Revision 3

#27140

Store at -20C

CST Logo
Orders:

877-616-CELL (2355)

[email protected]

Support:

877-678-TECH (8324)

3 Trask Lane | Danvers | Massachusetts | 01923 | USA

For Research Use Only. Not for Use in Diagnostic Procedures.

Applications:
W, W-S, IHC-P

Reactivity:
H M R

Sensitivity:
Endogenous

MW (kDa):
51

Source/Isotype:
Rabbit IgG

UniProt ID:
#Q13451

Entrez-Gene Id:
2289

Product Usage Information

Application Dilution
Western Blotting 1:1000
Simple Western™ 1:10 - 1:50
Immunohistochemistry (Paraffin) 1:50

Storage

Supplied in 10 mM sodium HEPES (pH 7.5), 150 mM NaCl, 100 µg/mL BSA, 50% glycerol, and less than 0.02% sodium azide. Store at –20°C. Do not aliquot the antibody.

Specificity/Sensitivity

FKBP5 (F1G3I) Rabbit Monoclonal Antibody recognizes endogenous levels of total FKBP5 protein. Non-specific cytoplasmic staining was observed in the epidermis of human skin by immunohistochemistry.

Source / Purification

Monoclonal antibody is produced by immunizing animals with a synthetic peptide corresponding to residues surrounding Gly220 of human FKBP5 protein.

Background

FK506 binding protein 51 (FKBP51, also called FKBP5) belongs to the FKBP family of immunophilins (1). FKBP family proteins contain FK domains and TPR (tetratricopeptide repeat) domains. The FK domains are responsible for PPIase (peptidylprolyl isomerase) activity and allow binding to FK506 and rapamycin (2,3). The C terminal TPR domains are involved in protein-protein interactions. The TPR domain of FKBP5 mediates binding to HSP90 complexes (4), as well as glucocorticoid, androgen, and progesterone receptors, which account for its regulatory role in steroid hormone receptor function (5). FKBP5 also binds to IKKα and is involved in NF-κB signaling (6,7). In addition, FKBP5 was identified as a negative regulator of Akt through promotion of Akt - PHLPP interaction and enhanced dephosphorylation of Akt (8).

Species Reactivity

Species reactivity is determined by testing in at least one approved application (e.g., western blot).

Western Blot Buffer

IMPORTANT: For western blots, incubate membrane with diluted primary antibody in 5% w/v BSA, 1X TBS, 0.1% Tween® 20 at 4°C with gentle shaking, overnight.

Applications Key

W: Western Blotting W-S: Simple Western™ IHC-P: Immunohistochemistry (Paraffin)

Cross-Reactivity Key

H: Human M: Mouse R: Rat

Trademarks and Patents

Cell Signaling Technology is a trademark of Cell Signaling Technology, Inc.

All other trademarks are the property of their respective owners. Visit cellsignal.com/trademarks for more information.

Limited Uses

Except as otherwise expressly agreed in a writing signed by a legally authorized representative of CST, the following terms apply to Products provided by CST, its affiliates or its distributors. Any Customer's terms and conditions that are in addition to, or different from, those contained herein, unless separately accepted in writing by a legally authorized representative of CST, are rejected and are of no force or effect.

Products are labeled with For Research Use Only or a similar labeling statement and have not been approved, cleared, or licensed by the FDA or other regulatory foreign or domestic entity, for any purpose. Customer shall not use any Product for any diagnostic or therapeutic purpose, or otherwise in any manner that conflicts with its labeling statement. Products sold or licensed by CST are provided for Customer as the end-user and solely for research and development uses. Any use of Product for diagnostic, prophylactic or therapeutic purposes, or any purchase of Product for resale (alone or as a component) or other commercial purpose, requires a separate license from CST. Customer shall (a) not sell, license, loan, donate or otherwise transfer or make available any Product to any third party, whether alone or in combination with other materials, or use the Products to manufacture any commercial products, (b) not copy, modify, reverse engineer, decompile, disassemble or otherwise attempt to discover the underlying structure or technology of the Products, or use the Products for the purpose of developing any products or services that would compete with CST products or services, (c) not alter or remove from the Products any trademarks, trade names, logos, patent or copyright notices or markings, (d) use the Products solely in accordance with CST Product Terms of Sale and any applicable documentation, and (e) comply with any license, terms of service or similar agreement with respect to any third party products or services used by Customer in connection with the Products.

Orders: 877-616-CELL (2355) [email protected] Support: 877-678-TECH (8324) [email protected] Web: cellsignal.com
For Research Use Only. Not for Use in Diagnostic Procedures.

