Revision 7

#72445

Store at -20C

CST Logo
Orders:

877-616-CELL (2355)

[email protected]

Support:

877-678-TECH (8324)

3 Trask Lane | Danvers | Massachusetts | 01923 | USA

For Research Use Only. Not for Use in Diagnostic Procedures.

Applications:
W, IP, IHC-P, IF-IC, ChIP, ChIP-seq, C&R, C&T

Reactivity:
H

Sensitivity:
Endogenous

MW (kDa):
51

Source/Isotype:
Rabbit IgG

UniProt ID:
#P23769

Entrez-Gene Id:
2624

Product Usage Information

For optimal ChIP and ChIP-Seq results, use 10 μL of antibody and 10 μg of chromatin (approximately 4 × 106 cells) per IP. This antibody has been validated using SimpleChIP® Enzymatic Chromatin IP Kits.

The CUT&RUN dilution was determined using CUT&RUN Assay Kit #86652.

The CUT&Tag dilution was determined using CUT&Tag Assay Kit #77552.
Application Dilution
Western Blotting 1:1000
Immunoprecipitation 1:50
Immunohistochemistry (Paraffin) 1:2000 - 1:8000
Immunofluorescence (Immunocytochemistry) 1:800 - 1:1600
Chromatin IP 1:50
Chromatin IP-seq 1:50
CUT&RUN 1:50
CUT&Tag 1:50

Storage

Supplied in 10 mM sodium HEPES (pH 7.5), 150 mM NaCl, 100 µg/mL BSA, 50% glycerol, and less than 0.02% sodium azide. Store at –20°C. Do not aliquot the antibody.

For a carrier free (BSA and azide free) version of this product see product #67509.

Specificity/Sensitivity

GATA-2 (E8B5C) Rabbit Monoclonal Antibody recognizes endogenous levels of total GATA-2 protein. Non-specific staining was observed in squamous epithelium by immunohistochemistry.

Source / Purification

Monoclonal antibody is produced by immunizing animals with a synthetic peptide corresponding to residues surrounding Gly132 of human GATA-2 protein.

Background

The zinc finger transcription factor GATA-2 is widely expressed and plays an essential role in many developmental processes (1). Studies on GATA-2 knockout mice indicate that this protein is required in hematopoiesis (2). GATA-2 also inhibits the differentiation of white (3) and brown adipocytes (4) and has been shown to suppress the proliferation of neuronal progenitor cells (5).

Species Reactivity

Species reactivity is determined by testing in at least one approved application (e.g., western blot).

Western Blot Buffer

IMPORTANT: For western blots, incubate membrane with diluted primary antibody in 5% w/v BSA, 1X TBS, 0.1% Tween® 20 at 4°C with gentle shaking, overnight.

Applications Key

W: Western Blotting IP: Immunoprecipitation IHC-P: Immunohistochemistry (Paraffin) IF-IC: Immunofluorescence (Immunocytochemistry) ChIP: Chromatin IP ChIP-seq: Chromatin IP-seq C&R: CUT&RUN C&T: CUT&Tag

Cross-Reactivity Key

H: Human

Trademarks and Patents

Cell Signaling Technology is a trademark of Cell Signaling Technology, Inc.

SimpleChIP is a registered trademark of Cell Signaling Technology, Inc.

All other trademarks are the property of their respective owners. Visit cellsignal.com/trademarks for more information.

Limited Uses

Except as otherwise expressly agreed in a writing signed by a legally authorized representative of CST, the following terms apply to Products provided by CST, its affiliates or its distributors. Any Customer's terms and conditions that are in addition to, or different from, those contained herein, unless separately accepted in writing by a legally authorized representative of CST, are rejected and are of no force or effect.

