Revision 12

#12653

Store at -20C

CST Logo
Orders:

877-616-CELL (2355)

[email protected]

Support:

877-678-TECH (8324)

3 Trask Lane | Danvers | Massachusetts | 01923 | USA

For Research Use Only. Not for Use in Diagnostic Procedures.

Applications:
IHC-Bond, IHC-P, IF-F, FC-FP

Reactivity:
M Mk

Sensitivity:
Endogenous

Source/Isotype:
Rabbit IgG

UniProt ID:
#Q9BZS1

Entrez-Gene Id:
50943

Product Usage Information

Application Dilution
IHC Leica Bond 1:800 - 1:3200
Immunohistochemistry (Paraffin) 1:200 - 1:800
Immunofluorescence (Frozen) 1:400 - 1:800
Flow Cytometry (Fixed/Permeabilized) 1:50 - 1:200

Storage

Supplied in 10 mM sodium HEPES (pH 7.5), 150 mM NaCl, 100 µg/ml BSA, 50% glycerol and less than 0.02% sodium azide. Store at –20°C. Do not aliquot the antibody.

For a carrier free (BSA and azide free) version of this product see product #72338.

Specificity/Sensitivity

FoxP3 (D6O8R) Rabbit Monoclonal Antibody recognizes endogenous levels of total FoxP3 protein.

Source / Purification

Monoclonal antibody is produced by immunizing animals with a synthetic peptide corresponding to residues surrounding Pro44 of mouse FoxP3 protein.

Background

Forkhead box (Fox) proteins are a family of evolutionarily conserved transcription factors containing a sequence known as Forkhead box or winged helix DNA binding domain (1). The human genome contains 43 Fox proteins that are divided into subfamilies. The FoxP subfamily has four members, FoxP1 - FoxP4, which are broadly expressed and play important roles in organ development, immune response, and cancer pathogenesis (2-4). The FoxP subfamily has several characteristics that are atypical among Fox proteins: their Forkhead domain is located at the carboxy-terminal region and they contain motifs that promote homo- and heterodimerization. FoxP proteins usually function as transcriptional repressors (4,5).

FoxP3 is crucial for the development of T cells with regulatory properties (Treg) (6). Mutations in FoxP3 are associated with immune dysregulation, polyendocrinopathy, enteropathy, and X-linked syndrome (IPEX) (7), while overexpression in mice causes severe immunodeficiency (8). Research studies have shown that FoxP3 functions as a tumor suppressor in several types of cancer (9-11).

Species Reactivity

Species reactivity is determined by testing in at least one approved application (e.g., western blot).

Applications Key

IHC-Bond: IHC Leica Bond IHC-P: Immunohistochemistry (Paraffin) IF-F: Immunofluorescence (Frozen) FC-FP: Flow Cytometry (Fixed/Permeabilized)

Cross-Reactivity Key

M: Mouse Mk: Monkey

Trademarks and Patents

Cell Signaling Technology is a trademark of Cell Signaling Technology, Inc.

Alexa Fluor is a registered trademark of Life Technologies Corporation.

All other trademarks are the property of their respective owners. Visit cellsignal.com/trademarks for more information.

Limited Uses

Except as otherwise expressly agreed in a writing signed by a legally authorized representative of CST, the following terms apply to Products provided by CST, its affiliates or its distributors. Any Customer's terms and conditions that are in addition to, or different from, those contained herein, unless separately accepted in writing by a legally authorized representative of CST, are rejected and are of no force or effect.

Products are labeled with For Research Use Only or a similar labeling statement and have not been approved, cleared, or licensed by the FDA or other regulatory foreign or domestic entity, for any purpose. Customer shall not use any Product for any diagnostic or therapeutic purpose, or otherwise in any manner that conflicts with its labeling statement. Products sold or licensed by CST are provided for Customer as the end-user and solely for research and development uses. Any use of Product for diagnostic, prophylactic or therapeutic purposes, or any purchase of Product for resale (alone or as a component) or other commercial purpose, requires a separate license from CST. Customer shall (a) not sell, license, loan, donate or otherwise transfer or make available any Product to any third party, whether alone or in combination with other materials, or use the Products to manufacture any commercial products, (b) not copy, modify, reverse engineer, decompile, disassemble or otherwise attempt to discover the underlying structure or technology of the Products, or use the Products for the purpose of developing any products or services that would compete with CST products or services, (c) not alter or remove from the Products any trademarks, trade names, logos, patent or copyright notices or markings, (d) use the Products solely in accordance with CST Product Terms of Sale and any applicable documentation, and (e) comply with any license, terms of service or similar agreement with respect to any third party products or services used by Customer in connection with the Products.

