Revision 2

#78646

Store at -20C

CST Logo
Orders:

877-616-CELL (2355)

[email protected]

Support:

877-678-TECH (8324)

3 Trask Lane | Danvers | Massachusetts | 01923 | USA

For Research Use Only. Not for Use in Diagnostic Procedures.

Product Includes Product # Quantity Mol. Wt Isotype/Source
GCase/GBA (E2R1L) Rabbit Monoclonal Antibody8816220 µl65 kDaRabbit IgG
Cathepsin D (E5V4H) Rabbit Monoclonal Antibody7408920 µl46, 43, 28 kDaRabbit IgG
PARK9 Antibody587920 µl150 kDaRabbit
VPS35 (E6S4I) Rabbit Monoclonal Antibody8145320 µl81 kDaRabbit IgG
LRRK2 (D18E12) Rabbit Monoclonal Antibody1304620 µl290 kDaRabbit IgG
alpha-Synuclein (E4U2F) Rabbit Monoclonal Antibody5151020 µl18 kDaRabbit IgG
Anti-rabbit IgG, HRP-linked Antibody7074100 µlGoat

Please visit cellsignal.com for individual component applications, species cross-reactivity, dilutions, protocols, and additional product information.

Description

The Genetics of Parkinson's Disease: Lysosomal Dysfunction Antibody Sampler Kit provides an economical means of investigating lysosomal proteins that are commonly mutated in Parkinson’s disease (PD) by western blot. The kit includes enough antibodies to perform two western blot experiments with each primary antibody.

Storage

Supplied in 10 mM sodium HEPES (pH 7.5), 150 mM NaCl, 100 µg/mL BSA, 50% glycerol, and less than 0.02% sodium azide. Store at –20°C. Do not aliquot the antibody.

Background

The antibodies in this kit serve to characterize genes implicated in Parkinson’s disease (PD) that lead to lysosomal dysfunction. The cellular function of lysosomes is to degrade and recycle cellular waste, maintaining proper cellular energy metabolism. GBA mutations are the most common genetic risk factor for PD, a neurodegenerative disease characterized by the loss of dopaminergic neurons in the substantia nigra with formation of Lewy bodies in surviving neurons (1,2). In the absence of GBA, which encodes β-glucocerebrosidase (GCase), autophagic lysosome reformation is altered, suggesting that GCase activity is critical to maintaining functional lysosomes. GCase catalyzes the hydrolysis of glucocerebroside into free ceramide and glucose (3). Lysosomal breakdown of glucocerebroside is required for complex lipid cellular metabolism and proper cellular membrane turnover (4).

α-Synuclein (α-Syn) is the main component of pathogenic Lewy bodies and neurites. Research studies have shown that mutations in the α-Synuclein gene are linked to PD (5). Neuronally generated pathogenic species of α-Syn accumulate within neuronal lysosomes and are released via SNARE-dependent lysosomal exocytosis. The released aggregates are non-membrane enveloped and seeding-competent, further contributing to PD pathology (6).

PARK9, also known as ATP13A2, is a member of the P-type ATPase superfamily. It localizes to the lysosomal membrane and is involved in the lysosomal degradation pathway, clearing α-Syn aggregates (7,8).

Cathepsin D (CTSD) is a ubiquitously expressed lysosomal aspartyl protease involved in normal protein degradation. Loss of CTSD leads to lysosomal dysfunction and accumulation of different cellular proteins implicated in neurodegenerative diseases, such as α-Syn (9).

Another gene genetically linked to PD is leucine-rich repeat kinase 2 (LRRK2), also known as PARK8 (10). Research studies have linked at least 20 mutations in LRRK2 to PD, with the G2019S mutation being the most prevalent (11). LRRK2 mutations alter lysosome morphology, distribution, pH, and degradative capacity in many distinct cell types, including fibroblasts, striatal neurons, primary neurons, and primary astrocytes (12).