Revision 3

Cell Signaling Technology Logo
Western blot analysis of extracts from various cell lines using FKBP5 (F1G3I) Rabbit mAb (upper) or β-Actin (D6A8) Rabbit mAb #8457 (lower). Negative expression of FKBP5 protein in JEG-3 cells is consistent with the predicted expression pattern.
Western Blotting Image 1: FKBP5 (F1G3I) Rabbit Monoclonal Antibody
Simple WesternTM analysis of lysates (0.01 mg/ml) from 22Rv1 cells using FKBP5 (F1G3I) Rabbit mAb #27140. The virtual lane view (left) shows the target band (as indicated) at 1:10 and 1:50 dilutions of primary antibody. The corresponding electropherogram view (right) plots chemiluminescence by molecular weight along the capillary at 1:10 (blue line) and 1:50 (green line) dilutions of primary antibody. This experiment was performed under reducing conditions on the JessTM Simple Western instrument from ProteinSimple, a BioTechne brand, using the 12-230kDa separation module.
Western Blotting Image 1: FKBP5 (F1G3I) Rabbit Monoclonal Antibody
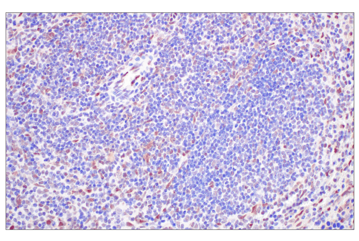
Immunohistochemical analysis of paraffin-embedded human non-small cell lung carcinoma using FKBP5 (F1G3I) Rabbit mAb.
Immunohistochemistry Image 1: FKBP5 (F1G3I) Rabbit Monoclonal Antibody
Orders: 877-616-CELL (2355) [email protected] Support: 877-678-TECH (8324) [email protected] Web: cellsignal.com
For Research Use Only. Not for Use in Diagnostic Procedures.

Revision 3

Cell Signaling Technology Logo

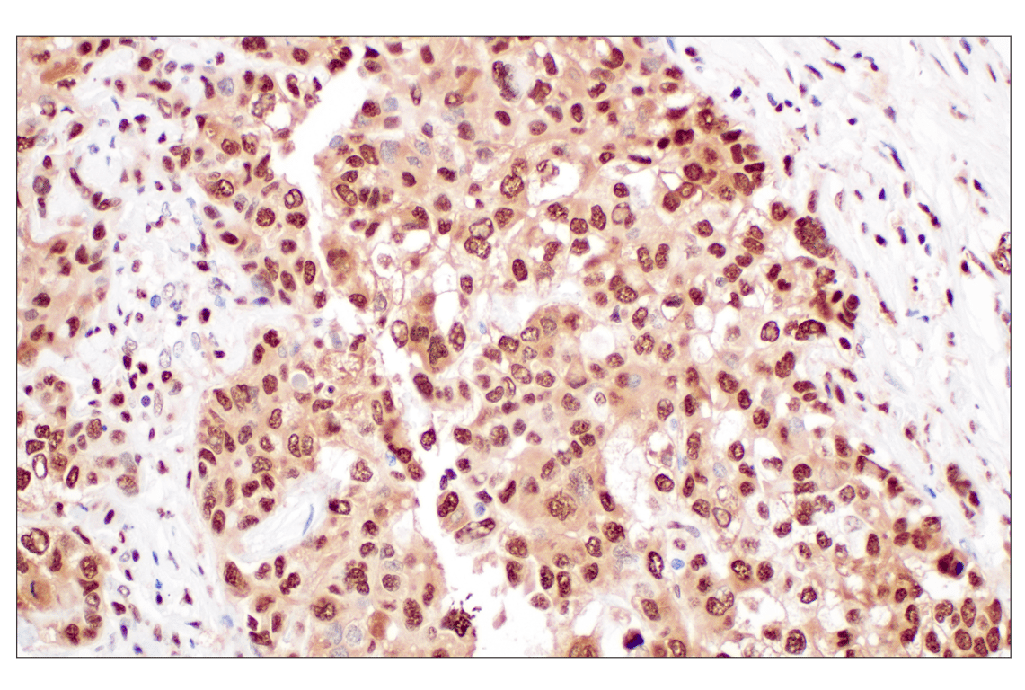
Immunohistochemical analysis of paraffin-embedded human hepatocellular carcinoma using FKBP5 (F1G3I) Rabbit mAb.

