Revision 1

#79656

Store at -20C

CST Logo
Orders:

877-616-CELL (2355)

[email protected]

Support:

877-678-TECH (8324)

3 Trask Lane | Danvers | Massachusetts | 01923 | USA

For Research Use Only. Not for Use in Diagnostic Procedures.

Applications:
IHC-P

Reactivity:
H

Sensitivity:
Endogenous

Source/Isotype:
Rabbit IgG

UniProt ID:
#P02792

Entrez-Gene Id:
2512

Product Usage Information

Application Dilution
Immunohistochemistry (Paraffin) 1:200 - 1:800

Storage

Supplied in 10 mM sodium HEPES (pH 7.5), 150 mM NaCl, 100 µg/mL BSA, 50% glycerol, and less than 0.02% sodium azide. Store at –20°C. Do not aliquot the antibody.

Specificity/Sensitivity

FTL (F9O4I) Rabbit Monoclonal Antibody recognizes endogenous levels of total FTL protein.

Species predicted to react based on 100% sequence homology

Mouse, Rat

Source / Purification

Monoclonal antibody is produced by immunizing animals with a synthetic peptide corresponding to residues near the carboxy terminus of human FTL protein.

Background

Ferritin is a ubiquitous and highly conserved protein that plays a major role in iron homeostasis by sequestering and storing iron in a non-toxic and bioavailable form (1). The assembled ferritin molecule, often referred to as a nanocage, can store up to 4,500 atoms of iron (2,3). It forms a holoenzyme of ~450 kDa, consisting of 24 subunits made up of two types of polypeptide chains: ferritin heavy chain (FTH) and ferritin light chain (FTL), each having unique functions. FTHs catalyze the first step in iron storage, the oxidation of Fe(II), whereas FTLs promote the nucleation of ferrihydrite, enabling storage of Fe(III) (4). In addition to iron buffering, FTH also enhances thymidine biosynthesis (5). Serum ferritin levels indicate the amount of iron stored in the body and is the most sensitive test for anemia. It is markedly elevated in inflammation, malignancy, and iron overload disorders (6). Research studies have found that defects in ferritin proteins are also associated with several neurodegenerative diseases (7).

FTL expression is elevated in several malignancies, including gastric (8), breast (9), and prostate (10) cancer. Decreased FTL expression leads to an increase in susceptibility to ferroptotic cell death (11).

Species Reactivity

Species reactivity is determined by testing in at least one approved application (e.g., western blot).

Applications Key

IHC-P: Immunohistochemistry (Paraffin)

Cross-Reactivity Key

H: Human

Trademarks and Patents

Cell Signaling Technology is a trademark of Cell Signaling Technology, Inc.

All other trademarks are the property of their respective owners. Visit cellsignal.com/trademarks for more information.

Limited Uses

Except as otherwise expressly agreed in a writing signed by a legally authorized representative of CST, the following terms apply to Products provided by CST, its affiliates or its distributors. Any Customer's terms and conditions that are in addition to, or different from, those contained herein, unless separately accepted in writing by a legally authorized representative of CST, are rejected and are of no force or effect.

Products are labeled with For Research Use Only or a similar labeling statement and have not been approved, cleared, or licensed by the FDA or other regulatory foreign or domestic entity, for any purpose. Customer shall not use any Product for any diagnostic or therapeutic purpose, or otherwise in any manner that conflicts with its labeling statement. Products sold or licensed by CST are provided for Customer as the end-user and solely for research and development uses. Any use of Product for diagnostic, prophylactic or therapeutic purposes, or any purchase of Product for resale (alone or as a component) or other commercial purpose, requires a separate license from CST. Customer shall (a) not sell, license, loan, donate or otherwise transfer or make available any Product to any third party, whether alone or in combination with other materials, or use the Products to manufacture any commercial products, (b) not copy, modify, reverse engineer, decompile, disassemble or otherwise attempt to discover the underlying structure or technology of the Products, or use the Products for the purpose of developing any products or services that would compete with CST products or services, (c) not alter or remove from the Products any trademarks, trade names, logos, patent or copyright notices or markings, (d) use the Products solely in accordance with CST Product Terms of Sale and any applicable documentation, and (e) comply with any license, terms of service or similar agreement with respect to any third party products or services used by Customer in connection with the Products.

