Revision 6

#87985

Store at -20C

CST Logo
Orders:

877-616-CELL (2355)

[email protected]

Support:

877-678-TECH (8324)

3 Trask Lane | Danvers | Massachusetts | 01923 | USA

For Research Use Only. Not for Use in Diagnostic Procedures.

Applications:
W, IP, IHC-P, IF-IC

Reactivity:
H

Sensitivity:
Endogenous

MW (kDa):
28

Source/Isotype:
Rabbit IgG

UniProt ID:
#P17931

Entrez-Gene Id:
3958

Product Usage Information

Application Dilution
Western Blotting 1:1000
Immunoprecipitation 1:100
Immunohistochemistry (Paraffin) 1:300 - 1:1200
Immunofluorescence (Immunocytochemistry) 1:400 - 1:1600

Storage

Supplied in 10 mM sodium HEPES (pH 7.5), 150 mM NaCl, 100 µg/ml BSA, 50% glycerol and less than 0.02% sodium azide. Store at –20°C. Do not aliquot the antibody.

For a carrier free (BSA and azide free) version of this product see product #70310.

Specificity/Sensitivity

Galectin-3/LGALS3 (D4I2R) Rabbit Monoclonal Antibodyrecognizes endogenous levels of total Galectin-3/LGALS3 protein.

Source / Purification

Monoclonal antibody is produced by immunizing animals with a synthetic peptide corresponding to residues near the amino terminus of human Galectin-3/LGALS3 protein.

Background

Galectins are a family of β-galactose binding proteins that are characterized by an affinity for poly-N-acetyllactosamine-enriched glycoconjugates and a carbohydrate-binding site (1,2). Members of the galectin family have been implicated in a variety of biological functions, including cell adhesion (3), growth regulation (4), cytokine production (5), T cell apoptosis (6), and immune responses (7).

Galectin-3/LGALS3 is involved in several diverse biological functions. Galectin-3/LGALS3 binds IgE (8). Galectin-3/LGALS3 is an unusual protein in that it can be found both extracellularly and intracellularly. Intracellularly, Galectin-3/LGALS3 can localize to the cytoplasm, nucleus, or both, depending on cell type and experimental conditions. Nuclear Galectin-3/LGALS3 has been identified as a pre-mRNA splicing factor (9). Galectin-3/LGALS3 production has been shown to increase during inflammation and in obesity, and the protein itself can have an inflammatory effect under certain conditions (10). Galectin-3/LGALS3 forms a complex with α3, β1 integrin to act as a surface receptor on endothelial cells for the NG2 proteoglycan, which triggers cell motility and angiogenesis (11). In addition to these functions, Galectin-3/LGALS3 is also a required factor for the terminal differentiation of epithelial cells (12).

Species Reactivity

Species reactivity is determined by testing in at least one approved application (e.g., western blot).

Western Blot Buffer

IMPORTANT: For western blots, incubate membrane with diluted primary antibody in 5% w/v BSA, 1X TBS, 0.1% Tween® 20 at 4°C with gentle shaking, overnight.

Applications Key

W: Western Blotting IP: Immunoprecipitation IHC-P: Immunohistochemistry (Paraffin) IF-IC: Immunofluorescence (Immunocytochemistry)

Cross-Reactivity Key

H: Human

Trademarks and Patents

Cell Signaling Technology is a trademark of Cell Signaling Technology, Inc.

SignalStain is a registered trademark of Cell Signaling Technology, Inc.

All other trademarks are the property of their respective owners. Visit cellsignal.com/trademarks for more information.

Limited Uses

Except as otherwise expressly agreed in a writing signed by a legally authorized representative of CST, the following terms apply to Products provided by CST, its affiliates or its distributors. Any Customer's terms and conditions that are in addition to, or different from, those contained herein, unless separately accepted in writing by a legally authorized representative of CST, are rejected and are of no force or effect.

Products are labeled with For Research Use Only or a similar labeling statement and have not been approved, cleared, or licensed by the FDA or other regulatory foreign or domestic entity, for any purpose. Customer shall not use any Product for any diagnostic or therapeutic purpose, or otherwise in any manner that conflicts with its labeling statement. Products sold or licensed by CST are provided for Customer as the end-user and solely for research and development uses. Any use of Product for diagnostic, prophylactic or therapeutic purposes, or any purchase of Product for resale (alone or as a component) or other commercial purpose, requires a separate license from CST. Customer shall (a) not sell, license, loan, donate or otherwise transfer or make available any Product to any third party, whether alone or in combination with other materials, or use the Products to manufacture any commercial products, (b) not copy, modify, reverse engineer, decompile, disassemble or otherwise attempt to discover the underlying structure or technology of the Products, or use the Products for the purpose of developing any products or services that would compete with CST products or services, (c) not alter or remove from the Products any trademarks, trade names, logos, patent or copyright notices or markings, (d) use the Products solely in accordance with CST Product Terms of Sale and any applicable documentation, and (e) comply with any license, terms of service or similar agreement with respect to any third party products or services used by Customer in connection with the Products.