Products are labeled with For Research Use Only or a similar labeling statement and have not been approved, cleared, or licensed by the FDA or other regulatory foreign or domestic entity, for any purpose. Customer shall not use any Product for any diagnostic or therapeutic purpose, or otherwise in any manner that conflicts with its labeling statement. Products sold or licensed by CST are provided for Customer as the end-user and solely for research and development uses. Any use of Product for diagnostic, prophylactic or therapeutic purposes, or any purchase of Product for resale (alone or as a component) or other commercial purpose, requires a separate license from CST. Customer shall (a) not sell, license, loan, donate or otherwise transfer or make available any Product to any third party, whether alone or in combination with other materials, or use the Products to manufacture any commercial products, (b) not copy, modify, reverse engineer, decompile, disassemble or otherwise attempt to discover the underlying structure or technology of the Products, or use the Products for the purpose of developing any products or services that would compete with CST products or services, (c) not alter or remove from the Products any trademarks, trade names, logos, patent or copyright notices or markings, (d) use the Products solely in accordance with CST Product Terms of Sale and any applicable documentation, and (e) comply with any license, terms of service or similar agreement with respect to any third party products or services used by Customer in connection with the Products.

Orders: 877-616-CELL (2355) [email protected] Support: 877-678-TECH (8324) [email protected] Web: cellsignal.com
For Research Use Only. Not for Use in Diagnostic Procedures.

Revision 7

Cell Signaling Technology Logo
Western blot analysis of extracts from various cell lines using GATA-2 (E8B5C) Rabbit mAb (upper) or β-Actin (D6A8) Rabbit mAb #8457 (lower). Negative expression of GATA-2 protein in U-2 OS and Jurkat cells is consistent with the predicted expression pattern and published observations.
Western Blotting Image 1: GATA-2 (E8B5C) Rabbit Monoclonal Antibody
Immunoprecipitation of GATA-2 protein from SH-SY5Y cell extracts. Lane 1 is 10% input, lane 2 is Rabbit (DA1E) mAb IgG XP® Isotype Control #3900, and lane 3 is GATA-2 (E8B5C) Rabbit mAb. Western blot analysis was performed using GATA-2 (E8B5C) Rabbit mAb. Mouse Anti-rabbit IgG (Conformation Specific) (L27A9) mAb (HRP Conjugate) #5127 was used as a secondary antibody.
Immunoprecipitation Image 1: GATA-2 (E8B5C) Rabbit Monoclonal Antibody
Immunohistochemical analysis of paraffin-embedded human urothelial carcinoma using GATA-2 (E8B5C) Rabbit mAb.
Immunohistochemistry Image 1: GATA-2 (E8B5C) Rabbit Monoclonal Antibody
Orders: 877-616-CELL (2355) [email protected] Support: 877-678-TECH (8324) [email protected] Web: cellsignal.com
For Research Use Only. Not for Use in Diagnostic Procedures.

Revision 7

Cell Signaling Technology Logo
Immunohistochemical analysis of paraffin-embedded human granulosa cell tumor of the ovary using GATA-2 (E8B5C) Rabbit mAb.
Immunohistochemistry Image 2: GATA-2 (E8B5C) Rabbit Monoclonal Antibody
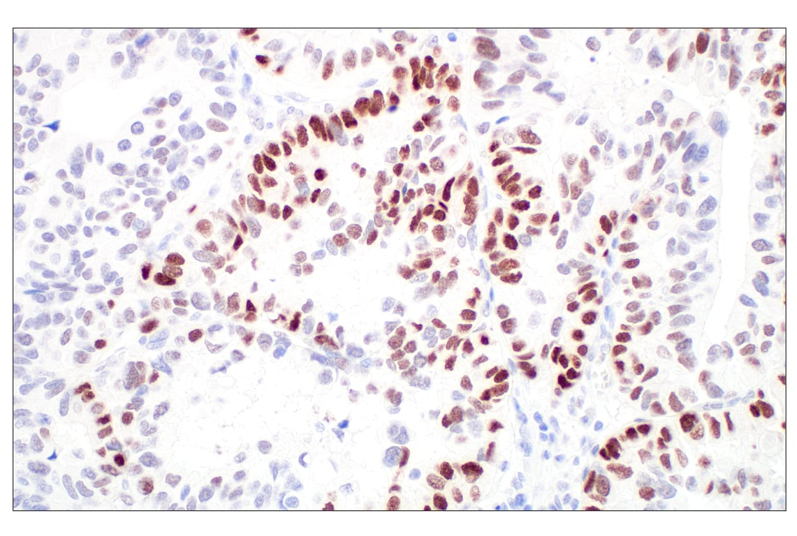
Immunohistochemical analysis of paraffin-embedded human prostate adenocarcinoma using GATA-2 (E8B5C) Rabbit mAb.
Immunohistochemistry Image 3: GATA-2 (E8B5C) Rabbit Monoclonal Antibody
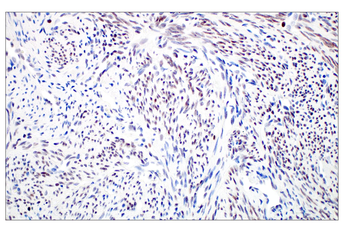
Immunohistochemical analysis of paraffin-embedded normal human uterus using GATA-2 (E8B5C) Rabbit mAb.
Immunohistochemistry Image 4: GATA-2 (E8B5C) Rabbit Monoclonal Antibody
Orders: 877-616-CELL (2355) [email protected] Support: 877-678-TECH (8324) [email protected] Web: cellsignal.com
For Research Use Only. Not for Use in Diagnostic Procedures.

