Revision 4

#64668

Store at -20C

CST Logo
Orders:

877-616-CELL (2355)

[email protected]

Support:

877-678-TECH (8324)

3 Trask Lane | Danvers | Massachusetts | 01923 | USA

For Research Use Only. Not for Use in Diagnostic Procedures.

Applications:
W, W-S, IHC-P

Reactivity:
H M

Sensitivity:
Endogenous

MW (kDa):
Full-length 23 - Intermediate 17 - Mature 14

Source/Isotype:
Rabbit IgG

UniProt ID:
#Q16595

Entrez-Gene Id:
2395

Product Usage Information

Application Dilution
Western Blotting 1:1000
Simple Western™ 1:10 - 1:50
Immunohistochemistry (Paraffin) 1:800 - 1:3200

Storage

Supplied in 10 mM sodium HEPES (pH 7.5), 150 mM NaCl, 100 µg/mL BSA, 50% glycerol, and less than 0.02% sodium azide. Store at –20°C. Do not aliquot the antibody.

For a carrier free (BSA and azide free) version of this product see product #20892.

Specificity/Sensitivity

Frataxin (F4V2S) Rabbit Monoclonal Antibody recognizes endogenous levels of total frataxin protein. Species cross-reactivity for IHC-P is human only.

Source / Purification

Monoclonal antibody is produced by immunizing animals with recombinant protein specific to the carboxy terminus of human frataxin protein.

Background

Frataxin is a highly conserved, ubiquitously expressed mitochondrial protein implicated in iron-sulfide cluster (ISC) assembly and iron homeostasis. Synthesized as a cytosolic 210 amino acid precursor protein, frataxin undergoes a two-step proteolytic maturation before translocating to the mitochondria (1). The functions of frataxin in the mitochondria have yet to be fully elucidated, though it has been suggested to be an iron chaperone and activator of persulfide transfer from the cysteine desulfurase NFS1 to the scaffold protein ISCU, which occurs in the early stages of ISC assembly. Proper expression levels of frataxin are vital for cell survival, as is highlighted by the fact that complete loss of this protein is embryonically lethal in mice. In humans, the expansion of GAA repeats in the first intron of the frataxin gene (FXN) results in a reduction in its protein expression levels, leading to the development of  Friedreich’s ataxia (FRDA). FRDA is an early-onset neurodegenerative disorder and the most common inherited form of ataxia, affecting 1 in 50,000 people. The downregulation of frataxin in FRDA results in mitochondrial iron and reactive oxygen species (ROS) accumulation, mitochondrial dysfunction, and ferroptosis. Patients with FRDA present with a myriad of symptoms, including gait disturbances, cardiomyopathy, muscle weakness, and increased incidence of diabetes. Individuals with higher GAA repeats exhibit more severe and earlier onset of symptoms (2-4).

Species Reactivity

Species reactivity is determined by testing in at least one approved application (e.g., western blot).

Western Blot Buffer

IMPORTANT: For western blots, incubate membrane with diluted primary antibody in 5% w/v nonfat dry milk, 1X TBS, 0.1% Tween® 20 at 4°C with gentle shaking, overnight.

Applications Key

W: Western Blotting W-S: Simple Western™ IHC-P: Immunohistochemistry (Paraffin)

Cross-Reactivity Key

H: Human M: Mouse

Trademarks and Patents

Cell Signaling Technology is a trademark of Cell Signaling Technology, Inc.

All other trademarks are the property of their respective owners. Visit cellsignal.com/trademarks for more information.

Limited Uses

Except as otherwise expressly agreed in a writing signed by a legally authorized representative of CST, the following terms apply to Products provided by CST, its affiliates or its distributors. Any Customer's terms and conditions that are in addition to, or different from, those contained herein, unless separately accepted in writing by a legally authorized representative of CST, are rejected and are of no force or effect.

Products are labeled with For Research Use Only or a similar labeling statement and have not been approved, cleared, or licensed by the FDA or other regulatory foreign or domestic entity, for any purpose. Customer shall not use any Product for any diagnostic or therapeutic purpose, or otherwise in any manner that conflicts with its labeling statement. Products sold or licensed by CST are provided for Customer as the end-user and solely for research and development uses. Any use of Product for diagnostic, prophylactic or therapeutic purposes, or any purchase of Product for resale (alone or as a component) or other commercial purpose, requires a separate license from CST. Customer shall (a) not sell, license, loan, donate or otherwise transfer or make available any Product to any third party, whether alone or in combination with other materials, or use the Products to manufacture any commercial products, (b) not copy, modify, reverse engineer, decompile, disassemble or otherwise attempt to discover the underlying structure or technology of the Products, or use the Products for the purpose of developing any products or services that would compete with CST products or services, (c) not alter or remove from the Products any trademarks, trade names, logos, patent or copyright notices or markings, (d) use the Products solely in accordance with CST Product Terms of Sale and any applicable documentation, and (e) comply with any license, terms of service or similar agreement with respect to any third party products or services used by Customer in connection with the Products.

