Revision 3

#41653

Store at -20C

CST Logo
Orders:

877-616-CELL (2355)

[email protected]

Support:

877-678-TECH (8324)

3 Trask Lane | Danvers | Massachusetts | 01923 | USA

For Research Use Only. Not for Use in Diagnostic Procedures.

Applications:
W, IHC-P, IF-F, IF-IC

Reactivity:
H M R

Sensitivity:
Endogenous

MW (kDa):
38, 43

Source/Isotype:
Mouse IgG2b

UniProt ID:
#P17677

Entrez-Gene Id:
2596

Product Usage Information

Application Dilution
Western Blotting 1:1000
Immunohistochemistry (Paraffin) 1:100 - 1:400
Immunofluorescence (Frozen) 1:50 - 1:200
Immunofluorescence (Immunocytochemistry) 1:200 - 1:800

Storage

Supplied in 10 mM sodium HEPES (pH 7.5), 150 mM NaCl, 100 µg/mL BSA, 50% glycerol, and less than 0.02% sodium azide. Store at –20°C. Do not aliquot the antibody.

Specificity/Sensitivity

GAP43 (E6L2W) Mouse Monoclonal Antibody recognizes endogenous levels of total GAP43 protein. Non-specific staining of limited immune cells was observed by immunohistochemistry.

Source / Purification

Monoclonal antibody is produced by immunizing animals with recombinant protein specific to the carboxy terminus of human GAP43 protein.

Background

GAP43 is a nervous system specific, growth-associated protein enriched in growth cones and areas of high plasticity (1). Phosphorylation of GAP43 at Ser41 by PKC is regulated by intracellular Ca2+ and affects the ability of GAP43 to bind calmodulin (2,3). GAP43 is integral to growth cone formation, neurite outgrowth, and the development of a functional cerebral cortex (4,5). Aberrant GAP43 expression can be seen in patients diagnosed with schizophrenia and Alzheimer's Disease (6,7).

Species Reactivity

Species reactivity is determined by testing in at least one approved application (e.g., western blot).

Western Blot Buffer

IMPORTANT: For western blots, incubate membrane with diluted primary antibody in 5% w/v nonfat dry milk, 1X TBS, 0.1% Tween® 20 at 4°C with gentle shaking, overnight.

Applications Key

W: Western Blotting IHC-P: Immunohistochemistry (Paraffin) IF-F: Immunofluorescence (Frozen) IF-IC: Immunofluorescence (Immunocytochemistry)

Cross-Reactivity Key

H: Human M: Mouse R: Rat

Trademarks and Patents

Cell Signaling Technology is a trademark of Cell Signaling Technology, Inc.

All other trademarks are the property of their respective owners. Visit cellsignal.com/trademarks for more information.

Limited Uses

Except as otherwise expressly agreed in a writing signed by a legally authorized representative of CST, the following terms apply to Products provided by CST, its affiliates or its distributors. Any Customer's terms and conditions that are in addition to, or different from, those contained herein, unless separately accepted in writing by a legally authorized representative of CST, are rejected and are of no force or effect.

Products are labeled with For Research Use Only or a similar labeling statement and have not been approved, cleared, or licensed by the FDA or other regulatory foreign or domestic entity, for any purpose. Customer shall not use any Product for any diagnostic or therapeutic purpose, or otherwise in any manner that conflicts with its labeling statement. Products sold or licensed by CST are provided for Customer as the end-user and solely for research and development uses. Any use of Product for diagnostic, prophylactic or therapeutic purposes, or any purchase of Product for resale (alone or as a component) or other commercial purpose, requires a separate license from CST. Customer shall (a) not sell, license, loan, donate or otherwise transfer or make available any Product to any third party, whether alone or in combination with other materials, or use the Products to manufacture any commercial products, (b) not copy, modify, reverse engineer, decompile, disassemble or otherwise attempt to discover the underlying structure or technology of the Products, or use the Products for the purpose of developing any products or services that would compete with CST products or services, (c) not alter or remove from the Products any trademarks, trade names, logos, patent or copyright notices or markings, (d) use the Products solely in accordance with CST Product Terms of Sale and any applicable documentation, and (e) comply with any license, terms of service or similar agreement with respect to any third party products or services used by Customer in connection with the Products.

Orders: 877-616-CELL (2355) [email protected] Support: 877-678-TECH (8324) [email protected] Web: cellsignal.com
For Research Use Only. Not for Use in Diagnostic Procedures.