Mutations in the vacuolar protein sorting-associated protein 35 (VPS35) gene, encoding a core component of the retromer complex, have recently emerged as a new cause of late-onset, autosomal dominant familial PD. A single missense mutation, Asp620Asn (D620N), has so far been unambiguously identified to cause PD (13). The VPS35 D620N mutation alters the expression of ~220 lysosomal proteins and stimulates recruitment of LRRK2 and phosphorylation of Rab proteins at the lysosome (14).

Trademarks and Patents

Cell Signaling Technology is a trademark of Cell Signaling Technology, Inc.

All other trademarks are the property of their respective owners. Visit cellsignal.com/trademarks for more information.

Limited Uses

Except as otherwise expressly agreed in a writing signed by a legally authorized representative of CST, the following terms apply to Products provided by CST, its affiliates or its distributors. Any Customer's terms and conditions that are in addition to, or different from, those contained herein, unless separately accepted in writing by a legally authorized representative of CST, are rejected and are of no force or effect.

Products are labeled with For Research Use Only or a similar labeling statement and have not been approved, cleared, or licensed by the FDA or other regulatory foreign or domestic entity, for any purpose. Customer shall not use any Product for any diagnostic or therapeutic purpose, or otherwise in any manner that conflicts with its labeling statement. Products sold or licensed by CST are provided for Customer as the end-user and solely for research and development uses. Any use of Product for diagnostic, prophylactic or therapeutic purposes, or any purchase of Product for resale (alone or as a component) or other commercial purpose, requires a separate license from CST. Customer shall (a) not sell, license, loan, donate or otherwise transfer or make available any Product to any third party, whether alone or in combination with other materials, or use the Products to manufacture any commercial products, (b) not copy, modify, reverse engineer, decompile, disassemble or otherwise attempt to discover the underlying structure or technology of the Products, or use the Products for the purpose of developing any products or services that would compete with CST products or services, (c) not alter or remove from the Products any trademarks, trade names, logos, patent or copyright notices or markings, (d) use the Products solely in accordance with CST Product Terms of Sale and any applicable documentation, and (e) comply with any license, terms of service or similar agreement with respect to any third party products or services used by Customer in connection with the Products.

Orders: 877-616-CELL (2355) [email protected] Support: 877-678-TECH (8324) [email protected] Web: cellsignal.com
For Research Use Only. Not for Use in Diagnostic Procedures.

Revision 2

Cell Signaling Technology Logo
Western blot analysis of extracts from U-87 MG and A172 cells, and mouse brain using LRRK2 (D18E12) Rabbit mAb. 
undefined Image 1: Genetics of Parkinson's Disease: Lysosomal Dysfunction Antibody Sampler Kit
Western blot analysis of extracts from mouse and rat brain using α-Synuclein (E4U2F) XP® Rabbit mAb.
undefined Image 2: Genetics of Parkinson's Disease: Lysosomal Dysfunction Antibody Sampler Kit
Immunoprecipitation of α-Synuclein protein from mouse brain tissue extracts. Lane 1 is 10% input, lane 2 is Rabbit (DA1E) mAb IgG XP® Isotype Control #3900, and lane 3 is α-Synuclein (E4U2F) XP® Rabbit mAb. Western blot analysis was performed using α-Synuclein (D37A6) Rabbit mAb #4179. Anti-rabbit IgG, HRP-linked Antibody #7074 was used as a secondary antibody.
undefined Image 3: Genetics of Parkinson's Disease: Lysosomal Dysfunction Antibody Sampler Kit
Orders: 877-616-CELL (2355) [email protected] Support: 877-678-TECH (8324) [email protected] Web: cellsignal.com
For Research Use Only. Not for Use in Diagnostic Procedures.