Revision 7

Cell Signaling Technology Logo
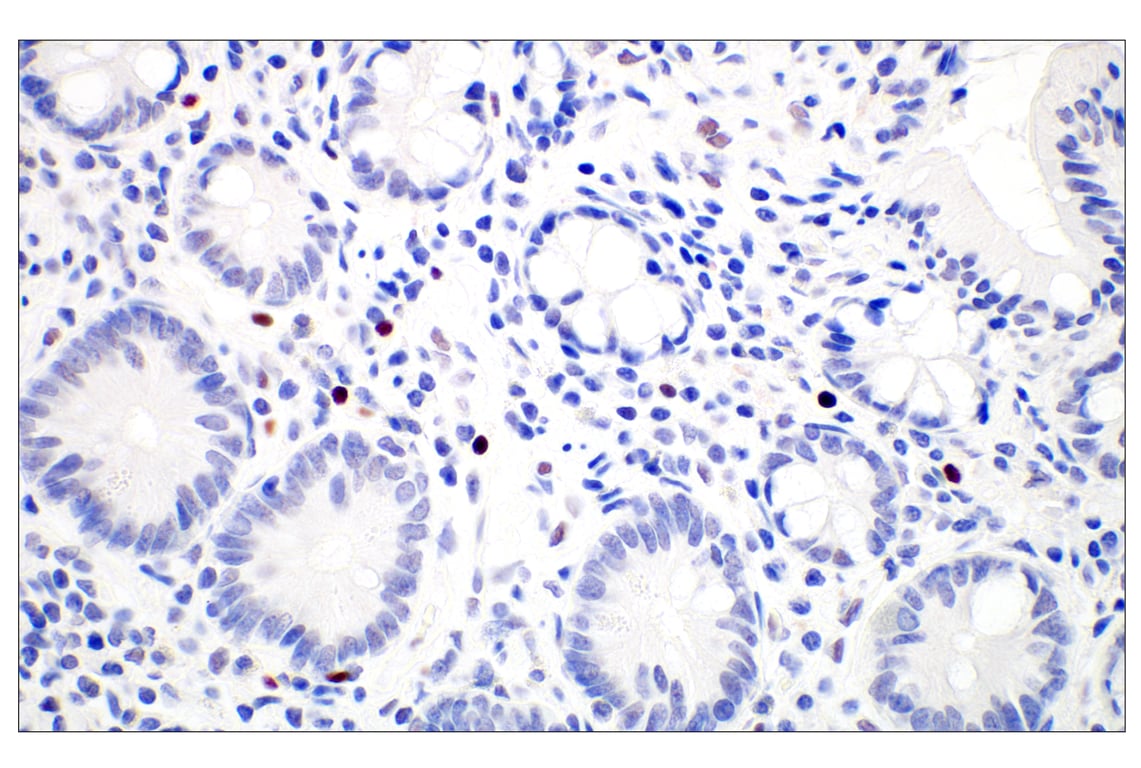
Immunohistochemical analysis of paraffin-embedded normal human small intestine using GATA-2 (E8B5C) Rabbit mAb.
Immunohistochemistry Image 5: GATA-2 (E8B5C) Rabbit Monoclonal Antibody
Immunohistochemical analysis of paraffin-embedded normal human kidney using GATA-2 (E8B5C) Rabbit mAb.
Immunohistochemistry Image 6: GATA-2 (E8B5C) Rabbit Monoclonal Antibody
Immunohistochemical analysis of paraffin-embedded human prostate adenocarcinoma using GATA-2 (E8B5C) Rabbit mAb (left) compared to concentration-matched Rabbit (DA1E) mAb IgG XP® Isotype Control #3900 (right).
Immunohistochemistry Image 7: GATA-2 (E8B5C) Rabbit Monoclonal Antibody
Orders: 877-616-CELL (2355) [email protected] Support: 877-678-TECH (8324) [email protected] Web: cellsignal.com
For Research Use Only. Not for Use in Diagnostic Procedures.

