Revision 1

#64709

Store at -20C

CST Logo
Orders:

877-616-CELL (2355)

[email protected]

Support:

877-678-TECH (8324)

3 Trask Lane | Danvers | Massachusetts | 01923 | USA

For Research Use Only. Not for Use in Diagnostic Procedures.

Applications:
W, IHC-P

Reactivity:
H M R

Sensitivity:
Endogenous

MW (kDa):
90

Source/Isotype:
Rabbit IgG

UniProt ID:
#P09958

Entrez-Gene Id:
5045

Product Usage Information

Application Dilution
Western Blotting 1:1000
Immunohistochemistry (Paraffin) 1:100 - 1:400

Storage

Supplied in 10 mM sodium HEPES (pH 7.5), 150 mM NaCl, 100 µg/mL BSA, 50% glycerol, and less than 0.02% sodium azide. Store at –20°C. Do not aliquot the antibody.

Specificity/Sensitivity

Furin (E2Y2F) Rabbit Monoclonal Antibody recognizes endogenous levels of total furin protein. Non-specific diffuse staining was observed in pancreatic islets by immunohistochemistry.

Source / Purification

Monoclonal antibody is produced by immunizing animals with a synthetic peptide corresponding to residues surrounding Ala237 of human furin protein.

Background

The proprotein convertases (PCs) are enzymes that activate precursor proteins through proteolytic cleavage within the secretory pathway. PCs comprise several enzymes that are basic amino acid-specific proteinases (furin, PC1/3, PC2, PC4, PACE4, PC5/6, and PC7), as well as nonbasic amino acid convertases (S1P and PC9) (1). PCs have a common structure that includes an N-terminal signal peptide for secretory pathway targeting; a pro-domain that is thought to act as an intramolecular chaperone; a catalytic domain containing the active site; a P-domain that contributes to the overall folding of the enzyme by regulating stability and both calcium- and pH-dependence; and a C-terminal domain that interacts with the membrane (2). PCs act in a tissue- and substrate-specific fashion to generate an array of bioactive peptides and proteins from precursors, both in the brain and in peripheral tissues (3). The SARS-CoV-2 coronavirus contains an inactive precursor spike glycoprotein, with a distinct furin cleavage site at the S1/S2 domain junction. Cleavage by furin "primes" the spike protein for binding to the ACE2 receptor and subsequent viral entry to the host cell (4-6). Loss of the furin cleavage site has been shown to drastically reduce the virulence of the SARS-CoV-2 virus (6-8). Furin cleavage sites are seen in a variety of other viral pathogens as well, including other CoV family members, HIV, avian influenza strains, and Ebola (6,8). In addition, furin has been proposed as a therapeutic target in cancer, and in regard to NMDA receptor-associated pathologies in the brain (9,10).

Species Reactivity

Species reactivity is determined by testing in at least one approved application (e.g., western blot).

Western Blot Buffer

IMPORTANT: For western blots, incubate membrane with diluted primary antibody in 5% w/v BSA, 1X TBS, 0.1% Tween® 20 at 4°C with gentle shaking, overnight.

Applications Key

W: Western Blotting IHC-P: Immunohistochemistry (Paraffin)

Cross-Reactivity Key

H: Human M: Mouse R: Rat

Trademarks and Patents

Cell Signaling Technology is a trademark of Cell Signaling Technology, Inc.

SignalStain is a registered trademark of Cell Signaling Technology, Inc.

KARPAS cell line source: Dr. Abraham Karpas at the University of Cambridge.

All other trademarks are the property of their respective owners. Visit cellsignal.com/trademarks for more information.

Limited Uses

Except as otherwise expressly agreed in a writing signed by a legally authorized representative of CST, the following terms apply to Products provided by CST, its affiliates or its distributors. Any Customer's terms and conditions that are in addition to, or different from, those contained herein, unless separately accepted in writing by a legally authorized representative of CST, are rejected and are of no force or effect.

