Revision 1

#8333

Store at -20C

Fos Family Antibody Sampler Kit

1 Kit

(5 x 20 microliters)

CST Logo
Orders:

877-616-CELL (2355)

[email protected]

Support:

877-678-TECH (8324)

3 Trask Lane | Danvers | Massachusetts | 01923 | USA

For Research Use Only. Not for Use in Diagnostic Procedures.

Product Includes Product # Quantity Mol. Wt Isotype/Source
c-Fos Antibody438420 µl62 kDaRabbit
Phospho-c-Fos (Ser32) (D82C12) Rabbit Monoclonal Antibody534820 µl62 kDaRabbit IgG
FosB (5G4) Rabbit Monoclonal Antibody225120 µl38 FosB2 48 FosB kDaRabbit IgG
FRA1 (D80B4) Rabbit Monoclonal Antibody528120 µl40 kDaRabbit IgG
Phospho-FRA1 (Ser265) (D22B1) Rabbit Monoclonal Antibody584120 µl40 kDaRabbit IgG
Anti-rabbit IgG, HRP-linked Antibody7074100 µlGoat

Please visit cellsignal.com for individual component applications, species cross-reactivity, dilutions, protocols, and additional product information.

Description

The Fos Family Antibody Sampler Kit provides an economical means to evaluate the Fos family of transcription factors. The kit includes enough antibody to perform two western blot experiments with each primary antibody.

Storage

Supplied in 10 mM sodium HEPES (pH 7.5), 150 mM NaCl, 100 µg/ml BSA, 50% glycerol and less than 0.02% sodium azide. Store at –20°C. Do not aliquot the antibody.

Background

The Fos family of nuclear oncogenes includes c-Fos, FosB, Fos-related antigen 1 (FRA1), and Fos-related antigen 2 (FRA2) (1). While most Fos proteins exist as a single isoform, the FosB protein exists as two isoforms: full-length FosB and a shorter form, FosB2 (Delta FosB), which lacks the carboxy-terminal 101 amino acids (1-3). The expression of Fos proteins is rapidly and transiently induced by a variety of extracellular stimuli, including growth factors, cytokines, neurotransmitters, polypeptide hormones, and stress. Fos proteins dimerize with Jun proteins (c-Jun, JunB, and JunD) to form Activator Protein-1 (AP-1), a transcription factor that binds to TRE/AP-1 elements and activates transcription. Fos and Jun proteins contain the leucine-zipper motif that mediates dimerization and an adjacent basic domain that binds to DNA. The various Fos/Jun heterodimers differ in their ability to transactivate AP-1 dependent genes. In addition to increased expression, phosphorylation of Fos proteins by Erk kinases in response to extracellular stimuli may further increase transcriptional activity (4-6). Phosphorylation of c-Fos at Ser32 and Thr232 by Erk5 increases protein stability and nuclear localization (5). Phosphorylation of FRA1 at Ser252 and Ser265 by Erk1/2 increases protein stability and leads to overexpression of FRA1 in cancer cells (6). Following growth factor stimulation, expression of FosB and c-Fos in quiescent fibroblasts is immediate, but very short-lived, with protein levels dissipating after several hours (7). FRA1 and FRA2 expression persists longer, and appreciable levels can be detected in asynchronously growing cells (8). Deregulated expression of c-Fos, FosB, or FRA2 can result in neoplastic cellular transformation; however, Delta FosB lacks the ability to transform cells (2,3).

Trademarks and Patents

Cell Signaling Technology is a trademark of Cell Signaling Technology, Inc.

All other trademarks are the property of their respective owners. Visit cellsignal.com/trademarks for more information.

Limited Uses

Except as otherwise expressly agreed in a writing signed by a legally authorized representative of CST, the following terms apply to Products provided by CST, its affiliates or its distributors. Any Customer's terms and conditions that are in addition to, or different from, those contained herein, unless separately accepted in writing by a legally authorized representative of CST, are rejected and are of no force or effect.

