Revision 6

#89572

Store at -20C

CST Logo
Orders:

877-616-CELL (2355)

[email protected]

Support:

877-678-TECH (8324)

3 Trask Lane | Danvers | Massachusetts | 01923 | USA

For Research Use Only. Not for Use in Diagnostic Procedures.

Applications:
W, W-S, IP, IHC-P, IF-F, IF-IC

Reactivity:
H M R

Sensitivity:
Endogenous

MW (kDa):
28

Source/Isotype:
Rabbit IgG

UniProt ID:
#P16110

Entrez-Gene Id:
16854

Product Usage Information

Application Dilution
Western Blotting 1:1000
Simple Western™ 1:10 - 1:50
Immunoprecipitation 1:50
Immunohistochemistry (Paraffin) 1:50 - 1:200
Immunofluorescence (Frozen) 1:100 - 1:400
Immunofluorescence (Immunocytochemistry) 1:800 - 1:3200

Storage

Supplied in 10 mM sodium HEPES (pH 7.5), 150 mM NaCl, 100 µg/ml BSA, 50% glycerol and less than 0.02% sodium azide. Store at –20°C. Do not aliquot the antibody.

For a carrier free (BSA and azide free) version of this product see product #76015.

Specificity/Sensitivity

Galectin-3/LGALS3 (E7B6R) Rabbit Monoclonal Antibody recognizes endogenous levels of total Galectin-3/LGALS3 protein. This antibody recognizes mouse Galectin-3/LGALS3 protein and is also reactive with human Galectin-3/LGALS3; however, this antibody is not suggested for immunohistochemical analysis of human tissues.

Source / Purification

Monoclonal antibody is produced by immunizing animals with a synthetic peptide corresponding to residues surrounding Gly15 of mouse Galectin-3/LGALS3 protein.

Background

Galectins are a family of β-galactose binding proteins that are characterized by an affinity for poly-N-acetyllactosamine-enriched glycoconjugates and a carbohydrate-binding site (1,2). Members of the galectin family have been implicated in a variety of biological functions, including cell adhesion (3), growth regulation (4), cytokine production (5), T cell apoptosis (6), and immune responses (7).

Galectin-3/LGALS3 is involved in several diverse biological functions. Galectin-3/LGALS3 binds IgE (8). Galectin-3/LGALS3 is an unusual protein in that it can be found both extracellularly and intracellularly. Intracellularly, Galectin-3/LGALS3 can localize to the cytoplasm, nucleus, or both, depending on cell type and experimental conditions. Nuclear Galectin-3/LGALS3 has been identified as a pre-mRNA splicing factor (9). Galectin-3/LGALS3 production has been shown to increase during inflammation and in obesity, and the protein itself can have an inflammatory effect under certain conditions (10). Galectin-3/LGALS3 forms a complex with α3, β1 integrin to act as a surface receptor on endothelial cells for the NG2 proteoglycan, which triggers cell motility and angiogenesis (11). In addition to these functions, Galectin-3/LGALS3 is also a required factor for the terminal differentiation of epithelial cells (12).

Species Reactivity

Species reactivity is determined by testing in at least one approved application (e.g., western blot).

Western Blot Buffer

IMPORTANT: For western blots, incubate membrane with diluted primary antibody in 5% w/v nonfat dry milk, 1X TBS, 0.1% Tween® 20 at 4°C with gentle shaking, overnight.

Applications Key

W: Western Blotting W-S: Simple Western™ IP: Immunoprecipitation IHC-P: Immunohistochemistry (Paraffin) IF-F: Immunofluorescence (Frozen) IF-IC: Immunofluorescence (Immunocytochemistry)

Cross-Reactivity Key

H: Human M: Mouse R: Rat

Trademarks and Patents

Cell Signaling Technology is a trademark of Cell Signaling Technology, Inc.

Alexa Fluor is a registered trademark of Life Technologies Corporation.

All other trademarks are the property of their respective owners. Visit cellsignal.com/trademarks for more information.

Limited Uses

Except as otherwise expressly agreed in a writing signed by a legally authorized representative of CST, the following terms apply to Products provided by CST, its affiliates or its distributors. Any Customer's terms and conditions that are in addition to, or different from, those contained herein, unless separately accepted in writing by a legally authorized representative of CST, are rejected and are of no force or effect.

