Revision 7

#4402

Store at -20C

CST Logo
Orders:

877-616-CELL (2355)

[email protected]

Support:

877-678-TECH (8324)

3 Trask Lane | Danvers | Massachusetts | 01923 | USA

For Research Use Only. Not for Use in Diagnostic Procedures.

Applications:
W, IP, IHC-P, FC-FP, ChIP, C&R, C&T

Reactivity:
H M R Mk

Sensitivity:
Endogenous

MW (kDa):
82-90

Source/Isotype:
Rabbit IgG

UniProt ID:
#Q9H334

Entrez-Gene Id:
27086

Product Usage Information

For optimal ChIP or ChIP-seq results, use 5 μl of antibody and 10 μg of chromatin (approximately 4 x 106 cells) per IP. This antibody has been validated using SimpleChIP® Enzymatic Chromatin IP Kits.

The CUT&RUN dilution was determined using CUT&RUN Assay Kit #86652.

The CUT&Tag dilution was determined using CUT&Tag Assay Kit #77552.
Application Dilution
Western Blotting 1:1000
Immunoprecipitation 1:200
Immunohistochemistry (Paraffin) 1:100
Flow Cytometry (Fixed/Permeabilized) 1:50
Chromatin IP 1:100
CUT&RUN 1:50
CUT&Tag 1:50

Storage

Supplied in 10 mM sodium HEPES (pH 7.5), 150 mM NaCl, 100 µg/ml BSA, 50% glycerol and less than 0.02% sodium azide. Store at –20°C. Do not aliquot the antibody.

For a carrier free (BSA and azide free) version of this product see product #85650.

Specificity/Sensitivity

FoxP1 (D35D10) Rabbit Monoclonal Antibody detects endogenous levels of total FoxP1 protein.

Source / Purification

Monoclonal antibody is produced by immunizing animals with a synthetic peptide corresponding to residues surrounding Leu584 of human FoxP1 protein.

Background

Forkhead box (Fox) proteins are a family of evolutionarily conserved transcription factors containing a sequence known as Forkhead box or winged helix DNA binding domain (1). The human genome contains 43 Fox proteins that are divided into subfamilies. The FoxP subfamily has four members, FoxP1 - FoxP4, which are broadly expressed and play important roles in organ development, immune response and cancer pathogenesis (2-4). The FoxP subfamily has several characteristics that are atypical among Fox proteins: their Forkhead domain is located at the carboxy-terminal region and they contain motifs that promote homo- and heterodimerization. FoxP proteins usually function as transcriptional repressors (4,5).

FoxP1 plays an important role in cardiac valve and B cell development. Targeted deletion of FoxP1 in mice results in embryonic death at E14.5 with severe defects in cardiac outflow development, endocardial cushion morphogenesis, and myocyte proliferation and maturation (6). The FoxP1 gene is located on chromosome 3p14.1 and loss of heterozygosity of this region in multiple cancer types suggests a role for FoxP1 as a tumor suppressor (7). Alternatively, FoxP1 may also act as an oncogene as it is highly expressed in a variety of B cell malignancies and is frequently involved in chromosome translocation (8,9).

Species Reactivity

Species reactivity is determined by testing in at least one approved application (e.g., western blot).

Western Blot Buffer

IMPORTANT: For western blots, incubate membrane with diluted primary antibody in 5% w/v nonfat dry milk, 1X TBS, 0.1% Tween® 20 at 4°C with gentle shaking, overnight.

Applications Key

W: Western Blotting IP: Immunoprecipitation IHC-P: Immunohistochemistry (Paraffin) FC-FP: Flow Cytometry (Fixed/Permeabilized) ChIP: Chromatin IP C&R: CUT&RUN C&T: CUT&Tag

Cross-Reactivity Key

H: Human M: Mouse R: Rat Mk: Monkey

Trademarks and Patents

Cell Signaling Technology is a trademark of Cell Signaling Technology, Inc.

All other trademarks are the property of their respective owners. Visit cellsignal.com/trademarks for more information.

