Revision 1

#24642

Store at -20C

CST Logo
Orders:

877-616-CELL (2355)

[email protected]

Support:

877-678-TECH (8324)

3 Trask Lane | Danvers | Massachusetts | 01923 | USA

For Research Use Only. Not for Use in Diagnostic Procedures.

Product Includes Product # Quantity Mol. Wt Isotype/Source
GATA-1 (D52H6) Rabbit Monoclonal Antibody353520 µl43 kDaRabbit IgG
GATA-2 (E9T6F) Rabbit Monoclonal Antibody7980220 µl51 kDaRabbit IgG
GATA-3 (D13C9) Rabbit Monoclonal Antibody585220 µl48 kDaRabbit IgG
GATA-4 (D3A3M) Rabbit Monoclonal Antibody3696620 µl55 kDaRabbit IgG
GATA-6 (D61E4) Rabbit Monoclonal Antibody585120 µl55 kDaRabbit IgG
Anti-rabbit IgG, HRP-linked Antibody7074100 µlGoat

Please visit cellsignal.com for individual component applications, species cross-reactivity, dilutions, protocols, and additional product information.

Description

The GATA Transcription Factor Antibody Sampler Kit provides an economical means of evaluating total levels of GATA family proteins. The kit includes enough antibodies to perform two western blot experiments with each primary antibody.

Storage

Supplied in 10 mM sodium HEPES (pH 7.5), 150 mM NaCl, 100 µg/mL BSA, 50% glycerol, and less than 0.02% sodium azide. Store at –20°C. Do not aliquot the antibodies.

Background

GATA proteins comprise a group of transcription factors that are related by the presence of conserved zinc finger DNA-binding domains, which bind directly to the nucleotide sequence core element GATA (1-3). There are six vertebrate GATA proteins, designated GATA-1 to GATA-6 (3). Although they are commonly divided as hematopoietic (GATA-1-3) or cardiac (GATA-4-6) factors, GATA proteins are expressed in a wide variety of tissue and play critical roles in embryonic development and organ differentiation (4). GATA-1 is the founding member of the GATA family and is required for erythroid and megakaryocytic cell development (5,6). Mutations in the corresponding GATA-1 gene are linked to many human diseases, including acute megakaryoblastic leukemia in Down Syndrome children (DS-AMKL), X-linked thrombocytopenia, and gray platelet syndrome (7-10). GATA-2 is widely expressed and plays an essential role in many developmental processes (11). Studies on GATA-2 knockout mice indicate that this protein is required in hematopoiesis (12). GATA-2 also inhibits the differentiation of white and brown adipocytes and has been shown to suppress the proliferation of neuronal progenitor cells (13-15). GATA-3 is a critical regulator of development and is expressed in both hematopoietic and non-hematopoietic tissues, including the kidney, skin, mammary gland, and central nervous system (16-19). GATA-3 knockout mouse embryos die between E11 and E12 due to growth retardation and deformities in the brain and spinal cord (20). The function of GATA-3 has also been extensively studied in T cell development and has been shown to be a downstream target of Notch in Notch-mediated differentiation of TH2 cells (21,22). GATA-4 is crucial for cardiomyocyte differentiation, and not surprisingly, mutations in the GATA-4 gene are implicated in many cardiac diseases, such as tetralogy of Fallot, familial and sporadic dilated cardiomyopathy, and atrial septal defect (23-27). GATA-4 and GATA-6 together maintain intestinal epithelial structure by regulating enterocyte gene expression (28). They also have overlapping roles in steroidogenesis and genital ridge formation during gonadal development (29). GATA-6 plays a critical role in endoderm development and is essential for the development of the heart, gut, and other organs (30-32). Knockout of GATA-6 is embryonic lethal due to defects in the formation of the heart tube and a failure to develop extraembryonic endoderm (30).
 