Orders: 877-616-CELL (2355) [email protected] Support: 877-678-TECH (8324) [email protected] Web: cellsignal.com
For Research Use Only. Not for Use in Diagnostic Procedures.

Revision 1

Cell Signaling Technology Logo

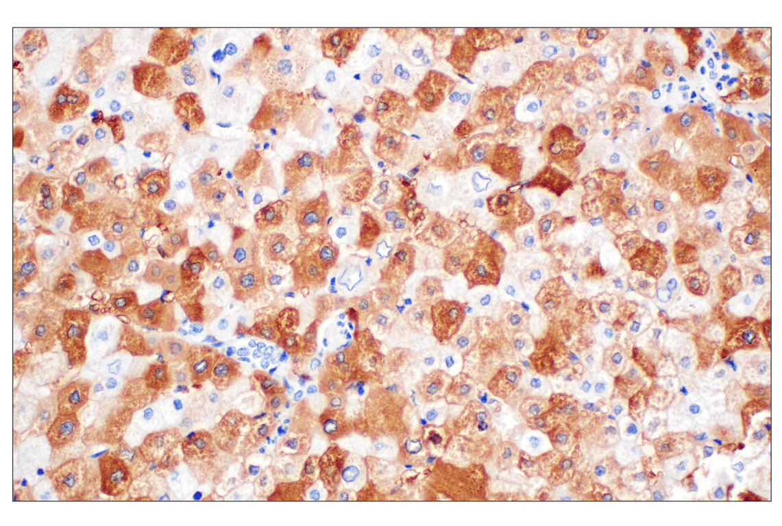
Immunohistochemical analysis of paraffin-embedded human hepatocellular carcinoma using FTL (F9O4I) Rabbit mAb.
Immunohistochemistry Image 1: FTL (F9O4I) Rabbit Monoclonal Antibody

Immunohistochemical analysis of paraffin-embedded human ductal breast carcinoma using FTL (F9O4I) Rabbit mAb.
Immunohistochemistry Image 2: FTL (F9O4I) Rabbit Monoclonal Antibody

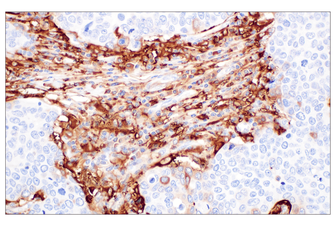
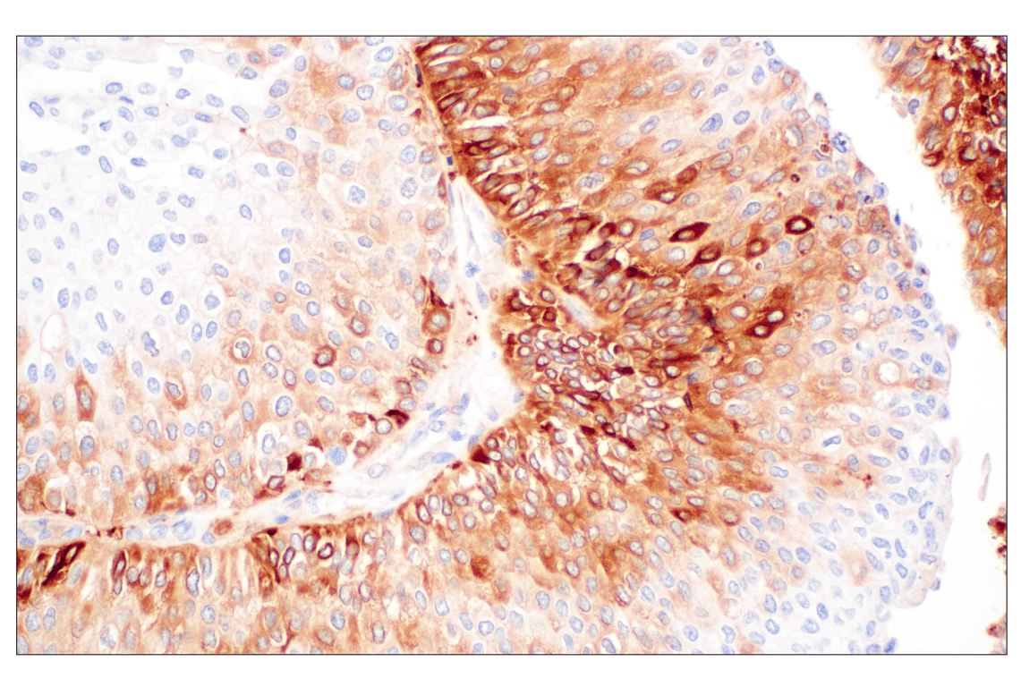
Immunohistochemical analysis of paraffin-embedded human squamous cell carcinoma of the skin using FTL (F9O4I) Rabbit mAb.
Immunohistochemistry Image 3: FTL (F9O4I) Rabbit Monoclonal Antibody
Orders: 877-616-CELL (2355) [email protected] Support: 877-678-TECH (8324) [email protected] Web: cellsignal.com
For Research Use Only. Not for Use in Diagnostic Procedures.

