Revision 1

#9946

Store at -20C

Forkhead Signaling Antibody Sampler Kit

1 Kit

(8 x 20 microliters)

CST Logo
Orders:

877-616-CELL (2355)

[email protected]

Support:

877-678-TECH (8324)

3 Trask Lane | Danvers | Massachusetts | 01923 | USA

For Research Use Only. Not for Use in Diagnostic Procedures.

Product Includes Product # Quantity Mol. Wt Isotype/Source
Phospho-FoxO1 (Thr24)/FoxO3a (Thr32) Antibody946420 µl78 to 82, 95 kDaRabbit
Phospho-FoxO1 (Ser256) Antibody946120 µl82 kDaRabbit
Phospho-FoxO1 (Thr24)/FoxO3a (Thr32)/FoxO4 (Thr28) (4G6) Rabbit Monoclonal Antibody259920 µl65, 78 to 82, 95 kDaRabbit
FoxO1 (C29H4) Rabbit Monoclonal Antibody288020 µl78 to 82 kDaRabbit IgG
Phospho-FoxO3a (Ser253) (D18H8) Rabbit Monoclonal Antibody1312920 µl97 kDaRabbit IgG
Phospho-FoxO3a (Ser318/321) Antibody946520 µl97 kDaRabbit
FoxO4 Antibody947220 µl65 kDaRabbit
FoxO3a (D19A7) Rabbit Monoclonal Antibody1282920 µl82 to 97 kDaRabbit IgG
Anti-rabbit IgG, HRP-linked Antibody7074100 µlGoat

Please visit cellsignal.com for individual component applications, species cross-reactivity, dilutions, protocols, and additional product information.

Description

This sampler kit provides an economical means to investigate Forkhead signaling. The kit contains primary and secondary antibodies to perform two Western blots with each antibody.

Storage

Supplied in 10 mM sodium HEPES (pH 7.5), 150 mM NaCl, 100 µg/ml BSA, 50% glycerol and less than 0.02% sodium azide. Store at –20°C. Do not aliquot the antibody.

Background

The Forkhead family of transcription factors is involved in tumorigenesis of rhabdomyosarcoma and acute leukemias (1-3). Within the family, three members (FoxO1, FoxO4, and FoxO3a) have sequence similarity to the nematode orthologue DAF-16, which mediates signaling via a pathway involving IGFR1, PI3K, and Akt (4-6). Active forkhead members act as tumor suppressors by promoting cell cycle arrest and apoptosis. Increased expression of any FoxO member results in the activation of the cell cycle inhibitor p27 Kip1. Forkhead transcription factors also play a part in TGF-β-mediated upregulation of p21 Cip1, a process negatively regulated through PI3K (7). Increased proliferation results when forkhead transcription factors are inactivated through phosphorylation by Akt at Thr24, Ser256, and Ser319, which results in nuclear export and inhibition of transcription factor activity (8). Forkhead transcription factors can also be inhibited by the deacetylase sirtuin (SirT1) (9).

Trademarks and Patents

Cell Signaling Technology is a trademark of Cell Signaling Technology, Inc.

All other trademarks are the property of their respective owners. Visit cellsignal.com/trademarks for more information.

Limited Uses

Except as otherwise expressly agreed in a writing signed by a legally authorized representative of CST, the following terms apply to Products provided by CST, its affiliates or its distributors. Any Customer's terms and conditions that are in addition to, or different from, those contained herein, unless separately accepted in writing by a legally authorized representative of CST, are rejected and are of no force or effect.

Products are labeled with For Research Use Only or a similar labeling statement and have not been approved, cleared, or licensed by the FDA or other regulatory foreign or domestic entity, for any purpose. Customer shall not use any Product for any diagnostic or therapeutic purpose, or otherwise in any manner that conflicts with its labeling statement. Products sold or licensed by CST are provided for Customer as the end-user and solely for research and development uses. Any use of Product for diagnostic, prophylactic or therapeutic purposes, or any purchase of Product for resale (alone or as a component) or other commercial purpose, requires a separate license from CST. Customer shall (a) not sell, license, loan, donate or otherwise transfer or make available any Product to any third party, whether alone or in combination with other materials, or use the Products to manufacture any commercial products, (b) not copy, modify, reverse engineer, decompile, disassemble or otherwise attempt to discover the underlying structure or technology of the Products, or use the Products for the purpose of developing any products or services that would compete with CST products or services, (c) not alter or remove from the Products any trademarks, trade names, logos, patent or copyright notices or markings, (d) use the Products solely in accordance with CST Product Terms of Sale and any applicable documentation, and (e) comply with any license, terms of service or similar agreement with respect to any third party products or services used by Customer in connection with the Products.

