Revision 3

#54330

Store at -20C

CST Logo
Orders:

877-616-CELL (2355)

[email protected]

Support:

877-678-TECH (8324)

3 Trask Lane | Danvers | Massachusetts | 01923 | USA

For Research Use Only. Not for Use in Diagnostic Procedures.

Applications:
W, IHC-Bond, IHC-P, FC-FP

Reactivity:
H

Sensitivity:
Endogenous

MW (kDa):
9-40

Source/Isotype:
Rabbit IgG

UniProt ID:
#O00182

Entrez-Gene Id:
3965

Product Usage Information

Application Dilution
Western Blotting 1:1000
IHC Leica Bond 1:800
Immunohistochemistry (Paraffin) 1:800
Flow Cytometry (Fixed/Permeabilized) 1:1600

Storage

Supplied in 10 mM sodium HEPES (pH 7.5), 150 mM NaCl, 100 µg/ml BSA, 50% glycerol and less than 0.02% sodium azide. Store at –20°C. Do not aliquot the antibody.

For a carrier free (BSA and azide free) version of this product see product #71325.

Specificity/Sensitivity

Galectin-9 (D9R4A) Rabbit Monoclonal Antibody recognizes endogenous levels of total galectin-9 protein.

Source / Purification

Monoclonal antibody is produced by immunizing animals with recombinant human galectin-9 protein.

Background

Galectins are a family of β-galactose binding proteins that are characterized by an affinity for poly-N-acetyllactosamine-enriched glycoconjugates and a carbohydrate-binding site (1,2). Members of the galectin family have been implicated in a variety of biological functions, including cell adhesion (3), growth regulation (4), cytokine production (5), T-cell apoptosis (6), and immune responses (7).

Galectin-9 is induced by proinflammatory stimuli, including IFN-γ, TNF-α, and TLR ligands, and regulates various immune responses through interaction with its ligand TIM-3 (8, 9). Binding of galectin-9 to TIM-3 expressed by Th1 CD4 T cells resulted in T cell death (9). On the other hand, galectin-9 treatment of tumor-bearing mice increased the number of IFN-γ-producing TIM-3+ CD8 T cells and TIM-3+ dendritic cells (10). Transgenic overexpression of either TIM-3 or galectin-9 in mice led to an increase in cells with a myeloid-derived suppressor cell phenotype and inhibition of immune responses (11). CD44 is also proposed to be a receptor for galectin-9, and interaction of galectin-9 with CD44 expressed by induced regulatory T (iTreg) cells enhanced the stability of function of iTreg cells. In addition, galectin-9 was recently demonstrated to bind Dectin-1 expressed by pancreatic ductal adenocarcinoma-infiltrating macrophages, resulting in tolerogenic macrophage reprogramming and suppression of anti-tumor immunity. Increased galectin-9 expression has been observed in several cancer types, including lung, liver, breast, and kidney (12). Alternative splicing of the galectin-9 transcript leads to several isoforms (13).

Species Reactivity

Species reactivity is determined by testing in at least one approved application (e.g., western blot).

Western Blot Buffer

IMPORTANT: For western blots, incubate membrane with diluted primary antibody in 5% w/v BSA, 1X TBS, 0.1% Tween® 20 at 4°C with gentle shaking, overnight.

Applications Key

W: Western Blotting IHC-Bond: IHC Leica Bond IHC-P: Immunohistochemistry (Paraffin) FC-FP: Flow Cytometry (Fixed/Permeabilized)

Cross-Reactivity Key

H: Human

Trademarks and Patents

Cell Signaling Technology is a trademark of Cell Signaling Technology, Inc.

Alexa Fluor is a registered trademark of Life Technologies Corporation.

All other trademarks are the property of their respective owners. Visit cellsignal.com/trademarks for more information.

Limited Uses

Except as otherwise expressly agreed in a writing signed by a legally authorized representative of CST, the following terms apply to Products provided by CST, its affiliates or its distributors. Any Customer's terms and conditions that are in addition to, or different from, those contained herein, unless separately accepted in writing by a legally authorized representative of CST, are rejected and are of no force or effect.