Orders: 877-616-CELL (2355) [email protected] Support: 877-678-TECH (8324) [email protected] Web: cellsignal.com
For Research Use Only. Not for Use in Diagnostic Procedures.

Revision 12

Cell Signaling Technology Logo
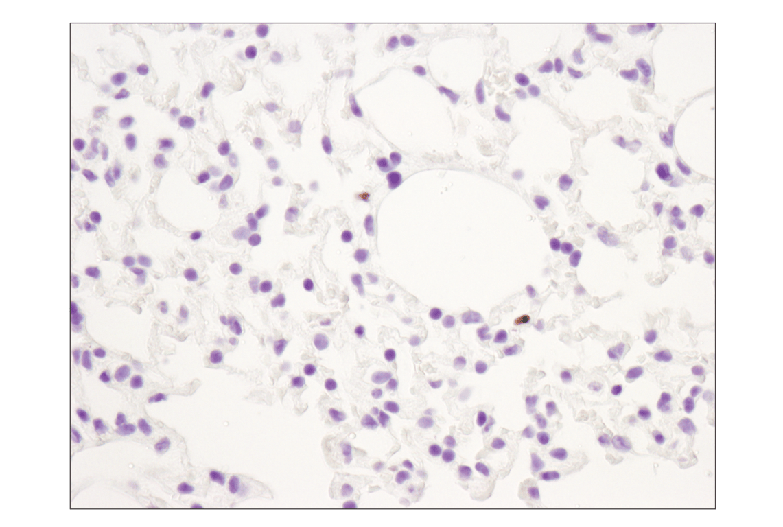
Immunohistochemical analysis of paraffin-embedded 4T1 metastatic tumor in mouse lung using FoxP3 (D6O8R) Rabbit mAb performed on the Leica® BOND™ Rx.
Immunohistochemistry Image 1: FoxP3 (D6O8R) Rabbit Monoclonal Antibody
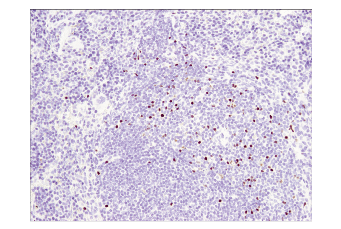
Immunohistochemical analysis of paraffin-embedded mouse thymus using FoxP3 (D6O8R) Rabbit mAb.
Immunohistochemistry Image 1: FoxP3 (D6O8R) Rabbit Monoclonal Antibody
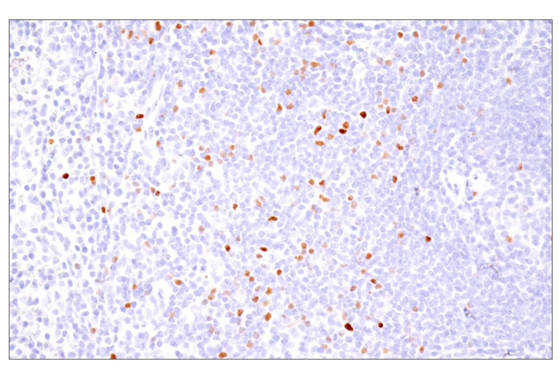
Immunohistochemical analysis of paraffin-embedded mouse spleen using FoxP3 (D6O8R) Rabbit mAb.
Immunohistochemistry Image 2: FoxP3 (D6O8R) Rabbit Monoclonal Antibody
Orders: 877-616-CELL (2355) [email protected] Support: 877-678-TECH (8324) [email protected] Web: cellsignal.com
For Research Use Only. Not for Use in Diagnostic Procedures.

