Revision 3

#29336

Store at -20C

CST Logo
Orders:

877-616-CELL (2355)

[email protected]

Support:

877-678-TECH (8324)

3 Trask Lane | Danvers | Massachusetts | 01923 | USA

For Research Use Only. Not for Use in Diagnostic Procedures.

Applications:
W, IHC-P, IF-IC, FC-FP, ELISA

Reactivity:
H M R Mk

Sensitivity:
Endogenous

MW (kDa):
78 to 82

Source/Isotype:
Rabbit IgG

UniProt ID:
#Q12778

Entrez-Gene Id:
2308

Product Usage Information

This product is the carrier free version of product #2880. All data were generated using the same antibody clone in the standard formulation which contains BSA and glycerol.

This formulation is ideal for use with technologies requiring specialized or custom antibody labeling, including fluorophores, metals, lanthanides, and oligonucleotides. It is not recommended for ChIP, ChIP-seq, CUT&RUN or CUT&Tag assays. If you require a carrier free formulation for chromatin profiling, please contact us. Optimal dilutions/concentrations should be determined by the end user.

BSA and Azide Free antibodies are quality control tested by size exclusion chromatography (SEC) to determine antibody integrity.

Formulation

Supplied in 1X PBS (10 mM Na2HPO4, 3 mM KCl, 2 mM KH2PO4, and 140 mM NaCl (pH 7.8)). BSA and Azide Free.

For standard formulation of this product see product #2880

Storage

Store at -20°C. This product will freeze at -20°C so it is recommended to aliquot into single-use vials to avoid multiple freeze/thaw cycles. A slight precipitate may be present and can be dissolved by gently vortexing. This will not interfere with antibody performance.

Specificity/Sensitivity

FoxO1 (C29H4) Rabbit Monoclonal Antibody (BSA and Azide Free) detects endogenous levels of total FoxO1 protein. This antibody does not detect exogenously expressed family members FoxO3a or FoxO4.

Source / Purification

Monoclonal antibody is produced by immunizing animals with a GST-fusion protein corresponding to carboxy-terminal residues of human FoxO1.

Background

The Forkhead family of transcription factors is involved in tumorigenesis of rhabdomyosarcoma and acute leukemias (1-3). Within the family, three members (FoxO1, FoxO4, and FoxO3a) have sequence similarity to the nematode orthologue DAF-16, which mediates signaling via a pathway involving IGFR1, PI3K, and Akt (4-6). Active forkhead members act as tumor suppressors by promoting cell cycle arrest and apoptosis. Increased expression of any FoxO member results in the activation of the cell cycle inhibitor p27 Kip1. Forkhead transcription factors also play a part in TGF-β-mediated upregulation of p21 Cip1, a process negatively regulated through PI3K (7). Increased proliferation results when forkhead transcription factors are inactivated through phosphorylation by Akt at Thr24, Ser256, and Ser319, which results in nuclear export and inhibition of transcription factor activity (8). Forkhead transcription factors can also be inhibited by the deacetylase sirtuin (SirT1) (9).

Species Reactivity

Species reactivity is determined by testing in at least one approved application (e.g., western blot).

Applications Key

W: Western Blotting IHC-P: Immunohistochemistry (Paraffin) IF-IC: Immunofluorescence (Immunocytochemistry) FC-FP: Flow Cytometry (Fixed/Permeabilized) ELISA: ELISA

Cross-Reactivity Key

H: Human M: Mouse R: Rat Mk: Monkey

Trademarks and Patents

Cell Signaling Technology is a trademark of Cell Signaling Technology, Inc.

U.S. Patent No. 7,429,487, foreign equivalents, and child patents deriving therefrom.

All other trademarks are the property of their respective owners. Visit cellsignal.com/trademarks for more information.

Limited Uses

Except as otherwise expressly agreed in a writing signed by a legally authorized representative of CST, the following terms apply to Products provided by CST, its affiliates or its distributors. Any Customer's terms and conditions that are in addition to, or different from, those contained herein, unless separately accepted in writing by a legally authorized representative of CST, are rejected and are of no force or effect.

Products are labeled with For Research Use Only or a similar labeling statement and have not been approved, cleared, or licensed by the FDA or other regulatory foreign or domestic entity, for any purpose. Customer shall not use any Product for any diagnostic or therapeutic purpose, or otherwise in any manner that conflicts with its labeling statement. Products sold or licensed by CST are provided for Customer as the end-user and solely for research and development uses. Any use of Product for diagnostic, prophylactic or therapeutic purposes, or any purchase of Product for resale (alone or as a component) or other commercial purpose, requires a separate license from CST. Customer shall (a) not sell, license, loan, donate or otherwise transfer or make available any Product to any third party, whether alone or in combination with other materials, or use the Products to manufacture any commercial products, (b) not copy, modify, reverse engineer, decompile, disassemble or otherwise attempt to discover the underlying structure or technology of the Products, or use the Products for the purpose of developing any products or services that would compete with CST products or services, (c) not alter or remove from the Products any trademarks, trade names, logos, patent or copyright notices or markings, (d) use the Products solely in accordance with CST Product Terms of Sale and any applicable documentation, and (e) comply with any license, terms of service or similar agreement with respect to any third party products or services used by Customer in connection with the Products.

Orders: 877-616-CELL (2355) [email protected] Support: 877-678-TECH (8324) [email protected] Web: cellsignal.com
For Research Use Only. Not for Use in Diagnostic Procedures.

