Revision 1

#85650

Store at -20C

CST Logo
Orders:

877-616-CELL (2355)

[email protected]

Support:

877-678-TECH (8324)

3 Trask Lane | Danvers | Massachusetts | 01923 | USA

For Research Use Only. Not for Use in Diagnostic Procedures.

Applications:
W, IHC-P, FC-FP

Reactivity:
H M R Mk

Sensitivity:
Endogenous

MW (kDa):
82-90

Source/Isotype:
Rabbit IgG

UniProt ID:
#Q9H334

Entrez-Gene Id:
27086

Product Usage Information

This product is the carrier free version of product #4402. All data were generated using the same antibody clone in the standard formulation which contains BSA and glycerol.

This formulation is ideal for use with technologies requiring specialized or custom antibody labeling, including fluorophores, metals, lanthanides, and oligonucleotides. It is not recommended for ChIP, ChIP-seq, CUT&RUN or CUT&Tag assays. If you require a carrier free formulation for chromatin profiling, please contact us. Optimal dilutions/concentrations should be determined by the end user.

BSA and Azide Free antibodies are quality control tested by size exclusion chromatography (SEC) to determine antibody integrity.

Formulation

Supplied in 1X PBS (10 mM Na2HPO4, 3 mM KCl, 2 mM KH2PO4, and 140 mM NaCl (pH 7.8)). BSA and Azide Free.

For standard formulation of this product see product #4402

Storage

Store at -20°C. This product will freeze at -20°C so it is recommended to aliquot into single-use vials to avoid multiple freeze/thaw cycles. A slight precipitate may be present and can be dissolved by gently vortexing. This will not interfere with antibody performance.

Specificity/Sensitivity

FoxP1 (D35D10) Rabbit Monoclonal Antibody (BSA and Azide Free) detects endogenous levels of total FoxP1 protein.

Source / Purification

Monoclonal antibody is produced by immunizing animals with a synthetic peptide corresponding to residues surrounding Leu584 of human FoxP1 protein.

Background

Forkhead box (Fox) proteins are a family of evolutionarily conserved transcription factors containing a sequence known as Forkhead box or winged helix DNA binding domain (1). The human genome contains 43 Fox proteins that are divided into subfamilies. The FoxP subfamily has four members, FoxP1 - FoxP4, which are broadly expressed and play important roles in organ development, immune response and cancer pathogenesis (2-4). The FoxP subfamily has several characteristics that are atypical among Fox proteins: their Forkhead domain is located at the carboxy-terminal region and they contain motifs that promote homo- and heterodimerization. FoxP proteins usually function as transcriptional repressors (4,5).

FoxP1 plays an important role in cardiac valve and B cell development. Targeted deletion of FoxP1 in mice results in embryonic death at E14.5 with severe defects in cardiac outflow development, endocardial cushion morphogenesis, and myocyte proliferation and maturation (6). The FoxP1 gene is located on chromosome 3p14.1 and loss of heterozygosity of this region in multiple cancer types suggests a role for FoxP1 as a tumor suppressor (7). Alternatively, FoxP1 may also act as an oncogene as it is highly expressed in a variety of B cell malignancies and is frequently involved in chromosome translocation (8,9).

Species Reactivity

Species reactivity is determined by testing in at least one approved application (e.g., western blot).

Applications Key

W: Western Blotting IHC-P: Immunohistochemistry (Paraffin) FC-FP: Flow Cytometry (Fixed/Permeabilized)

Cross-Reactivity Key

H: Human M: Mouse R: Rat Mk: Monkey

Trademarks and Patents

Cell Signaling Technology is a trademark of Cell Signaling Technology, Inc.

All other trademarks are the property of their respective owners. Visit cellsignal.com/trademarks for more information.

Limited Uses

Except as otherwise expressly agreed in a writing signed by a legally authorized representative of CST, the following terms apply to Products provided by CST, its affiliates or its distributors. Any Customer's terms and conditions that are in addition to, or different from, those contained herein, unless separately accepted in writing by a legally authorized representative of CST, are rejected and are of no force or effect.

Products are labeled with For Research Use Only or a similar labeling statement and have not been approved, cleared, or licensed by the FDA or other regulatory foreign or domestic entity, for any purpose. Customer shall not use any Product for any diagnostic or therapeutic purpose, or otherwise in any manner that conflicts with its labeling statement. Products sold or licensed by CST are provided for Customer as the end-user and solely for research and development uses. Any use of Product for diagnostic, prophylactic or therapeutic purposes, or any purchase of Product for resale (alone or as a component) or other commercial purpose, requires a separate license from CST. Customer shall (a) not sell, license, loan, donate or otherwise transfer or make available any Product to any third party, whether alone or in combination with other materials, or use the Products to manufacture any commercial products, (b) not copy, modify, reverse engineer, decompile, disassemble or otherwise attempt to discover the underlying structure or technology of the Products, or use the Products for the purpose of developing any products or services that would compete with CST products or services, (c) not alter or remove from the Products any trademarks, trade names, logos, patent or copyright notices or markings, (d) use the Products solely in accordance with CST Product Terms of Sale and any applicable documentation, and (e) comply with any license, terms of service or similar agreement with respect to any third party products or services used by Customer in connection with the Products.

Orders: 877-616-CELL (2355) [email protected] Support: 877-678-TECH (8324) [email protected] Web: cellsignal.com
For Research Use Only. Not for Use in Diagnostic Procedures.

Revision 1

Cell Signaling Technology Logo
Western blot analysis of extracts from various cell lines using FoxP1 (D35D10) XP® Rabbit mAb. Data were generated using the standard formulation of this product.
Western Blotting Image 1: FoxP1 (D35D10) Rabbit Monoclonal Antibody (BSA and Azide Free)
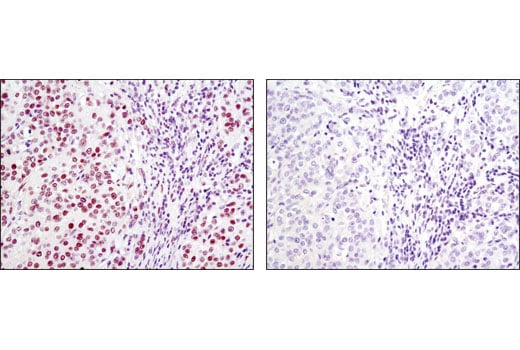
Immunohistochemical analysis of paraffin-embedded human breast carcinoma using FoxP1 (D35D10) XP® Rabbit mAb in the presence of control peptide (left) or antigen-specific peptide (right). Data were generated using the standard formulation of this product.
Immunohistochemistry Image 1: FoxP1 (D35D10) Rabbit Monoclonal Antibody (BSA and Azide Free)
Flow cytometric analysis of MOLT-4 cells using FoxP1 (D35D10) XP® Rabbit mAb (blue) compared to a nonspecific negative control antibody (red). Data were generated using the standard formulation of this product.
Flow Cytometry Image 1: FoxP1 (D35D10) Rabbit Monoclonal Antibody (BSA and Azide Free)
Orders: 877-616-CELL (2355) [email protected] Support: 877-678-TECH (8324) [email protected] Web: cellsignal.com
For Research Use Only. Not for Use in Diagnostic Procedures.