Immunohistochemistry Image 2: FKBP5 (F1G3I) Rabbit Monoclonal Antibody
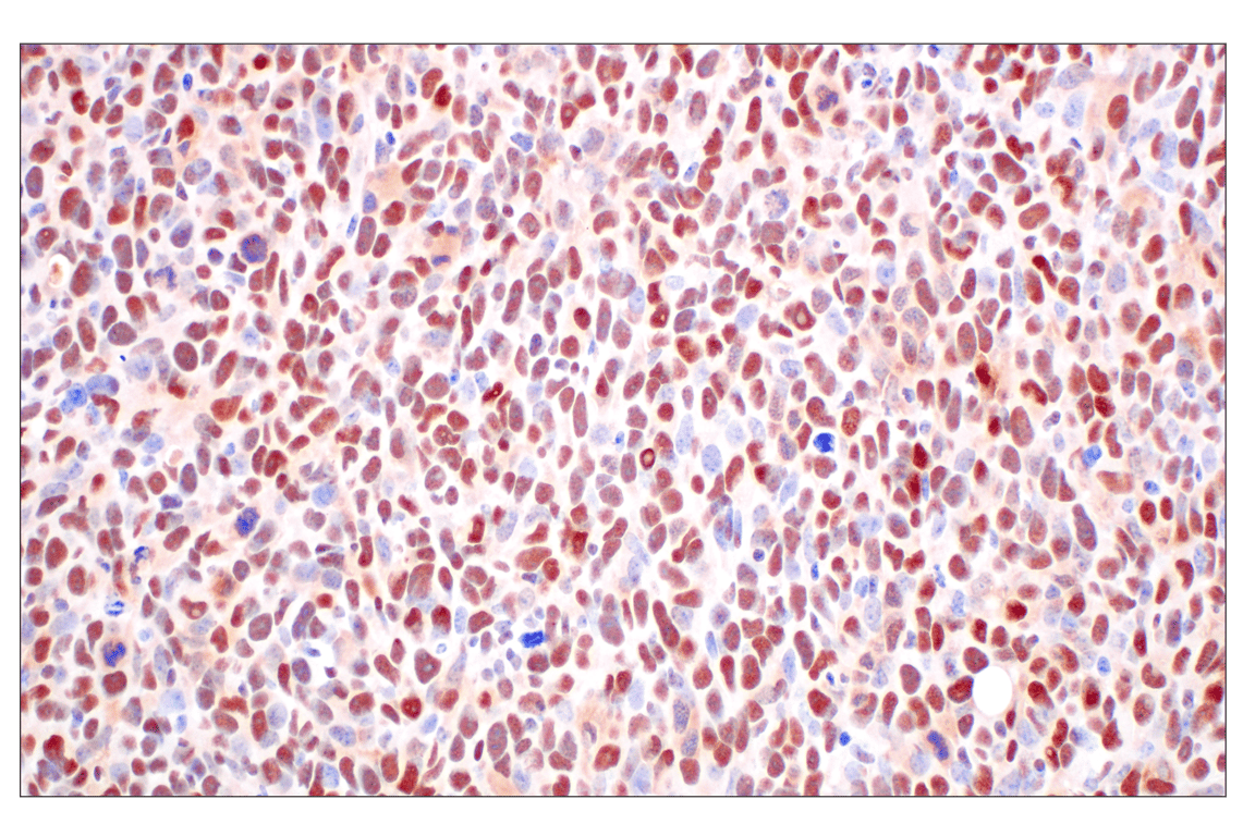
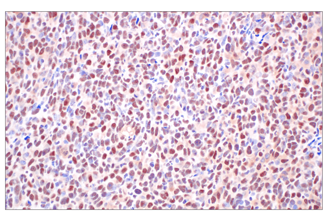
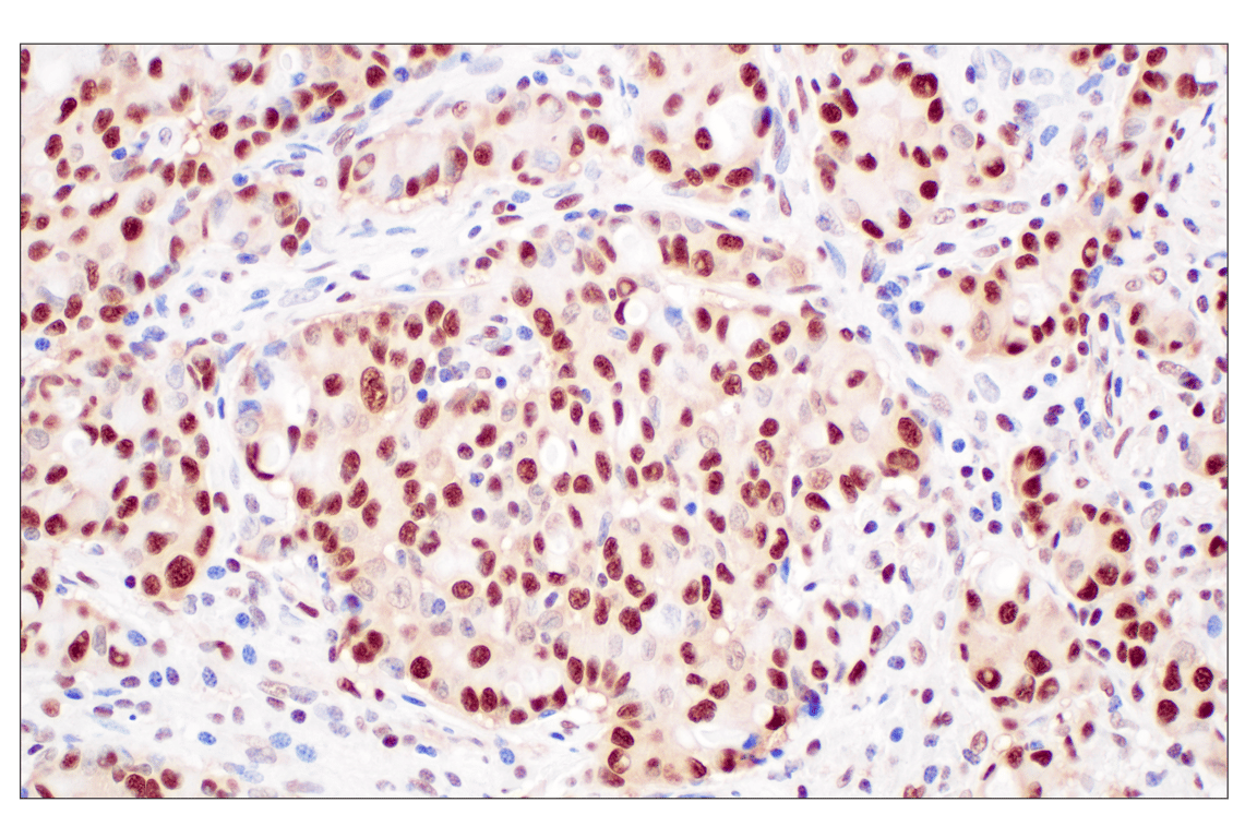
Immunohistochemical analysis of paraffin-embedded human adenoid cystic carcinoma of the salivary gland using FKBP5 (F1G3I) Rabbit mAb.
Immunohistochemistry Image 3: FKBP5 (F1G3I) Rabbit Monoclonal Antibody