Revision 2

Cell Signaling Technology Logo
Confocal immunofluorescent analysis of fixed frozen mouse cerebellum labeled with α-Synuclein (E4U2F) XP® Rabbit mAb (left, green) and co-labeled with F4/80 (BM8.1) Rat mAb #71299 (right, red) and DAPI #4083 (right, blue).
undefined Image 4: Genetics of Parkinson's Disease: Lysosomal Dysfunction Antibody Sampler Kit
Confocal immunofluorescent analysis of fixed frozen mouse striatum labeled with α-Synuclein (E4U2F) XP® Rabbit mAb (left, green) and co-labeled with F4/80 (BM8.1) Rat mAb #71299 (right, red), and DAPI #4083 (right, blue).
undefined Image 5: Genetics of Parkinson's Disease: Lysosomal Dysfunction Antibody Sampler Kit
Confocal immunofluorescent analysis of SK-MEL-28 cells (left, positive) and HuH-6 cells (right, negative) using α-Synuclein (E4U2F) XP® Rabbit mAb (green), DyLight™ 650 Phalloidin #12956 (red), and DAPI #4083 (blue).
undefined Image 6: Genetics of Parkinson's Disease: Lysosomal Dysfunction Antibody Sampler Kit
Orders: 877-616-CELL (2355) [email protected] Support: 877-678-TECH (8324) [email protected] Web: cellsignal.com
For Research Use Only. Not for Use in Diagnostic Procedures.

Revision 2

Cell Signaling Technology Logo
Immunohistochemical analysis of paraffin-embedded normal human brain using α-Synuclein (E4U2F) XP® Rabbit mAb.
undefined Image 7: Genetics of Parkinson's Disease: Lysosomal Dysfunction Antibody Sampler Kit
Western blot analysis of extracts from HeLa and COS-7 cells using PARK9 Antibody.
undefined Image 8: Genetics of Parkinson's Disease: Lysosomal Dysfunction Antibody Sampler Kit
After the primary antibody is bound to the target protein, a complex with HRP-linked secondary antibody is formed. The LumiGLO® is added and emits light during enzyme catalyzed decomposition.
undefined Image 9: Genetics of Parkinson's Disease: Lysosomal Dysfunction Antibody Sampler Kit
Orders: 877-616-CELL (2355) [email protected] Support: 877-678-TECH (8324) [email protected] Web: cellsignal.com
For Research Use Only. Not for Use in Diagnostic Procedures.

Revision 2

Cell Signaling Technology Logo
Western blot analysis of extracts from various brain tissues and HCC1419 cells using Cathepsin D (E5V4H) Rabbit mAb (upper) or β-Actin (D6A8) Rabbit mAb #8457 (lower).
undefined Image 10: Genetics of Parkinson's Disease: Lysosomal Dysfunction Antibody Sampler Kit
Confocal immunofluorescent analysis of fixed frozen brain from an amyloid mouse model of Alzheimer's disease using Cathepsin D (E5V4H) Rabbit mAb (left, green). After blocking free secondary antibody binding sites with Rabbit (DA1E) mAb IgG XP® Isotype Control #3900, the tissue was then labeled using Iba1/AIF-1 (E4O4W) XP® Rabbit mAb (Alexa Fluor® 555 Conjugate) #36618 (right, red) and β-Amyloid (D3D2N) Mouse mAb #15126 (right, blue).
undefined Image 11: Genetics of Parkinson's Disease: Lysosomal Dysfunction Antibody Sampler Kit
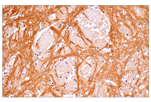
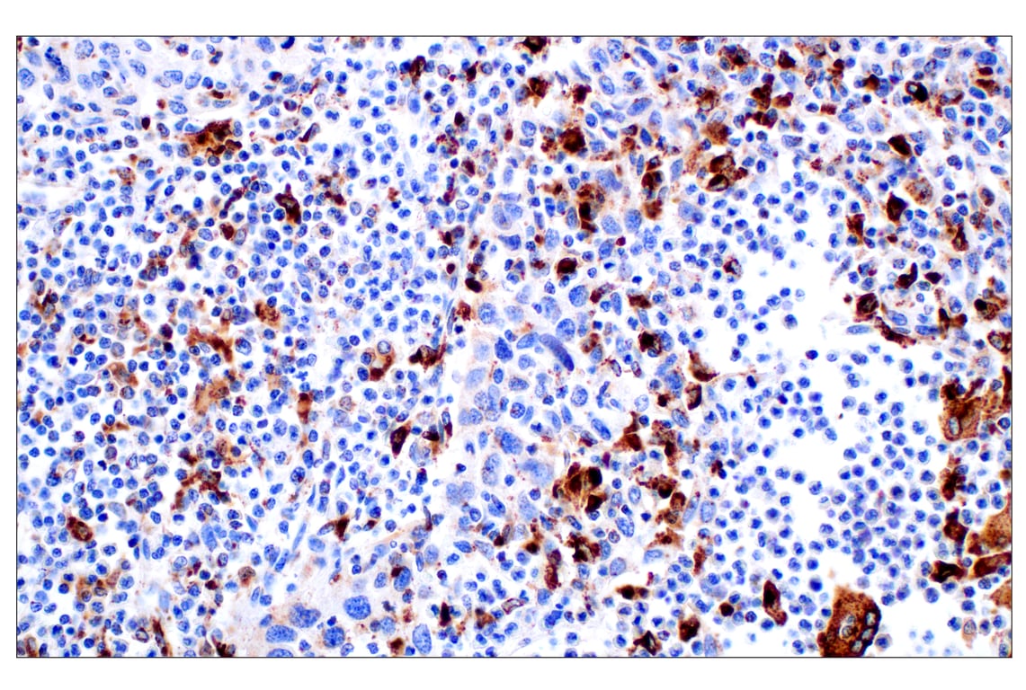
Immunohistochemical analysis of paraffin-embedded human squamous cell carcinoma of the cervix using Cathepsin D (E5V4H) Rabbit mAb.
undefined Image 12: Genetics of Parkinson's Disease: Lysosomal Dysfunction Antibody Sampler Kit
Orders: 877-616-CELL (2355) [email protected] Support: 877-678-TECH (8324) [email protected] Web: cellsignal.com
For Research Use Only. Not for Use in Diagnostic Procedures.

