Revision 4

#65981

Store at -20C

CST Logo
Orders:

877-616-CELL (2355)

[email protected]

Support:

877-678-TECH (8324)

3 Trask Lane | Danvers | Massachusetts | 01923 | USA

For Research Use Only. Not for Use in Diagnostic Procedures.

Applications:
W, IP, IF-IC

Reactivity:
H

Sensitivity:
Endogenous

MW (kDa):
220

Source/Isotype:
Rabbit IgG

UniProt ID:
#Q9P2K8

Entrez-Gene Id:
440275

Product Usage Information

Application Dilution
Western Blotting 1:1000
Immunoprecipitation 1:100
Immunofluorescence (Immunocytochemistry) 1:6400 - 1:12800

Storage

Supplied in 10 mM sodium HEPES (pH 7.5), 150 mM NaCl, 100 µg/ml BSA, 50% glycerol and less than 0.02% sodium azide. Store at –20°C. Do not aliquot the antibody.

For a carrier free (BSA and azide free) version of this product see product #96377.

Specificity/Sensitivity

GCN2 (E7G7E) Rabbit Monoclonal Antibody recognizes endogenous levels of total GCN2 protein.

Source / Purification

Monoclonal antibody is produced by immunizing animals with a synthetic peptide corresponding to residues near the amino terminus of human GCN2 protein.

Background

Phosphorylation of the eukaryotic initiation factor 2 (eIF2) alpha subunit is a well-documented mechanism of downregulating protein synthesis under a variety of stress conditions. Kinases activated by viral infection (PKR), endoplasmic reticulum stress (PERK/PEK), amino acid deprivation (GCN2), and hemin deficiency (HRI) can phosphorylate the eIF2 alpha subunit (1,2). GCN2 is also required for UV light-induced translation inhibition, and in vivo phosphorylation of murine GCN2 at Thr898 is induced by both UV irradiation and by leucine deprivation (3). UV-induced activation of NF-κB also requires GCN2, which may act simply by preventing translation of IκB-alpha to replace pools that have been ubiquitinated and degraded (4). Interestingly, proteasome inhibitors (MG132 and ALLN) activate the GCN2/eIF2alpha pathway, suggesting a pivotal role for this kinase in stress response and ubiquitin-mediated signaling (5). In vitro autophosphorylation of yeast GCN2 within its activation loop at Thr882 and Thr887 (Thr898 and Thr903 in mouse) has also been reported (6).

Species Reactivity

Species reactivity is determined by testing in at least one approved application (e.g., western blot).

Western Blot Buffer

IMPORTANT: For western blots, incubate membrane with diluted primary antibody in 5% w/v nonfat dry milk, 1X TBS, 0.1% Tween® 20 at 4°C with gentle shaking, overnight.

Applications Key

W: Western Blotting IP: Immunoprecipitation IF-IC: Immunofluorescence (Immunocytochemistry)

Cross-Reactivity Key

H: Human

Trademarks and Patents

Cell Signaling Technology is a trademark of Cell Signaling Technology, Inc.

All other trademarks are the property of their respective owners. Visit cellsignal.com/trademarks for more information.

Limited Uses

Except as otherwise expressly agreed in a writing signed by a legally authorized representative of CST, the following terms apply to Products provided by CST, its affiliates or its distributors. Any Customer's terms and conditions that are in addition to, or different from, those contained herein, unless separately accepted in writing by a legally authorized representative of CST, are rejected and are of no force or effect.

Products are labeled with For Research Use Only or a similar labeling statement and have not been approved, cleared, or licensed by the FDA or other regulatory foreign or domestic entity, for any purpose. Customer shall not use any Product for any diagnostic or therapeutic purpose, or otherwise in any manner that conflicts with its labeling statement. Products sold or licensed by CST are provided for Customer as the end-user and solely for research and development uses. Any use of Product for diagnostic, prophylactic or therapeutic purposes, or any purchase of Product for resale (alone or as a component) or other commercial purpose, requires a separate license from CST. Customer shall (a) not sell, license, loan, donate or otherwise transfer or make available any Product to any third party, whether alone or in combination with other materials, or use the Products to manufacture any commercial products, (b) not copy, modify, reverse engineer, decompile, disassemble or otherwise attempt to discover the underlying structure or technology of the Products, or use the Products for the purpose of developing any products or services that would compete with CST products or services, (c) not alter or remove from the Products any trademarks, trade names, logos, patent or copyright notices or markings, (d) use the Products solely in accordance with CST Product Terms of Sale and any applicable documentation, and (e) comply with any license, terms of service or similar agreement with respect to any third party products or services used by Customer in connection with the Products.

Orders: 877-616-CELL (2355) [email protected] Support: 877-678-TECH (8324) [email protected] Web: cellsignal.com
For Research Use Only. Not for Use in Diagnostic Procedures.

Revision 4

Cell Signaling Technology Logo
Western blot analysis of extracts from various cell lines using GCN2 (E7G7E) Rabbit mAb (upper) or β-Actin (D6A8) Rabbit mAb #8457 (lower).
Western Blotting Image 1: GCN2 (E7G7E) Rabbit Monoclonal Antibody
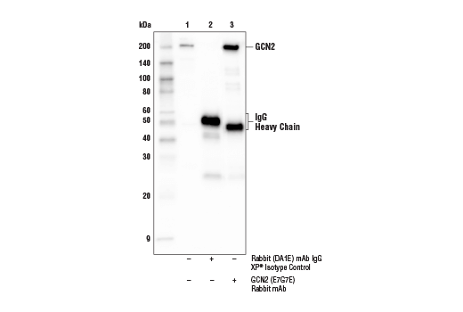
Immunoprecipitation of GCN2 protein from HT-1376 cell extracts. Lane 1 is 10% input, lane 2 is Rabbit (DA1E) mAb IgG XP® Isotype Control #3900, and lane 3 is GCN2 (E7G7E) Rabbit mAb. Western blot analysis was performed using GCN2 (E7G7E) Rabbit mAb.
Immunoprecipitation Image 1: GCN2 (E7G7E) Rabbit Monoclonal Antibody
Confocal immunofluorescent analysis of HT-1376 cells (left, positive) and BT-20 cells (right, negative) using GCN2 (E7G7E) Rabbit mAb (green). Blue = DAPI #4083 (fluorescent DNA dye).
Immunofluorescence Image 1: GCN2 (E7G7E) Rabbit Monoclonal Antibody
Orders: 877-616-CELL (2355) [email protected] Support: 877-678-TECH (8324) [email protected] Web: cellsignal.com
For Research Use Only. Not for Use in Diagnostic Procedures.