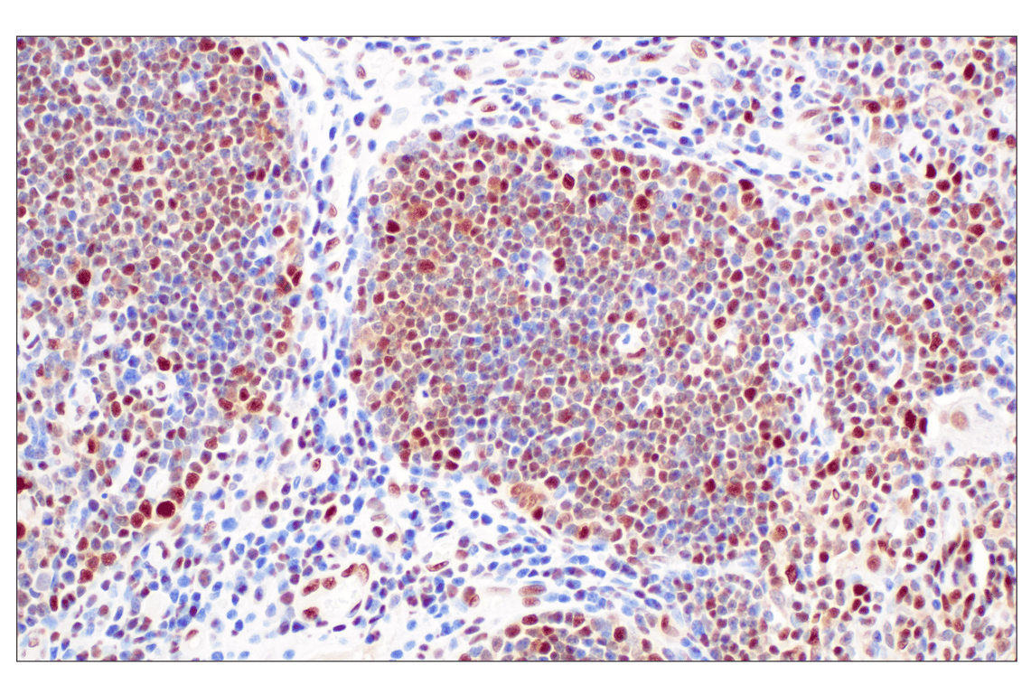
Immunohistochemical analysis of paraffin-embedded normal human thymus using FKBP5 (F1G3I) Rabbit mAb.
Immunohistochemistry Image 4: FKBP5 (F1G3I) Rabbit Monoclonal Antibody
Orders: 877-616-CELL (2355) [email protected] Support: 877-678-TECH (8324) [email protected] Web: cellsignal.com
For Research Use Only. Not for Use in Diagnostic Procedures.

