Revision 3

#45586

Store at -20C

CST Logo
Orders:

877-616-CELL (2355)

[email protected]

Support:

877-678-TECH (8324)

3 Trask Lane | Danvers | Massachusetts | 01923 | USA

For Research Use Only. Not for Use in Diagnostic Procedures.

Applications:
W, W-S, IP, IHC-P

Reactivity:
H

Sensitivity:
Endogenous

MW (kDa):
32, 42

Source/Isotype:
Rabbit IgG

UniProt ID:
#O00214

Entrez-Gene Id:
3964

Product Usage Information

Application Dilution
Western Blotting 1:1000
Simple Western™ 1:10 - 1:50
Immunoprecipitation 1:50
Immunohistochemistry (Paraffin) 1:50 - 1:200

Storage

Supplied in 10 mM sodium HEPES (pH 7.5), 150 mM NaCl, 100 µg/mL BSA, 50% glycerol, and less than 0.02% sodium azide. Store at –20°C. Do not aliquot the antibody.

Specificity/Sensitivity

Galectin-8/LGALS8 (F9O3T) Rabbit Monoclonal Antibody recognizes endogenous levels of total Galectin-8/LGALS8 protein.

Source / Purification

Monoclonal antibody is produced by immunizing animals with a synthetic peptide corresponding to residues surrounding Pro176 of human Galectin-8/LGALS8 protein.

Background

Galectins are a family of β-galactose binding proteins with intracellular and extracellular activities regulating cell adhesion and migration, immune responses, inflammation, cell death, and proliferation and are linked to several pathological conditions (reviewed in 1). Galectins can be divided into three groups: 1) prototype galectins (Gal-1, -2, -5, -7, -10, -11, -13, and -16) having one carbohydrate-recognition domain (CRD); 2) tandem-repeat type galectins (Gal-4, -6, -8, -9, and -12) that have two CRDs joined by a linker peptide; and 3) a chimera-type (Gal-3) that has a single CRD joined to an N-terminal non-lectin domain.

Galectin-8 (Gal-8; gene name LGALS8), which belongs to the group of tandem-repeat galectins, is important in adaptive and innate immunity with significant roles in host defense as well as tumor progression (reviewed in 2,3). Extracellular galectin-8 promotes cell adhesion through interaction with several cell surface proteins, including integrins (4,5), CD44 (6), CD45 (7), and CD166 (8). Intracellular galectin-8 binds to farnesylated K-Ras4B, regulating MAPK signaling (9). It also exerts a role in xenophagy by binding to glycans exposed on bacterial pathogens and recruiting NDP52 for destruction by autophagy, thereby restricting bacterial proliferation (10,11). Abundant expression of galectin-8 has been observed in various cancer types and, in some cases, associated with poor prognosis (12-14).

Species Reactivity

Species reactivity is determined by testing in at least one approved application (e.g., western blot).

Western Blot Buffer

IMPORTANT: For western blots, incubate membrane with diluted primary antibody in 5% w/v nonfat dry milk, 1X TBS, 0.1% Tween® 20 at 4°C with gentle shaking, overnight.

Applications Key

W: Western Blotting W-S: Simple Western™ IP: Immunoprecipitation IHC-P: Immunohistochemistry (Paraffin)

Cross-Reactivity Key

H: Human

Trademarks and Patents

Cell Signaling Technology is a trademark of Cell Signaling Technology, Inc.

All other trademarks are the property of their respective owners. Visit cellsignal.com/trademarks for more information.

Limited Uses

Except as otherwise expressly agreed in a writing signed by a legally authorized representative of CST, the following terms apply to Products provided by CST, its affiliates or its distributors. Any Customer's terms and conditions that are in addition to, or different from, those contained herein, unless separately accepted in writing by a legally authorized representative of CST, are rejected and are of no force or effect.

