH (8324) [email protected] Web: cellsignal.com
For Research Use Only. Not for Use in Diagnostic Procedures.

Revision 3

Cell Signaling Technology Logo
Immunohistochemical analysis of paraffin-embedded mouse testis using Filamin A (E8P8M) Rabbit mAb.
Immunohistochemistry Image 12: Filamin A (E8P8M) Rabbit Monoclonal Antibody
Immunohistochemical analysis of paraffin-embedded human colon adenocarcinoma using Filamin A (E8P8M) Rabbit mAb (left) compared to concentration-matched Rabbit (DA1E) mAb IgG XP® Isotype Control #3900 (right).
Immunohistochemistry Image 13: Filamin A (E8P8M) Rabbit Monoclonal Antibody
Immunohistochemical analysis of paraffin-embedded A-172 cell pellet (left, positive) or THP-1 cell pellet (right, negative) using Filamin A (E8P8M) Rabbit mAb.
Immunohistochemistry Image 14: Filamin A (E8P8M) Rabbit Monoclonal Antibody
Orders: 877-616-CELL (2355) [email protected] Support: 877-678-TECH (8324) [email protected] Web: cellsignal.com
For Research Use Only. Not for Use in Diagnostic Procedures.

Revision 3

Cell Signaling Technology Logo
Confocal immunofluorescent analysis of fixed frozen mouse colon labeled with Filamin A (E8P8M) Rabbit mAb (green). Free secondary binding sites were then blocked with Rabbit (DA1E) mAb IgG XP® Isotype Control #3900 prior to co-labeling with CD45 (D3F8Q) Rabbit mAb (Alexa Fluor® 555 Conjugate) #19581 (gray pseudocolor), AQP4 (D1F8E) XP® Rabbit mAb (Alexa Fluor® 647 Conjugate) #89851 (red), and ProLong Gold Antifade Reagent with DAPI #8961 (blue).
Immunofluorescence Image 1: Filamin A (E8P8M) Rabbit Monoclonal Antibody
Confocal immunofluorescent analysis of fixed frozen mouse spleen labeled with Filamin A (E8P8M) Rabbit mAb (green). Free secondary binding sites were then blocked with Rabbit (DA1E) mAb IgG XP® Isotype Control #3900 prior to co-labeling with CD45 (D3F8Q) Rabbit mAb (Alexa Fluor® 555 Conjugate) #19581 (red), AQP4 (D1F8E) XP® Rabbit mAb (Alexa Fluor® 647 Conjugate) #89851 (cyan pseudocolor), and ProLong Gold Antifade Reagent with DAPI #8961 (blue).
Immunofluorescence Image 2: Filamin A (E8P8M) Rabbit Monoclonal Antibody
Confocal immunofluorescent analysis of fixed frozen mouse substantia nigra labeled with Filamin A (E8P8M) Rabbit mAb (green). Free secondary binding sites were then blocked with Rabbit (DA1E) mAb IgG XP® Isotype Control #3900 prior to co-labeling with CD45 (D3F8Q) Rabbit mAb (Alexa Fluor® 555 Conjugate) #19581 (gray pseudocolor), AQP4 (D1F8E) XP® Rabbit mAb (Alexa Fluor® 647 Conjugate) #89851 (red), and ProLong Gold Antifade Reagent with DAPI #8961 (blue).
Immunofluorescence Image 3: Filamin A (E8P8M) Rabbit Monoclonal Antibody
Orders: 877-616-CELL (2355) [email protected] Support: 877-678-TECH (8324) [email protected] Web: cellsignal.com
For Research Use Only. Not for Use in Diagnostic Procedures.