Revision 1

#79996

Store at -20C

CST Logo
Orders:

877-616-CELL (2355)

[email protected]

Support:

877-678-TECH (8324)

3 Trask Lane | Danvers | Massachusetts | 01923 | USA

For Research Use Only. Not for Use in Diagnostic Procedures.

Applications:
W, IHC-P

Reactivity:
H

Sensitivity:
Endogenous

MW (kDa):
35

Source/Isotype:
Rabbit IgG

UniProt ID:
#Q99988

Entrez-Gene Id:
9518

Product Usage Information

Application Dilution
Western Blotting 1:1000
Immunohistochemistry (Paraffin) 1:50 - 1:200

Storage

Supplied in 10 mM sodium HEPES (pH 7.5), 150 mM NaCl, 100 µg/mL BSA, 50% glycerol, and less than 0.02% sodium azide. Store at –20°C. Do not aliquot the antibody.

Specificity/Sensitivity

GDF15/MIC1 (E5Q8Q) Rabbit Monoclonal Antibody recognizes endogenous levels of total GDF15/MIC1 protein. This antibody only reacts with monomeric and dimeric forms of pro-GDF15/MIC1 protein.

Source / Purification

Monoclonal antibody is produced by immunizing animals with recombinant protein specific to full-length human GDF15/MIC1 protein.

Background

Macrophage inhibitory cytokine-1 (Mic-1), also termed GDF15 (1), PTGF-β (2), PLAB (3), PDF (4), and NAG-1 (5), is a divergent member of the transforming growth factor-β (TGF-β) superfamily (6). Like other family members, Mic-1 is synthesized as an inactive precursor that undergoes proteolytic processing involving removal of an N-terminal hydrophobic signal sequence followed by cleavage at a conserved RXXR site, generating an active C-terminal domain that is secreted as a dimeric protein. Mic-1 is highly expressed in the placenta and is also dramatically increased by cellular stress, acute injury, inflammation, and cancer. In the brain, Mic-1 is found in the choroid plexus and is secreted into the cerebrospinal fluid (7). It is also a transcriptional target of the p53 tumor suppressor protein and may serve as a biomarker for p53 activity (8,9). During tumor progression, Mic-1 has various effects on apoptosis, differentiation, angiogenesis, and metastasis, and may also contribute to weight loss during cancer (10,11).

Species Reactivity

Species reactivity is determined by testing in at least one approved application (e.g., western blot).

Western Blot Buffer

IMPORTANT: For western blots, incubate membrane with diluted primary antibody in 5% w/v BSA, 1X TBS, 0.1% Tween® 20 at 4°C with gentle shaking, overnight.

Applications Key

W: Western Blotting IHC-P: Immunohistochemistry (Paraffin)

Cross-Reactivity Key

H: Human

Trademarks and Patents

Cell Signaling Technology is a trademark of Cell Signaling Technology, Inc.

All other trademarks are the property of their respective owners. Visit cellsignal.com/trademarks for more information.

Limited Uses

Except as otherwise expressly agreed in a writing signed by a legally authorized representative of CST, the following terms apply to Products provided by CST, its affiliates or its distributors. Any Customer's terms and conditions that are in addition to, or different from, those contained herein, unless separately accepted in writing by a legally authorized representative of CST, are rejected and are of no force or effect.