Products are labeled with For Research Use Only or a similar labeling statement and have not been approved, cleared, or licensed by the FDA or other regulatory foreign or domestic entity, for any purpose. Customer shall not use any Product for any diagnostic or therapeutic purpose, or otherwise in any manner that conflicts with its labeling statement. Products sold or licensed by CST are provided for Customer as the end-user and solely for research and development uses. Any use of Product for diagnostic, prophylactic or therapeutic purposes, or any purchase of Product for resale (alone or as a component) or other commercial purpose, requires a separate license from CST. Customer shall (a) not sell, license, loan, donate or otherwise transfer or make available any Product to any third party, whether alone or in combination with other materials, or use the Products to manufacture any commercial products, (b) not copy, modify, reverse engineer, decompile, disassemble or otherwise attempt to discover the underlying structure or technology of the Products, or use the Products for the purpose of developing any products or services that would compete with CST products or services, (c) not alter or remove from the Products any trademarks, trade names, logos, patent or copyright notices or markings, (d) use the Products solely in accordance with CST Product Terms of Sale and any applicable documentation, and (e) comply with any license, terms of service or similar agreement with respect to any third party products or services used by Customer in connection with the Products.

Orders: 877-616-CELL (2355) [email protected] Support: 877-678-TECH (8324) [email protected] Web: cellsignal.com
For Research Use Only. Not for Use in Diagnostic Procedures.

Revision 3

Cell Signaling Technology Logo
Western blot analysis of extracts from various cell lines using Galectin-8/LGALS8 (F9O3T) Rabbit mAb (upper) or GAPDH (D16H11) XP® Rabbit mAb #5174 (lower). Low expression of Galectin-8/LGALS8 protein in SU-DHL-4 and JHH-2 cells is consistent with the predicted expression pattern.
Western Blotting Image 1: Galectin-8/LGALS8 (F9O3T) Rabbit Monoclonal Antibody
Western blot analysis of extracts from 293T cells, mock transfected (-) or transfected with a construct expressing Myc/DDK-tagged full-length human Galectin-8/LGALS8 protein (hLGALS8-Myc/DDK; +), using Galectin-8/LGALS8 (F9O3T) Rabbit mAb (upper), Myc-Tag (71D10) Rabbit mAb #2278 (middle), or GAPDH (D16H11) XP® Rabbit mAb #5174 (lower).
Western Blotting Image 2: Galectin-8/LGALS8 (F9O3T) Rabbit Monoclonal Antibody
Simple Western™ analysis of lysates (0.1 mg/mL) from PANC-1 cells using Galectin-8/LGALS8 (F9O3T) Rabbit mAb #45586. The virtual lane view (left) shows the target bands (as indicated) at 1:10 and 1:50 dilutions of primary antibody. The corresponding electropherogram view (right) plots chemiluminescence by molecular weight along the capillary at 1:10 (blue line) and 1:50 (green line) dilutions of primary antibody. This experiment was performed under reducing conditions on the Jess™ ​​​​​​​ Simple Western instrument from ProteinSimple, a BioTechne brand, using the 12-230 kDa separation module.
Western Blotting Image 1: Galectin-8/LGALS8 (F9O3T) Rabbit Monoclonal Antibody
Orders: 877-616-CELL (2355) [email protected] Support: 877-678-TECH (8324) [email protected] Web: cellsignal.com
For Research Use Only. Not for Use in Diagnostic Procedures.