Products are labeled with For Research Use Only or a similar labeling statement and have not been approved, cleared, or licensed by the FDA or other regulatory foreign or domestic entity, for any purpose. Customer shall not use any Product for any diagnostic or therapeutic purpose, or otherwise in any manner that conflicts with its labeling statement. Products sold or licensed by CST are provided for Customer as the end-user and solely for research and development uses. Any use of Product for diagnostic, prophylactic or therapeutic purposes, or any purchase of Product for resale (alone or as a component) or other commercial purpose, requires a separate license from CST. Customer shall (a) not sell, license, loan, donate or otherwise transfer or make available any Product to any third party, whether alone or in combination with other materials, or use the Products to manufacture any commercial products, (b) not copy, modify, reverse engineer, decompile, disassemble or otherwise attempt to discover the underlying structure or technology of the Products, or use the Products for the purpose of developing any products or services that would compete with CST products or services, (c) not alter or remove from the Products any trademarks, trade names, logos, patent or copyright notices or markings, (d) use the Products solely in accordance with CST Product Terms of Sale and any applicable documentation, and (e) comply with any license, terms of service or similar agreement with respect to any third party products or services used by Customer in connection with the Products.

Orders: 877-616-CELL (2355) [email protected] Support: 877-678-TECH (8324) [email protected] Web: cellsignal.com
For Research Use Only. Not for Use in Diagnostic Procedures.

Revision 1

Cell Signaling Technology Logo
Western blot analysis of extracts from HeLa cells serum-starved overnight and TPA-stimulated for 4 hours, or NIH/3T3 cells and C6 cells serum-starved overnight and serum-stimulated for 4 hours, using FosB (5G4) Rabbit mAb.
undefined Image 1: Fos Family Antibody Sampler Kit
CUT&RUN was performed with PC-12 cells starved overnight and treated with β-NGF (50ng/mL) for 2h and FosB (5G4) Rabbit mAb, using CUT&RUN Assay Kit #86652. DNA Library was prepared using DNA Library Prep Kit for Illumina® (ChIP-seq, CUT&RUN) #56795. The figure shows binding across the Adck4 gene.
undefined Image 2: Fos Family Antibody Sampler Kit
Western blot analysis of extracts from HeLa, RAW, and H-4-IIE cells serum-starved overnight and TPA-stimulated for 4 hours, using c-Fos Antibody.
undefined Image 3: Fos Family Antibody Sampler Kit
Orders: 877-616-CELL (2355) [email protected] Support: 877-678-TECH (8324) [email protected] Web: cellsignal.com
For Research Use Only. Not for Use in Diagnostic Procedures.

Revision 1

Cell Signaling Technology Logo
Western blot analysis of extracts from serum-starved HeLa cells, untreated or stimulated with TPA #4174 for 4 hours, using FRA1 (D80B4) Rabbit mAb (upper) and β-Actin Antibody #4967 (lower).
undefined Image 4: Fos Family Antibody Sampler Kit
Western blot analysis of extracts from HeLa cells, serum-starved overnight and then either untreated or stimulated for 4 hours with TPA (12-O-Tetradecanoylphorbol-13-Acetate) #4174, using Phospho-c-Fos (Ser32) (D82C12) XP® Rabbit mAb (upper) and c-Fos (9F6) Rabbit mAb #2250 (lower). Antibody phospho-specificity is shown by treating lysates with λ-phosphatase.
undefined Image 5: Fos Family Antibody Sampler Kit
Western blot analysis of extracts from HeLa cells, serum-starved overnight, and either left untreated or treated with TPA #4174 for 4 hours, using Phospho-FRA1 (Ser265) (D22B1) Rabbit mAb #5841 (upper) and FRA1 (D80B4) Rabbit mAb #5281 (lower). Antibody phospho-specificity is shown by treating lysates with λ phosphatase.
undefined Image 6: Fos Family Antibody Sampler Kit
Orders: 877-616-CELL (2355) [email protected] Support: 877-678-TECH (8324) [email protected] Web: cellsignal.com
For Research Use Only. Not for Use in Diagnostic Procedures.