Products are labeled with For Research Use Only or a similar labeling statement and have not been approved, cleared, or licensed by the FDA or other regulatory foreign or domestic entity, for any purpose. Customer shall not use any Product for any diagnostic or therapeutic purpose, or otherwise in any manner that conflicts with its labeling statement. Products sold or licensed by CST are provided for Customer as the end-user and solely for research and development uses. Any use of Product for diagnostic, prophylactic or therapeutic purposes, or any purchase of Product for resale (alone or as a component) or other commercial purpose, requires a separate license from CST. Customer shall (a) not sell, license, loan, donate or otherwise transfer or make available any Product to any third party, whether alone or in combination with other materials, or use the Products to manufacture any commercial products, (b) not copy, modify, reverse engineer, decompile, disassemble or otherwise attempt to discover the underlying structure or technology of the Products, or use the Products for the purpose of developing any products or services that would compete with CST products or services, (c) not alter or remove from the Products any trademarks, trade names, logos, patent or copyright notices or markings, (d) use the Products solely in accordance with CST Product Terms of Sale and any applicable documentation, and (e) comply with any license, terms of service or similar agreement with respect to any third party products or services used by Customer in connection with the Products.

Orders: 877-616-CELL (2355) [email protected] Support: 877-678-TECH (8324) [email protected] Web: cellsignal.com
For Research Use Only. Not for Use in Diagnostic Procedures.

Revision 1

Cell Signaling Technology Logo
Western blot analysis of extracts from KARPAS 299 and Ramos cells using Furin (E2Y2F) Rabbit mAb (upper) or GAPDH (D16H11) XP® Rabbit mAb #5174 (lower).
Western Blotting Image 1: Furin (E2Y2F) Rabbit Monoclonal Antibody

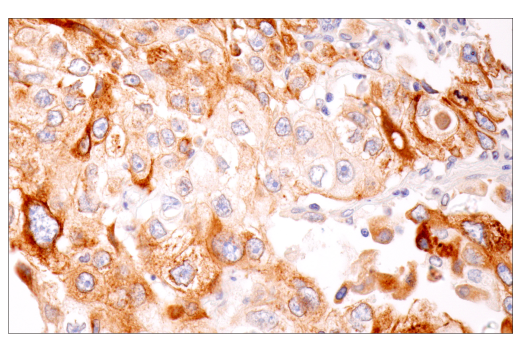
Immunohistochemical analysis of paraffin-embedded human hepatocellular carcinoma using Furin (E2Y2F) Rabbit mAb.

Immunohistochemistry Image 1: Furin (E2Y2F) Rabbit Monoclonal Antibody

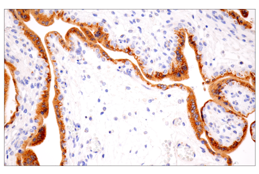
Immunohistochemical analysis of paraffin-embedded human ovarian adenocarcinoma using Furin (E2Y2F) Rabbit mAb.

Immunohistochemistry Image 2: Furin (E2Y2F) Rabbit Monoclonal Antibody
Orders: 877-616-CELL (2355) [email protected] Support: 877-678-TECH (8324) [email protected] Web: cellsignal.com
For Research Use Only. Not for Use in Diagnostic Procedures.

Revision 1

Cell Signaling Technology Logo
Immunohistochemical analysis of paraffin-embedded human ovarian serous carcinoma using Furin (E2Y2F) Rabbit mAb.
Immunohistochemistry Image 3: Furin (E2Y2F) Rabbit Monoclonal Antibody
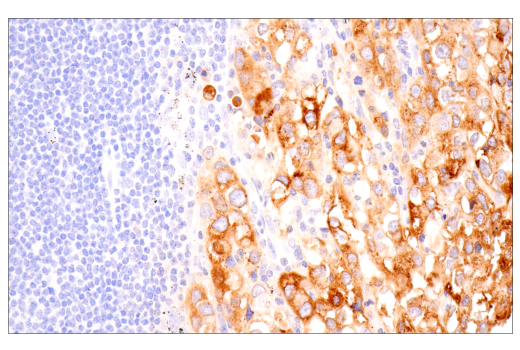
Immunohistochemical analysis of paraffin-embedded human non-small cell lung carcinoma using Furin (E2Y2F) Rabbit mAb.
Immunohistochemistry Image 4: Furin (E2Y2F) Rabbit Monoclonal Antibody
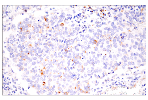
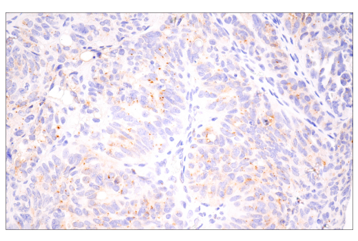
Immunohistochemical analysis of paraffin-embedded human neuroendocrine lung carcinoma using Furin (E2Y2F) Rabbit mAb.
Immunohistochemistry Image 5: Furin (E2Y2F) Rabbit Monoclonal Antibody
Orders: 877-616-CELL (2355) [email protected] Support: 877-678-TECH (8324) [email protected] Web: cellsignal.com
For Research Use Only. Not for Use in Diagnostic Procedures.