Products are labeled with For Research Use Only or a similar labeling statement and have not been approved, cleared, or licensed by the FDA or other regulatory foreign or domestic entity, for any purpose. Customer shall not use any Product for any diagnostic or therapeutic purpose, or otherwise in any manner that conflicts with its labeling statement. Products sold or licensed by CST are provided for Customer as the end-user and solely for research and development uses. Any use of Product for diagnostic, prophylactic or therapeutic purposes, or any purchase of Product for resale (alone or as a component) or other commercial purpose, requires a separate license from CST. Customer shall (a) not sell, license, loan, donate or otherwise transfer or make available any Product to any third party, whether alone or in combination with other materials, or use the Products to manufacture any commercial products, (b) not copy, modify, reverse engineer, decompile, disassemble or otherwise attempt to discover the underlying structure or technology of the Products, or use the Products for the purpose of developing any products or services that would compete with CST products or services, (c) not alter or remove from the Products any trademarks, trade names, logos, patent or copyright notices or markings, (d) use the Products solely in accordance with CST Product Terms of Sale and any applicable documentation, and (e) comply with any license, terms of service or similar agreement with respect to any third party products or services used by Customer in connection with the Products.

Orders: 877-616-CELL (2355) [email protected] Support: 877-678-TECH (8324) [email protected] Web: cellsignal.com
For Research Use Only. Not for Use in Diagnostic Procedures.

Revision 3

Cell Signaling Technology Logo
Western blot analysis of extracts from various cell lines using Galectin-9 (D9R4A) XP® Rabbit mAb (upper) or β-Actin (D6A8) Rabbit mAb #8457 (lower).
Western Blotting Image 1: Galectin-9 (D9R4A) Rabbit Monoclonal Antibody
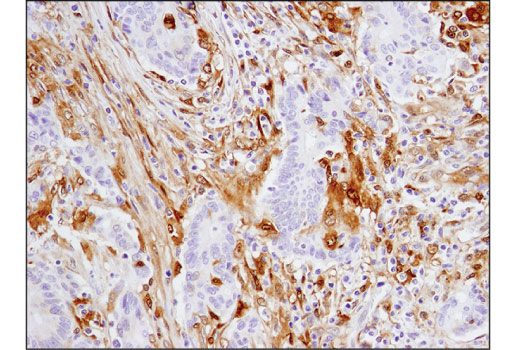
Immunohistochemical analysis of paraffin-embedded human non-small cell lung carcinoma using Galectin-9 (D9R4A) XP® Rabbit mAb performed on the Leica® Bond™ Rx.
Immunohistochemistry Image 1: Galectin-9 (D9R4A) Rabbit Monoclonal Antibody
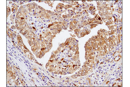
Immunohistochemical analysis of paraffin-embedded human breast carcinoma using Galectin-9 (D9R4A) XP® Rabbit mAb.
Immunohistochemistry Image 1: Galectin-9 (D9R4A) Rabbit Monoclonal Antibody
Orders: 877-616-CELL (2355) [email protected] Support: 877-678-TECH (8324) [email protected] Web: cellsignal.com
For Research Use Only. Not for Use in Diagnostic Procedures.