Revision 1

Cell Signaling Technology Logo
After the primary antibody is bound to the target protein, a complex with HRP-linked secondary antibody is formed. The LumiGLO® is added and emits light during enzyme catalyzed decomposition.
undefined Image 7: Fos Family Antibody Sampler Kit
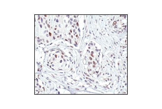
Immunohistochemical analysis of paraffin-embedded human breast carcinoma, using FosB (5G4) Rabbit mAb.
undefined Image 8: Fos Family Antibody Sampler Kit
CUT&RUN was performed with PC-12 cells starved overnight and treated with β-NGF (50ng/mL) for 2h and FosB (5G4) Rabbit mAb, using CUT&RUN Assay Kit #86652. DNA Library was prepared using DNA Library Prep Kit for Illumina® (ChIP-seq, CUT&RUN) #56795. The figures show binding across chromosome 1 (upper), including the Adck4 gene (lower).
undefined Image 9: Fos Family Antibody Sampler Kit
Orders: 877-616-CELL (2355) [email protected] Support: 877-678-TECH (8324) [email protected] Web: cellsignal.com
For Research Use Only. Not for Use in Diagnostic Procedures.

Revision 1

Cell Signaling Technology Logo
Simple WesternTM analysis of lysates (0.1 mg/mL) from HeLa+TPA lysate using FRA1 (D80B4) Rabbit mAb #5281. The virtual lane view (left) shows the target band (as indicated) at 1:50 and 1:250 dilutions of primary antibody. The corresponding electropherogram view (right) plots chemiluminescence by molecular weight along the capillary at 1:50 (blue line) and 1:250 (green line) dilutions of primary antibody.  This experiment was performed under reducing conditions on the JessTM Simple Western instrument from ProteinSimple, a BioTechne brand, using the 12-230 kDa separation module.
undefined Image 10: Fos Family Antibody Sampler Kit
Confocal immunofluorescent analysis of mouse cerebral cortex both untreated (left) and lambda-phosphatase treated (right) using Phospho-c-Fos (Ser32) (D82C12) XP® Rabbit mAb #5348 (green) and Neurofilament-L (DA2) Mouse mAb #2835 (red). Samples were mounted in ProLong® Gold Antifade Reagent with DAPI #8961 (blue).
undefined Image 11: Fos Family Antibody Sampler Kit
Chromatin immunoprecipitations were performed with cross-linked chromatin from PC-12 cells starved overnight and treated with β-NGF (50ng/ml) for 2h and either Phospho-FRA1 (Ser265) (D22B1) Rabbit mAb or Normal Rabbit IgG #2729 using SimpleChIP® Enzymatic Chromatin IP Kit (Magnetic Beads) #9003. The enriched DNA was quantified by real-time PCR SimpleChIP® Rat CCRN4L Promoter Primers #7983, rat DCLK1 promoter primers, and SimpleChIP® Rat GAPDH Promoter Primers #7964. The amount of immunoprecipitated DNA in each sample is represented as signal relative to the total amount of input chromatin, which is equivalent to one.
undefined Image 12: Fos Family Antibody Sampler Kit
Orders: 877-616-CELL (2355) [email protected] Support: 877-678-TECH (8324) [email protected] Web: cellsignal.com
For Research Use Only. Not for Use in Diagnostic Procedures.

Revision 1

Cell Signaling Technology Logo
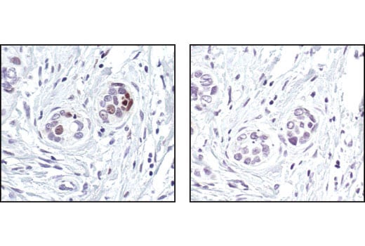
Immunohistochemical analysis of paraffin-embedded human breast carcinoma, using FosB (5G4) Rabbit mAb in the presence of control peptide (left) or FosB Blocking Peptide (right).
undefined Image 13: Fos Family Antibody Sampler Kit
CUT&RUN was performed with PC-12 cells starved overnight and treated with β-NGF (50ng/mL) for 2h and FosB (5G4) Rabbit mAb or Rabbit (DA1E) mAb IgG XP® Isotype Control (CUT&RUN) #66362, using CUT&RUN Assay Kit #86652. The enriched DNA was quantified by real-time PCR using rat Adck4 promoter primers, rat Dclk1 promoter primers, and rat Noct downstream primers. The amount of immunoprecipitated DNA in each sample is represented as signal relative to the total amount of input chromatin, which is equivalent to one.
undefined Image 14: Fos Family Antibody Sampler Kit
Confocal immunofluorescent analysis of HeLa cells, serum-starved (left), TPA-treated (middle) or treated with TPA and λ-phosphatase (right), using Phospho-c-Fos (Ser32) (D82C12) XP® Rabbit mAb (green). Actin filaments have been labeled with DY-554 phalloidin (red).
undefined Image 15: Fos Family Antibody Sampler Kit
Orders: 877-616-CELL (2355) [email protected] Support: 877-678-TECH (8324) [email protected] Web: cellsignal.com
For Research Use Only. Not for Use in Diagnostic Procedures.