Limited Uses

Except as otherwise expressly agreed in a writing signed by a legally authorized representative of CST, the following terms apply to Products provided by CST, its affiliates or its distributors. Any Customer's terms and conditions that are in addition to, or different from, those contained herein, unless separately accepted in writing by a legally authorized representative of CST, are rejected and are of no force or effect.

Products are labeled with For Research Use Only or a similar labeling statement and have not been approved, cleared, or licensed by the FDA or other regulatory foreign or domestic entity, for any purpose. Customer shall not use any Product for any diagnostic or therapeutic purpose, or otherwise in any manner that conflicts with its labeling statement. Products sold or licensed by CST are provided for Customer as the end-user and solely for research and development uses. Any use of Product for diagnostic, prophylactic or therapeutic purposes, or any purchase of Product for resale (alone or as a component) or other commercial purpose, requires a separate license from CST. Customer shall (a) not sell, license, loan, donate or otherwise transfer or make available any Product to any third party, whether alone or in combination with other materials, or use the Products to manufacture any commercial products, (b) not copy, modify, reverse engineer, decompile, disassemble or otherwise attempt to discover the underlying structure or technology of the Products, or use the Products for the purpose of developing any products or services that would compete with CST products or services, (c) not alter or remove from the Products any trademarks, trade names, logos, patent or copyright notices or markings, (d) use the Products solely in accordance with CST Product Terms of Sale and any applicable documentation, and (e) comply with any license, terms of service or similar agreement with respect to any third party products or services used by Customer in connection with the Products.

Orders: 877-616-CELL (2355) [email protected] Support: 877-678-TECH (8324) [email protected] Web: cellsignal.com
For Research Use Only. Not for Use in Diagnostic Procedures.

Revision 7

Cell Signaling Technology Logo
Western blot analysis of extracts from various cell lines using FoxP1 (D35D10) XP® Rabbit mAb.
Western Blotting Image 1: FoxP1 (D35D10) Rabbit Monoclonal Antibody
Western blot analysis of extracts from 293T cells, mock transfected (-) or transfected with a construct expressing Myc/DDK-tagged full-length human FoxP4 protein (hFoxP4-Myc/DDK; +), Myc/DDK-tagged full-length human FoxP1 protein (hFoxP1-Myc/DDK; +), or Myc/DDK-tagged full-length human FoxP2 protein (hFoxP2-MycDDK; +), using FoxP1 (D35D10) Rabbit Monoclonal Antibody #4402 (upper), Myc-Tag (71D10) Rabbit Monoclonal Antibody #2278 (middle), or GAPDH (D16H11) Rabbit Monoclonal Antibody #5174 (lower).
Western Blotting Image 2: FoxP1 (D35D10) Rabbit Monoclonal Antibody
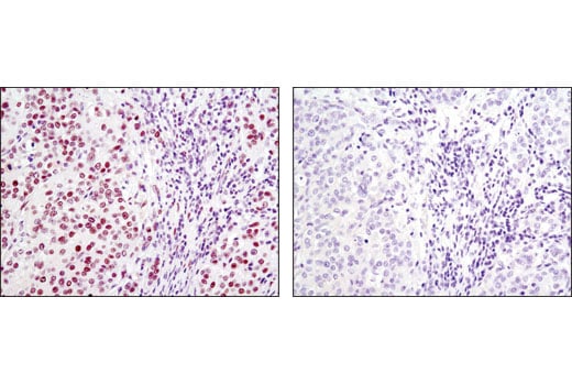
Immunohistochemical analysis of paraffin-embedded human breast carcinoma using FoxP1 (D35D10) XP® Rabbit mAb in the presence of control peptide (left) or antigen-specific peptide (right).
Immunohistochemistry Image 1: FoxP1 (D35D10) Rabbit Monoclonal Antibody
Orders: 877-616-CELL (2355) [email protected] Support: 877-678-TECH (8324) [email protected] Web: cellsignal.com
For Research Use Only. Not for Use in Diagnostic Procedures.