Background References

  1. Ko, L.J. and Engel, J.D. (1993) Mol Cell Biol 13, 4011-22.
  2. Merika, M. and Orkin, S.H. (1993) Mol Cell Biol 13, 3999-4010.
  3. Lowry, J.A. and Atchley, W.R. (2000) J Mol Evol 50, 103-15.
  4. Tremblay, M. et al. (2018) Development 145, dev164384. doi: 10.1242/dev.164384.
  5. Pevny, L. et al. (1991) Nature 349, 257-60.
  6. Fujiwara, Y. et al. (1996) Proc Natl Acad Sci USA 93, 12355-8.
  7. Wechsler, J. et al. (2002) Nat Genet 32, 148-52.
  8. Cantor, A.B. (2005) Int J Hematol 81, 378-84.
  9. Mehaffey, M.G. et al. (2001) Blood 98, 2681-8.
  10. Tubman, V.N. et al. (2007) Blood 109, 3297-9.
  11. Tong, Q. et al. (2003) Drug News Perspect 16, 585-8.
  12. Tsai, F.Y. et al. (1994) Nature 371, 221-6.
  13. Tong, Q. et al. (2005) Mol Cell Biol 25, 706-15.
  14. Tsai, J. et al. (2005) EMBO Rep 6, 879-84.
  15. El Wakil, A. et al. (2006) Development 133, 2155-65.
  16. Debacker, C. et al. (1999) Mech Dev 85, 183-7.
  17. Grote, D. et al. (2008) PLoS Genet 4, e1000316.
  18. Kaufman, C.K. et al. (2003) Genes Dev 17, 2108-22.
  19. Kouros-Mehr, H. et al. (2006) Cell 127, 1041-55.
  20. Pandolfi, P.P. et al. (1995) Nat Genet 11, 40-4.
  21. Ho, I.C. et al. (2009) Nat Rev Immunol 9, 125-35.
  22. Amsen, D. et al. (2007) Immunity 27, 89-99.
  23. Gan, L. et al. (2014) Gene Expr Patterns 16, 8-22.
  24. Yang, Y.Q. et al. (2013) Hum Mutat 34, 1662-71.
  25. Li, R.G. et al. (2013) Biochem Biophys Res Commun 439, 591-6.
  26. Li, J. et al. (2014) Gene 548, 174-81.
  27. Mohan, R.A. et al. (2014) Am J Med Genet A 164A, 2732-8.
  28. Walker, E.M. et al. (2014) Dev Biol 392, 283-94.
  29. LaVoie, H.A. (2014) Biol Reprod 91, 38.
  30. Cai, K.Q. et al. (2008) Dev Dyn 237, 2820-9.
  31. Charron, F. and Nemer, M. (1999) Semin Cell Dev Biol 10, 85-91.
  32. Haveri, H. et al. (2008) BMC Gastroenterol 8, 9.

Trademarks and Patents

Cell Signaling Technology is a trademark of Cell Signaling Technology, Inc.

All other trademarks are the property of their respective owners. Visit cellsignal.com/trademarks for more information.

Limited Uses

Except as otherwise expressly agreed in a writing signed by a legally authorized representative of CST, the following terms apply to Products provided by CST, its affiliates or its distributors. Any Customer's terms and conditions that are in addition to, or different from, those contained herein, unless separately accepted in writing by a legally authorized representative of CST, are rejected and are of no force or effect.

Products are labeled with For Research Use Only or a similar labeling statement and have not been approved, cleared, or licensed by the FDA or other regulatory foreign or domestic entity, for any purpose. Customer shall not use any Product for any diagnostic or therapeutic purpose, or otherwise in any manner that conflicts with its labeling statement. Products sold or licensed by CST are provided for Customer as the end-user and solely for research and development uses. Any use of Product for diagnostic, prophylactic or therapeutic purposes, or any purchase of Product for resale (alone or as a component) or other commercial purpose, requires a separate license from CST. Customer shall (a) not sell, license, loan, donate or otherwise transfer or make available any Product to any third party, whether alone or in combination with other materials, or use the Products to manufacture any commercial products, (b) not copy, modify, reverse engineer, decompile, disassemble or otherwise attempt to discover the underlying structure or technology of the Products, or use the Products for the purpose of developing any products or services that would compete with CST products or services, (c) not alter or remove from the Products any trademarks, trade names, logos, patent or copyright notices or markings, (d) use the Products solely in accordance with CST Product Terms of Sale and any applicable documentation, and (e) comply with any license, terms of service or similar agreement with respect to any third party products or services used by Customer in connection with the Products.

Orders: 877-616-CELL (2355) [email protected] Support: 877-678-TECH (8324) [email protected] Web: cellsignal.com
For Research Use Only. Not for Use in Diagnostic Procedures.

Revision 1

Cell Signaling Technology Logo
Western blot analysis of lysates from various cell lines using GATA-1 (D52H6) XP® Rabbit mAb.
undefined Image 1: GATA Transcription Factor Antibody Sampler Kit
Western blot analysis of extracts from various cell lines using GATA-4 (D3A3M) Rabbit mAb (upper) and GAPDH (D16H11) XP® Rabbit mAb #5174 (lower). As expected, HeLa cells exhibit very low GATA-4 expression.
undefined Image 2: GATA Transcription Factor Antibody Sampler Kit
Western blot analysis of extracts from Huh7 and 293 cells using GATA-6 (D61E4) XP® Rabbit mAb.
undefined Image 3: GATA Transcription Factor Antibody Sampler Kit
Orders: 877-616-CELL (2355) [email protected] Support: 877-678-TECH (8324) [email protected] Web: cellsignal.com
For Research Use Only. Not for Use in Diagnostic Procedures.