Revision 3

Cell Signaling Technology Logo
Immunoprecipitation of Galectin-8/LGALS8  protein from MDA-MB-453 cell extracts. Lane 1 is 10% input, lane 2 is Rabbit (DA1E) mAb IgG XP® Isotype Control #3900, and lane 3 is Galectin-8/LGALS8 (F9O3T) Rabbit mAb. Western blot analysis was performed using Galectin-8/LGALS8 (F9O3T) Rabbit mAb. Mouse Anti-rabbit IgG (Conformation Specific) (L27A9) mAb (HRP Conjugate) #5127 was used as a secondary antibody.
Immunoprecipitation Image 1: Galectin-8/LGALS8 (F9O3T) Rabbit Monoclonal Antibody
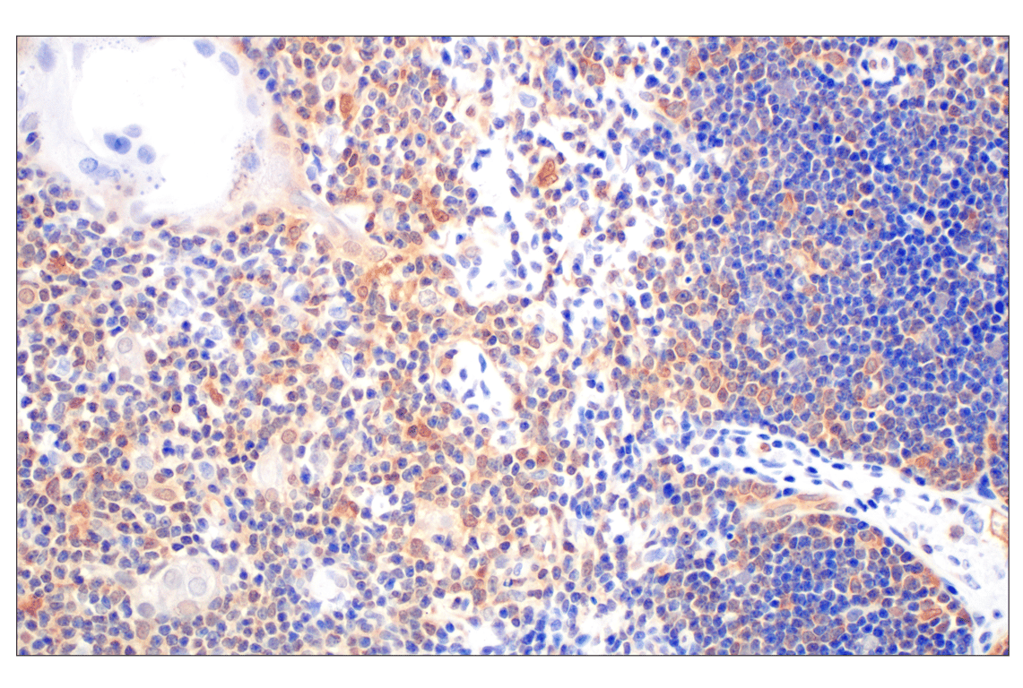
Immunohistochemical analysis of paraffin-embedded human non-Hodgkin lymphoma using Galectin-8/LGALS8 (F9O3T) Rabbit mAb.
Immunohistochemistry Image 1: Galectin-8/LGALS8 (F9O3T) Rabbit Monoclonal Antibody
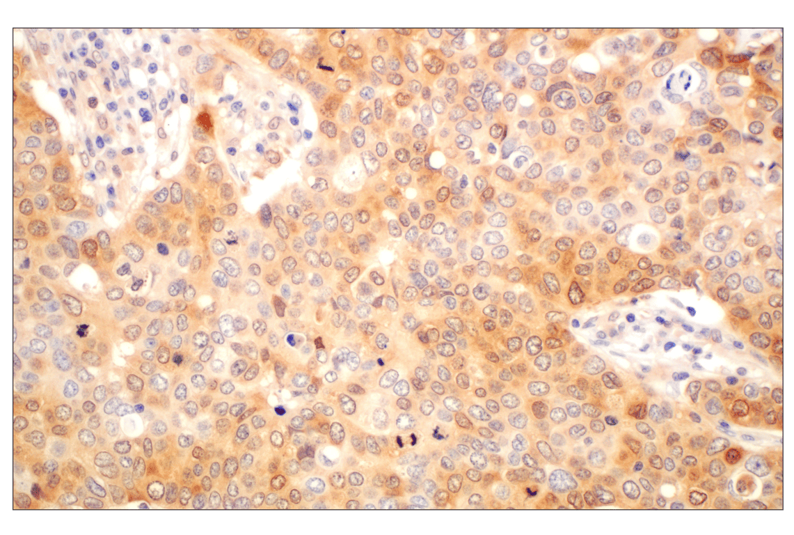
Immunohistochemical analysis of paraffin-embedded human squamous cell carcinoma of the cervix using Galectin-8/LGALS8 (F9O3T) Rabbit mAb.
Immunohistochemistry Image 2: Galectin-8/LGALS8 (F9O3T) Rabbit Monoclonal Antibody
Orders: 877-616-CELL (2355) [email protected] Support: 877-678-TECH (8324) [email protected] Web: cellsignal.com
For Research Use Only. Not for Use in Diagnostic Procedures.