Revision 2

Cell Signaling Technology Logo
Western blot analysis of extracts from various cell lines using VPS35 (E6S4I) Rabbit mAb.
undefined Image 13: Genetics of Parkinson's Disease: Lysosomal Dysfunction Antibody Sampler Kit
Western blot analysis of extracts from immortalized gba+/+ and gba-/- mouse neurons using GCase/GBA (E2R1L) Rabbit mAb (upper) or β-Actin (D6A8) Rabbit mAb #8457 (lower). Immortalized gba+/+ and gba-/- mouse neurons kindly provided by Dr. Ellen Sidransky, MD at the National Human Genome Research Institute of the National Institutes of Health (8).
undefined Image 14: Genetics of Parkinson's Disease: Lysosomal Dysfunction Antibody Sampler Kit
Western blot analysis of A549 extracts from WT (left) or LRRK2 KO (right) using LRRK2 (D18E12) Rabbit mAb. Membranes stained with Ponceau S for total protein normalization (lower). These data were provided by YCharOS Inc., an open science company with the mission of characterizing commercially available antibodies, as a companion to validation data generated by CST scientists.
undefined Image 15: Genetics of Parkinson's Disease: Lysosomal Dysfunction Antibody Sampler Kit
Orders: 877-616-CELL (2355) [email protected] Support: 877-678-TECH (8324) [email protected] Web: cellsignal.com
For Research Use Only. Not for Use in Diagnostic Procedures.

Revision 2

Cell Signaling Technology Logo
Immunohistochemical analysis of paraffin-embedded mouse cerebellum using α-Synuclein (E4U2F) XP® Rabbit mAb.
undefined Image 16: Genetics of Parkinson's Disease: Lysosomal Dysfunction Antibody Sampler Kit
Confocal immunofluorescent analysis of fixed frozen mouse brain using Cathepsin D (E5V4H) Rabbit mAb (left, green). After blocking free secondary antibody binding sites with Rabbit (DA1E) mAb IgG XP® Isotype Control #3900, the tissue was then labeled using Iba1/AIF-1 (E4O4W) XP® Rabbit mAb (Alexa Fluor® 555 Conjugate) #36618 (right, red) and ProLong Gold Antifade Reagent with DAPI #8961 (right, blue).
undefined Image 17: Genetics of Parkinson's Disease: Lysosomal Dysfunction Antibody Sampler Kit
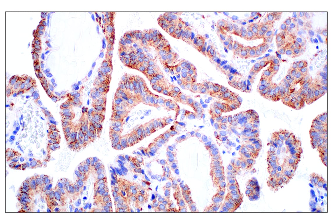
Immunohistochemical analysis of paraffin-embedded human papillary thyroid carcinoma using Cathepsin D (E5V4H) Rabbit mAb.
undefined Image 18: Genetics of Parkinson's Disease: Lysosomal Dysfunction Antibody Sampler Kit
Orders: 877-616-CELL (2355) [email protected] Support: 877-678-TECH (8324) [email protected] Web: cellsignal.com
For Research Use Only. Not for Use in Diagnostic Procedures.