Orders: 877-616-CELL (2355) [email protected] Support: 877-678-TECH (8324) [email protected] Web: cellsignal.com
For Research Use Only. Not for Use in Diagnostic Procedures.

Revision 6

Cell Signaling Technology Logo
Western blot analysis of extracts from various cell lines using Galectin-3/LGALS3 (D4I2R) XP® Rabbit mAb.
Western Blotting Image 1: Galectin-3/LGALS3 (D4I2R) Rabbit Monoclonal Antibody
Immunoprecipitation of Galectin-3/LGALS3 from SK-MEL-28 cell extracts. Lane 1 is 10% input, lane 2 is Normal Rabbit IgG #2729, and lane 3 is Galectin-3/LGALS3 (D4I2R) XP® Rabbit mAb (lane 3).
Immunoprecipitation Image 1: Galectin-3/LGALS3 (D4I2R) Rabbit Monoclonal Antibody
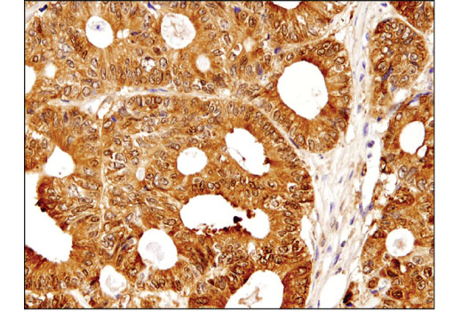
Immunohistochemical analysis of paraffin-embedded human colon carcinoma using Galectin-3/LGALS3 (D4I2R) XP® Rabbit mAb.
Immunohistochemistry Image 1: Galectin-3/LGALS3 (D4I2R) Rabbit Monoclonal Antibody
Orders: 877-616-CELL (2355) [email protected] Support: 877-678-TECH (8324) [email protected] Web: cellsignal.com
For Research Use Only. Not for Use in Diagnostic Procedures.

Revision 6

Cell Signaling Technology Logo
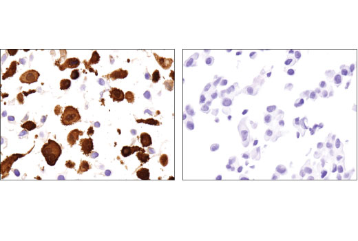
Immunohistochemical analysis of paraffin-embedded SK-MEL-28 (left) and LNCaP (right) cell pellets using Galectin-3/LGALS3 (D4I2R) XP® Rabbit mAb.
Immunohistochemistry Image 2: Galectin-3/LGALS3 (D4I2R) Rabbit Monoclonal Antibody
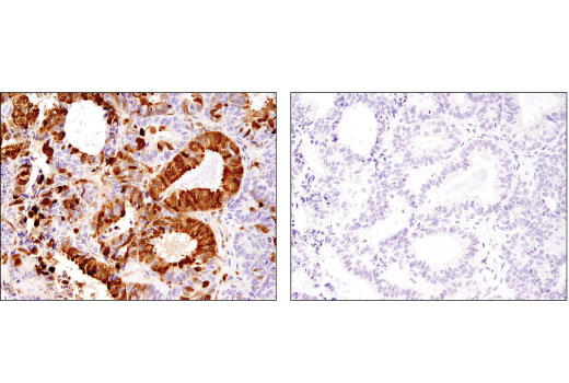
Immunohistochemical analysis of paraffin-embedded human ovarian carcinoma using Galectin-3/LGALS3 (D4I2R) XP® Rabbit mAb in the presence of control peptide (left) or antigen-specific peptide (right).
Immunohistochemistry Image 3: Galectin-3/LGALS3 (D4I2R) Rabbit Monoclonal Antibody
Confocal immunofluorescent analysis of SK-MEL-28 (left) and LNCaP (right) cells, using Galectin-3/LGALS3 (D4I2R) XP® Rabbit mAb (green). Actin filaments were labeled with DyLight™ 554 Phalloidin #13054 (red). Blue pseudocolor = DRAQ5® #4084 (fluorescent DNA dye).
Immunofluorescence Image 1: Galectin-3/LGALS3 (D4I2R) Rabbit Monoclonal Antibody
Orders: 877-616-CELL (2355) [email protected] Support: 877-678-TECH (8324) [email protected] Web: cellsignal.com
For Research Use Only. Not for Use in Diagnostic Procedures.