Revision 1

Cell Signaling Technology Logo

Immunohistochemical analysis of paraffin-embedded human urothelial carcinoma using FTL (F9O4I) Rabbit mAb.

Immunohistochemistry Image 4: FTL (F9O4I) Rabbit Monoclonal Antibody

Immunohistochemical analysis of paraffin-embedded normal human liver using FTL (F9O4I) Rabbit mAb.
Immunohistochemistry Image 5: FTL (F9O4I) Rabbit Monoclonal Antibody

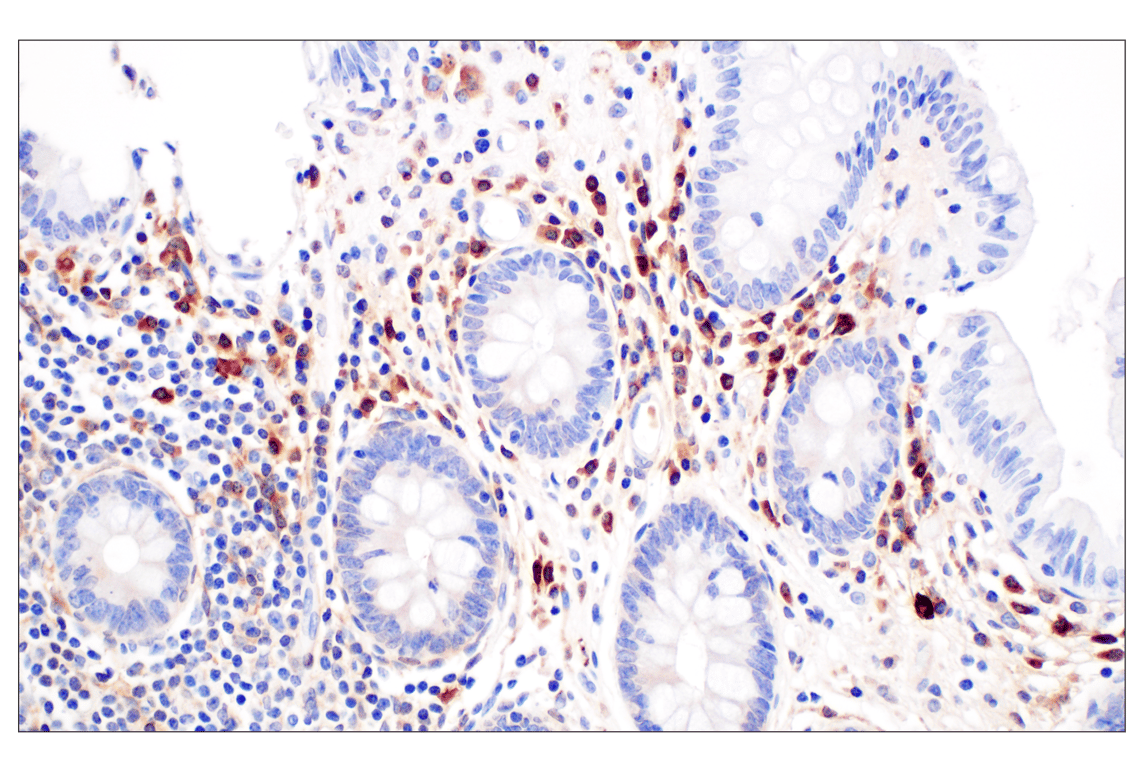
Immunohistochemical analysis of paraffin-embedded normal human colon using FTL (F9O4I) Rabbit mAb.
Immunohistochemistry Image 6: FTL (F9O4I) Rabbit Monoclonal Antibody
Orders: 877-616-CELL (2355) [email protected] Support: 877-678-TECH (8324) [email protected] Web: cellsignal.com
For Research Use Only. Not for Use in Diagnostic Procedures.

