Revision 9

#53528

Store at -20C

CST Logo
Orders:

877-616-CELL (2355)

[email protected]

Support:

877-678-TECH (8324)

3 Trask Lane | Danvers | Massachusetts | 01923 | USA

For Research Use Only. Not for Use in Diagnostic Procedures.

Applications:
W, IP, IF-IC, FC-FP, ChIP, ChIP-seq, C&R

Reactivity:
H

Sensitivity:
Endogenous

MW (kDa):
50

Source/Isotype:
Rabbit IgG

UniProt ID:
#P55317

Entrez-Gene Id:
3169

Product Usage Information

For optimal ChIP and ChIP-seq results, use 10 μl of antibody and 10 μg of chromatin (approximately 4 x 106 cells) per IP. This antibody has been validated using SimpleChIP® Enzymatic Chromatin IP Kits.

The CUT&RUN dilution was determined using CUT&RUN Assay Kit #86652.
Application Dilution
Western Blotting 1:1000
Immunoprecipitation 1:50
Immunofluorescence (Immunocytochemistry) 1:1600 - 1:3200
Flow Cytometry (Fixed/Permeabilized) 1:400 - 1:1600
Chromatin IP 1:50
Chromatin IP-seq 1:50
CUT&RUN 1:50

Storage

Supplied in 10 mM sodium HEPES (pH 7.5), 150 mM NaCl, 100 µg/ml BSA, 50% glycerol and less than 0.02% sodium azide. Store at –20°C. Do not aliquot the antibody.

For a carrier free (BSA and azide free) version of this product see product #28899.

Specificity/Sensitivity

FoxA1/HNF3 alpha (E7E8W) Rabbit Monoclonal Antibody recognizes endogenous levels of total FoxA1/HNF3α protein.

Source / Purification

Monoclonal antibody is produced by immunizing animals with recombinant protein specific to the amino terminus of human FoxA1/HNF3α protein.

Background

Forkhead box protein A1 (FoxA1, HNF3α) is a transcription factor required for the development of endoderm-derived organs, such as liver, lung, and prostate (1). FoxA1 functions as a pioneer factor that is recruited primarily to the distant enhancers to change chromatin structure for transcription in a cell type-specific manner (2,3). The FoxA1 transcription factor is implicated in various diseases, playing a role in hormone-dependent disorders, such as breast and prostate cancers (4). The treatment of relapsing-remitting multiple sclerosis patients with IFN-β results in FoxA1-induced stimulation of a novel population of FoxA1(+) regulatory T cells, suggesting a possible immunosuppressive role for FoxA1 (5).

Species Reactivity

Species reactivity is determined by testing in at least one approved application (e.g., western blot).

Western Blot Buffer

IMPORTANT: For western blots, incubate membrane with diluted primary antibody in 5% w/v nonfat dry milk, 1X TBS, 0.1% Tween® 20 at 4°C with gentle shaking, overnight.

Applications Key

W: Western Blotting IP: Immunoprecipitation IF-IC: Immunofluorescence (Immunocytochemistry) FC-FP: Flow Cytometry (Fixed/Permeabilized) ChIP: Chromatin IP ChIP-seq: Chromatin IP-seq C&R: CUT&RUN

Cross-Reactivity Key

H: Human

Trademarks and Patents

Cell Signaling Technology is a trademark of Cell Signaling Technology, Inc.

Alexa Fluor is a registered trademark of Life Technologies Corporation.

All other trademarks are the property of their respective owners. Visit cellsignal.com/trademarks for more information.

Limited Uses

Except as otherwise expressly agreed in a writing signed by a legally authorized representative of CST, the following terms apply to Products provided by CST, its affiliates or its distributors. Any Customer's terms and conditions that are in addition to, or different from, those contained herein, unless separately accepted in writing by a legally authorized representative of CST, are rejected and are of no force or effect.