Revision 1

Cell Signaling Technology Logo
CUT&Tag was performed with Caco-2 cells and GATA-6 (D61E4) XP® Rabbit mAb, using CUT&Tag Assay Kit #77552. DNA library was prepared using CUT&Tag Dual Index Primers and PCR Master Mix for Illumina Systems #47415. The figure shows binding across HNMT, a known target gene of GATA-6 (see our CUT&RUN-qPCR figure).
undefined Image 4: GATA Transcription Factor Antibody Sampler Kit
Immunohistochemical analysis of paraffin-embedded human esophageal carcinoma using GATA-6 (D61E4) XP® Rabbit mAb.
undefined Image 5: GATA Transcription Factor Antibody Sampler Kit
Western blot analysis of extracts from CEM and SH-SY5Y cells using GATA-3 (D13C9) XP® Rabbit mAb.
undefined Image 6: GATA Transcription Factor Antibody Sampler Kit
Orders: 877-616-CELL (2355) [email protected] Support: 877-678-TECH (8324) [email protected] Web: cellsignal.com
For Research Use Only. Not for Use in Diagnostic Procedures.

Revision 1

Cell Signaling Technology Logo
CUT&RUN was performed with NK-92 cells and either GATA-3 (D13C9) XP® Rabbit mAb or GATA-3 (E2N1Y) Mouse mAb #96098, using CUT&RUN Assay Kit #86652. DNA libraries were prepared using SimpleChIP® ChIP-seq DNA Library Prep Kit for Illumina® #56795. The figure shows binding across SH3RF3, a known target gene of GATA-3 (see additional figure containing CUT&RUN-qPCR data).
undefined Image 7: GATA Transcription Factor Antibody Sampler Kit
After the primary antibody is bound to the target protein, a complex with HRP-linked secondary antibody is formed. The LumiGLO® is added and emits light during enzyme catalyzed decomposition.
undefined Image 8: GATA Transcription Factor Antibody Sampler Kit
Immunoprecipitation of GATA-2 protein from SH-SY5Y cell extracts. Lane 1 is 10% input, lane 2 is Rabbit (DA1E) mAb IgG XP® Isotype Control #3900, and lane 3 is GATA-2 (E9T6F) Rabbit mAb. Western blot analysis was performed using GATA-2 (E9T6F) Rabbit mAb. Mouse Anti-rabbit IgG (Conformation Specific) (L27A9) mAb (HRP Conjugate) #5127 was used as a secondary antibody.
undefined Image 9: GATA Transcription Factor Antibody Sampler Kit
Orders: 877-616-CELL (2355) [email protected] Support: 877-678-TECH (8324) [email protected] Web: cellsignal.com
For Research Use Only. Not for Use in Diagnostic Procedures.

Revision 1

Cell Signaling Technology Logo
CUT&Tag was performed with K-562 cells and GATA-2 (E9T6F) Rabbit mAb, using CUT&Tag Assay Kit #77552. DNA library was prepared using CUT&Tag Dual Index Primers and PCR Master Mix for Illumina Systems #47415. The figure shows binding across GATA2, a known target gene of GATA-2 (see our ChIP-qPCR figure).
undefined Image 10: GATA Transcription Factor Antibody Sampler Kit
Western blot analysis of extracts from various cell lines using GATA-2 (E9T6F) Rabbit mAb (upper) or β-Actin (D6A8) Rabbit mAb #8457 (lower). Negative expression of GATA-2 protein in U-2 OS and Jurkat cells is consistent with the predicted expression pattern and published observations.
undefined Image 11: GATA Transcription Factor Antibody Sampler Kit
Chromatin immunoprecipitations were performed with cross-linked chromatin from K-562 cells and either GATA-2 (E9T6F) Rabbit mAb or Normal Rabbit IgG #2729 using SimpleChIP® Plus Enzymatic Chromatin IP Kit (Magnetic Beads) #9005. The enriched DNA was quantified by real-time PCR using human GATA2 intron 4 primers, human RAP1GAP intron 2 primers, and SimpleChIP® Human α Satellite Repeat Primers #4486. The amount of immunoprecipitated DNA in each sample is represented as signal relative to the total amount of input chromatin, which is equivalent to one.
undefined Image 12: GATA Transcription Factor Antibody Sampler Kit
Orders: 877-616-CELL (2355) [email protected] Support: 877-678-TECH (8324) [email protected] Web: cellsignal.com
For Research Use Only. Not for Use in Diagnostic Procedures.