Revision 3

Cell Signaling Technology Logo

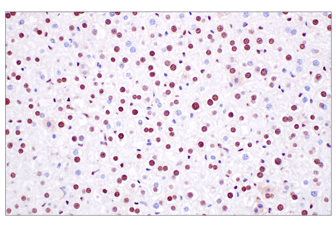
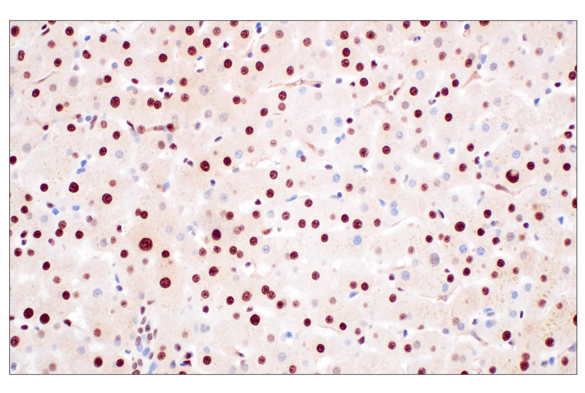
Immunohistochemical analysis of paraffin-embedded normal human liver using FKBP5 (F1G3I) Rabbit mAb.

Immunohistochemistry Image 5: FKBP5 (F1G3I) Rabbit Monoclonal Antibody

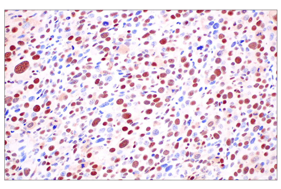
Immunohistochemical analysis of paraffin-embedded 4T1 syngeneic tumor using FKBP5 (F1G3I) Rabbit mAb.

Immunohistochemistry Image 6: FKBP5 (F1G3I) Rabbit Monoclonal Antibody
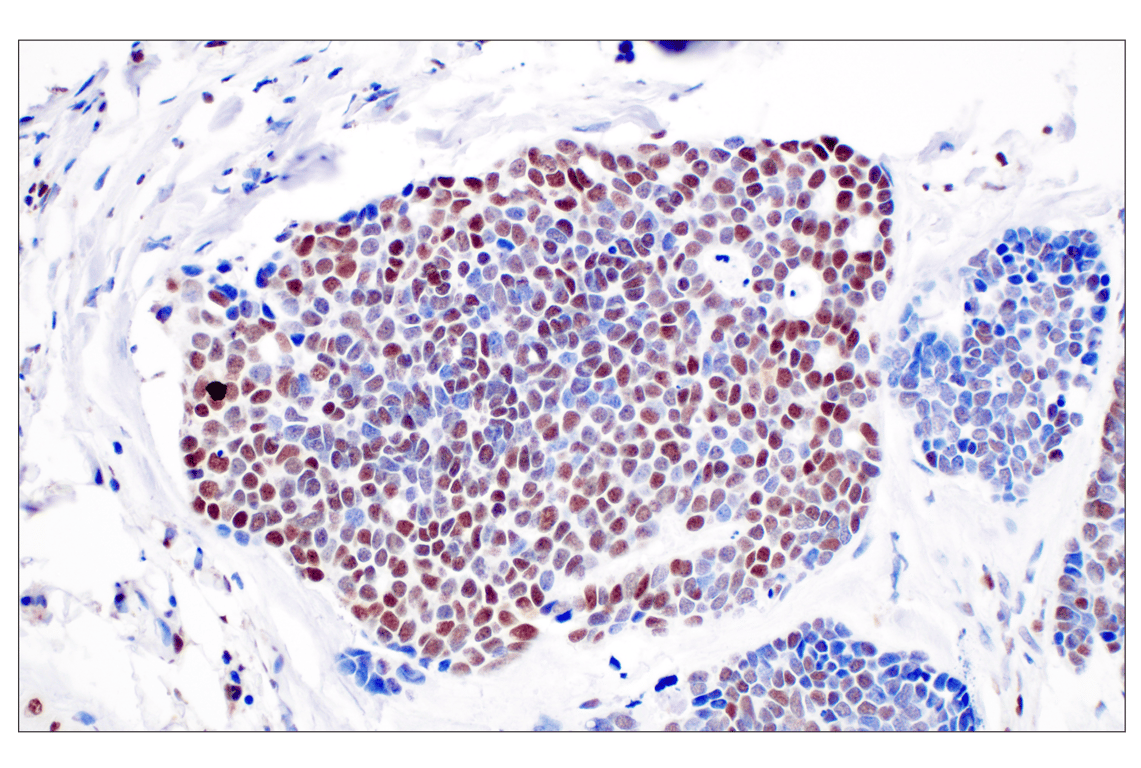
Immunohistochemical analysis of paraffin-embedded LL/2 syngeneic tumor using FKBP5 (F1G3I) Rabbit mAb.
Immunohistochemistry Image 7: FKBP5 (F1G3I) Rabbit Monoclonal Antibody
Orders: 877-616-CELL (2355) [email protected] Support: 877-678-TECH (8324) [email protected] Web: cellsignal.com
For Research Use Only. Not for Use in Diagnostic Procedures.

Revision 3

Cell Signaling Technology Logo
Immunohistochemical analysis of paraffin-embedded Renca syngeneic tumor using FKBP5 (F1G3I) Rabbit mAb.
Immunohistochemistry Image 8: FKBP5 (F1G3I) Rabbit Monoclonal Antibody
Immunohistochemical analysis of paraffin-embedded mouse liver using FKBP5 (F1G3I) Rabbit mAb.
Immunohistochemistry Image 9: FKBP5 (F1G3I) Rabbit Monoclonal Antibody
Immunohistochemical analysis of paraffin-embedded mouse spleen using FKBP5 (F1G3I) Rabbit mAb.
Immunohistochemistry Image 10: FKBP5 (F1G3I) Rabbit Monoclonal Antibody
Orders: 877-616-CELL (2355) [email protected] Support: 877-678-TECH (8324) [email protected] Web: cellsignal.com
For Research Use Only. Not for Use in Diagnostic Procedures.