Revision 1

Cell Signaling Technology Logo

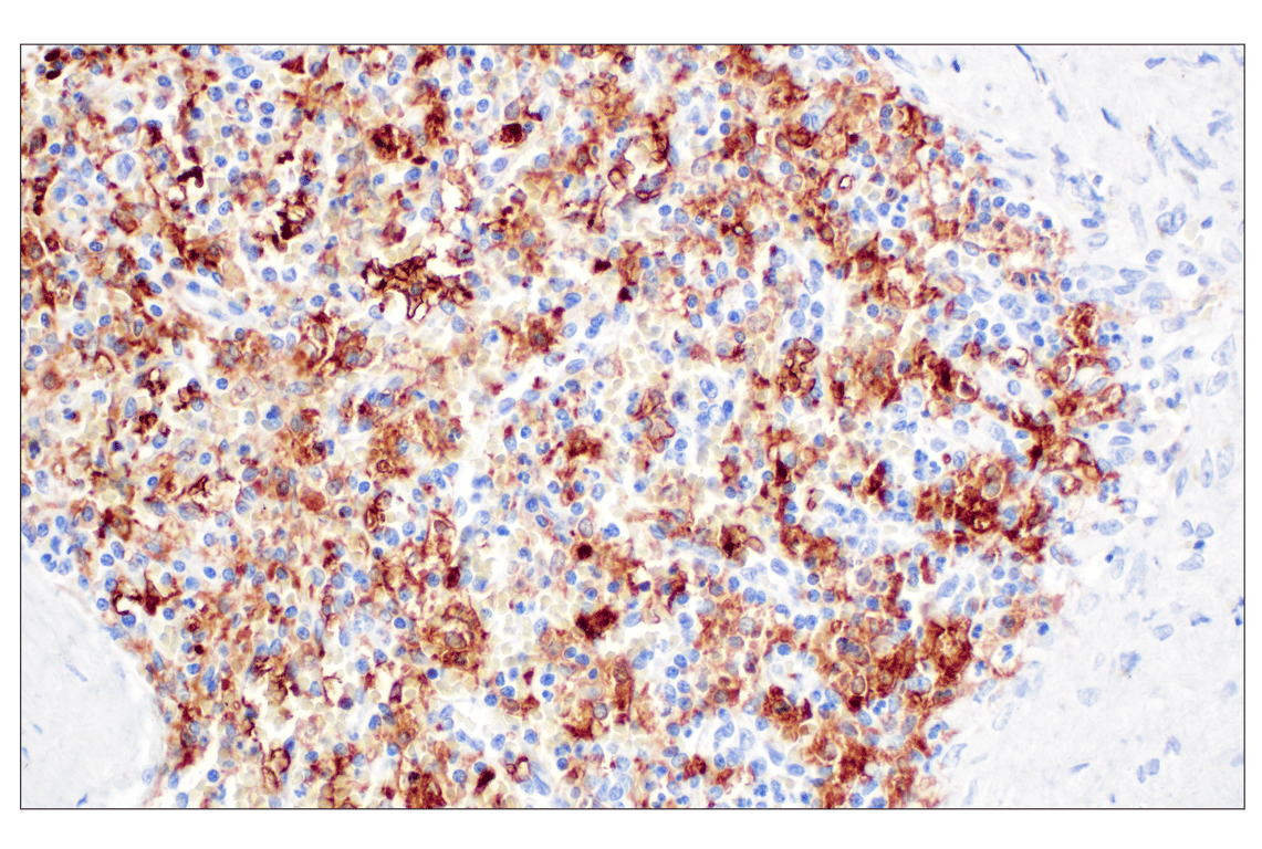
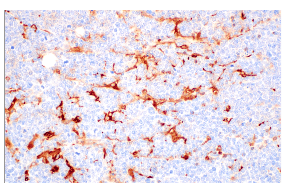
Immunohistochemical analysis of paraffin-embedded normal human spleen using FTL (F9O4I) Rabbit mAb.
Immunohistochemistry Image 7: FTL (F9O4I) Rabbit Monoclonal Antibody