Revision 7

Cell Signaling Technology Logo
Flow cytometric analysis of MOLT-4 cells using FoxP1 (D35D10) XP® Rabbit mAb (blue) compared to a nonspecific negative control antibody (red).
Flow Cytometry Image 1: FoxP1 (D35D10) Rabbit Monoclonal Antibody
Chromatin immunoprecipitations were performed with cross-linked chromatin from Raji cells and either FoxP1 (D35D10) XP® Rabbit mAb, or Normal Rabbit IgG #2729, using SimpleChIP® Enzymatic Chromatin IP Kit (Magnetic Beads) #9003. The enriched DNA was quantified by real-time PCR using SimpleChIP® Human BCL2 Promoter Primers #12924, SimpleChIP® Human HSP90B1 Promoter Primers #12899, and SimpleChIP® Human α Satellite Repeat Primers #4486. The amount of immunoprecipitated DNA in each sample is represented as signal relative to the total amount of input chromatin, which is equivalent to one.
Chromatin Immunoprecipitation Image 1: FoxP1 (D35D10) Rabbit Monoclonal Antibody
CUT&RUN was performed with Raji cells and FoxP1 (D35D10) XP® Rabbit mAb, using CUT&RUN Assay Kit #86652. DNA library was prepared using DNA Library Prep Kit for Illumina Systems (ChIP-seq, CUT&RUN) #56795. The figures show binding across chromosome 12 (upper), including USP5 (lower), a known target gene of FoxP1 (see additional figure containing CUT&RUN-qPCR data).
CUT & RUN Image 1: FoxP1 (D35D10) Rabbit Monoclonal Antibody
Orders: 877-616-CELL (2355) [email protected] Support: 877-678-TECH (8324) [email protected] Web: cellsignal.com
For Research Use Only. Not for Use in Diagnostic Procedures.

Revision 7

Cell Signaling Technology Logo
CUT&RUN was performed with Raji cells and FoxP1 (D35D10) XP® Rabbit mAb, using CUT&RUN Assay Kit #86652. DNA library was prepared using DNA Library Prep Kit for Illumina Systems (ChIP-seq, CUT&RUN) #56795. The figure shows binding across USP5 gene, a known target gene of FoxP1 (see additional figure containing CUT&RUN-qPCR data).
CUT & RUN Image 2: FoxP1 (D35D10) Rabbit Monoclonal Antibody
CUT&RUN was performed with Raji cells and either FoxP1 (D35D10) XP® Rabbit mAb or Rabbit (DA1E) mAb IgG XP® Isotype Control (CUT&RUN) #66362, using CUT&RUN Assay Kit #86652. The enriched DNA was quantified by real-time PCR using human USP5 promoter primers and human MYOM3 promoter primers. The amount of immunoprecipitated DNA in each sample is represented as signal relative to the total amount of input chromatin, which is equivalent to one.
CUT & RUN Image 3: FoxP1 (D35D10) Rabbit Monoclonal Antibody
CUT&Tag was performed with Raji cells and FoxP1 (D35D10) XP® Rabbit mAb, using CUT&Tag Assay Kit #77552. DNA library was prepared using CUT&Tag Dual Index Primers and PCR Master Mix for Illumina Systems #47415. The figure shows binding across the USP5 gene.
CUT & Tag Image 1: FoxP1 (D35D10) Rabbit Monoclonal Antibody
Orders: 877-616-CELL (2355) [email protected] Support: 877-678-TECH (8324) [email protected] Web: cellsignal.com
For Research Use Only. Not for Use in Diagnostic Procedures.

Revision 7

Cell Signaling Technology Logo
CUT&Tag was performed with Raja cells and FoxP1 (D35D10) XP® Rabbit mAb, using CUT&Tag Assay Kit #77552. DNA library was prepared using CUT&Tag Dual Index Primers and PCR Master Mix for Illumina Systems #47415. The figures show binding across chromosome 12 (upper), including the USP5 gene (lower).
CUT & Tag Image 2: FoxP1 (D35D10) Rabbit Monoclonal Antibody
Orders: 877-616-CELL (2355) [email protected] Support: 877-678-TECH (8324) [email protected] Web: cellsignal.com
For Research Use Only. Not for Use in Diagnostic Procedures.