Revision 1

Cell Signaling Technology Logo
Flow cytometric analysis of Jurkat cells (blue, negative) and CMK cells (green, positive) using GATA-2 (E9T6F) Rabbit mAb (solid lines) or concentration-matched Rabbit (DA1E) mAb IgG XP® Isotype Control #3900 (dashed lines). Anti-rabbit IgG (H+L), F(ab')2 Fragment (Alexa Fluor® 488 Conjugate) #4412 was used as a secondary antibody.
undefined Image 13: GATA Transcription Factor Antibody Sampler Kit
Confocal immunofluorescent analysis of SH-SY5Y cells (left, positive) and U-2 OS cells (right, negative) using GATA-2 (E9T6F) Rabbit mAb (green), DyLight 650 Phalloidin #12956 (red), and DAPI #4083 (blue).
undefined Image 14: GATA Transcription Factor Antibody Sampler Kit
CUT&RUN was performed with K562 cells and either GATA-2 (E9T6F) Rabbit mAb or GATA-2 (E8B5C) Rabbit mAb #72445, using CUT&RUN Assay Kit #86652. DNA libraries were prepared using DNA Library Prep Kit for Illumina Systems (ChIP-seq, CUT&RUN) #56795. The figure shows binding across EIF4E, a known target gene of GATA-2 (see additional figure containing CUT&RUN-qPCR data).
undefined Image 15: GATA Transcription Factor Antibody Sampler Kit
Orders: 877-616-CELL (2355) [email protected] Support: 877-678-TECH (8324) [email protected] Web: cellsignal.com
For Research Use Only. Not for Use in Diagnostic Procedures.

Revision 1

Cell Signaling Technology Logo
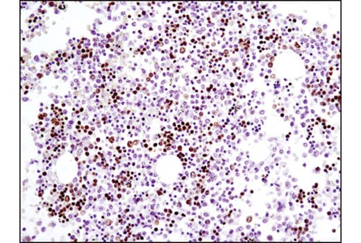
Immunohistochemical analysis of paraffin-embedded human bone marrow using GATA-1 (D52H6) XP® Rabbit mAb.
undefined Image 16: GATA Transcription Factor Antibody Sampler Kit
Confocal immunofluorescent analysis of Huh7 (left) and HeLa (right) cells using GATA-4 (D3A3M) Rabbit mAb (green). Actin filaments were labeled with DyLight™ 554 Phalloidin #13054 (red).
undefined Image 17: GATA Transcription Factor Antibody Sampler Kit
Confocal immunofluorescent analysis of KM12 (left) and SK-OV-3 cells (right) using GATA-6 (D61E4) XP® Rabbit mAb (green). Actin filaments were labeled with DY-554 phalloidin (red).
undefined Image 18: GATA Transcription Factor Antibody Sampler Kit
Orders: 877-616-CELL (2355) [email protected] Support: 877-678-TECH (8324) [email protected] Web: cellsignal.com
For Research Use Only. Not for Use in Diagnostic Procedures.

Revision 1

Cell Signaling Technology Logo
CUT&Tag was performed with Caco-2 cells and GATA-6 (D61E4) XP® Rabbit mAb, using CUT&Tag Assay Kit #77552. DNA library was prepared using CUT&Tag Dual Index Primers and PCR Master Mix for Illumina Systems #47415. The figures show binding across chromosome 2 (upper), including HNMT (lower), a known target gene of GATA-6 (see our CUT&RUN-qPCR figure).
undefined Image 19: GATA Transcription Factor Antibody Sampler Kit
Immunohistochemical analysis of paraffin-embedded human granulosa cell tumor of the ovary using GATA-6 (D61E4) XP® Rabbit mAb.
undefined Image 20: GATA Transcription Factor Antibody Sampler Kit
Immunohistochemical analysis of paraffin-embedded human breast carcinoma using GATA-3 (D13C9) XP® Rabbit mAb (left) or Rabbit (DA1E) mAb IgG XP® Isotype Control #3900 (right).
undefined Image 21: GATA Transcription Factor Antibody Sampler Kit
Orders: 877-616-CELL (2355) [email protected] Support: 877-678-TECH (8324) [email protected] Web: cellsignal.com
For Research Use Only. Not for Use in Diagnostic Procedures.

Revision 1

Cell Signaling Technology Logo
CUT&RUN was performed with NK-92 cells and either GATA-3 (D13C9) XP® Rabbit mAb or GATA-3 (E2N1Y) Mouse mAb #96098, using CUT&RUN Assay Kit #86652. DNA libraries were prepared using SimpleChIP® ChIP-seq DNA Library Prep Kit for Illumina® #56795. The figures show binding across chromosome 2 (upper), including SH3RF3 (lower), a known target gene of GATA-3 (see additional figure containing CUT&RUN-qPCR data).
undefined Image 22: GATA Transcription Factor Antibody Sampler Kit
Western blot analysis of extracts from CMK and PC-12 cells using GATA-2 (E9T6F) Rabbit mAb.
undefined Image 23: GATA Transcription Factor Antibody Sampler Kit
CUT&Tag was performed with K-562 cells and GATA-2 (E9T6F) Rabbit mAb, using CUT&Tag Assay Kit #77552. DNA library was prepared using CUT&Tag Dual Index Primers and PCR Master Mix for Illumina Systems #47415. The figures show binding across chromosome 3 (upper), including GATA2 (lower), a known target gene of GATA-2 (see our ChIP-qPCR figure).
undefined Image 24: GATA Transcription Factor Antibody Sampler Kit
Orders: 877-616-CELL (2355) [email protected] Support: 877-678-TECH (8324) [email protected] Web: cellsignal.com
For Research Use Only. Not for Use in Diagnostic Procedures.