Immunohistochemical analysis of paraffin-embedded A20 syngeneic mammary tumor using FTL (F9O4I) Rabbit mAb.
Immunohistochemistry Image 8: FTL (F9O4I) Rabbit Monoclonal Antibody

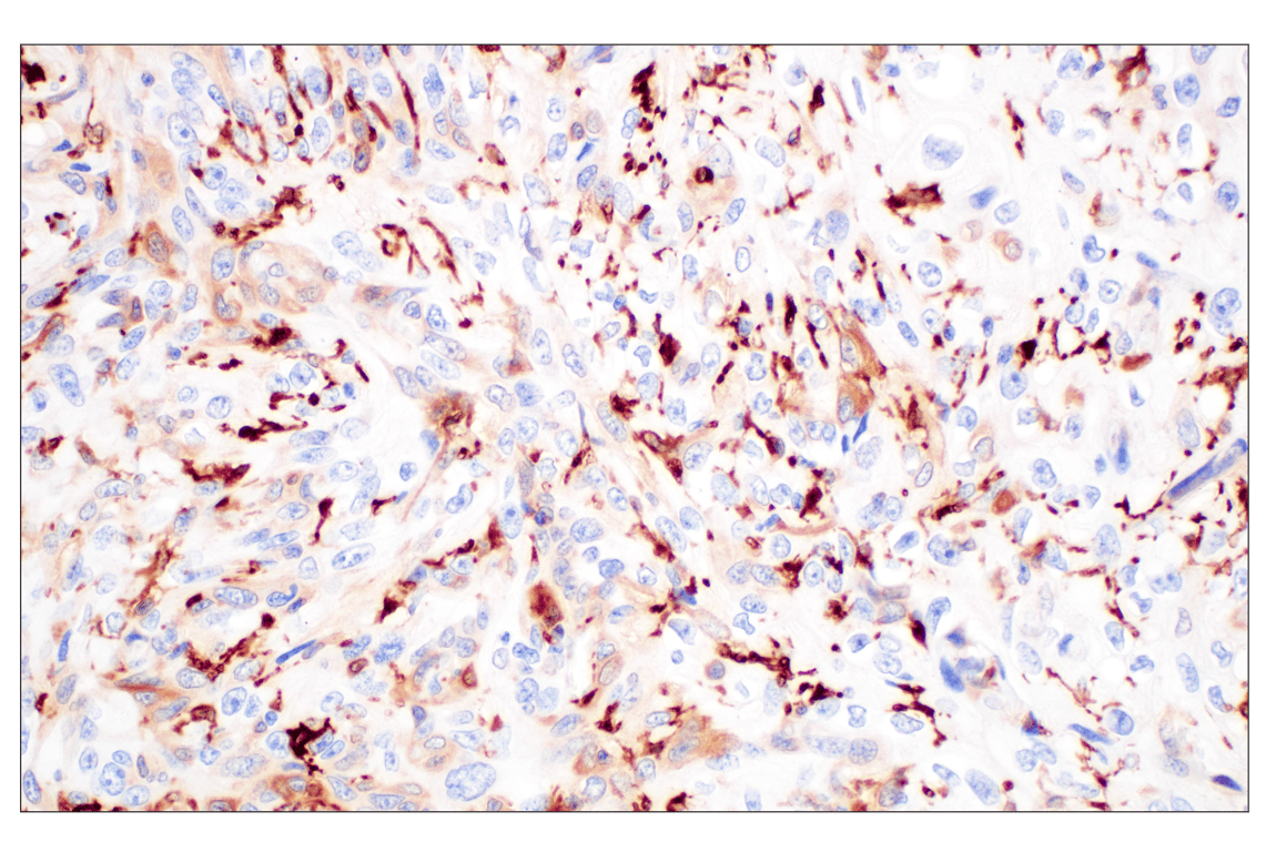
Immunohistochemical analysis of paraffin-embedded LL/2 (LLC1) syngeneic tumor using FTL (F9O4I) Rabbit mAb.
Immunohistochemistry Image 9: FTL (F9O4I) Rabbit Monoclonal Antibody
Orders: 877-616-CELL (2355) [email protected] Support: 877-678-TECH (8324) [email protected] Web: cellsignal.com
For Research Use Only. Not for Use in Diagnostic Procedures.