Orders: 877-616-CELL (2355) [email protected] Support: 877-678-TECH (8324) [email protected] Web: cellsignal.com
For Research Use Only. Not for Use in Diagnostic Procedures.

Revision 1

Cell Signaling Technology Logo
Western blot analysis of extracts from 293T, MRK-nu-1 and Jurkat cells using FoxO3a (D19A7) Rabbit mAb (upper) and Akt (pan) (C67E7) Rabbit mAb #4691 (lower).
undefined Image 1: Forkhead Signaling Antibody Sampler Kit
Western blot analysis of extracts from 293T cells, untreated (-) or treated with LY294002 #9901 (50 μM, overnight; +) and Wortmannin #9951 (1 μM, overnight; +), using Phospho-FoxO3a (Ser253) (D18H8) Rabbit mAb (upper) or FoxO3a (D19A7) Rabbit mAb #12829 (lower).
undefined Image 2: Forkhead Signaling Antibody Sampler Kit
Western blot analysis of extracts from Jurkat cells treated with either Calyculin A (#9902) or LY294002 (#9901), NIH3T3 and COS-7 cells using Phospho-FoxO1 (Thr24)/(FoxO3a (Thr32)/FoxO4 (Thr28) (4G6) Rabbit mAb to detect FoxO1, FoxO3a and FoxO4 when phosphorylated at the Thr24, Thr32, and Thr28 positions, respectively (left panel). Total FoxO1, FoxO3a and FoxO4 were detected using FoxO1 (C29H4) Rabbit mAb (#2880), FoxO3a (75D8) Rabbit mAb (#2497) and FoxO4 Antibody (#9472), respectively (right panel).
undefined Image 3: Forkhead Signaling Antibody Sampler Kit
Orders: 877-616-CELL (2355) [email protected] Support: 877-678-TECH (8324) [email protected] Web: cellsignal.com
For Research Use Only. Not for Use in Diagnostic Procedures.

Revision 1

Cell Signaling Technology Logo
Western blot analysis of extracts from 293T cells, either wild type (+/+) or FoxO1 (-/-), using FoxO1 (C29H4) Rabbit mAb (upper) and FoxO3a (75D8) Rabbit mAb #2497 (lower). 
undefined Image 4: Forkhead Signaling Antibody Sampler Kit
After the primary antibody is bound to the target protein, a complex with HRP-linked secondary antibody is formed. The LumiGLO® is added and emits light during enzyme catalyzed decomposition.
undefined Image 5: Forkhead Signaling Antibody Sampler Kit
Western blot analysis of extracts from COS cells, serum starved or serum treated, using Phospho-Fox01 (Ser256) Antibody.
undefined Image 6: Forkhead Signaling Antibody Sampler Kit
Orders: 877-616-CELL (2355) [email protected] Support: 877-678-TECH (8324) [email protected] Web: cellsignal.com
For Research Use Only. Not for Use in Diagnostic Procedures.

Revision 1

Cell Signaling Technology Logo
Western blot analysis of extracts from HT29 cells, serum starved or serum treated, using Phospho-Fox01 (Thr24)/Fox03a (Thr32) Antibody.
undefined Image 7: Forkhead Signaling Antibody Sampler Kit
Western blot analysis of extracts from serum starved and serum-treated NIH/3T3 cells as well as untreated and LY294002/Wortmannin-treated MDA-MB-468 cells, using Phospho-Fox03a (Ser318/321) Antibody (upper) or Akt Antibody #9272 (lower).
undefined Image 8: Forkhead Signaling Antibody Sampler Kit
Western blot analysis of extracts from Ramos and Jurkat cells, using Fox04 Antibody.
undefined Image 9: Forkhead Signaling Antibody Sampler Kit
Orders: 877-616-CELL (2355) [email protected] Support: 877-678-TECH (8324) [email protected] Web: cellsignal.com
For Research Use Only. Not for Use in Diagnostic Procedures.