Revision 3

Cell Signaling Technology Logo

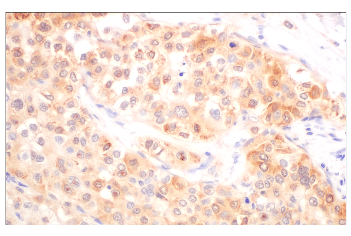
Immunohistochemical analysis of paraffin-embedded human ductal breast carcinoma using Galectin-8/LGALS8 (F9O3T) Rabbit mAb.

Immunohistochemistry Image 3: Galectin-8/LGALS8 (F9O3T) Rabbit Monoclonal Antibody

Immunohistochemical analysis of paraffin-embedded human endometrioid adenocarcinoma using Galectin-8/LGALS8 (F9O3T) Rabbit mAb.

Immunohistochemistry Image 4: Galectin-8/LGALS8 (F9O3T) Rabbit Monoclonal Antibody
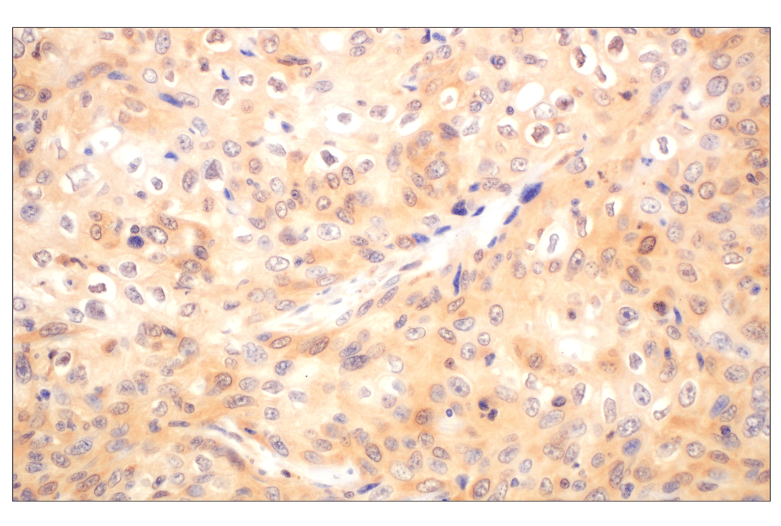
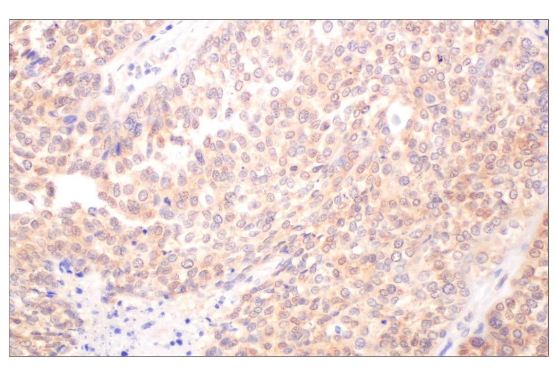
Immunohistochemical analysis of paraffin-embedded human hepatocellular carcinoma using Galectin-8/LGALS8 (F9O3T) Rabbit mAb.
Immunohistochemistry Image 5: Galectin-8/LGALS8 (F9O3T) Rabbit Monoclonal Antibody
Orders: 877-616-CELL (2355) [email protected] Support: 877-678-TECH (8324) [email protected] Web: cellsignal.com
For Research Use Only. Not for Use in Diagnostic Procedures.