Revision 1

Cell Signaling Technology Logo
CUT&RUN was performed with K562 cells and either GATA-2 (E9T6F) Rabbit mAb or GATA-2 (E8B5C) Rabbit mAb #72445, using CUT&RUN Assay Kit #86652. DNA libraries were prepared using DNA Library Prep Kit for Illumina Systems (ChIP-seq, CUT&RUN) #56795. The figures show binding across chromosome 4 (upper), including EIF4E (lower), a known target gene of GATA-2 (see additional figure containing CUT&RUN-qPCR data).
undefined Image 25: GATA Transcription Factor Antibody Sampler Kit
Immunohistochemical analysis of formalin-fixed paraffin-embedded undecalcified mouse bone using GATA-1 (D52H6) XP® Rabbit mAb. Note staining of cells in the marrow.
undefined Image 26: GATA Transcription Factor Antibody Sampler Kit
Flow cytometric analysis of HeLa (blue) and ATL-16T cells (green) using GATA-4 (D3A3M) Rabbit mAb. Anti-rabbit IgG (H+L), F(ab')2 Fragment (Alexa Fluor® 488 Conjugate) #4412 was used as a secondary antibody.
undefined Image 27: GATA Transcription Factor Antibody Sampler Kit
Orders: 877-616-CELL (2355) [email protected] Support: 877-678-TECH (8324) [email protected] Web: cellsignal.com
For Research Use Only. Not for Use in Diagnostic Procedures.

Revision 1

Cell Signaling Technology Logo
Flow cytometric analysis of Jurkat cells (blue, negative) and BT-549 cells (green, positive) using GATA-6 (D61E4) XP® Rabbit mAb (solid lines) or concentration-matched Rabbit (DA1E) mAb IgG XP® Isotype Control #3900 (dashed lines). Anti-rabbit IgG (H+L), F(ab')2 Fragment (Alexa Fluor® 488 Conjugate) #4412 was used as a secondary antibody.
undefined Image 28: GATA Transcription Factor Antibody Sampler Kit
Immunohistochemical analysis of paraffin-embedded human gastric carcinoma using GATA-6 (D61E4) XP® Rabbit mAb.
undefined Image 29: GATA Transcription Factor Antibody Sampler Kit
Immunohistochemical analysis of paraffin-embedded cell pellets, MCF-7 (left) or HUVEC (right), using GATA-3 (D13C9) XP® Rabbit mAb.
undefined Image 30: GATA Transcription Factor Antibody Sampler Kit
Orders: 877-616-CELL (2355) [email protected] Support: 877-678-TECH (8324) [email protected] Web: cellsignal.com
For Research Use Only. Not for Use in Diagnostic Procedures.

Revision 1

Cell Signaling Technology Logo
CUT&RUN was performed with NK-92 cells and either GATA-3 (D13C9) XP® Rabbit mAb or Rabbit (DA1E) mAb IgG XP® Isotype Control (CUT&RUN) #66362, using CUT&RUN Assay Kit #86652. The enriched DNA was quantified by real-time PCR using human RBM15 promoter primers, human SH3RF3 intron 1 primers and SimpleChIP® Human α Satellite Repeat Primers #4486. The amount of immunoprecipitated DNA in each sample is represented as signal relative to the total amount of input chromatin, which is equivalent to one.
undefined Image 31: GATA Transcription Factor Antibody Sampler Kit
Western blot analysis of extracts from BA/F3 cells using GATA-2 (E9T6F) Rabbit mAb.
undefined Image 32: GATA Transcription Factor Antibody Sampler Kit
CUT&RUN was performed with K562 cells and either GATA-2 (E9T6F) Rabbit mAb or Rabbit (DA1E) mAb IgG XP® Isotype Control (CUT&RUN) #66362, using CUT&RUN Assay Kit #86652. The enriched DNA was quantified by real-time PCR using human EIF4E promoter primers, human COX14 promoter primers, and SimpleChIP® Human α Satellite Repeat Primers #4486. The amount of immunoprecipitated DNA in each sample is represented as signal relative to the total amount of input chromatin, which is equivalent to one.
undefined Image 33: GATA Transcription Factor Antibody Sampler Kit
Orders: 877-616-CELL (2355) [email protected] Support: 877-678-TECH (8324) [email protected] Web: cellsignal.com
For Research Use Only. Not for Use in Diagnostic Procedures.

