Revision 3

#61559

Store at -20C

CST Logo
Orders:

877-616-CELL (2355)

[email protected]

Support:

877-678-TECH (8324)

3 Trask Lane | Danvers | Massachusetts | 01923 | USA

For Research Use Only. Not for Use in Diagnostic Procedures.

Applications:
W, IP, IHC-P, IF-IC

Reactivity:
H Mk

Sensitivity:
Endogenous

MW (kDa):
68

Source/Isotype:
Rabbit IgG

UniProt ID:
#Q13283

Entrez-Gene Id:
10146

Product Usage Information

Application Dilution
Western Blotting 1:1000
Immunoprecipitation 1:50
Immunohistochemistry (Paraffin) 1:2500 - 1:10000
Immunofluorescence (Immunocytochemistry) 1:100 - 1:400

Storage

Supplied in 10 mM sodium HEPES (pH 7.5), 150 mM NaCl, 100 µg/ml BSA, 50% glycerol and less than 0.02% sodium azide. Store at –20°C. Do not aliquot the antibody.

Specificity/Sensitivity

G3BP1 (E9G1M) Rabbit Monoclonal Antibody recognizes endogenous levels of total G3BP1 protein. This antibody does not cross-react with G3BP2 protein.

Source / Purification

Monoclonal antibody is produced by immunizing animals with a synthetic peptide corresponding to residues surrounding Val218 of human G3BP1 protein.

Background

Ras GTPase-activating protein-binding protein 1, also known as GAP SH3 domain-binding protein 1 (G3BP1), was identified as a protein that interacts with the SH3 domain of Ras GTPase-activating protein (RasGap) (1). G3BP1 is involved in the regulation of multiple cellular processes, including mRNA decay and inhibition of translation initiation (2). Furthermore, G3BP1 is essential for the assembly of stress granules (SGs) and functions as an SG-nucleating protein (3). Research studies show that arginine demethylation of G3BP1 promotes SG assembly during oxidative stress (4).

Species Reactivity

Species reactivity is determined by testing in at least one approved application (e.g., western blot).

Western Blot Buffer

IMPORTANT: For western blots, incubate membrane with diluted primary antibody in 5% w/v BSA, 1X TBS, 0.1% Tween® 20 at 4°C with gentle shaking, overnight.

Applications Key

W: Western Blotting IP: Immunoprecipitation IHC-P: Immunohistochemistry (Paraffin) IF-IC: Immunofluorescence (Immunocytochemistry)

Cross-Reactivity Key

H: Human Mk: Monkey

Trademarks and Patents

Cell Signaling Technology is a trademark of Cell Signaling Technology, Inc.

All other trademarks are the property of their respective owners. Visit cellsignal.com/trademarks for more information.

Limited Uses

Except as otherwise expressly agreed in a writing signed by a legally authorized representative of CST, the following terms apply to Products provided by CST, its affiliates or its distributors. Any Customer's terms and conditions that are in addition to, or different from, those contained herein, unless separately accepted in writing by a legally authorized representative of CST, are rejected and are of no force or effect.

Products are labeled with For Research Use Only or a similar labeling statement and have not been approved, cleared, or licensed by the FDA or other regulatory foreign or domestic entity, for any purpose. Customer shall not use any Product for any diagnostic or therapeutic purpose, or otherwise in any manner that conflicts with its labeling statement. Products sold or licensed by CST are provided for Customer as the end-user and solely for research and development uses. Any use of Product for diagnostic, prophylactic or therapeutic purposes, or any purchase of Product for resale (alone or as a component) or other commercial purpose, requires a separate license from CST. Customer shall (a) not sell, license, loan, donate or otherwise transfer or make available any Product to any third party, whether alone or in combination with other materials, or use the Products to manufacture any commercial products, (b) not copy, modify, reverse engineer, decompile, disassemble or otherwise attempt to discover the underlying structure or technology of the Products, or use the Products for the purpose of developing any products or services that would compete with CST products or services, (c) not alter or remove from the Products any trademarks, trade names, logos, patent or copyright notices or markings, (d) use the Products solely in accordance with CST Product Terms of Sale and any applicable documentation, and (e) comply with any license, terms of service or similar agreement with respect to any third party products or services used by Customer in connection with the Products.