Products are labeled with For Research Use Only or a similar labeling statement and have not been approved, cleared, or licensed by the FDA or other regulatory foreign or domestic entity, for any purpose. Customer shall not use any Product for any diagnostic or therapeutic purpose, or otherwise in any manner that conflicts with its labeling statement. Products sold or licensed by CST are provided for Customer as the end-user and solely for research and development uses. Any use of Product for diagnostic, prophylactic or therapeutic purposes, or any purchase of Product for resale (alone or as a component) or other commercial purpose, requires a separate license from CST. Customer shall (a) not sell, license, loan, donate or otherwise transfer or make available any Product to any third party, whether alone or in combination with other materials, or use the Products to manufacture any commercial products, (b) not copy, modify, reverse engineer, decompile, disassemble or otherwise attempt to discover the underlying structure or technology of the Products, or use the Products for the purpose of developing any products or services that would compete with CST products or services, (c) not alter or remove from the Products any trademarks, trade names, logos, patent or copyright notices or markings, (d) use the Products solely in accordance with CST Product Terms of Sale and any applicable documentation, and (e) comply with any license, terms of service or similar agreement with respect to any third party products or services used by Customer in connection with the Products.

Orders: 877-616-CELL (2355) [email protected] Support: 877-678-TECH (8324) [email protected] Web: cellsignal.com
For Research Use Only. Not for Use in Diagnostic Procedures.

Revision 6

Cell Signaling Technology Logo
Western blot analysis of extracts from various cell lines using Galectin-3/LGALS3 (E7B6R) Rabbit mAb (upper) and β-Actin (D6A8) Rabbit mAb #8457 (lower).
Western Blotting Image 1: Galectin-3/LGALS3 (E7B6R) Rabbit Monoclonal Antibody
Simple Western™️ analysis of lysates (1.0 mg/mL) from C2C12 cells using Galectin-3/LGALS3 (E7B6R) Rabbit mAb #89572. The virtual lane view (left) shows the target band (as indicated) at 1:10 and 1:50 dilutions of primary antibody. The corresponding electropherogram view (right) plots chemiluminescence by molecular weight along the capillary at 1:10 (blue line) and 1:50 (green line) dilutions of primary antibody. This experiment was performed under reducing conditions on the Jess™️ Simple Western instrument from ProteinSimple, a BioTechne brand, using the 12 – 230 kDa separation module.
Western Blotting Image 1: Galectin-3/LGALS3 (E7B6R) Rabbit Monoclonal Antibody
Immunoprecipitation of Galectin-3/LGALS3 protein from C2C12 cell extracts. Lane 1 is 10% input, lane 2 is Rabbit (DA1E) mAb IgG XP® Isotype Control #3900, and lane 3 is Galectin-3/LGALS3 (E7B6R) Rabbit mAb. Western blot analysis was performed using Galectin-3/LGALS3 (E7B6R) Rabbit mAb. Mouse Anti-rabbit IgG (Conformation Specific) (L27A9) mAb (HRP Conjugate) #5127 was used as a secondary antibody.
Immunoprecipitation Image 1: Galectin-3/LGALS3 (E7B6R) Rabbit Monoclonal Antibody
Orders: 877-616-CELL (2355) [email protected] Support: 877-678-TECH (8324) [email protected] Web: cellsignal.com
For Research Use Only. Not for Use in Diagnostic Procedures.

Revision 6

Cell Signaling Technology Logo
Immunohistochemical analysis of paraffin-embedded mouse thymus using Galectin-3/LGALS3 (E7B6R) Rabbit mAb.
Immunohistochemistry Image 1: Galectin-3/LGALS3 (E7B6R) Rabbit Monoclonal Antibody
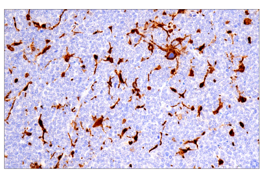
Immunohistochemical analysis of paraffin-embedded wild-type mouse brain (left) or brain from an amyloid mouse model of Alzheimer's Disease (right) using Galectin-3/LGALS3 (E7B6R) Rabbit mAb.
Immunohistochemistry Image 2: Galectin-3/LGALS3 (E7B6R) Rabbit Monoclonal Antibody
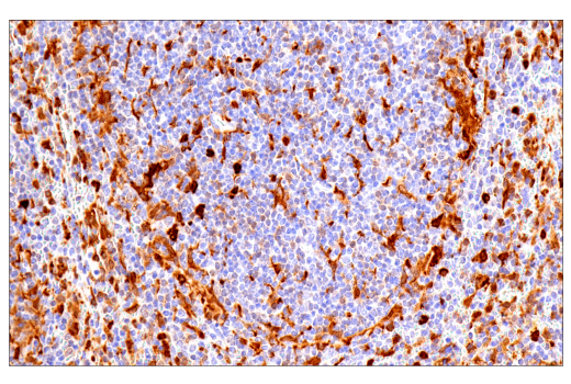
Immunohistochemical analysis of paraffin-embedded mouse spleen using Galectin-3/LGALS3 (E7B6R) Rabbit mAb.
Immunohistochemistry Image 3: Galectin-3/LGALS3 (E7B6R) Rabbit Monoclonal Antibody
Orders: 877-616-CELL (2355) [email protected] Support: 877-678-TECH (8324) [email protected] Web: cellsignal.com
For Research Use Only. Not for Use in Diagnostic Procedures.