Revision 7

Cell Signaling Technology Logo
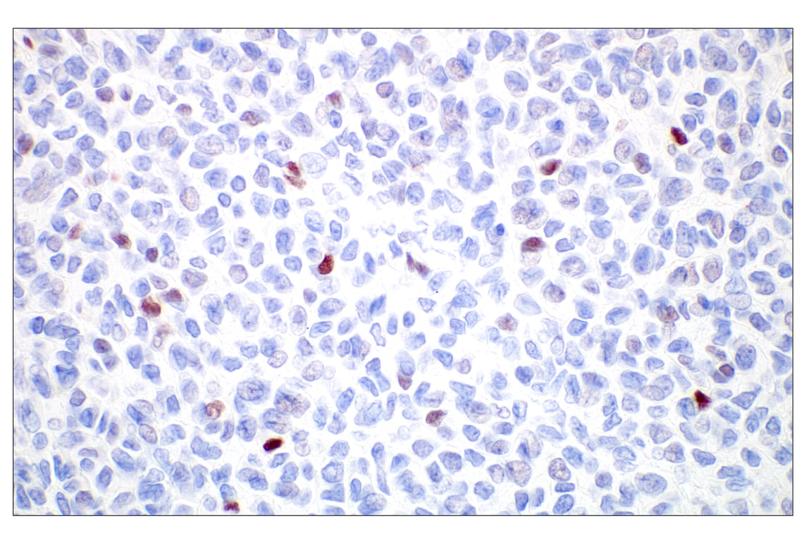
Immunohistochemical analysis of paraffin-embedded HEL 92.1.7 cell pellet (left, positive) or Jurkat cell pellet (right, negative) using GATA-2 (E8B5C) Rabbit mAb.
Immunohistochemistry Image 8: GATA-2 (E8B5C) Rabbit Monoclonal Antibody
Confocal immunofluorescent analysis of SH-SY5Y cells (left, positive) and U-2 OS cells (right, negative) using GATA-2 (E8B5C) Rabbit mAb (green), DyLight 650 Phalloidin #12956 (red), and DAPI #4083 (blue).
Immunofluorescence Image 1: GATA-2 (E8B5C) Rabbit Monoclonal Antibody
Chromatin immunoprecipitations were performed with cross-linked chromatin from K-562 cells and GATA-2 (E8B5C) Rabbit mAb, using SimpleChIP® Plus Enzymatic Chromatin IP Kit (Magnetic Beads) #9005. DNA Library was prepared using DNA Library Prep Kit for Illumina Systems (ChIP-seq, CUT&RUN) #56795. The figure shows binding across RAP1GAP, a known target gene of GATA-2 (see additional figure containing ChIP-qPCR data).
Chromatin Immunoprecipitation Image 1: GATA-2 (E8B5C) Rabbit Monoclonal Antibody
Orders: 877-616-CELL (2355) [email protected] Support: 877-678-TECH (8324) [email protected] Web: cellsignal.com
For Research Use Only. Not for Use in Diagnostic Procedures.