Revision 1

Cell Signaling Technology Logo
Confocal immunofluorescent analysis of K-562 (left) and HeLa (right) cells using GATA-1 (D52H6) XP® Rabbit mAb (green) and S6 Ribosomal Protein (54D2) Mouse mAb #2317 (red). Blue pseudocolor = DRAQ5® #4084 (fluorescent DNA dye).
undefined Image 34: GATA Transcription Factor Antibody Sampler Kit
Chromatin immunoprecipitations were performed with cross-linked chromatin from Caco-2 cells and GATA-6 (D61E4) XP® Rabbit mAb, using SimpleChIP® Plus Enzymatic Chromatin IP Kit (Magnetic Beads) #9005. DNA Libraries were prepared using DNA Library Prep Kit for Illumina® (ChIP-seq, CUT&RUN) #56795. The figure shows binding across FGFR2, a known target gene of GATA-6 (see additional figure containing ChIP-qPCR data). For additional ChIP-seq tracks, please download the product data sheet.
undefined Image 35: GATA Transcription Factor Antibody Sampler Kit
Immunohistochemical analysis of paraffin-embedded human serous papillary carcinoma of the ovary using GATA-6 (D61E4) XP® Rabbit mAb.
undefined Image 36: GATA Transcription Factor Antibody Sampler Kit
Orders: 877-616-CELL (2355) [email protected] Support: 877-678-TECH (8324) [email protected] Web: cellsignal.com
For Research Use Only. Not for Use in Diagnostic Procedures.

Revision 1

Cell Signaling Technology Logo
Confocal Immunofluorescent analysis of MCF7 (left) and HUVE (right) cells using GATA-3 (D13C9) XP® Rabbit mAb (green). Actin filaments have been labeled with DY-554 phalloidin (red).
undefined Image 37: GATA Transcription Factor Antibody Sampler Kit
Flow cytometric analysis of HeLa cells (red) and K-562 cells (blue) using GATA-1 (D52H6) XP® Rabbit mAb.
undefined Image 38: GATA Transcription Factor Antibody Sampler Kit
Chromatin immunoprecipitations were performed with cross-linked chromatin from Caco-2 cells and GATA-6 (D61E4) XP® Rabbit mAb, using SimpleChIP® Plus Enzymatic Chromatin IP Kit (Magnetic Beads) #9005. DNA Libraries were prepared using DNA Library Prep Kit for Illumina® (ChIP-seq, CUT&RUN) #56795. The figure shows binding across chromosome 10 (upper), including FGFR2 (lower), a known target gene of GATA-6 (see additional figure containing ChIP-qPCR data).
undefined Image 39: GATA Transcription Factor Antibody Sampler Kit
Orders: 877-616-CELL (2355) [email protected] Support: 877-678-TECH (8324) [email protected] Web: cellsignal.com
For Research Use Only. Not for Use in Diagnostic Procedures.

Revision 1

Cell Signaling Technology Logo
Immunohistochemical analysis of paraffin-embedded human squamous cell lung carcinoma using GATA-6 (D61E4) XP® Rabbit mAb.
undefined Image 40: GATA Transcription Factor Antibody Sampler Kit
Chromatin immunoprecipitations were performed with cross-linked chromatin from Caco-2 cells and either GATA-6 (D61E4) XP® Rabbit mAb, or Normal Rabbit IgG #2729, using SimpleChIP® Enzymatic Chromatin IP Kit (Magnetic Beads) #9003. The enriched DNA was quantified by real-time PCR using SimpleChIP® Human FDPS Promoter Primers #13840, human FGFR2 promoter primers, and SimpleChIP® Human α Satellite Repeat Primers #4486. The amount of immunoprecipitated DNA in each sample is represented as signal relative to the total amount of input chromatin, which is equivalent to one.
undefined Image 41: GATA Transcription Factor Antibody Sampler Kit
Immunohistochemical analysis of paraffin-embedded human lung adenocarcinoma using GATA-6 (D61E4) XP® Rabbit mAb.
undefined Image 42: GATA Transcription Factor Antibody Sampler Kit
Orders: 877-616-CELL (2355) [email protected] Support: 877-678-TECH (8324) [email protected] Web: cellsignal.com
For Research Use Only. Not for Use in Diagnostic Procedures.