Revision 3

Cell Signaling Technology Logo
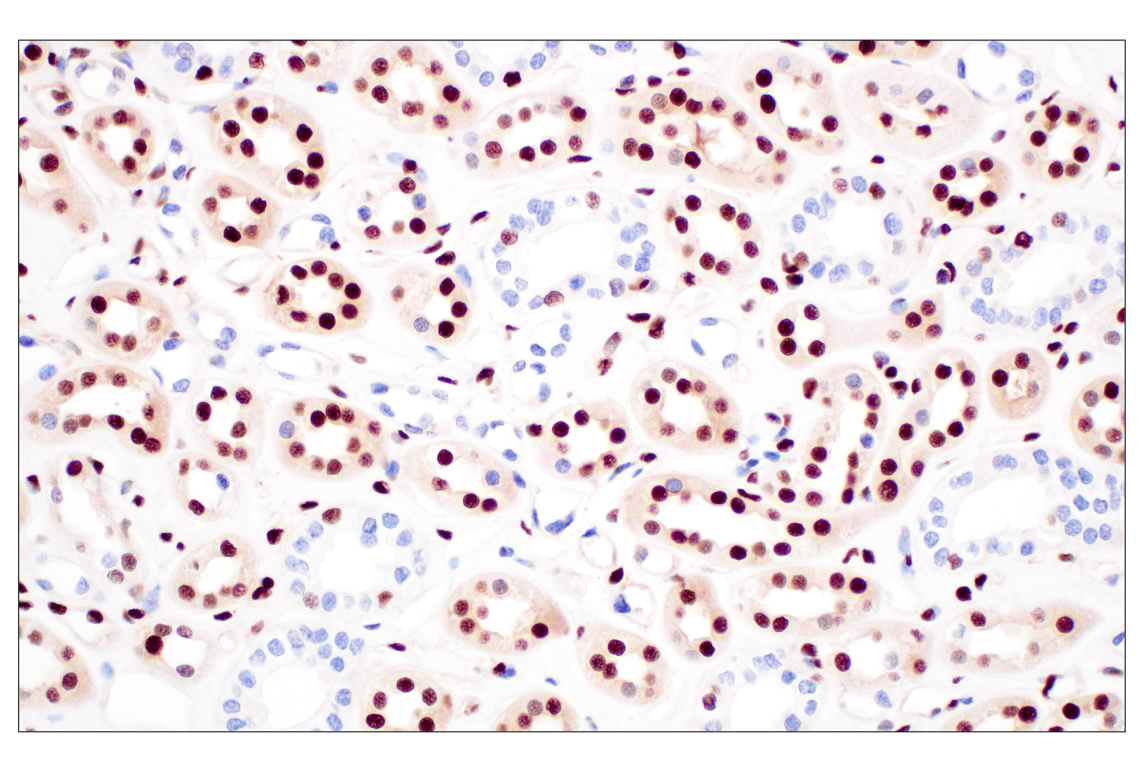
Immunohistochemical analysis of paraffin-embedded normal human kidney using FKBP5 (F1G3I) Rabbit mAb.
Immunohistochemistry Image 11: FKBP5 (F1G3I) Rabbit Monoclonal Antibody

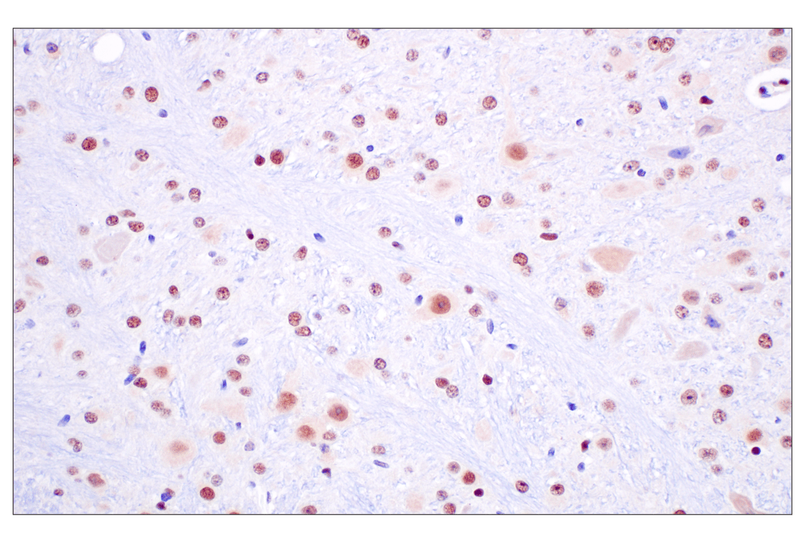
Immunohistochemical analysis of paraffin-embedded mouse brain using FKBP5 (F1G3I) Rabbit mAb.