Products are labeled with For Research Use Only or a similar labeling statement and have not been approved, cleared, or licensed by the FDA or other regulatory foreign or domestic entity, for any purpose. Customer shall not use any Product for any diagnostic or therapeutic purpose, or otherwise in any manner that conflicts with its labeling statement. Products sold or licensed by CST are provided for Customer as the end-user and solely for research and development uses. Any use of Product for diagnostic, prophylactic or therapeutic purposes, or any purchase of Product for resale (alone or as a component) or other commercial purpose, requires a separate license from CST. Customer shall (a) not sell, license, loan, donate or otherwise transfer or make available any Product to any third party, whether alone or in combination with other materials, or use the Products to manufacture any commercial products, (b) not copy, modify, reverse engineer, decompile, disassemble or otherwise attempt to discover the underlying structure or technology of the Products, or use the Products for the purpose of developing any products or services that would compete with CST products or services, (c) not alter or remove from the Products any trademarks, trade names, logos, patent or copyright notices or markings, (d) use the Products solely in accordance with CST Product Terms of Sale and any applicable documentation, and (e) comply with any license, terms of service or similar agreement with respect to any third party products or services used by Customer in connection with the Products.

Orders: 877-616-CELL (2355) [email protected] Support: 877-678-TECH (8324) [email protected] Web: cellsignal.com
For Research Use Only. Not for Use in Diagnostic Procedures.

Revision 1

Cell Signaling Technology Logo
Western blot analysis of extracts from various cell lines using GDF15/MIC1 (E5Q8Q) Rabbit mAb (upper) or β-Actin (D6A8) Rabbit mAb #8457 (lower). Negative expression of GDF15/MIC1 protein in BT-474 and Ramos cells is consistent with the predicted expression pattern.
Western Blotting Image 1: GDF15/MIC1 (E5Q8Q) Rabbit Monoclonal Antibody
Western blot analysis of extracts from 293T cells, mock transfected (-) or transfected with a construct expressing Myc/DDK-tagged full-length human GDF15/MIC1 (hGDF15/MIC1-Myc/DDK; +), using GDF15/MIC1 (E5Q8Q) Rabbit mAb (upper), DYKDDDDK Tag (D6W5B) Rabbit mAb #14793 (middle), or β-Actin (D6A8) Rabbit mAb #8457 (lower).
Western Blotting Image 2: GDF15/MIC1 (E5Q8Q) Rabbit Monoclonal Antibody
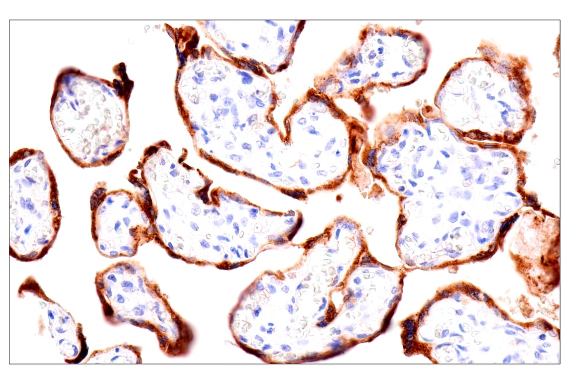
Immunohistochemical analysis of paraffin-embedded normal human placenta using GDF15/MIC1 (E5Q8Q) Rabbit mAb.
Immunohistochemistry Image 1: GDF15/MIC1 (E5Q8Q) Rabbit Monoclonal Antibody
Orders: 877-616-CELL (2355) [email protected] Support: 877-678-TECH (8324) [email protected] Web: cellsignal.com
For Research Use Only. Not for Use in Diagnostic Procedures.

Revision 1

Cell Signaling Technology Logo

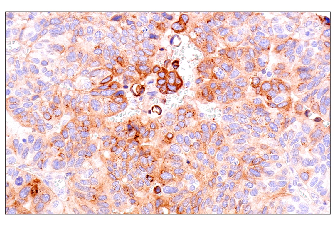
Immunohistochemical analysis of paraffin-embedded human prostate carcinoma using GDF15/MIC1 (E5Q8Q) Rabbit mAb.

Immunohistochemistry Image 2: GDF15/MIC1 (E5Q8Q) Rabbit Monoclonal Antibody

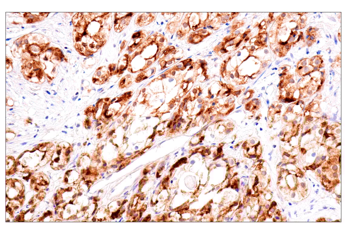
Immunohistochemical analysis of paraffin-embedded human prostate carcinoma using GDF15/MIC1 (E5Q8Q) Rabbit mAb.