Products are labeled with For Research Use Only or a similar labeling statement and have not been approved, cleared, or licensed by the FDA or other regulatory foreign or domestic entity, for any purpose. Customer shall not use any Product for any diagnostic or therapeutic purpose, or otherwise in any manner that conflicts with its labeling statement. Products sold or licensed by CST are provided for Customer as the end-user and solely for research and development uses. Any use of Product for diagnostic, prophylactic or therapeutic purposes, or any purchase of Product for resale (alone or as a component) or other commercial purpose, requires a separate license from CST. Customer shall (a) not sell, license, loan, donate or otherwise transfer or make available any Product to any third party, whether alone or in combination with other materials, or use the Products to manufacture any commercial products, (b) not copy, modify, reverse engineer, decompile, disassemble or otherwise attempt to discover the underlying structure or technology of the Products, or use the Products for the purpose of developing any products or services that would compete with CST products or services, (c) not alter or remove from the Products any trademarks, trade names, logos, patent or copyright notices or markings, (d) use the Products solely in accordance with CST Product Terms of Sale and any applicable documentation, and (e) comply with any license, terms of service or similar agreement with respect to any third party products or services used by Customer in connection with the Products.

Orders: 877-616-CELL (2355) [email protected] Support: 877-678-TECH (8324) [email protected] Web: cellsignal.com
For Research Use Only. Not for Use in Diagnostic Procedures.

Revision 9

Cell Signaling Technology Logo
Western blot analysis of extracts from various cell lines using FoxA1/HNF3α (E7E8W) Rabbit mAb (upper) and β-Actin (D6A8) Rabbit mAb #8457 (lower).
Western Blotting Image 1: FoxA1/HNF3 alpha (E7E8W) Rabbit Monoclonal Antibody
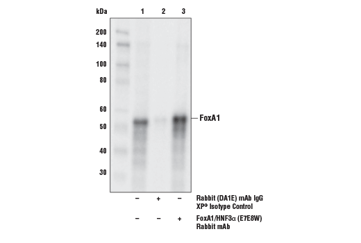
Immunoprecipitation of FoxA1/HNF3α from Hep G2 extract. Lane 1 is 10% input, lane 2 is Rabbit (DA1E) mAb IgG XP® Isotype Control #3900, and lane 3 is FoxA1/HNF3α (E7E8W) Rabbit mAb. Western blot analysis was performed usingFoxA1/HNF3α (E7E8W) Rabbit mAb. Mouse Anti-rabbit IgG (Conformation Specific) (L27A9) mAb (HRP Conjugate) #5127 was used as the secondary antibody.
Immunoprecipitation Image 1: FoxA1/HNF3 alpha (E7E8W) Rabbit Monoclonal Antibody
Confocal immunofluorescent analysis of MCF7 cells (left, positive) and SK-MEL-5 cells (right, negative) using FOXA1 (E7E8W) Rabbit mAb (green). Actin filaments were labeled with DyLight™ 554 Phalloidin #13054 (red).
Immunofluorescence Image 1: FoxA1/HNF3 alpha (E7E8W) Rabbit Monoclonal Antibody
Orders: 877-616-CELL (2355) [email protected] Support: 877-678-TECH (8324) [email protected] Web: cellsignal.com
For Research Use Only. Not for Use in Diagnostic Procedures.

Revision 9

Cell Signaling Technology Logo
Flow cytometric analysis of fixed/permeabilized Daudi cells (blue, negative) and MCF7 cells (green, positive) using FoxA1/HNF3α (E7E8W) Rabbit mAb (solid lines) or concentration-matched Rabbit (DA1E) mAb IgG XP® Isotype Control #3900 (dashed lines). Anti-rabbit IgG F(ab')2 Fragment (Alexa Fluor® 488 Conjugate) #4412 was used as a secondary antibody.
Flow Cytometry Image 1: FoxA1/HNF3 alpha (E7E8W) Rabbit Monoclonal Antibody
Chromatin immunoprecipitations were performed with cross-linked chromatin from LNCaP cells and FoxA1/HNF3α (E7E8W) Rabbit mAb, using SimpleChIP® Plus Enzymatic Chromatin IP Kit (Magnetic Beads) #9005. DNA Libraries were prepared using DNA Library Prep Kit for Illumina (ChIP-seq, CUT&RUN) #56795. The figure shows binding across KLK3.
Chromatin Immunoprecipitation Image 1: FoxA1/HNF3 alpha (E7E8W) Rabbit Monoclonal Antibody
Chromatin immunoprecipitations were performed with cross-linked chromatin LNCaP cells and FoxA1/HNF3α (E7E8W) Rabbit mAb, using SimpleChIP® Plus Enzymatic Chromatin IP Kit (Magnetic Beads) #9005. DNA Libraries were prepared using DNA Library Prep Kit for Illumina (ChIP-seq, CUT&RUN) #56795. The figure shows binding across chromosome 19 (upper), including KLK3 (lower), a known target of FoxA1/HNF3α.
Chromatin Immunoprecipitation Image 2: FoxA1/HNF3 alpha (E7E8W) Rabbit Monoclonal Antibody
Orders: 877-616-CELL (2355) [email protected] Support: 877-678-TECH (8324) [email protected] Web: cellsignal.com
For Research Use Only. Not for Use in Diagnostic Procedures.