Revision 3

Cell Signaling Technology Logo
Immunohistochemical analysis of paraffin-embedded human squamous cell carcinoma of the skin using Galectin-8/LGALS8 (F9O3T) Rabbit mAb.
Immunohistochemistry Image 6: Galectin-8/LGALS8 (F9O3T) Rabbit Monoclonal Antibody
Immunohistochemical analysis of paraffin-embedded human squamous cell lung carcinoma using Galectin-8/LGALS8 (F9O3T) Rabbit mAb.
Immunohistochemistry Image 7: Galectin-8/LGALS8 (F9O3T) Rabbit Monoclonal Antibody

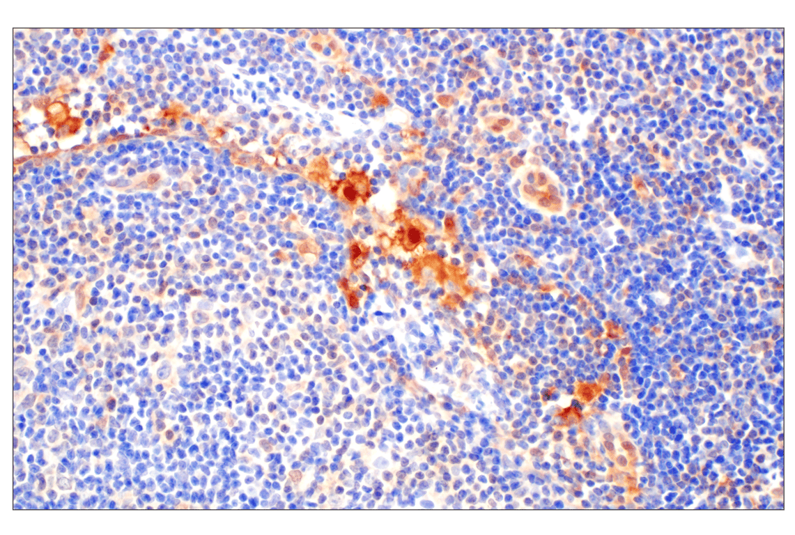
Immunohistochemical analysis of paraffin-embedded normal human thymus using Galectin-8/LGALS8 (F9O3T) Rabbit mAb.

Immunohistochemistry Image 8: Galectin-8/LGALS8 (F9O3T) Rabbit Monoclonal Antibody
Orders: 877-616-CELL (2355) [email protected] Support: 877-678-TECH (8324) [email protected] Web: cellsignal.com
For Research Use Only. Not for Use in Diagnostic Procedures.

Revision 3

Cell Signaling Technology Logo

Immunohistochemical analysis of paraffin-embedded normal human placenta using Galectin-8/LGALS8 (F9O3T) Rabbit mAb.

Immunohistochemistry Image 9: Galectin-8/LGALS8 (F9O3T) Rabbit Monoclonal Antibody
Immunohistochemical analysis of paraffin-embedded normal human skin using Galectin-8/LGALS8 (F9O3T) Rabbit mAb (left) or a Galectin-8/LGALS8 Rabbit mAb (right). These two antibodies detect unique, non-overlapping epitopes on human Galectin-8/LGALS8. The similar staining patterns obtained with both antibodies help to confirm the specificity of the staining.
Immunohistochemistry Image 10: Galectin-8/LGALS8 (F9O3T) Rabbit Monoclonal Antibody
Immunohistochemical analysis of paraffin-embedded human prostate adenocarcinoma using Galectin-8/LGALS8 (F9O3T) Rabbit mAb (left) compared to concentration-matched Rabbit (DA1E) mAb IgG XP® Isotype Control #3900 (right). 
Immunohistochemistry Image 11: Galectin-8/LGALS8 (F9O3T) Rabbit Monoclonal Antibody
Orders: 877-616-CELL (2355) [email protected] Support: 877-678-TECH (8324) [email protected] Web: cellsignal.com
For Research Use Only. Not for Use in Diagnostic Procedures.

Revision 3

Cell Signaling Technology Logo
Immunohistochemical analysis of paraffin-embedded SU-DHL-1 cell pellet (left, positive) or JHH-2 cell pellet (right, negative) using Galectin-8/LGALS8 (F9O3T) Rabbit mAb.
Immunohistochemistry Image 12: Galectin-8/LGALS8 (F9O3T) Rabbit Monoclonal Antibody
Orders: 877-616-CELL (2355) [email protected] Support: 877-678-TECH (8324) [email protected] Web: cellsignal.com
For Research Use Only. Not for Use in Diagnostic Procedures.