Revision 2

Cell Signaling Technology Logo
Western blot analysis of HAP1 extracts from WT (left) or VPS35 KO (right) using VPS35 (E6S4I) Rabbit mAb. Membranes stained with Ponceau S for total protein normalization (lower). These data were provided by YCharOS Inc., an open science company with the mission of characterizing commercially available antibodies, as a companion to validation data generated by CST scientists.
undefined Image 19: Genetics of Parkinson's Disease: Lysosomal Dysfunction Antibody Sampler Kit
Western blot analysis of extracts from various cell lines using GCase/GBA (E2R1L) Rabbit mAb (upper) or β-Actin (D6A8) Rabbit mAb #8457 (lower).
undefined Image 20: Genetics of Parkinson's Disease: Lysosomal Dysfunction Antibody Sampler Kit
Simple WesternTM analysis of lysates (1.0 mg/mL) from Mouse Brain cells using LRRK2 (D18E12) Rabbit mAb #13046. The virtual lane view (left) shows the target band (as indicated) at 1:50 and 1:250 dilutions of primary antibody. The corresponding electropherogram view (right) plots chemiluminescence by molecular weight along the capillary at 1:50 (blue line) and 1:250 (green line) dilutions of primary antibody. This experiment was performed under reducing conditions on the JessTM Simple Western instrument from ProteinSimple, a BioTechne brand, using the 66-440 kDa separation module.
undefined Image 21: Genetics of Parkinson's Disease: Lysosomal Dysfunction Antibody Sampler Kit
Orders: 877-616-CELL (2355) [email protected] Support: 877-678-TECH (8324) [email protected] Web: cellsignal.com
For Research Use Only. Not for Use in Diagnostic Procedures.

Revision 2

Cell Signaling Technology Logo
Immunohistochemical analysis of paraffin-embedded normal human spleen using α-Synuclein (E4U2F) XP® Rabbit mAb.
undefined Image 22: Genetics of Parkinson's Disease: Lysosomal Dysfunction Antibody Sampler Kit
Confocal immunofluorescent analysis of fixed frozen mouse colon at high magnification using Cathepsin D (E5V4H) Rabbit mAb (left, green). After blocking free secondary antibody binding sites with Rabbit (DA1E) mAb IgG XP® Isotype Control #3900, the tissue was then labeled using Iba1/AIF-1 (E4O4W) XP® Rabbit mAb (Alexa Fluor® 555 Conjugate) #36618 (right, red) and ProLong Gold Antifade Reagent with DAPI #8961 (right, blue).
undefined Image 23: Genetics of Parkinson's Disease: Lysosomal Dysfunction Antibody Sampler Kit
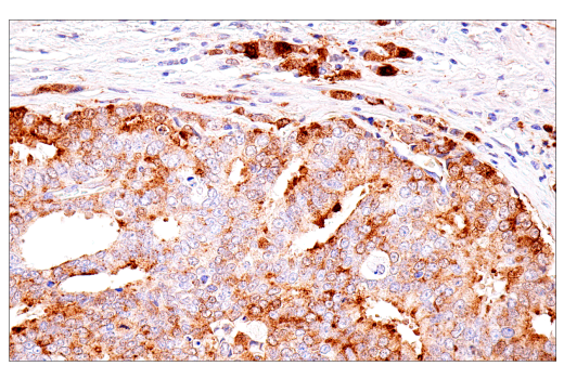
Immunohistochemical analysis of paraffin-embedded human esophageal adenocarcinoma using Cathepsin D (E5V4H) Rabbit mAb.
undefined Image 24: Genetics of Parkinson's Disease: Lysosomal Dysfunction Antibody Sampler Kit
Orders: 877-616-CELL (2355) [email protected] Support: 877-678-TECH (8324) [email protected] Web: cellsignal.com
For Research Use Only. Not for Use in Diagnostic Procedures.