Revision 1

Cell Signaling Technology Logo
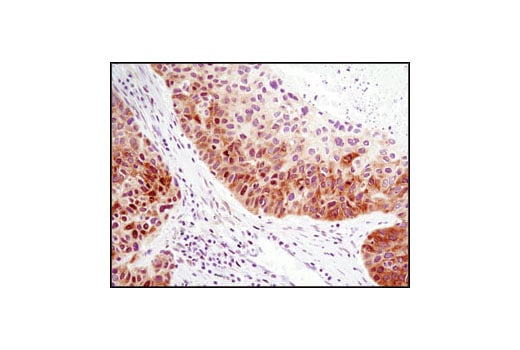
Immunohistochemical analysis of paraffin-embedded human breast carcinoma using FoxO3a (D19A7) Rabbit mAb.
undefined Image 10: Forkhead Signaling Antibody Sampler Kit
Western blot analysis of extracts from Jurkat cells treated with either Calyculin A (#9902) or LY294002 (#9901) using Phospho-FoxO1 (Thr24)/(FoxO3a (Thr32)/FoxO4 (Thr28) (4G6) Rabbit mAb. The phospho-specificity of the antibody was verified by treating the membrane in the absence (-) or presence (-) of calf intestinal phosphatase (CIP) after western transfer.
undefined Image 11: Forkhead Signaling Antibody Sampler Kit
Western blot analysis of extracts from IGROV-1 and COS-7 cells using FoxO1 (C29H4) Rabbit mAb.
undefined Image 12: Forkhead Signaling Antibody Sampler Kit
Orders: 877-616-CELL (2355) [email protected] Support: 877-678-TECH (8324) [email protected] Web: cellsignal.com
For Research Use Only. Not for Use in Diagnostic Procedures.

Revision 1

Cell Signaling Technology Logo
Immunohistochemical analysis of paraffin-embedded PC-3 (upper) and MRK-nu-1 (lower) cell pellets, treated with Human Insulin-like Growth Factor I (hIGF-I) #8917 (left) or LY294002 #9901 (right), using FoxO3a (D19A7) Rabbit mAb.
undefined Image 13: Forkhead Signaling Antibody Sampler Kit
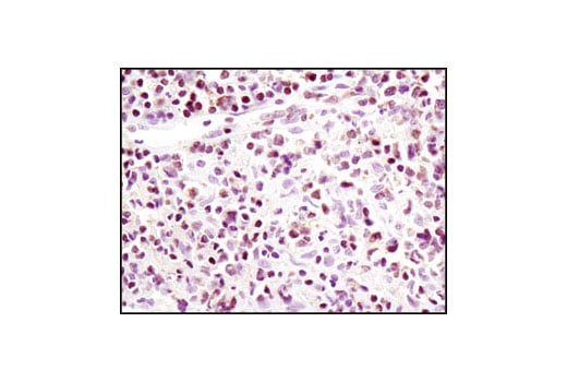
Immunohistochemical analysis of paraffin-embedded human prostate carcinoma using FoxO3a (D19A7) Rabbit mAb.
undefined Image 14: Forkhead Signaling Antibody Sampler Kit
Immunoprecipitation of FoxO1 from C6 extracts. Lane 1 is 10% input, lane 2 is FoxO1 (C29H4) Rabbit mAb, and lane 3 is Rabbit (DA1E) mAb IgG XP® Isotype Control #3900. Western blot analysis was perfomed using FoxO1 (C29H4) Rabbit mAb. Anti-rabbit IgG, HRP-linked Antibody #7074 was used as a secondary antibody.
undefined Image 15: Forkhead Signaling Antibody Sampler Kit
Orders: 877-616-CELL (2355) [email protected] Support: 877-678-TECH (8324) [email protected] Web: cellsignal.com
For Research Use Only. Not for Use in Diagnostic Procedures.

Revision 1

Cell Signaling Technology Logo
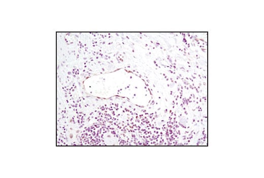
Immunohistochemical analysis of paraffin-embedded metastatic SKOV3 tumor in mouse lung using FoxO3a (D19A7) Rabbit mAb. Note nuclear staining in adjacent normal lung.
undefined Image 16: Forkhead Signaling Antibody Sampler Kit
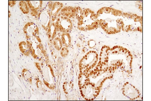
Immunohistochemical analysis of paraffin-embedded human colon using FoxO1 (C29H4) Rabbit mAb.
undefined Image 17: Forkhead Signaling Antibody Sampler Kit
Immunohistochemical analysis of paraffin-embedded human lung carcinoma using FoxO1 (C29H4) Rabbit mAb.
undefined Image 18: Forkhead Signaling Antibody Sampler Kit
Orders: 877-616-CELL (2355) [email protected] Support: 877-678-TECH (8324) [email protected] Web: cellsignal.com
For Research Use Only. Not for Use in Diagnostic Procedures.