Revision 1

Cell Signaling Technology Logo

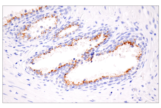
Immunohistochemical analysis of paraffin-embedded normal human prostate using Furin (E2Y2F) Rabbit mAb.

Immunohistochemistry Image 6: Furin (E2Y2F) Rabbit Monoclonal Antibody

Immunohistochemical analysis of paraffin-embedded normal human placenta using Furin (E2Y2F) Rabbit mAb.

Immunohistochemistry Image 7: Furin (E2Y2F) Rabbit Monoclonal Antibody
Immunohistochemical analysis of paraffin-embedded 4T1 syngeneic mammary tumor using Furin (E2Y2F) Rabbit mAb.
Immunohistochemistry Image 8: Furin (E2Y2F) Rabbit Monoclonal Antibody
Orders: 877-616-CELL (2355) [email protected] Support: 877-678-TECH (8324) [email protected] Web: cellsignal.com
For Research Use Only. Not for Use in Diagnostic Procedures.

Revision 1

Cell Signaling Technology Logo
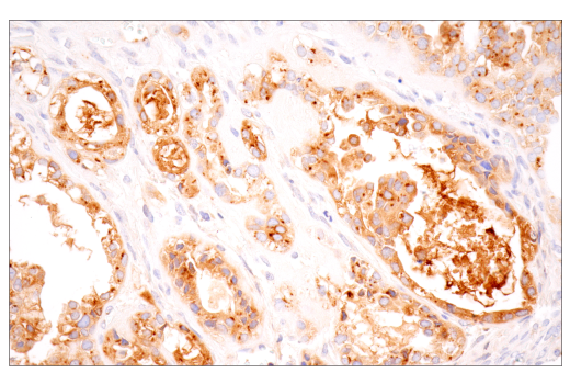
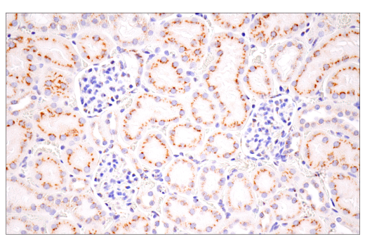
Immunohistochemical analysis of paraffin-embedded normal mouse kidney using Furin (E2Y2F) Rabbit mAb.
Immunohistochemistry Image 9: Furin (E2Y2F) Rabbit Monoclonal Antibody
Immunohistochemical analysis of paraffin-embedded human prostate carcinoma using Furin (E2Y2F) Rabbit mAb (left) compared to concentration-matched Rabbit (DA1E) mAb IgG XP® Isotype Control #3900 (right).
Immunohistochemistry Image 10: Furin (E2Y2F) Rabbit Monoclonal Antibody
Immunohistochemical analysis of paraffin-embedded HuH-7 cell pellet (left, positive) or Ramos cell pellet (right, negative) using Furin (E2Y2F) Rabbit mAb.
Immunohistochemistry Image 11: Furin (E2Y2F) Rabbit Monoclonal Antibody
Orders: 877-616-CELL (2355) [email protected] Support: 877-678-TECH (8324) [email protected] Web: cellsignal.com
For Research Use Only. Not for Use in Diagnostic Procedures.