Revision 1

Cell Signaling Technology Logo
Chromatin immunoprecipitations were performed with cross-linked chromatin from NK-92 cells and either GATA-3 (D13C9) XP® Rabbit mAb or Normal Rabbit IgG #2729 using SimpleChIP® Enzymatic Chromatin IP Kit (Magnetic Beads) #9003. The enriched DNA was quantified by real-time PCR using human CCL4 promoter primers, SimpleChIP® Human IFN-γ Promoter Primers #13051, and SimpleChIP® Human α Satellite Repeat Primers #4486. The amount of immunoprecipitated DNA in each sample is represented as signal relative to the total amount of input chromatin, which is equivalent to one.
undefined Image 43: GATA Transcription Factor Antibody Sampler Kit
CUT&RUN was performed with Caco-2 cells and GATA-6 (D61E4) XP® Rabbit mAb, using CUT&RUN Assay Kit #86652. DNA Libraries were prepared using DNA Library Prep Kit for Illumina® (ChIP-seq, CUT&RUN) #56795. The figure shows binding across FGFR2 gene.
undefined Image 44: GATA Transcription Factor Antibody Sampler Kit
Immunohistochemical analysis of paraffin-embedded human colon carcinoma using GATA-6 (D61E4) XP® Rabbit mAb.
undefined Image 45: GATA Transcription Factor Antibody Sampler Kit
Orders: 877-616-CELL (2355) [email protected] Support: 877-678-TECH (8324) [email protected] Web: cellsignal.com
For Research Use Only. Not for Use in Diagnostic Procedures.

Revision 1

Cell Signaling Technology Logo
CUT&RUN was performed with Caco-2 cells and GATA-6 (D61E4) XP® Rabbit mAb, using CUT&RUN Assay Kit #86652. DNA Libraries were prepared using DNA Library Prep Kit for Illumina® (ChIP-seq, CUT&RUN) #56795. The figures show binding across chromosome 10 (upper), including FGFR2 gene (lower).
undefined Image 46: GATA Transcription Factor Antibody Sampler Kit
Immunohistochemical analysis of paraffin-embedded normal human stomach using GATA-6 (D61E4) XP® Rabbit mAb.
undefined Image 47: GATA Transcription Factor Antibody Sampler Kit
CUT&RUN was performed with Caco-2 cells and either GATA-6 (D61E4) XP® Rabbit mAb or Rabbit (DA1E) mAb IgG XP® Isotype Control (CUT&RUN) #66362, using CUT&RUN Assay Kit #86652. The enriched DNA was quantified by real-time PCR using human HNMT upstream primer, and SimpleChIP® Human α Satellite Repeat Primers #4486. The amount of immunoprecipitated DNA in each sample is represented as signal relative to the total amount of input chromatin, which is equivalent to one.
undefined Image 48: GATA Transcription Factor Antibody Sampler Kit
Orders: 877-616-CELL (2355) [email protected] Support: 877-678-TECH (8324) [email protected] Web: cellsignal.com
For Research Use Only. Not for Use in Diagnostic Procedures.

Revision 1

Cell Signaling Technology Logo
Immunohistochemical analysis of paraffin-embedded normal human small intestine using GATA-6 (D61E4) XP® Rabbit mAb.
undefined Image 49: GATA Transcription Factor Antibody Sampler Kit
Immunohistochemical analysis of paraffin-embedded normal human pancreas using GATA-6 (D61E4) XP® Rabbit mAb.
undefined Image 50: GATA Transcription Factor Antibody Sampler Kit
Immunohistochemical analysis of paraffin-embedded normal human ovary using GATA-6 (D61E4) XP® Rabbit mAb.
undefined Image 51: GATA Transcription Factor Antibody Sampler Kit
Orders: 877-616-CELL (2355) [email protected] Support: 877-678-TECH (8324) [email protected] Web: cellsignal.com
For Research Use Only. Not for Use in Diagnostic Procedures.

Revision 1

Cell Signaling Technology Logo
>Immunohistochemical analysis of paraffin-embedded normal human lung using GATA-6 (D61E4) XP® Rabbit mAb.
undefined Image 52: GATA Transcription Factor Antibody Sampler Kit
Immunohistochemical analysis of paraffin-embedded normal human heart using GATA-6 (D61E4) XP® Rabbit mAb.
undefined Image 53: GATA Transcription Factor Antibody Sampler Kit
Immunohistochemical analysis of paraffin-embedded human appendix using GATA-6 (D61E4) XP® Rabbit mAb.
undefined Image 54: GATA Transcription Factor Antibody Sampler Kit
Orders: 877-616-CELL (2355) [email protected] Support: 877-678-TECH (8324) [email protected] Web: cellsignal.com
For Research Use Only. Not for Use in Diagnostic Procedures.

Revision 1

Cell Signaling Technology Logo
Immunohistochemical analysis of paraffin-embedded normal human adrenal gland using GATA-6 (D61E4) XP ® Rabbit mAb.
undefined Image 55: GATA Transcription Factor Antibody Sampler Kit
Immunohistochemical analysis of paraffin-embedded LL/2 syngeneic tumor using GATA-6 (D61E4) XP® Rabbit mAb.
undefined Image 56: GATA Transcription Factor Antibody Sampler Kit
Immunohistochemical analysis of paraffin-embedded 4T1 syngeneic tumor using GATA-6 (D61E4) XP® Rabbit mAb.
undefined Image 57: GATA Transcription Factor Antibody Sampler Kit
Orders: 877-616-CELL (2355) [email protected] Support: 877-678-TECH (8324) [email protected] Web: cellsignal.com
For Research Use Only. Not for Use in Diagnostic Procedures.