Revision 9

Cell Signaling Technology Logo
Chromatin immunoprecipitations were performed with cross-linked chromatin from untreated LNCaP cells and either FoxA1/HNF3α (E7E8W) Rabbit mAb or Normal Rabbit IgG #2729 using SimpleChIP® Plus Enzymatic Chromatin IP Kit (Magnetic Beads) #9005. The enriched DNA was quantified by real-time PCR using human SLUG exon 3 primers, human PSA enhancer primers, SimpleChIP® Human KLK3 Promoter Primers #32784, and SimpleChIP® Human α Satellite Repeat Primers #4486. The amount of immunoprecipitated DNA in each sample is represented as signal relative to the total amount of input chromatin, which is equivalent to one.
Chromatin Immunoprecipitation Image 3: FoxA1/HNF3 alpha (E7E8W) Rabbit Monoclonal Antibody
CUT&RUN was performed with LNCaP cells and FoxA1/HNF3α (E7E8W) Rabbit mAb, using CUT&RUN Assay Kit #86652. DNA library was prepared using DNA Library Prep Kit for Illumina (ChIP-seq, CUT&RUN) #56795. The figure shows binding across RABL3, a known target gene of FoxA1 (see additional figure containing CUT&RUN-qPCR data).
CUT & RUN Image 1: FoxA1/HNF3 alpha (E7E8W) Rabbit Monoclonal Antibody
CUT&RUN was performed with LNCaP cells and FoxA1/HNF3α (E7E8W) Rabbit mAb, using CUT&RUN Assay Kit #86652. DNA Libraries were prepared using DNA Library Prep Kit for Illumina (ChIP-seq, CUT&RUN) #56795. The figures show binding across chromosome 3 (upper), including RABL3 (lower), a known target gene of FoxA1 (see additional figure containing CUT&RUN-qPCR data).
CUT & RUN Image 2: FoxA1/HNF3 alpha (E7E8W) Rabbit Monoclonal Antibody
Orders: 877-616-CELL (2355) [email protected] Support: 877-678-TECH (8324) [email protected] Web: cellsignal.com
For Research Use Only. Not for Use in Diagnostic Procedures.

Revision 9

Cell Signaling Technology Logo
CUT&RUN was performed with LNCaP cells and either FoxA1/HNF3α (E7E8W) Rabbit mAb or Rabbit (DA1E) mAb IgG XP® Isotype Control (CUT&RUN) #66362, using CUT&RUN Assay Kit #86652. The enriched DNA was quantified by real-time PCR using human RABL3 promoter primers, human CCDC190 promoter primers, and SimpleChIP® Human α Satellite Repeat Primers #4486. The amount of immunoprecipitated DNA in each sample is represented as signal relative to the total amount of input chromatin, which is equivalent to one.
CUT & RUN Image 3: FoxA1/HNF3 alpha (E7E8W) Rabbit Monoclonal Antibody
Orders: 877-616-CELL (2355) [email protected] Support: 877-678-TECH (8324) [email protected] Web: cellsignal.com
For Research Use Only. Not for Use in Diagnostic Procedures.