Orders: 877-616-CELL (2355) [email protected] Support: 877-678-TECH (8324) [email protected] Web: cellsignal.com
For Research Use Only. Not for Use in Diagnostic Procedures.

Revision 4

Cell Signaling Technology Logo
Western blot analysis of extracts from various cell lines and tissues using Frataxin (F4V2S) Rabbit mAb (upper) or GAPDH (D16H11) XP® Rabbit mAb #5174 (lower).
Western Blotting Image 1: Frataxin (F4V2S) Rabbit Monoclonal Antibody
Western blot analysis of extracts from SW480 cells, transfected with control siRNA (-) or Frataxin siRNA (+), using Frataxin (F4V2S) Rabbit mAb (upper) or GAPDH (D16H11) XP® Rabbit mAb #5174 (lower).
Western Blotting Image 2: Frataxin (F4V2S) Rabbit Monoclonal Antibody
Western blot analysis of extracts from 293T cells, mock transfected (-) or transfected with a construct expressing Myc/DDK-tagged human frataxin protein (hFrataxin-Myc/DDK; +), using Frataxin (F4V2S) Rabbit mAb (upper), Myc-Tag (71D10) Rabbit mAb #2278 (middle), or GAPDH (D16H11) XP® Rabbit mAb #5174 (lower).
Western Blotting Image 3: Frataxin (F4V2S) Rabbit Monoclonal Antibody
Orders: 877-616-CELL (2355) [email protected] Support: 877-678-TECH (8324) [email protected] Web: cellsignal.com
For Research Use Only. Not for Use in Diagnostic Procedures.