Revision 3

Cell Signaling Technology Logo
Western blot analysis of extracts from various tissues and cell lines using GAP43 (E6L2W) Mouse mAb (upper) or β-Actin (D6A8) Rabbit mAb #8457 (lower). Negative expression of GAP43 protein in MBT2 cells is consistent with the predicted expression pattern.
Western Blotting Image 1: GAP43 (E6L2W) Mouse Monoclonal Antibody
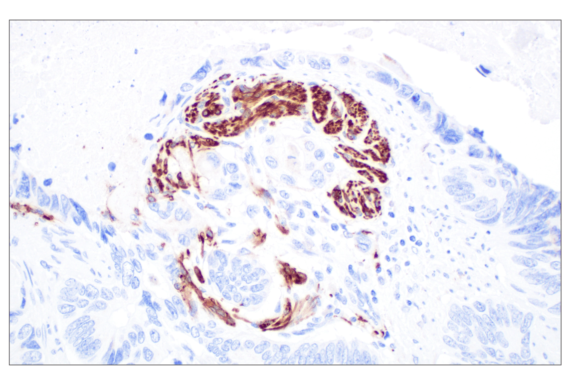
Immunohistochemical analysis of paraffin-embedded human adenocarcinoma of the colon using GAP43 (E6L2W) Mouse mAb.
Immunohistochemistry Image 1: GAP43 (E6L2W) Mouse Monoclonal Antibody
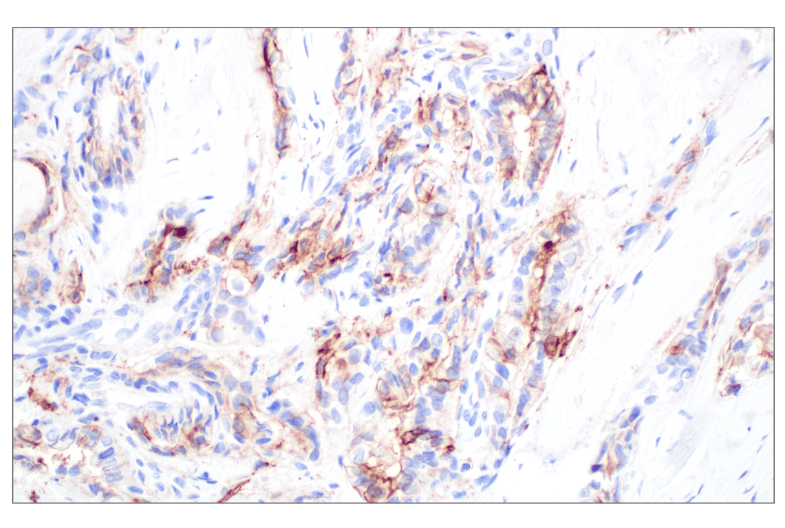
Immunohistochemical analysis of paraffin-embedded human papillary thyroid carcinoma using GAP43 (E6L2W) Mouse mAb.
Immunohistochemistry Image 2: GAP43 (E6L2W) Mouse Monoclonal Antibody
Orders: 877-616-CELL (2355) [email protected] Support: 877-678-TECH (8324) [email protected] Web: cellsignal.com
For Research Use Only. Not for Use in Diagnostic Procedures.

Revision 3

Cell Signaling Technology Logo
Immunohistochemical analysis of paraffin-embedded normal human brain using GAP43 (E6L2W) Mouse mAb.
Immunohistochemistry Image 3: GAP43 (E6L2W) Mouse Monoclonal Antibody
Immunohistochemical analysis of paraffin-embedded normal human appendix using GAP43 (E6L2W) Mouse mAb.
Immunohistochemistry Image 4: GAP43 (E6L2W) Mouse Monoclonal Antibody
Immunohistochemical analysis of paraffin-embedded normal human esophagus using GAP43 (E6L2W) Mouse mAb.
Immunohistochemistry Image 5: GAP43 (E6L2W) Mouse Monoclonal Antibody
Orders: 877-616-CELL (2355) [email protected] Support: 877-678-TECH (8324) [email protected] Web: cellsignal.com
For Research Use Only. Not for Use in Diagnostic Procedures.