Immunohistochemistry Image 12: FKBP5 (F1G3I) Rabbit Monoclonal Antibody
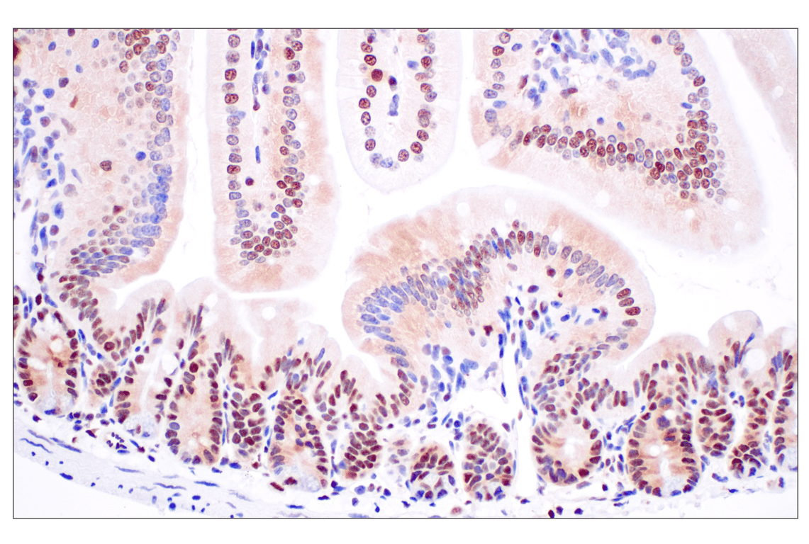
Immunohistochemical analysis of paraffin-embedded mouse small intestine using FKBP5 (F1G3I) Rabbit mAb.
Immunohistochemistry Image 13: FKBP5 (F1G3I) Rabbit Monoclonal Antibody
Orders: 877-616-CELL (2355) [email protected] Support: 877-678-TECH (8324) [email protected] Web: cellsignal.com
For Research Use Only. Not for Use in Diagnostic Procedures.