Immunohistochemistry Image 3: GDF15/MIC1 (E5Q8Q) Rabbit Monoclonal Antibody

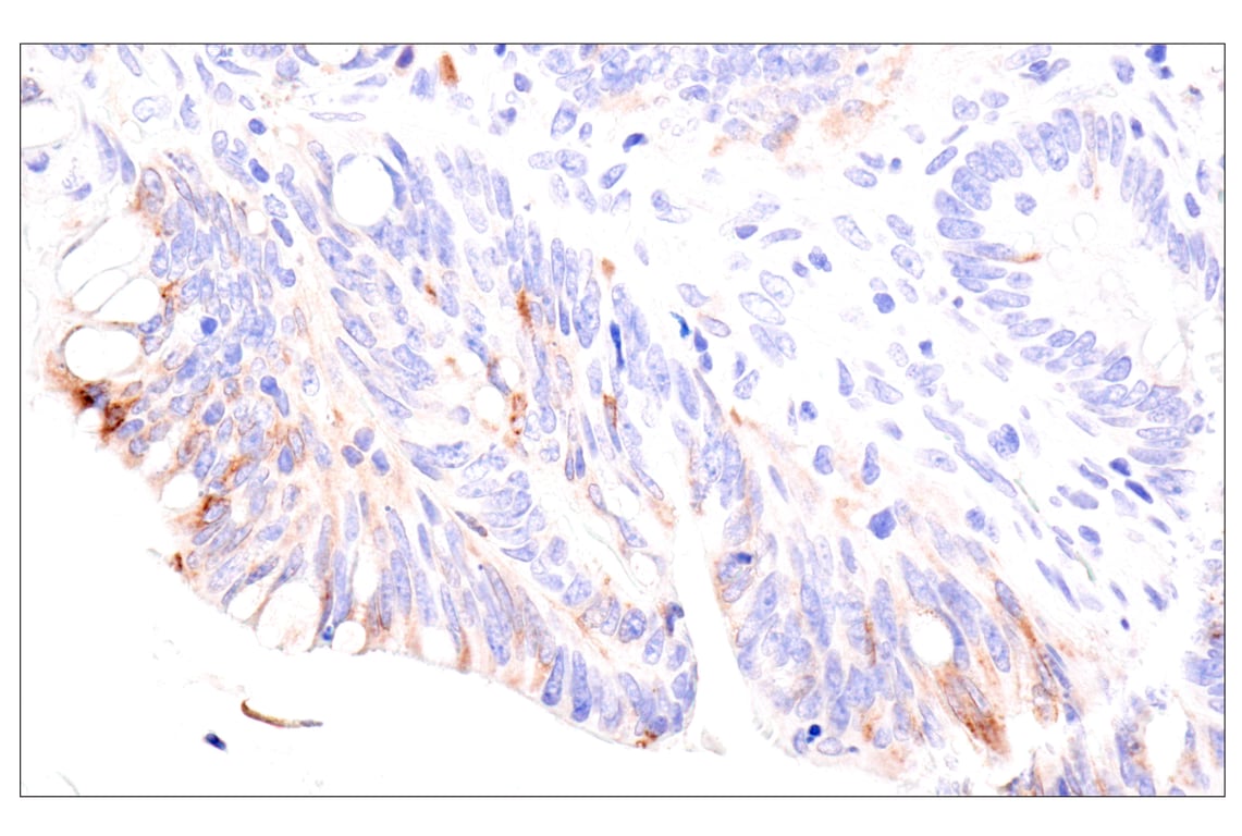
Immunohistochemical analysis of paraffin-embedded human colon adenocarcinoma using GDF15/MIC1 (E5Q8Q) Rabbit mAb.