Revision 4

Cell Signaling Technology Logo
Simple Western™ analysis of lysates (0.75 mg/ml) from mouse brain lysates using Frataxin (F4V2S) Rabbit mAb #64668. The virtual lane view (left) shows the target band (as indicated) at 1:10 and 1:50 dilutions of primary antibody. The corresponding electropherogram view (right) plots chemiluminescence by molecular weight along the capillary at 1:10 (blue line) and 1:50 (green line) dilutions of primary antibody. This experiment was performed under reducing conditions on the Jess™ Simple Western instrument from ProteinSimple, a BioTechne brand, using the 12-230kDa.
Western Blotting Image 1: Frataxin (F4V2S) Rabbit Monoclonal Antibody
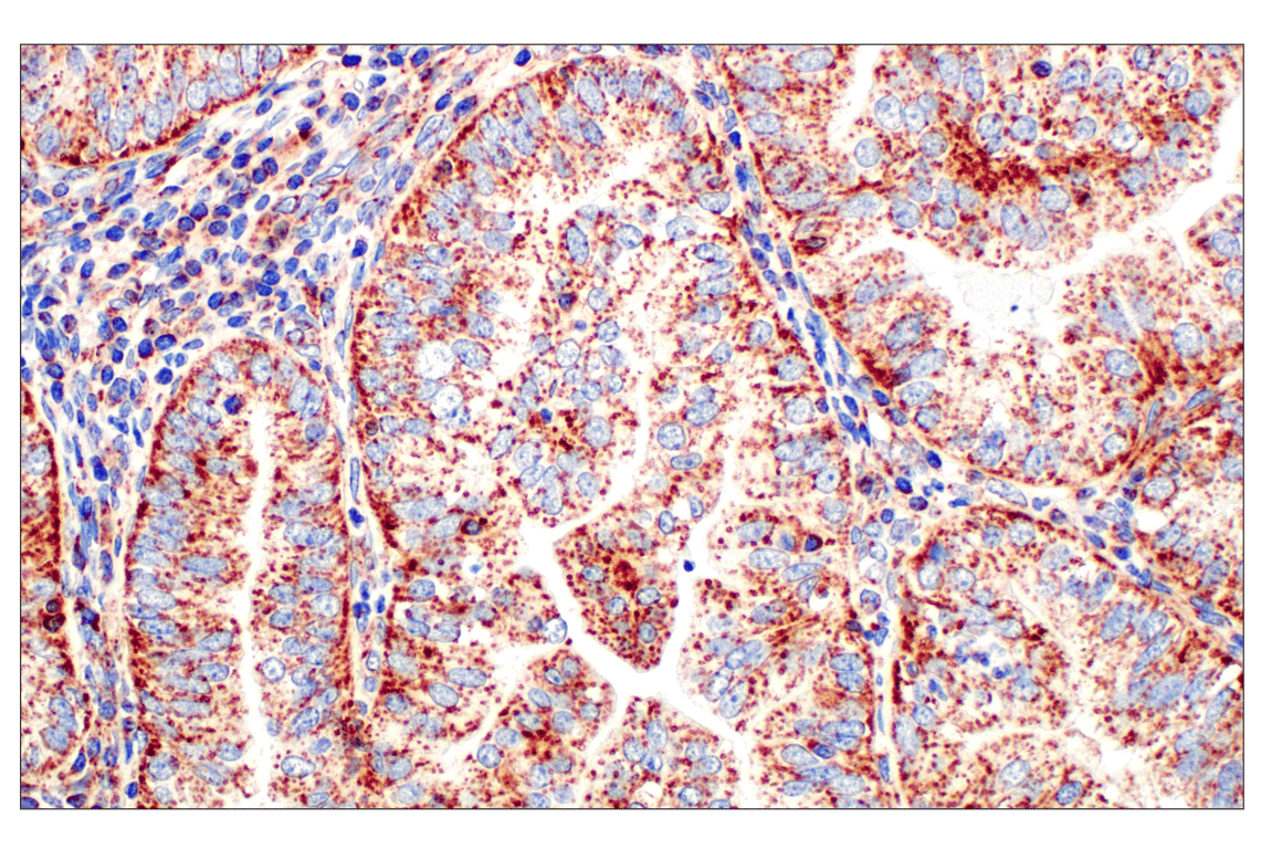
Immunohistochemical analysis of paraffin-embedded human endometrioid adenocarcinoma using Frataxin (F4V2S) Rabbit mAb.
Immunohistochemistry Image 1: Frataxin (F4V2S) Rabbit Monoclonal Antibody
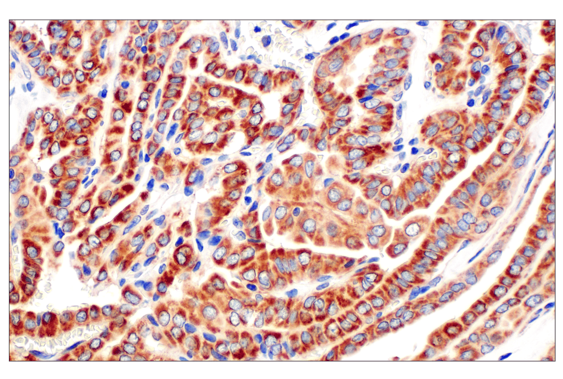
Immunohistochemical analysis of paraffin-embedded human colon adenocarcinoma using Frataxin (F4V2S) Rabbit mAb.
Immunohistochemistry Image 2: Frataxin (F4V2S) Rabbit Monoclonal Antibody
Orders: 877-616-CELL (2355) [email protected] Support: 877-678-TECH (8324) [email protected] Web: cellsignal.com
For Research Use Only. Not for Use in Diagnostic Procedures.

Revision 4

Cell Signaling Technology Logo
Immunohistochemical analysis of paraffin-embedded human squamous cell carcinoma of the cervix using Frataxin (F4V2S) Rabbit mAb.
Immunohistochemistry Image 3: Frataxin (F4V2S) Rabbit Monoclonal Antibody
Immunohistochemical analysis of paraffin-embedded human papillary thyroid carcinoma using Frataxin (F4V2S) Rabbit mAb.
Immunohistochemistry Image 4: Frataxin (F4V2S) Rabbit Monoclonal Antibody
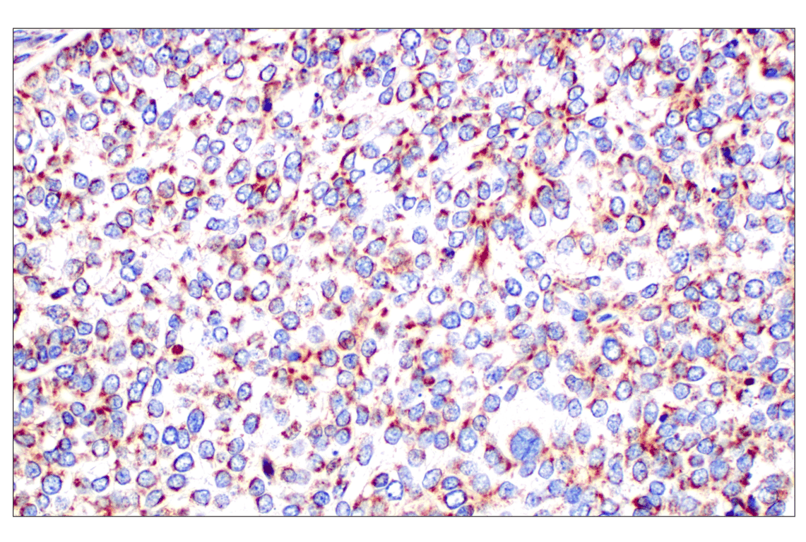
Immunohistochemical analysis of paraffin-embedded human squamous cell lung carcinoma using Frataxin (F4V2S) Rabbit mAb.
Immunohistochemistry Image 5: Frataxin (F4V2S) Rabbit Monoclonal Antibody
Orders: 877-616-CELL (2355) [email protected] Support: 877-678-TECH (8324) [email protected] Web: cellsignal.com
For Research Use Only. Not for Use in Diagnostic Procedures.