Revision 1

Cell Signaling Technology Logo
CUT&RUN was performed with PC-12 cells starved overnight and treated with β-NGF (50ng/mL) for 2h and Phospho-FRA1 (Ser265) (D22B1) Rabbit mAb, using CUT&RUN Assay Kit #86652. DNA Library was prepared using DNA Library Prep Kit for Illumina® (ChIP-seq, CUT&RUN) #56795. The figure shows binding across the Adck4 gene.
undefined Image 16: Fos Family Antibody Sampler Kit
Immunohistochemical analysis of paraffin-embedded HeLa cells control (left) or PMA-treated (right), using FosB (5G4) Rabbit mAb.
undefined Image 17: Fos Family Antibody Sampler Kit
Flow cytometric analysis of HeLa cells serum starved overnight, untreated (blue) or treated with TPA #4174 (200 nM, 4 hr; green) using Phospho-c-Fos (Ser32) (D82C12) XP® Rabbit mAb (solid lines) or concentration-matched Rabbit (DA1E) mAb IgG XP® Isotype Control #3900 (dashed lines). Anti-rabbit IgG (H+L), F(ab')2 Fragment (Alexa Fluor® 488 Conjugate) #4412 was used as a secondary antibody.
undefined Image 18: Fos Family Antibody Sampler Kit
Orders: 877-616-CELL (2355) [email protected] Support: 877-678-TECH (8324) [email protected] Web: cellsignal.com
For Research Use Only. Not for Use in Diagnostic Procedures.

Revision 1

Cell Signaling Technology Logo
CUT&RUN was performed with PC-12 cells starved overnight and treated with β-NGF (50ng/mL) for 2h and Phospho-FRA1 (Ser265) (D22B1) Rabbit mAb, using CUT&RUN Assay Kit #86652. DNA Library was prepared using DNA Library Prep Kit for Illumina® (ChIP-seq, CUT&RUN) #56795. The figures show binding across chromosome 1 (upper), including the Adck4 gene (lower).
undefined Image 19: Fos Family Antibody Sampler Kit
Confocal immunofluorescent analysis of HeLa cells either serum-starved (left) or TPA-treated (right) and labeled with FosB (5G4) Rabbit mAb (green). Actin filaments have been labeled with Alexa Fluor® 555 phalloidin (red).
undefined Image 20: Fos Family Antibody Sampler Kit
Chromatin immunoprecipitations were performed with cross-linked chromatin from PC-12 cells starved overnight and treated with Human β-Nerve Gowth Factor (hβ-NGF) (50ng/ml) for 2h and Phospho-c-Fos (Ser32) (D82C12) XP® Rabbit mAb, using SimpleChIP® Plus Enzymatic Chromatin IP Kit (Magnetic Beads) #9005. DNA Libraries were prepared using DNA Library Prep Kit for Illumina® (ChIP-seq, CUT&RUN) #56795. The figure shows binding across Fbxl19 gene. For additional ChIP-seq tracks, please download the product datasheet.
undefined Image 21: Fos Family Antibody Sampler Kit
Orders: 877-616-CELL (2355) [email protected] Support: 877-678-TECH (8324) [email protected] Web: cellsignal.com
For Research Use Only. Not for Use in Diagnostic Procedures.