Revision 6

Cell Signaling Technology Logo
Immunohistochemical analysis of paraffin-embedded mouse testis using Galectin-3/LGALS3 (E7B6R) Rabbit mAb.
Immunohistochemistry Image 4: Galectin-3/LGALS3 (E7B6R) Rabbit Monoclonal Antibody
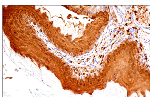
Immunohistochemical analysis of paraffin-embedded mouse forestomach using Galectin-3/LGALS3 (E7B6R) Rabbit mAb.
Immunohistochemistry Image 5: Galectin-3/LGALS3 (E7B6R) Rabbit Monoclonal Antibody
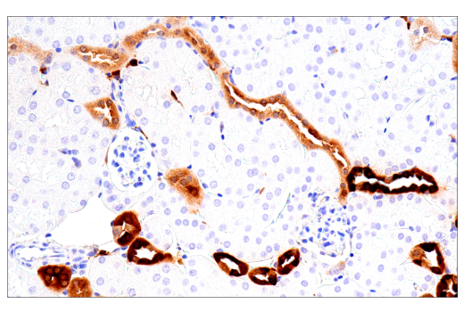
Immunohistochemical analysis of paraffin-embedded mouse kidney using Galectin-3/LGALS3 (E7B6R) Rabbit mAb.
Immunohistochemistry Image 6: Galectin-3/LGALS3 (E7B6R) Rabbit Monoclonal Antibody
Orders: 877-616-CELL (2355) [email protected] Support: 877-678-TECH (8324) [email protected] Web: cellsignal.com
For Research Use Only. Not for Use in Diagnostic Procedures.

Revision 6

Cell Signaling Technology Logo
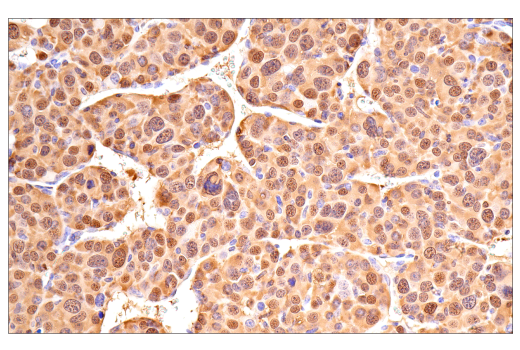
Immunohistochemical analysis of paraffin-embedded mouse liver using Galectin-3/LGALS3 (E7B6R) Rabbit mAb.
Immunohistochemistry Image 7: Galectin-3/LGALS3 (E7B6R) Rabbit Monoclonal Antibody
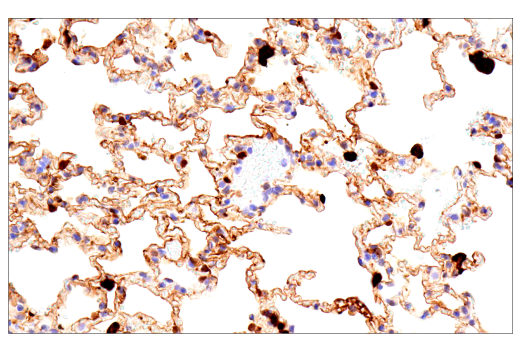
Immunohistochemical analysis of paraffin-embedded mouse lung using Galectin-3/LGALS3 (E7B6R) Rabbit mAb.
Immunohistochemistry Image 8: Galectin-3/LGALS3 (E7B6R) Rabbit Monoclonal Antibody
Immunohistochemical analysis of paraffin-embedded mouse ovary using Galectin-3/LGALS3 (E7B6R) Rabbit mAb.
Immunohistochemistry Image 9: Galectin-3/LGALS3 (E7B6R) Rabbit Monoclonal Antibody
Orders: 877-616-CELL (2355) [email protected] Support: 877-678-TECH (8324) [email protected] Web: cellsignal.com
For Research Use Only. Not for Use in Diagnostic Procedures.