Revision 1

Cell Signaling Technology Logo
Immunohistochemical analysis of paraffin-embedded mouse liver (left), pancreas (middle), and thymus (right) using FTL (F9O4I) Rabbit mAb (top) or an FTL Rabbit mAb (right). These two antibodies detect unique, non-overlapping epitopes on mouse FTL. The similar staining patterns obtained with both antibodies help to confirm the specificity of the staining.
Immunohistochemistry Image 10: FTL (F9O4I) Rabbit Monoclonal Antibody
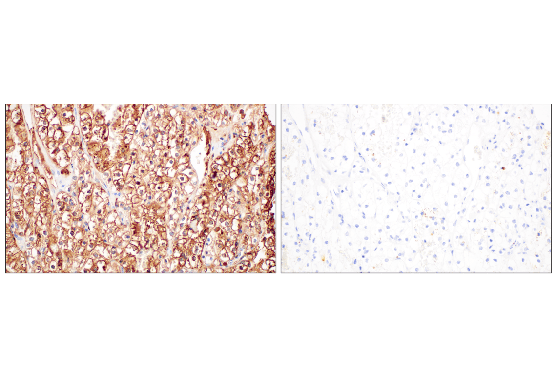
Immunohistochemical analysis of paraffin-embedded human renal cell carcinoma using FTL (F9O4I) Rabbit mAb (left) compared to concentration-matched Rabbit (DA1E) mAb IgG XP® Isotype Control #3900 (right).
Immunohistochemistry Image 11: FTL (F9O4I) Rabbit Monoclonal Antibody
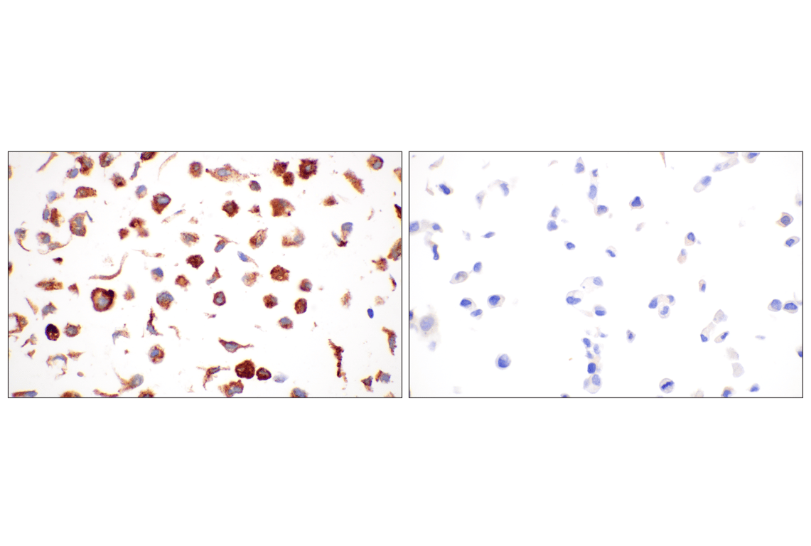
Immunohistochemical analysis of paraffin-embedded SNU-475 cell pellet (left, positive) or T-47D cell pellet (right, negative) using FTL (F9O4I) Rabbit mAb.
Immunohistochemistry Image 12: FTL (F9O4I) Rabbit Monoclonal Antibody
Orders: 877-616-CELL (2355) [email protected] Support: 877-678-TECH (8324) [email protected] Web: cellsignal.com
For Research Use Only. Not for Use in Diagnostic Procedures.