Revision 2

Cell Signaling Technology Logo
Immunoprecipitation of VPS35 protein from U-251 MG cell extracts. Lane 1 is 10% input, lane 2 is Rabbit (DA1E) mAb IgG XP® Isotype Control #3900, and lane 3 is VPS35 (E6S4I) Rabbit mAb. Western blot analysis was performed using VPS35 (E6S4I) Rabbit mAb.
undefined Image 25: Genetics of Parkinson's Disease: Lysosomal Dysfunction Antibody Sampler Kit
Immunoprecipitation of LRRK2 from mouse brain extracts. Lane 1 is 10% input, lane 2 is Rabbit (DA1E) mAb IgG XP® Isotype Control #3900, and lane 3 is LRRK2 (D18E12) Rabbit mAb. Western blot analysis was performed using LRRK2 (D18E12) Rabbit mAb. Anti-rabbit, HRP-linked Antibody #7074 was used as a secondary antibody.
undefined Image 26: Genetics of Parkinson's Disease: Lysosomal Dysfunction Antibody Sampler Kit
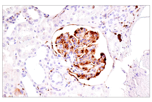
Immunohistochemical analysis of paraffin-embedded normal human kidney using α-Synuclein (E4U2F) XP® Rabbit mAb.
undefined Image 27: Genetics of Parkinson's Disease: Lysosomal Dysfunction Antibody Sampler Kit
Orders: 877-616-CELL (2355) [email protected] Support: 877-678-TECH (8324) [email protected] Web: cellsignal.com
For Research Use Only. Not for Use in Diagnostic Procedures.

Revision 2

Cell Signaling Technology Logo
Confocal immunofluorescent analysis of fixed frozen mouse colon at low magnification using Cathepsin D (E5V4H) Rabbit mAb (left, green). After blocking free secondary antibody binding sites with Rabbit (DA1E) mAb IgG XP® Isotype Control #3900, the tissue was then labeled using Iba1/AIF-1 (E4O4W) XP® Rabbit mAb (Alexa Fluor® 555 Conjugate) #36618 (right, red) and ProLong Gold Antifade Reagent with DAPI #8961 (right, blue).
undefined Image 28: Genetics of Parkinson's Disease: Lysosomal Dysfunction Antibody Sampler Kit
Immunohistochemical analysis of paraffin-embedded normal human adrenal gland using Cathepsin D (E5V4H) Rabbit mAb.
undefined Image 29: Genetics of Parkinson's Disease: Lysosomal Dysfunction Antibody Sampler Kit
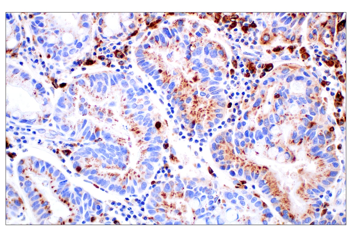
Immunohistochemical analysis of paraffin-embedded human non-small cell lung carcinoma using α-Synuclein (E4U2F) XP® Rabbit mAb.
undefined Image 30: Genetics of Parkinson's Disease: Lysosomal Dysfunction Antibody Sampler Kit
Orders: 877-616-CELL (2355) [email protected] Support: 877-678-TECH (8324) [email protected] Web: cellsignal.com
For Research Use Only. Not for Use in Diagnostic Procedures.