Revision 1

Cell Signaling Technology Logo
Immunohistochemical analysis of paraffin-embedded mouse testis using GATA-6 (D61E4) XP® Rabbit mAb.
undefined Image 58: GATA Transcription Factor Antibody Sampler Kit
Immunohistochemical analysis of paraffin-embedded mouse ovary using GATA-6 (D61E4) XP® Rabbit mAb.
undefined Image 59: GATA Transcription Factor Antibody Sampler Kit
Immunohistochemical analysis of paraffin-embedded mouse colon using GATA-6 (D61E4) XP® Rabbit mAb
undefined Image 60: GATA Transcription Factor Antibody Sampler Kit
Orders: 877-616-CELL (2355) [email protected] Support: 877-678-TECH (8324) [email protected] Web: cellsignal.com
For Research Use Only. Not for Use in Diagnostic Procedures.

Revision 1

Cell Signaling Technology Logo
Immunohistochemical analysis of paraffin-embedded mouse small intestine using GATA-6 (D61E4) XP® Rabbit mAb.
undefined Image 61: GATA Transcription Factor Antibody Sampler Kit
Immunohistochemical analysis of paraffin-embedded mouse brain using GATA-6 (D61E4) XP® Rabbit mAb.
undefined Image 62: GATA Transcription Factor Antibody Sampler Kit
Immunohistochemical analysis of paraffin-embedded normal human colon using GATA-6 (D61E4) XP® Rabbit mAb (left) compared to concentration-matched Rabbit (DA1E) mAb IgG XP® Isotype Control #3900 (right).
undefined Image 63: GATA Transcription Factor Antibody Sampler Kit
Orders: 877-616-CELL (2355) [email protected] Support: 877-678-TECH (8324) [email protected] Web: cellsignal.com
For Research Use Only. Not for Use in Diagnostic Procedures.

Revision 1

Cell Signaling Technology Logo

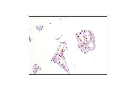
Immunohistochemical analysis of paraffin-embedded HuH-7 cell pellet (left, positive) and SUP-B15 cell pellet (right, negative) using GATA-6 (D61E4) XP® Rabbit mAb.

undefined Image 64: GATA Transcription Factor Antibody Sampler Kit
Simple Western™ analysis of lysates (0.1 mg/mL) from Huh7 cells using GATA-6 (D61E4) XP® Rabbit mAb #5851. The virtual lane view (left) shows the target band (as indicated) at 1:50 and 1:250 dilutions of primary antibody. The corresponding electropherogram view (right) plots chemiluminescence by molecular weight along the capillary at 1:50 (blue line) and 1:250 (green line) dilutions of primary antibody. This experiment was performed under reducing conditions on the Jess™ ​​​​​​​Simple Western instrument from ProteinSimple, a BioTechne brand, using the 12-230 kDa separation module.
undefined Image 65: GATA Transcription Factor Antibody Sampler Kit
Flow cytometric analysis of THP-1 cells (blue, negative) and MCF7 cells (green, positive) using GATA-3 (D13C9) XP® Rabbit mAb (solid lines) or a concentration-matched Rabbit (DA1E) mAb IgG XP® Isotype Control #3900 (dashed lines). Anti-rabbit IgG (H+L), F(ab')2 Fragment (Alexa Fluor® 488 Conjugate) #4412 was used as a secondary antibody.
undefined Image 66: GATA Transcription Factor Antibody Sampler Kit
Orders: 877-616-CELL (2355) [email protected] Support: 877-678-TECH (8324) [email protected] Web: cellsignal.com
For Research Use Only. Not for Use in Diagnostic Procedures.

Revision 1

Cell Signaling Technology Logo
Simple Western™ analysis of lysates (0.1 mg/mL) from Huh7 cells using GATA-6 (D61E4) XP® Rabbit mAb #5851. The virtual lane view (left) shows the target band (as indicated) at 1:50 and 1:250 dilutions of primary antibody. The corresponding electropherogram view (right) plots chemiluminescence by molecular weight along the capillary at 1:50 (blue line) and 1:250 (green line) dilutions of primary antibody. This experiment was performed under reducing conditions on the Jess™ ​​​​​​​Simple Western instrument from ProteinSimple, a BioTechne brand, using the 12-230 kDa separation module.
undefined Image 67: GATA Transcription Factor Antibody Sampler Kit
Orders: 877-616-CELL (2355) [email protected] Support: 877-678-TECH (8324) [email protected] Web: cellsignal.com
For Research Use Only. Not for Use in Diagnostic Procedures.