Revision 4

Cell Signaling Technology Logo
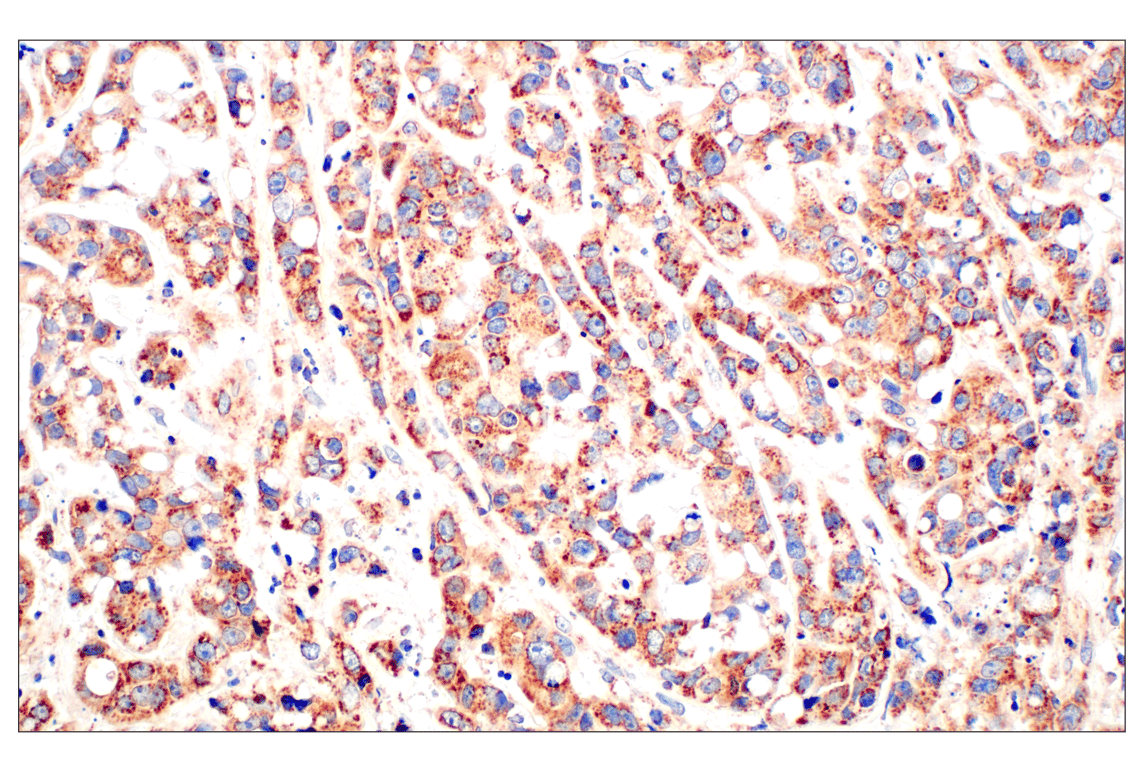
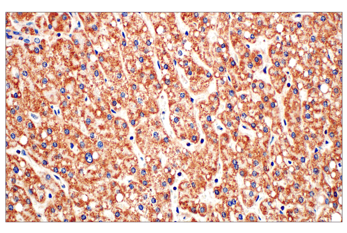
Immunohistochemical analysis of paraffin-embedded normal human liver using Frataxin (F4V2S) Rabbit mAb.
Immunohistochemistry Image 6: Frataxin (F4V2S) Rabbit Monoclonal Antibody
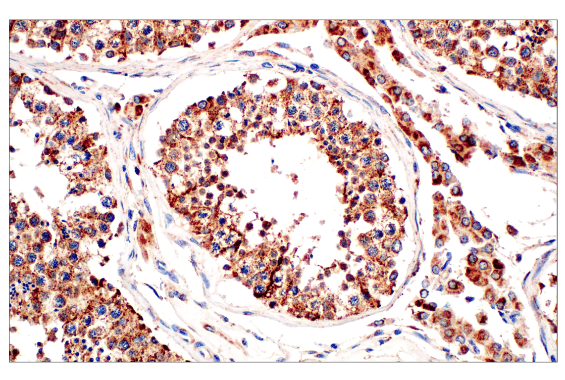
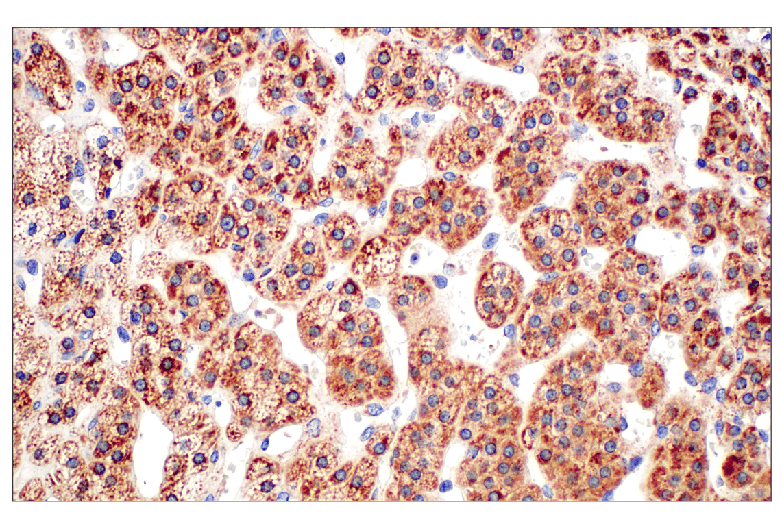
Immunohistochemical analysis of paraffin-embedded normal human testis using Frataxin (F4V2S) Rabbit mAb.
Immunohistochemistry Image 7: Frataxin (F4V2S) Rabbit Monoclonal Antibody
Immunohistochemical analysis of paraffin-embedded normal human adrenal gland using Frataxin (F4V2S) Rabbit mAb.
Immunohistochemistry Image 8: Frataxin (F4V2S) Rabbit Monoclonal Antibody
Orders: 877-616-CELL (2355) [email protected] Support: 877-678-TECH (8324) [email protected] Web: cellsignal.com
For Research Use Only. Not for Use in Diagnostic Procedures.

