Revision 3

#49240

Store at -20C

CST Logo
Orders:

877-616-CELL (2355)

[email protected]

Support:

877-678-TECH (8324)

3 Trask Lane | Danvers | Massachusetts | 01923 | USA

For Research Use Only. Not for Use in Diagnostic Procedures.

Applications:
W, IP

Reactivity:
H M R

Sensitivity:
Endogenous

MW (kDa):
17

Source/Isotype:
Rabbit IgG

UniProt ID:
#Q8IVP5

Entrez-Gene Id:
139341

Product Usage Information

Application Dilution
Western Blotting 1:1000
Immunoprecipitation 1:200

Storage

Supplied in 10 mM sodium HEPES (pH 7.5), 150 mM NaCl, 100 µg/ml BSA, 50% glycerol and less than 0.02% sodium azide. Store at –20°C. Do not aliquot the antibody.

Specificity/Sensitivity

FUNDC1 (E2F4T) Rabbit Monoclonal Antibody recognizes endogenous levels of total FUNDC1 protein. Bands of unknown origin were detected at 45 and 100 kDa.

Source / Purification

Monoclonal antibody is produced by immunizing animals with a synthetic peptide corresponding to residues near the amino terminus of human FUNDC1 protein.

Background

Mitophagy, a selective form of autophagy targeting damaged mitochondria, is regulated through several protein complexes, including FUNDC1, BNIP3 and BNIP3L/Nix, and PINK1/Parkin (reviewed in 1). FUNDC1 resides on the mitochondrial outer membrane protein and regulates mitochondrial dynamics and hypoxia-induced mitophagy (2-4). It contains an amino-terminal LC3-interacting region (LIR) that is responsible for associating with LC3 and recruiting mitochondria to the autophagosome. The phosphorylation state of FUNDC1 can regulate its activity by affecting its binding to LC3 (4-6). Under normal conditions, FUNDC1 is phosphorylated at Tyr18 by Src, which is inhibited during hypoxia, leading to dephosphorylation (4). FUNDC1 activity is also inhibited by phosphorylation by CK2 at Ser13, which is overcome during hypoxia by the phosphatase PGAM5 which dephosphorylates this site (5). Furthermore, the autophagy kinase ULK1 phosphorylates FUNDC1 at Ser17 which enhances binding to LC3 (6). The levels of FUNDC1 can also be tightly regulated through the ubiquitin/proteasome pathway via the E3 ligase MARCH5, which targets FUNDC1 for degradation (7).

Species Reactivity

Species reactivity is determined by testing in at least one approved application (e.g., western blot).

Western Blot Buffer

IMPORTANT: For western blots, incubate membrane with diluted primary antibody in 5% w/v BSA, 1X TBS, 0.1% Tween® 20 at 4°C with gentle shaking, overnight.

Applications Key

W: Western Blotting IP: Immunoprecipitation

Cross-Reactivity Key

H: Human M: Mouse R: Rat

Trademarks and Patents

Cell Signaling Technology is a trademark of Cell Signaling Technology, Inc.

All other trademarks are the property of their respective owners. Visit cellsignal.com/trademarks for more information.

Limited Uses

Except as otherwise expressly agreed in a writing signed by a legally authorized representative of CST, the following terms apply to Products provided by CST, its affiliates or its distributors. Any Customer's terms and conditions that are in addition to, or different from, those contained herein, unless separately accepted in writing by a legally authorized representative of CST, are rejected and are of no force or effect.

Products are labeled with For Research Use Only or a similar labeling statement and have not been approved, cleared, or licensed by the FDA or other regulatory foreign or domestic entity, for any purpose. Customer shall not use any Product for any diagnostic or therapeutic purpose, or otherwise in any manner that conflicts with its labeling statement. Products sold or licensed by CST are provided for Customer as the end-user and solely for research and development uses. Any use of Product for diagnostic, prophylactic or therapeutic purposes, or any purchase of Product for resale (alone or as a component) or other commercial purpose, requires a separate license from CST. Customer shall (a) not sell, license, loan, donate or otherwise transfer or make available any Product to any third party, whether alone or in combination with other materials, or use the Products to manufacture any commercial products, (b) not copy, modify, reverse engineer, decompile, disassemble or otherwise attempt to discover the underlying structure or technology of the Products, or use the Products for the purpose of developing any products or services that would compete with CST products or services, (c) not alter or remove from the Products any trademarks, trade names, logos, patent or copyright notices or markings, (d) use the Products solely in accordance with CST Product Terms of Sale and any applicable documentation, and (e) comply with any license, terms of service or similar agreement with respect to any third party products or services used by Customer in connection with the Products.

Orders: 877-616-CELL (2355) [email protected] Support: 877-678-TECH (8324) [email protected] Web: cellsignal.com
For Research Use Only. Not for Use in Diagnostic Procedures.

Revision 3

Cell Signaling Technology Logo
Western blot analysis of extracts from 293T cells, mock transfected (-) or transfected with a construct expressing Myc/DDK-tagged full-length human FUNDC1 protein (hFUNDC1-Myc/DDK; +), using FUNDC1 (E2F4T) Rabbit mAb (upper) or Myc-Tag (71D10) Rabbit mAb #2278 (lower).
Western Blotting Image 1: FUNDC1 (E2F4T) Rabbit Monoclonal Antibody
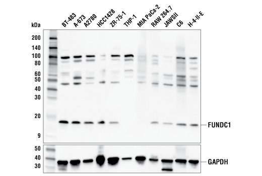
Western blot analysis of extracts from various cell lines using FUNDC1 (E2F4T) Rabbit mAb (upper) or GAPDH (D16H11) XP® Rabbit mAb #5174 (lower). Absence of signal for FUNDC1 in THP-1 and MIA Paca-2 cell lines is predicted based on RNAseq data.
Western Blotting Image 2: FUNDC1 (E2F4T) Rabbit Monoclonal Antibody
Immunoprecipitation of FUNDC1 protein from A-673 cell extracts. Lane 1 is 10% input, lane 2 is Rabbit (DA1E) mAb IgG XP® Isotype Control #3900, and lane 3 is FUNDC1 (E2F4T) Rabbit mAb. Western blot analysis was performed using FUNDC1 (E2F4T) Rabbit mAb. Anti-rabbit IgG, HRP-linked Antibody #7074 was used as a secondary antibody.
Immunoprecipitation Image 1: FUNDC1 (E2F4T) Rabbit Monoclonal Antibody
Orders: 877-616-CELL (2355) [email protected] Support: 877-678-TECH (8324) [email protected] Web: cellsignal.com
For Research Use Only. Not for Use in Diagnostic Procedures.