Revision 1

Cell Signaling Technology Logo
CUT&RUN was performed with PC-12 cells starved overnight and treated with β-NGF (50ng/mL) for 2h and Phospho-FRA1 (Ser265) (D22B1) Rabbit mAb or Rabbit (DA1E) mAb IgG XP® Isotype Control (CUT&RUN) #66362, using CUT&RUN Assay Kit #86652. The enriched DNA was quantified by real-time PCR using rat Adck4 promoter primers, rat Dclk1 promoter primers, and rat Noct downstream primers. The amount of immunoprecipitated DNA in each sample is represented as signal relative to the total amount of input chromatin, which is equivalent to one.
undefined Image 22: Fos Family Antibody Sampler Kit
Flow cytometric analysis of HeLa cells, untreated (blue) or treated with TPA #4174 (200 nM, 4 hr; green) using FosB (5G4) Rabbit mAb (solid lines) or concentration-matched Rabbit (DA1E) mAb IgG XP® Isotype Control #3900 (dashed lines). Anti-rabbit IgG (H+L), F(ab')2 Fragment (Alexa Fluor® 488 Conjugate) #4412 was used as a secondary antibody.
undefined Image 23: Fos Family Antibody Sampler Kit
Chromatin immunoprecipitations were performed with cross-linked chromatin from PC-12 cells starved overnight and treated with Human β-Nerve Gowth Factor (hβ-NGF) (50ng/ml) for 2h and Phospho-c-Fos (Ser32) (D82C12) XP® Rabbit mAb, using SimpleChIP® Plus Enzymatic Chromatin IP Kit (Magnetic Beads) #9005. DNA Libraries were prepared using DNA Library Prep Kit for Illumina® (ChIP-seq, CUT&RUN) #56795. The figure shows binding across chromosome 1 (upper), including Fbxl19 (lower).
undefined Image 24: Fos Family Antibody Sampler Kit
Orders: 877-616-CELL (2355) [email protected] Support: 877-678-TECH (8324) [email protected] Web: cellsignal.com
For Research Use Only. Not for Use in Diagnostic Procedures.

Revision 1

Cell Signaling Technology Logo
Chromatin immunoprecipitations were performed with cross-linked chromatin from PC-12 cells starved overnight and treated with Human β-Nerve Gowth Factor (hβ-NGF) (50ng/ml) for 2h and either Phospho-c-Fos (Ser32) (D82C12) XP® Rabbit mAb or Normal Rabbit IgG #2729 using SimpleChIP® Enzymatic Chromatin IP Kit (Magnetic Beads) #9003. The enriched DNA was quantified by real-time PCR using SimpleChIP® Rat CCRN4L Promoter Primers #7983, rat DCLK1 promoter primers, and SimpleChIP® Rat GAPDH Promoter Primers #7964. The amount of immunoprecipitated DNA in each sample is represented as signal relative to the total amount of input chromatin, which is equivalent to one.
undefined Image 25: Fos Family Antibody Sampler Kit
Chromatin immunoprecipitations were performed with cross-linked chromatin from PC-12 cells starved overnight and treated with β-NGF (50 ng/ml) for 2 hr and either FosB (5G4) Rabbit mAb or Normal Rabbit IgG #2729 using SimpleChIP® Enzymatic Chromatin IP Kit (Magnetic Beads) #9003. The enriched DNA was quantified by real-time PCR SimpleChIP® Rat CCRN4L Promoter Primers #7983, rat DCLK1 promoter primers, and SimpleChIP® Rat GAPDH Promoter Primers #7964. The amount of immunoprecipitated DNA in each sample is represented as signal relative to the total amount of input chromatin, which is equivalent to one.
undefined Image 26: Fos Family Antibody Sampler Kit
Western blot analysis of extracts from HeLa cells, serum-starved and then untreated (-) or treated with TPA (400 nM, 4 hrs; +), using c-Fos (E7L5L) Mouse mAb #74620 (Panel A) and Phospho-c-Fos (Ser32) (D82C12) XP® Rabbit mAb #5348 (Panel B). Anti-mouse IgG (H+L) (DyLight 680 Conjugate) #5470 (red) and Anti-rabbit IgG (H+L) (DyLight 800 4X PEG Conjugate) #5151 (green) were used as secondary antibodies.
undefined Image 27: Fos Family Antibody Sampler Kit
Orders: 877-616-CELL (2355) [email protected] Support: 877-678-TECH (8324) [email protected] Web: cellsignal.com
For Research Use Only. Not for Use in Diagnostic Procedures.