Revision 4

Cell Signaling Technology Logo
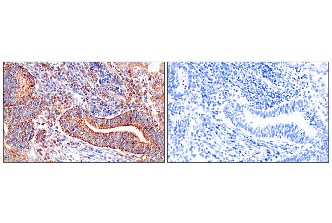
Immunohistochemical analysis of paraffin-embedded human endometrioid adenocarcinoma using Frataxin (F4V2S) Rabbit mAb (left) compared to concentration-matched Rabbit (DA1E) mAb IgG XP® Isotype Control #3900 (right). 
Immunohistochemistry Image 9: Frataxin (F4V2S) Rabbit Monoclonal Antibody
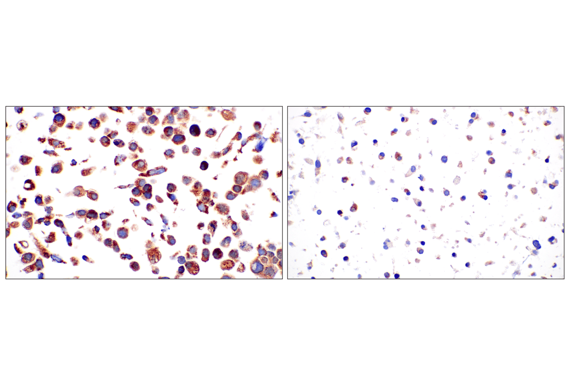
Immunohistochemical analysis of paraffin-embedded HepG2 cell pellet (left, high-expressing) or U-87MG cell pellet (right, low-expressing) using Frataxin (F4V2S) Rabbit mAb.
Immunohistochemistry Image 10: Frataxin (F4V2S) Rabbit Monoclonal Antibody
Orders: 877-616-CELL (2355) [email protected] Support: 877-678-TECH (8324) [email protected] Web: cellsignal.com
For Research Use Only. Not for Use in Diagnostic Procedures.