Revision 12

Cell Signaling Technology Logo
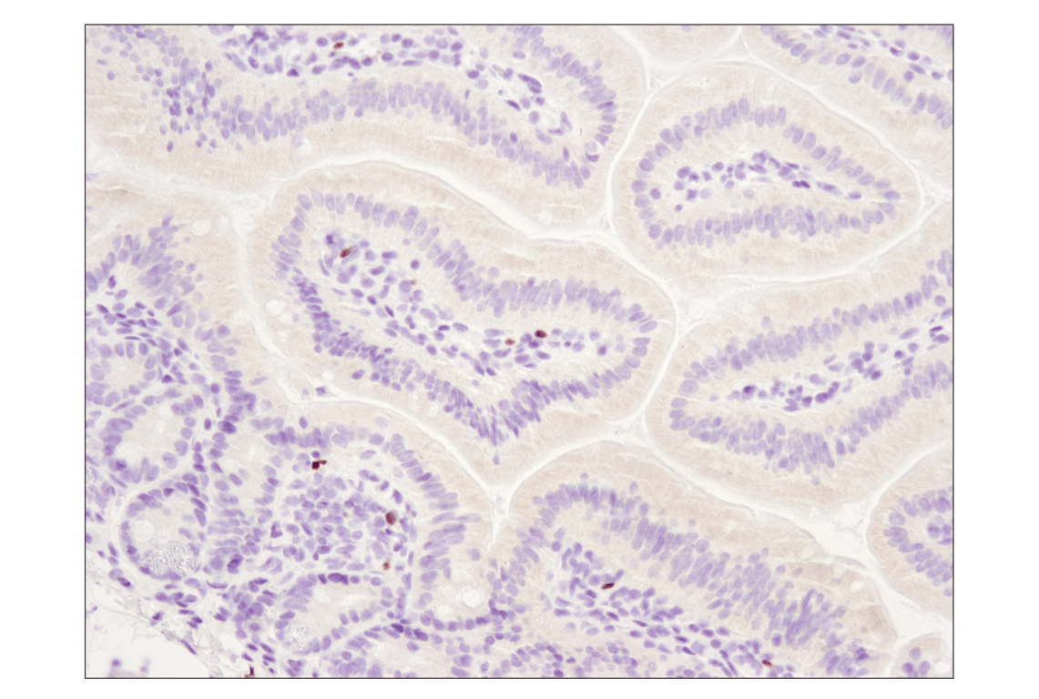
Immunohistochemical analysis of paraffin-embedded mouse small intestine using FoxP3 (D6O8R) Rabbit mAb.
Immunohistochemistry Image 3: FoxP3 (D6O8R) Rabbit Monoclonal Antibody
Immunohistochemical analysis of paraffin-embedded mouse lung using FoxP3 (D6O8R) Rabbit mAb.
Immunohistochemistry Image 4: FoxP3 (D6O8R) Rabbit Monoclonal Antibody
Immunohistochemical analysis of paraffin-embedded normal rhesus monkey spleen using FoxP3 (D6O8R) Rabbit mAb.
Immunohistochemistry Image 5: FoxP3 (D6O8R) Rabbit Monoclonal Antibody
Orders: 877-616-CELL (2355) [email protected] Support: 877-678-TECH (8324) [email protected] Web: cellsignal.com
For Research Use Only. Not for Use in Diagnostic Procedures.

Revision 12

Cell Signaling Technology Logo
Immunofluorescent analysis of mouse spleen using FoxP3 (D6O8R) Rabbit mAb (red) and a CD4 antibody (green). Blue = DRAQ5® #4084 (fluorescent DNA dye).Note: FoxP3 (D6O8R) Rabbit mAb has been validated on freshly-prepared frozen tissue sections that were fixed for 15 minutes in 4% formaldehyde. Over-fixation diminishes the performance of this antibody.
Immunofluorescence Image 1: FoxP3 (D6O8R) Rabbit Monoclonal Antibody
Flow cytometric analysis of mouse splenocytes using FoxP3 (D6O8R) Rabbit mAb (right) and co-stained with CD4 (RM4-5) Rat mAb (APC Conjugate) #82116, compared to a concentration-matched Rabbit (DA1E) mAb IgG XP® Isotype Control #3900 (left). Anti-rabbit IgG (H+L), F(ab')2 Fragment (Alexa Fluor® 488 Conjugate) was used as a secondary antibody.
Flow Cytometry Image 1: FoxP3 (D6O8R) Rabbit Monoclonal Antibody
Orders: 877-616-CELL (2355) [email protected] Support: 877-678-TECH (8324) [email protected] Web: cellsignal.com
For Research Use Only. Not for Use in Diagnostic Procedures.