Revision 3

Cell Signaling Technology Logo
Immunohistochemical analysis of paraffin-embedded normal human ovary using GAP43 (E6L2W) Mouse mAb.
Immunohistochemistry Image 6: GAP43 (E6L2W) Mouse Monoclonal Antibody
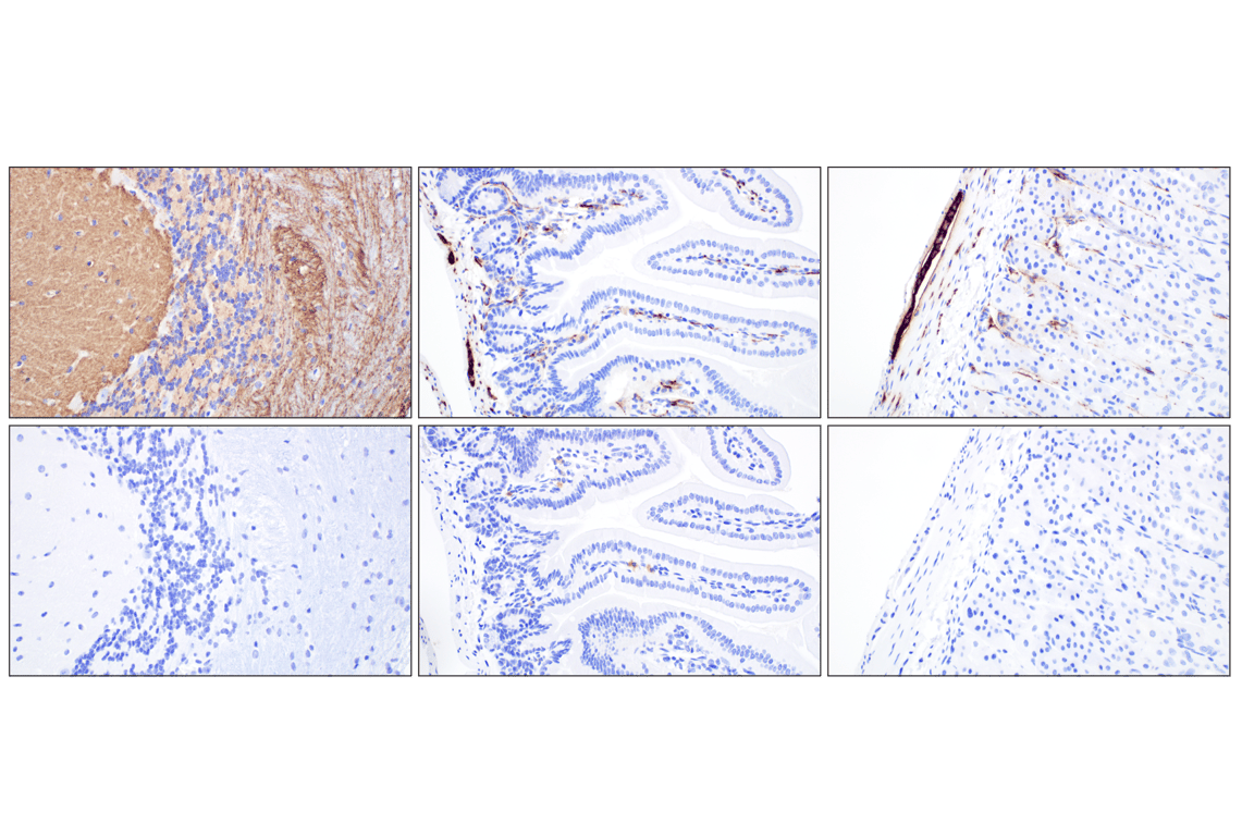
Immunohistochemical analysis of various paraffin-embedded mouse tissues: cerebellum (left), small intestine (middle) and stomach (right) using GAP43 (E6L2W) Mouse mAb (top) or no primary antibody (bottom).
Immunohistochemistry Image 7: GAP43 (E6L2W) Mouse Monoclonal Antibody
Immunohistochemical analysis of paraffin-embedded normal human heart using GAP43 (E6L2W) Mouse mAb.
Immunohistochemistry Image 8: GAP43 (E6L2W) Mouse Monoclonal Antibody
Orders: 877-616-CELL (2355) [email protected] Support: 877-678-TECH (8324) [email protected] Web: cellsignal.com
For Research Use Only. Not for Use in Diagnostic Procedures.

Revision 3

Cell Signaling Technology Logo
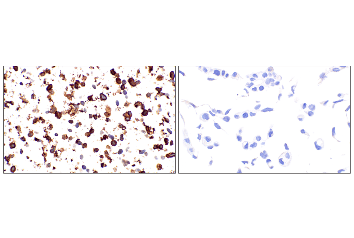
Immunohistochemical analysis of paraffin-embedded normal human colon using GAP43 (E6L2W) Mouse mAb (left) compared to concentration-matched Mouse (E7Q5L) mAb IgG2b Isotype Control #53484 (right).
Immunohistochemistry Image 9: GAP43 (E6L2W) Mouse Monoclonal Antibody
Immunohistochemical analysis of paraffin-embedded HCC1954 cell pellet (left, positive) or NCI-H446 cell pellet (right, negative) using GAP43 (E6L2W) Mouse mAb.
Immunohistochemistry Image 10: GAP43 (E6L2W) Mouse Monoclonal Antibody
Confocal immunofluorescent analysis of fixed frozen mouse hippocampus, labeled with GAP43 (E6L2W) Mouse mAb (left, green, Mouse IgG2b), GFAP (GA5) Mouse mAb #3670 (right, red, Mouse IgG1), Iba1/AIF-1 (E4O4W) XP® Rabbit mAb (Alexa Fluor® 647 Conjugate) #78060 (right, cyan pseudocolor), and ProLong Gold Antifade Reagent with DAPI #8961 (right, blue).
Immunofluorescence Image 1: GAP43 (E6L2W) Mouse Monoclonal Antibody
Orders: 877-616-CELL (2355) [email protected] Support: 877-678-TECH (8324) [email protected] Web: cellsignal.com
For Research Use Only. Not for Use in Diagnostic Procedures.

Revision 3

Cell Signaling Technology Logo
Confocal immunofluorescent analysis of Neuro-2a cells (left, positive) and MBT2 cells (right, negative) using GAP43 (E6L2W) Mouse mAb (green), DyLight 650 Phalloidin #12956 (red), and DAPI #4083 (blue).
Immunofluorescence Image 1: GAP43 (E6L2W) Mouse Monoclonal Antibody
Orders: 877-616-CELL (2355) [email protected] Support: 877-678-TECH (8324) [email protected] Web: cellsignal.com
For Research Use Only. Not for Use in Diagnostic Procedures.