Revision 3

Cell Signaling Technology Logo
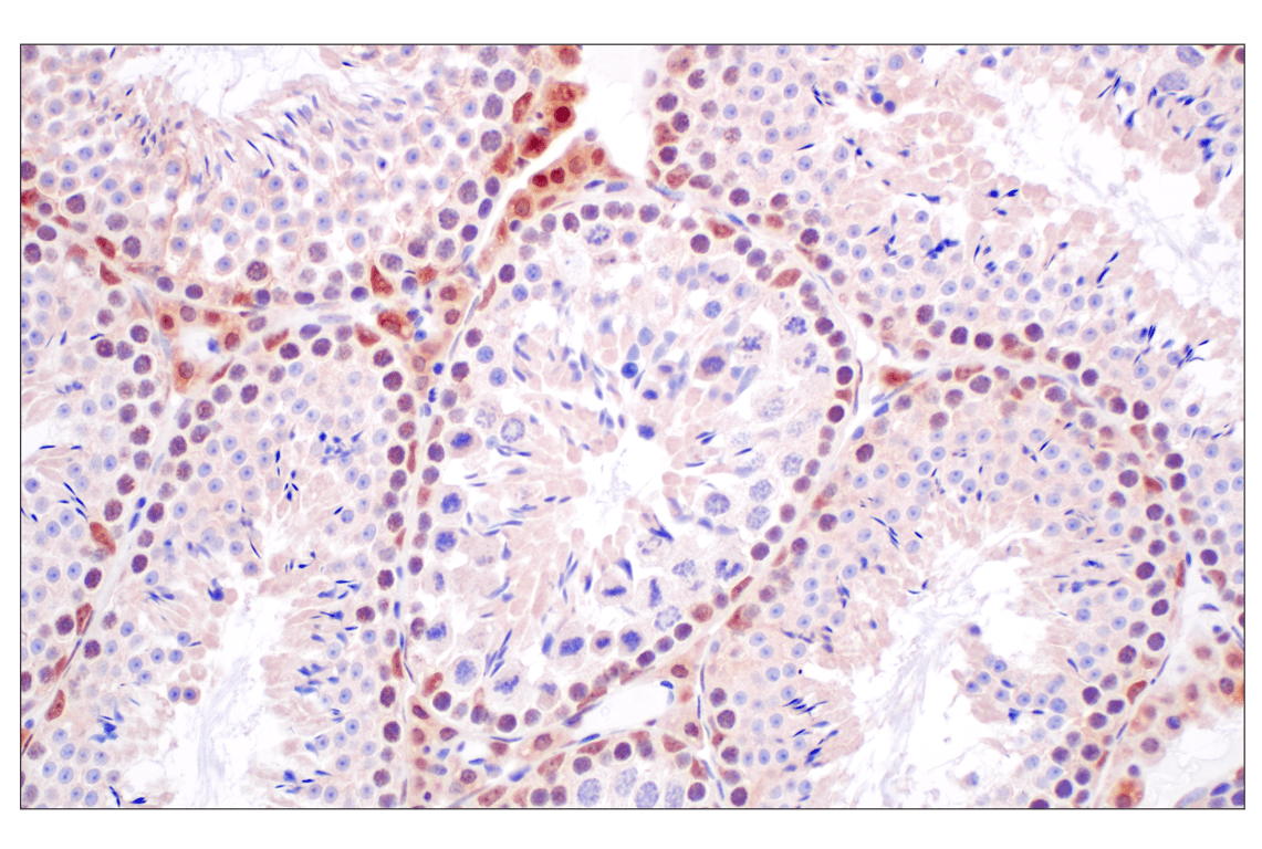
Immunohistochemical analysis of paraffin-embedded mouse testis using FKBP5 (F1G3I) Rabbit mAb.
Immunohistochemistry Image 14: FKBP5 (F1G3I) Rabbit Monoclonal Antibody
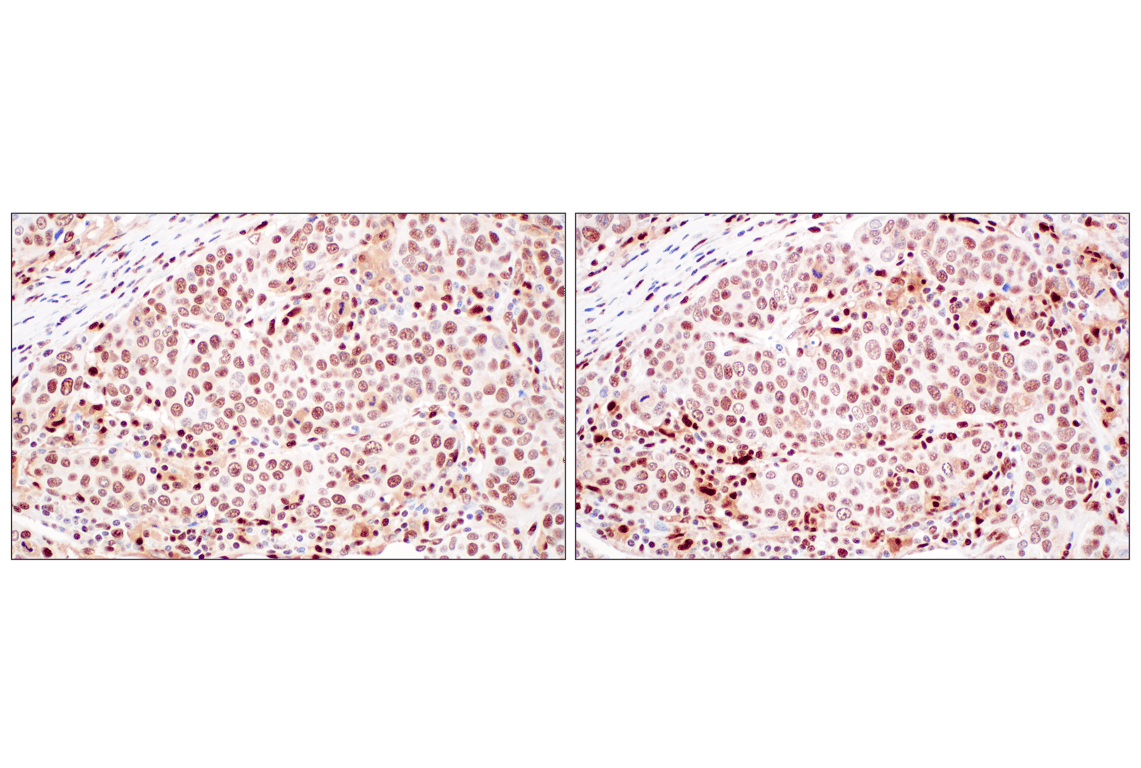
Immunohistochemical analysis of paraffin-embedded human ductal breast carcinoma using FKBP5 (F1G3I) Rabbit mAb (left) or an FKBP5 Antibody (right). These two antibodies detect unique, non-overlapping epitopes on human FKBP5. The similar staining patterns obtained with both antibodies help to confirm the specificity of the staining.
Immunohistochemistry Image 15: FKBP5 (F1G3I) Rabbit Monoclonal Antibody
Immunohistochemical analysis of paraffin-embedded normal human colon using FKBP5 (F1G3I) Rabbit mAb (left) compared to concentration-matched Rabbit (DA1E) mAb IgG XP® Isotype Control #3900 (right).
Immunohistochemistry Image 16: FKBP5 (F1G3I) Rabbit Monoclonal Antibody
Orders: 877-616-CELL (2355) [email protected] Support: 877-678-TECH (8324) [email protected] Web: cellsignal.com
For Research Use Only. Not for Use in Diagnostic Procedures.

Revision 3

Cell Signaling Technology Logo
Immunohistochemical analysis of paraffin-embedded NCI-H522 cell pellet (left, positive) or KATO III cell pellet (right, negative) using FKBP5 (F1G3I) Rabbit mAb.
Immunohistochemistry Image 17: FKBP5 (F1G3I) Rabbit Monoclonal Antibody
Orders: 877-616-CELL (2355) [email protected] Support: 877-678-TECH (8324) [email protected] Web: cellsignal.com
For Research Use Only. Not for Use in Diagnostic Procedures.