Immunohistochemistry Image 4: GDF15/MIC1 (E5Q8Q) Rabbit Monoclonal Antibody
Orders: 877-616-CELL (2355) [email protected] Support: 877-678-TECH (8324) [email protected] Web: cellsignal.com
For Research Use Only. Not for Use in Diagnostic Procedures.

Revision 1

Cell Signaling Technology Logo

Immunohistochemical analysis of paraffin-embedded human urothelial carcinoma using GDF15/MIC1 (E5Q8Q) Rabbit mAb.

Immunohistochemistry Image 5: GDF15/MIC1 (E5Q8Q) Rabbit Monoclonal Antibody
Immunohistochemical analysis of paraffin-embedded normal human prostate using GDF15/MIC1 (E5Q8Q) Rabbit mAb (left) compared to concentration-matched Rabbit (DA1E) mAb IgG XP® Isotype Control #3900 (right).
Immunohistochemistry Image 6: GDF15/MIC1 (E5Q8Q) Rabbit Monoclonal Antibody
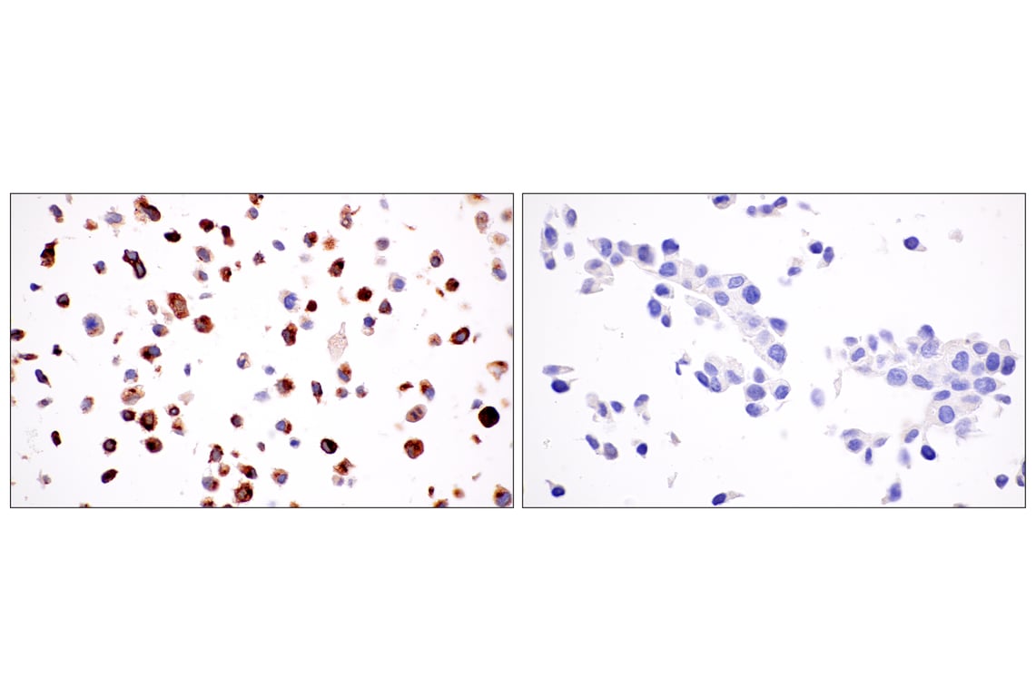
Immunohistochemical analysis of paraffin-embedded HT-1080 cell pellet (left, positive) or BT-474 cell pellet (right, negative) using GDF15/MIC1 (E5Q8Q) Rabbit mAb.
Immunohistochemistry Image 7: GDF15/MIC1 (E5Q8Q) Rabbit Monoclonal Antibody
Orders: 877-616-CELL (2355) [email protected] Support: 877-678-TECH (8324) [email protected] Web: cellsignal.com
For Research Use Only. Not for Use in Diagnostic Procedures.