Revision 3

Cell Signaling Technology Logo
Western blot analysis of extracts from IGROV-1 and COS-7 cells using FoxO1 (C29H4) Rabbit mAb. Data were generated using the standard formulation of this product.
Western Blotting Image 1: FoxO1 (C29H4) Rabbit Monoclonal Antibody (BSA and Azide Free)
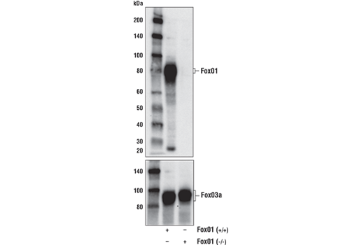
Western blot analysis of extracts from 293T cells, either wild type (+/+) or FoxO1 (-/-), using FoxO1 (C29H4) Rabbit mAb (upper) and FoxO3a (75D8) Rabbit mAb #2497 (lower).  Data were generated using the standard formulation of this product.
Western Blotting Image 2: FoxO1 (C29H4) Rabbit Monoclonal Antibody (BSA and Azide Free)
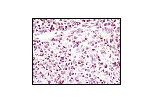
Immunohistochemical analysis of paraffin-embedded human lymphoma using FoxO1 (C29H4) Rabbit mAb. Data were generated using the standard formulation of this product.
Immunohistochemistry Image 1: FoxO1 (C29H4) Rabbit Monoclonal Antibody (BSA and Azide Free)
Orders: 877-616-CELL (2355) [email protected] Support: 877-678-TECH (8324) [email protected] Web: cellsignal.com
For Research Use Only. Not for Use in Diagnostic Procedures.

Revision 3

Cell Signaling Technology Logo
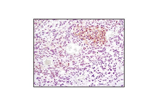
Immunohistochemical analysis of paraffin-embedded human lung carcinoma using FoxO1 (C29H4) Rabbit mAb. Data were generated using the standard formulation of this product.
Immunohistochemistry Image 2: FoxO1 (C29H4) Rabbit Monoclonal Antibody (BSA and Azide Free)
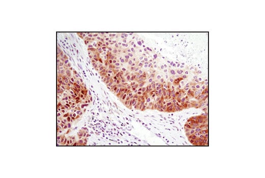
Immunohistochemical analysis of paraffin-embedded SKOV-3 xenograft using FoxO1 (C29H4) Rabbit mAb. Data were generated using the standard formulation of this product.
Immunohistochemistry Image 3: FoxO1 (C29H4) Rabbit Monoclonal Antibody (BSA and Azide Free)
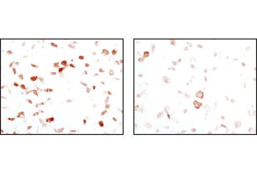
Immunohistochemical analysis of paraffin-embedded IGROV-1 cell pellets, LY294002-treated (left) or insulin-treated (right), using FoxO1 (C29H4) Rabbit mAb. Note the cytoplasmic localization of FoxO1 upon Akt activation. Data were generated using the standard formulation of this product.
Immunohistochemistry Image 4: FoxO1 (C29H4) Rabbit Monoclonal Antibody (BSA and Azide Free)
Orders: 877-616-CELL (2355) [email protected] Support: 877-678-TECH (8324) [email protected] Web: cellsignal.com
For Research Use Only. Not for Use in Diagnostic Procedures.

Revision 3

Cell Signaling Technology Logo
Immunohistochemical analysis of paraffin-embedded human colon using FoxO1 (C29H4) Rabbit mAb. Data were generated using the standard formulation of this product.
Immunohistochemistry Image 5: FoxO1 (C29H4) Rabbit Monoclonal Antibody (BSA and Azide Free)
Confocal immunofluorescent analysis of IGROV-1 cells, LY294002-treated (left) or insulin-treated (right), using FoxO1 (C29H4) Rabbit mAb (green). Actin filaments have been labeled with DY-554 phalloidin (red). Blue pseudocolor = DRAQ5™ (fluorescent DNA dye). Data were generated using the standard formulation of this product.
Immunofluorescence Image 1: FoxO1 (C29H4) Rabbit Monoclonal Antibody (BSA and Azide Free)
Flow cytometric analysis of HL-60 cells (blue) and IGROV-1 cells (green) using FoxO1 (C29H4) Rabbit mAb (solid lines) or a concentration-matched Rabbit (DA1E) mAb IgG XP® Isotype Control #3900 (dashed lines). Anti-rabbit IgG (H+L), F(ab')2 Fragment (Alexa Fluor® 488 Conjugate) #4412 was used as a secondary antibody. Data were generated using the standard formulation of this product.
Flow Cytometry Image 1: FoxO1 (C29H4) Rabbit Monoclonal Antibody (BSA and Azide Free)
Orders: 877-616-CELL (2355) [email protected] Support: 877-678-TECH (8324) [email protected] Web: cellsignal.com
For Research Use Only. Not for Use in Diagnostic Procedures.

Revision 3

Cell Signaling Technology Logo
Data using Total FoxO1 Matched Antibody Pair #30452 are shown. The two antibodies function as a capture-target-detection sandwich (#29336 and #15785, respectively) to detect endogenous protein expression in positive and negative controls.
ELISA Image 1: FoxO1 (C29H4) Rabbit Monoclonal Antibody (BSA and Azide Free)
Orders: 877-616-CELL (2355) [email protected] Support: 877-678-TECH (8324) [email protected] Web: cellsignal.com
For Research Use Only. Not for Use in Diagnostic Procedures.