Revision 3

Cell Signaling Technology Logo
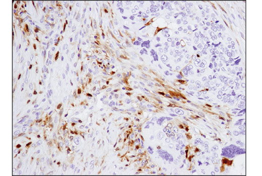
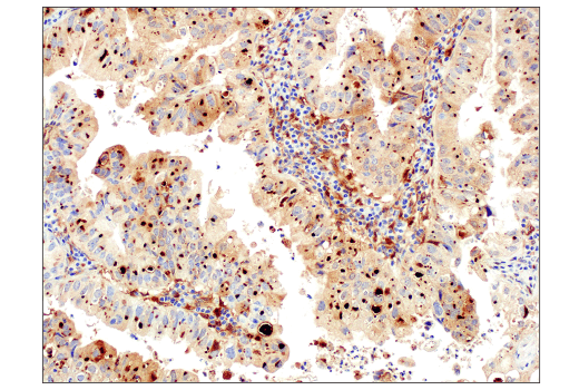
Immunohistochemical analysis of paraffin-embedded human colon carcinoma using Galectin-9 (D9R4A) XP® Rabbit mAb.
Immunohistochemistry Image 2: Galectin-9 (D9R4A) Rabbit Monoclonal Antibody
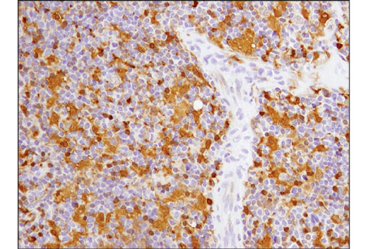
Immunohistochemical analysis of paraffin-embedded human lymphoma using Galectin-9 (D9R4A) XP® Rabbit mAb.
Immunohistochemistry Image 3: Galectin-9 (D9R4A) Rabbit Monoclonal Antibody
Immunohistochemical analysis of paraffin-embedded human ovarian carcinoma using Galectin-9 (D9R4A) XP® Rabbit mAb.
Immunohistochemistry Image 4: Galectin-9 (D9R4A) Rabbit Monoclonal Antibody
Orders: 877-616-CELL (2355) [email protected] Support: 877-678-TECH (8324) [email protected] Web: cellsignal.com
For Research Use Only. Not for Use in Diagnostic Procedures.

Revision 3

Cell Signaling Technology Logo
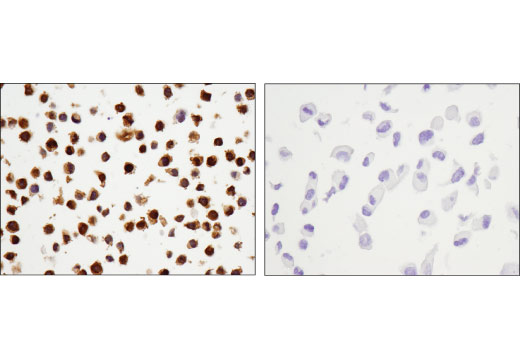
Immunohistochemical analysis of paraffin-embedded U-937 cell pellet (left, positive) or PANC-1 cell pellet (right, negative) using Galectin-9 (D9R4A) XP® Rabbit mAb.
Immunohistochemistry Image 5: Galectin-9 (D9R4A) Rabbit Monoclonal Antibody
Flow cytometric analysis of 293T cells, mock transfected (blue) or transfected with Galectin-9-DDK (green), using Galectin-9 (D9R4A) XP® Rabbit mAb (solid lines) or concentration-matched Rabbit (DA1E) mAb IgG XP® Isotype Control #3900 (dashed lines). Anti-rabbit IgG (H+L), F(ab')2 Fragment (Alexa Fluor® 488 Conjugate) #4412 was used as a secondary antibody.
Flow Cytometry Image 1: Galectin-9 (D9R4A) Rabbit Monoclonal Antibody
Flow cytometric analysis of PANC-1 cells (blue) and U-937 cells (green) using Galectin-9 (D9R4A) XP® Rabbit mAb (solid lines) or a concentration-matched Rabbit (DA1E) mAb IgG XP® Isotype Control #3900 (dashed lines). Anti-rabbit IgG (H+L), F(ab')2 Fragment (Alexa Fluor® 488 Conjugate) #4412 was used as a secondary antibody.
Flow Cytometry Image 2: Galectin-9 (D9R4A) Rabbit Monoclonal Antibody
Orders: 877-616-CELL (2355) [email protected] Support: 877-678-TECH (8324) [email protected] Web: cellsignal.com
For Research Use Only. Not for Use in Diagnostic Procedures.