Orders: 877-616-CELL (2355) [email protected] Support: 877-678-TECH (8324) [email protected] Web: cellsignal.com
For Research Use Only. Not for Use in Diagnostic Procedures.

Revision 3

Cell Signaling Technology Logo
Western blot analysis of extracts from various cell lines using G3BP1 (E9G1M) XP® Rabbit mAb.
Western Blotting Image 1: G3BP1 (E9G1M) Rabbit Monoclonal Antibody
Western blot analysis of extracts from 293T cells, either wild type (+/+) or G3BP1 knock-out (-/-), using G3BP1 (E9G1M) XP® Rabbit mAb (upper) and GAPDH (D16H11) XP® Rabbit mAb #5174 (lower).
Western Blotting Image 2: G3BP1 (E9G1M) Rabbit Monoclonal Antibody
Immunoprecipitation of G3BP1 protein from HeLa cell extracts. Lane 1 is 10% input, lane 2 is Rabbit (DA1E) mAb IgG XP® Isotype Control #3900, and lane 3 is G3BP1 (E9G1M) XP® Rabbit mAb. Western blot analysis was performed using G3BP1 (E9G1M) XP® Rabbit mAb. Anti-rabbit IgG, HRP-linked Antibody #7074 was used as the secondary antibody.
Immunoprecipitation Image 1: G3BP1 (E9G1M) Rabbit Monoclonal Antibody
Orders: 877-616-CELL (2355) [email protected] Support: 877-678-TECH (8324) [email protected] Web: cellsignal.com
For Research Use Only. Not for Use in Diagnostic Procedures.

Revision 3

Cell Signaling Technology Logo
Immunohistochemical analysis of paraffin-embedded human ductal breast carcinoma using G3BP1 (E9G1M) XP® Rabbit mAb.
Immunohistochemistry Image 1: G3BP1 (E9G1M) Rabbit Monoclonal Antibody
Immunohistochemical analysis of paraffin-embedded human colon adenocarcinoma using G3BP1 (E9G1M) XP® Rabbit mAb.
Immunohistochemistry Image 2: G3BP1 (E9G1M) Rabbit Monoclonal Antibody
Immunohistochemical analysis of paraffin-embedded human ductal breast carcinoma using G3BP1 (E9G1M) XP® Rabbit mAb.
Immunohistochemistry Image 3: G3BP1 (E9G1M) Rabbit Monoclonal Antibody
Orders: 877-616-CELL (2355) [email protected] Support: 877-678-TECH (8324) [email protected] Web: cellsignal.com
For Research Use Only. Not for Use in Diagnostic Procedures.

Revision 3

Cell Signaling Technology Logo
Immunohistochemical analysis of paraffin-embedded human colon adenocarcinoma using G3BP1 (E9G1M) XP® Rabbit mAb.
Immunohistochemistry Image 4: G3BP1 (E9G1M) Rabbit Monoclonal Antibody
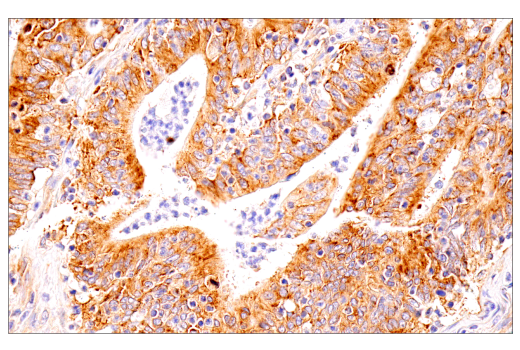
Immunohistochemical analysis of paraffin-embedded human non-small cell lung carcinoma using G3BP1 (E9G1M) XP® Rabbit mAb.
Immunohistochemistry Image 5: G3BP1 (E9G1M) Rabbit Monoclonal Antibody
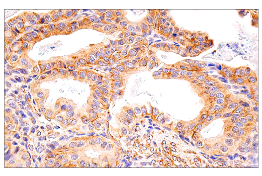
Immunohistochemical analysis of paraffin-embedded human endometrioid adenocarcinoma using G3BP1 (E9G1M) XP® Rabbit mAb.
Immunohistochemistry Image 6: G3BP1 (E9G1M) Rabbit Monoclonal Antibody
Orders: 877-616-CELL (2355) [email protected] Support: 877-678-TECH (8324) [email protected] Web: cellsignal.com
For Research Use Only. Not for Use in Diagnostic Procedures.