Revision 6

Cell Signaling Technology Logo
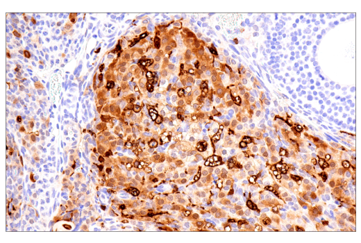
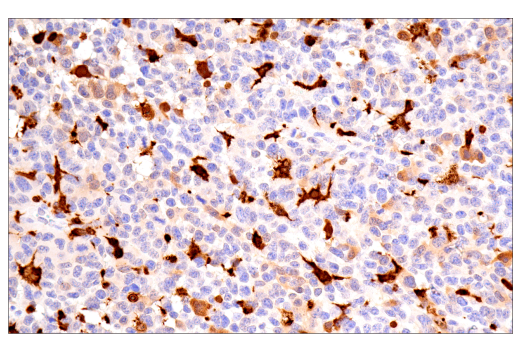
Immunohistochemical analysis of paraffin-embedded A20 syngeneic tumor using Galectin-3/LGALS3 (E7B6R) Rabbit mAb.
Immunohistochemistry Image 10: Galectin-3/LGALS3 (E7B6R) Rabbit Monoclonal Antibody
Immunohistochemical analysis of paraffin-embedded GL261 syngeneic tumor using Galectin-3/LGALS3 (E7B6R) Rabbit mAb.
Immunohistochemistry Image 11: Galectin-3/LGALS3 (E7B6R) Rabbit Monoclonal Antibody
Immunohistochemical analysis of paraffin-embedded Renca syngeneic tumor using Galectin-3/LGALS3 (E7B6R) Rabbit mAb.
Immunohistochemistry Image 12: Galectin-3/LGALS3 (E7B6R) Rabbit Monoclonal Antibody
Orders: 877-616-CELL (2355) [email protected] Support: 877-678-TECH (8324) [email protected] Web: cellsignal.com
For Research Use Only. Not for Use in Diagnostic Procedures.

Revision 6

Cell Signaling Technology Logo
Immunohistochemical analysis of paraffin-embedded RAW 264.7 cell pellet (left, positive) or Neuro-2a cell pellet (right, negative) using Galectin-3/LGALS3 (E7B6R) Rabbit mAb.
Immunohistochemistry Image 13: Galectin-3/LGALS3 (E7B6R) Rabbit Monoclonal Antibody
Confocal immunofluorescent analysis of fixed frozen mouse colon labeled with Galectin-3/LGALS3 (E7B6R) Rabbit mAb (left, red). Free secondary binding sites were then blocked with Rabbit (DA1E) mAb IgG XP® Isotype Control #3900 prior to colabeling with COL1A1 (E8F4L) XP® Rabbit mAb (Alexa Fluor® 647 Conjugate) #72827 (right, cyan pseudocolor) and DAPI #4083 (right, blue).
Immunofluorescence Image 1: Galectin-3/LGALS3 (E7B6R) Rabbit Monoclonal Antibody
Confocal immunofluorescent analysis of fixed frozen mouse subicular cortex from an amyloid mouse model of Alzheimer's Disease labeled with Galectin-3/LGALS3 (E7B6R) Rabbit mAb (left, red). Free secondary binding sites were then blocked with Rabbit (DA1E) mAb IgG XP® Isotype Control #3900 prior to colabeling with Iba1/AIF-1 (E4O4W) XP® Rabbit mAb (Alexa Fluor® 488 Conjugate) #20825 (right, green) and DAPI #4083 (right, blue).
Immunofluorescence Image 2: Galectin-3/LGALS3 (E7B6R) Rabbit Monoclonal Antibody
Orders: 877-616-CELL (2355) [email protected] Support: 877-678-TECH (8324) [email protected] Web: cellsignal.com
For Research Use Only. Not for Use in Diagnostic Procedures.

Revision 6

Cell Signaling Technology Logo
Confocal immunofluorescent analysis of SK-MEL-5 cells (left, positive) and SK-N-MC cells (right, negative) using Galectin-3/LGALS3 (E7B6R) Rabbit mAb (green), DyLight™ 554 Phalloidin #13054 (red), and DAPI #4083 (blue).
Immunofluorescence Image 1: Galectin-3/LGALS3 (E7B6R) Rabbit Monoclonal Antibody
Orders: 877-616-CELL (2355) [email protected] Support: 877-678-TECH (8324) [email protected] Web: cellsignal.com
For Research Use Only. Not for Use in Diagnostic Procedures.