Revision 1

Cell Signaling Technology Logo
Confocal immunofluorescent analysis of PC-3 cells, treated with Human Insulin-like Growth Factor I (hIGF-I) #8917 (left) or LY294002 #9901 (right), using FoxO3a (D19A7) Rabbit mAb (green). Actin filaments were labeled with DY-554 phalloidin (red).
undefined Image 19: Forkhead Signaling Antibody Sampler Kit
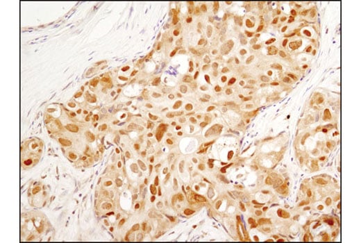
Immunohistochemical analysis of paraffin-embedded human lymphoma using FoxO1 (C29H4) Rabbit mAb.
undefined Image 20: Forkhead Signaling Antibody Sampler Kit
Flow cytometric analysis of MRK-nu-1 cells (blue) and Jurkat cells (green) using FoxO3a Rabbit mAb (solid line) compared to a concentration-matched Rabbit (DA1E) mAb IgG XP® Isotype Control #3900 (dashed line). Anti-rabbit IgG (H+L), F(ab')2 Fragment (Alexa Fluor® 488 Conjugate) #4412 was used as a secondary antibody.
undefined Image 21: Forkhead Signaling Antibody Sampler Kit
Orders: 877-616-CELL (2355) [email protected] Support: 877-678-TECH (8324) [email protected] Web: cellsignal.com
For Research Use Only. Not for Use in Diagnostic Procedures.

Revision 1

Cell Signaling Technology Logo
Immunohistochemical analysis of paraffin-embedded IGROV-1 cell pellets, LY294002-treated (left) or insulin-treated (right), using FoxO1 (C29H4) Rabbit mAb. Note the cytoplasmic localization of FoxO1 upon Akt activation.
undefined Image 22: Forkhead Signaling Antibody Sampler Kit
Immunohistochemical analysis of paraffin-embedded SKOV-3 xenograft using FoxO1 (C29H4) Rabbit mAb.
undefined Image 23: Forkhead Signaling Antibody Sampler Kit
Confocal immunofluorescent analysis of IGROV-1 cells, LY294002-treated (left) or insulin-treated (right), using FoxO1 (C29H4) Rabbit mAb (green). Actin filaments have been labeled with DY-554 phalloidin (red). Blue pseudocolor = DRAQ5™ (fluorescent DNA dye).
undefined Image 24: Forkhead Signaling Antibody Sampler Kit
Orders: 877-616-CELL (2355) [email protected] Support: 877-678-TECH (8324) [email protected] Web: cellsignal.com
For Research Use Only. Not for Use in Diagnostic Procedures.

Revision 1

Cell Signaling Technology Logo
Flow cytometric analysis of HL-60 cells (blue) and IGROV-1 cells (green) using FoxO1 (C29H4) Rabbit mAb (solid lines) or a concentration-matched Rabbit (DA1E) mAb IgG XP® Isotype Control #3900 (dashed lines). Anti-rabbit IgG (H+L), F(ab')2 Fragment (Alexa Fluor® 488 Conjugate) #4412 was used as a secondary antibody.
undefined Image 25: Forkhead Signaling Antibody Sampler Kit
Chromatin immunoprecipitations were performed with cross-linked chromatin from mouse liver tissue and either FoxO1 (C29H4) Rabbit mAb or Normal Rabbit IgG #2729 using SimpleChIP® Plus Enzymatic Chromatin IP Kit (Magnetic Beads) #9005. The enriched DNA was quantified by real-time PCR using SimpleChIP® Mouse Pdk4 Promoter Primers #31195, mouse Elk4 upstream primers and SimpleChIP® Mouse RPL30 Intron 2 Primers #7015. The amount of immunoprecipitated DNA in each sample is represented as signal relative to the total amount of input chromatin, which is equivalent to one.
undefined Image 26: Forkhead Signaling Antibody Sampler Kit
Simple WesternTM analysis of lysates (0.1 mg/ml) from Jurkat cells using FoxO3a (D19A7) Rabbit mAb #12829. The virtual lane view (left) shows the target band (as indicated) at 1:50 and 1:250 dilutions of primary antibody. The corresponding electropherogram view (right) plots chemiluminescence by molecular weight along the capillary at 1:50 (blue line) and 1:250 (green line) dilutions of primary antibody. This experiment was performed under reducing conditions on the JessTM Simple Western instrument from ProteinSimple, a BioTechne brand, using the 12-230kDa.
undefined Image 27: Forkhead Signaling Antibody Sampler Kit
Orders: 877-616-CELL (2355) [email protected] Support: 877-678-TECH (8324) [email protected] Web: cellsignal.com
For Research Use Only. Not for Use in Diagnostic Procedures.