Revision 7

Cell Signaling Technology Logo
Chromatin immunoprecipitations were performed with cross-linked chromatin from K-562 cells and GATA-2 (E8B5C) Rabbit mAb, using SimpleChIP® Plus Enzymatic Chromatin IP Kit (Magnetic Beads) #9005. DNA Library was prepared using DNA Library Prep Kit for Illumina Systems (ChIP-seq, CUT&RUN) #56795. The figures show binding across chromosome 1 (upper), including RAP1GAP (lower), a known target gene of GATA-2 (see additional figure containing ChIP-qPCR data).
Chromatin Immunoprecipitation Image 2: GATA-2 (E8B5C) Rabbit Monoclonal Antibody
Chromatin immunoprecipitations were performed with cross-linked chromatin from K-562 cells and either GATA-2 (E8B5C) Rabbit mAb or Normal Rabbit IgG #2729, using SimpleChIP® Plus Enzymatic Chromatin IP Kit (Magnetic Beads) #9005. The enriched DNA was quantified by real-time PCR using human GATA2 intron 4 primers, human RAP1GAP intron 2 primers, and SimpleChIP® Human α Satellite Repeat Primers #4486. The amount of immunoprecipitated DNA in each sample is represented as signal relative to the total amount of input chromatin, which is equivalent to one.
Chromatin Immunoprecipitation Image 3: GATA-2 (E8B5C) Rabbit Monoclonal Antibody
CUT&RUN was performed with K-562 cells and either GATA-2 (E8B5C) Rabbit mAb or GATA-2 (E9T6F) Rabbit mAb #79802, using CUT&RUN Assay Kit #86652. DNA libraries were prepared using DNA Library Prep Kit for Illumina Systems (ChIP-seq, CUT&RUN) #56795. The figure shows binding across EIF4E, a known target gene of GATA-2 (see additional figures containing CUT&RUN-qPCR data).
CUT & RUN Image 1: GATA-2 (E8B5C) Rabbit Monoclonal Antibody
Orders: 877-616-CELL (2355) [email protected] Support: 877-678-TECH (8324) [email protected] Web: cellsignal.com
For Research Use Only. Not for Use in Diagnostic Procedures.

Revision 7

Cell Signaling Technology Logo
CUT&RUN was performed with K-562 cells and either GATA-2 (E8B5C) Rabbit mAb or GATA-2 (E9T6F) Rabbit mAb #79802, using CUT&RUN Assay Kit #86652. DNA libraries were prepared using DNA Library Prep Kit for Illumina Systems (ChIP-seq, CUT&RUN) #56795. The figures show binding across chromosome 4 (upper), including EIF4E (lower), a known target gene of GATA-2 (see additional figures containing CUT&RUN-qPCR data).
CUT & RUN Image 2: GATA-2 (E8B5C) Rabbit Monoclonal Antibody
CUT&RUN was performed with K-562 cells and either GATA-2 (E8B5C) Rabbit mAb or Rabbit (DA1E) mAb IgG XP® Isotype Control (CUT&RUN) #66362, using CUT&RUN Assay Kit #86652. The enriched DNA was quantified by real-time PCR using human EIF4E promoter primers, human COX14 exon 1 primers, and SimpleChIP® Human α Satellite Repeat Primers #4486. The amount of immunoprecipitated DNA in each sample is represented as signal relative to the total amount of input chromatin, which is equivalent to one.
CUT & RUN Image 3: GATA-2 (E8B5C) Rabbit Monoclonal Antibody
CUT&Tag was performed with K-562 cells and GATA-2 (E8B5C) Rabbit mAb, using CUT&Tag Assay Kit #77552. DNA library was prepared using CUT&Tag Dual Index Primers and PCR Master Mix for Illumina Systems #47415. The figure shows binding across RAP1GAP, a known target gene of GATA-2 (see our ChIP-qPCR figure).
CUT & Tag Image 1: GATA-2 (E8B5C) Rabbit Monoclonal Antibody
Orders: 877-616-CELL (2355) [email protected] Support: 877-678-TECH (8324) [email protected] Web: cellsignal.com
For Research Use Only. Not for Use in Diagnostic Procedures.

Revision 7

Cell Signaling Technology Logo
CUT&Tag was performed with K-562 cells and GATA-2 (E8B5C) Rabbit mAb, using CUT&Tag Assay Kit #77552. DNA library was prepared using CUT&Tag Dual Index Primers and PCR Master Mix for Illumina Systems #47415. The figures show binding across chromosome 1 (upper), including RAP1GAP (lower), a known target gene of GATA-2 (see our ChIP-qPCR figure).
CUT & Tag Image 2: GATA-2 (E8B5C) Rabbit Monoclonal Antibody
Orders: 877-616-CELL (2355) [email protected] Support: 877-678-TECH (8324) [email protected] Web: cellsignal.com
For Research Use Only. Not for Use in Diagnostic Procedures.