Revision 3

Cell Signaling Technology Logo
Immunohistochemical analysis of paraffin-embedded human ovarian clear cell carcinoma using G3BP1 (E9G1M) XP® Rabbit mAb.
Immunohistochemistry Image 7: G3BP1 (E9G1M) Rabbit Monoclonal Antibody
Immunohistochemical analysis of paraffin-embedded normal human thymus using G3BP1 (E9J1M) XP® Rabbit mAb.
Immunohistochemistry Image 8: G3BP1 (E9G1M) Rabbit Monoclonal Antibody
Immunohistochemical analysis of paraffin-embedded normal human testis using G3BP1 (E9J1M) XP® Rabbit mAb.
Immunohistochemistry Image 9: G3BP1 (E9G1M) Rabbit Monoclonal Antibody
Orders: 877-616-CELL (2355) [email protected] Support: 877-678-TECH (8324) [email protected] Web: cellsignal.com
For Research Use Only. Not for Use in Diagnostic Procedures.

Revision 3

Cell Signaling Technology Logo
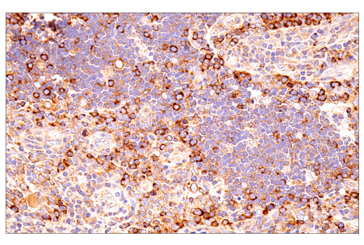
Immunohistochemical analysis of paraffin-embedded normal human lymph node using G3BP1 (E9J1M) XP® Rabbit mAb.
Immunohistochemistry Image 10: G3BP1 (E9G1M) Rabbit Monoclonal Antibody
Immunohistochemical analysis of paraffin-embedded human appendix using G3BP1 (E9G1M) XP® Rabbit mAb (left) compared to concentration-matched Rabbit (DA1E) mAb IgG XP® Isotype Control #3900 (right).
Immunohistochemistry Image 11: G3BP1 (E9G1M) Rabbit Monoclonal Antibody
Immunohistochemical analysis of paraffin-embedded HeLa cell pellets, untreated (left) or treated with sodium arsenite (right), using G3BP1 (E9G1M) XP® Rabbit mAb.
Immunohistochemistry Image 12: G3BP1 (E9G1M) Rabbit Monoclonal Antibody
Orders: 877-616-CELL (2355) [email protected] Support: 877-678-TECH (8324) [email protected] Web: cellsignal.com
For Research Use Only. Not for Use in Diagnostic Procedures.

Revision 3

Cell Signaling Technology Logo
Confocal immunofluorescent analysis of HeLa cells, untreated (left) or treated with sodium arsenite (500 µM, 30 min; right), using G3BP1 (E9G1M) XP® Rabbit mAb (green). Actin filaments were labeled with DyLight™ 554 Phalloidin #13054 (red). Samples were mounted in ProLong® Gold Antifade Reagent with DAPI #8961 (blue).
Immunofluorescence Image 1: G3BP1 (E9G1M) Rabbit Monoclonal Antibody
Orders: 877-616-CELL (2355) [email protected] Support: 877-678-TECH (8324) [email protected] Web: cellsignal.com
For Research Use Only. Not for Use in Diagnostic Procedures.