Revision 2

Cell Signaling Technology Logo
Confocal immunofluorescent analysis of HCC1419 cells (left) and U-118 MG cells (right) using Cathepsin D (E5V4H) Rabbit mAb (green), β-Actin (8H10D10) Mouse mAb #3700 (red), and DAPI #4083 (blue).
undefined Image 31: Genetics of Parkinson's Disease: Lysosomal Dysfunction Antibody Sampler Kit
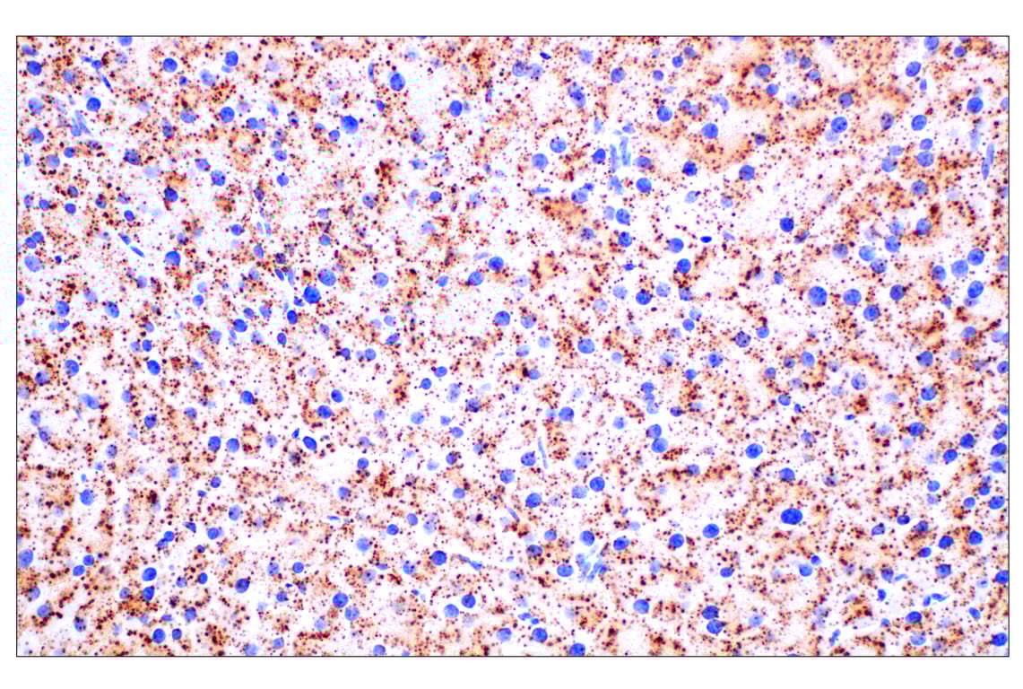
Immunohistochemical analysis of paraffin-embedded normal human pancreas using Cathepsin D (E5V4H) Rabbit mAb.
undefined Image 32: Genetics of Parkinson's Disease: Lysosomal Dysfunction Antibody Sampler Kit
Immunohistochemical analysis of paraffin-embedded human prostate adenocarcinoma using α-Synuclein (E4U2F) XP® Rabbit mAb.
undefined Image 33: Genetics of Parkinson's Disease: Lysosomal Dysfunction Antibody Sampler Kit
Orders: 877-616-CELL (2355) [email protected] Support: 877-678-TECH (8324) [email protected] Web: cellsignal.com
For Research Use Only. Not for Use in Diagnostic Procedures.

Revision 2

Cell Signaling Technology Logo
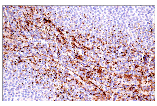
Immunohistochemical analysis of paraffin-embedded normal human lymph node using Cathepsin D (E5V4H) Rabbit mAb.
undefined Image 34: Genetics of Parkinson's Disease: Lysosomal Dysfunction Antibody Sampler Kit
Immunohistochemical analysis of paraffin-embedded mouse spleen using α-Synuclein (E4U2F) XP® Rabbit mAb.
undefined Image 35: Genetics of Parkinson's Disease: Lysosomal Dysfunction Antibody Sampler Kit
Immunohistochemical analysis of paraffin-embedded normal human brain using Cathepsin D (E5V4H) Rabbit mAb.
undefined Image 36: Genetics of Parkinson's Disease: Lysosomal Dysfunction Antibody Sampler Kit
Orders: 877-616-CELL (2355) [email protected] Support: 877-678-TECH (8324) [email protected] Web: cellsignal.com
For Research Use Only. Not for Use in Diagnostic Procedures.

Revision 2

Cell Signaling Technology Logo
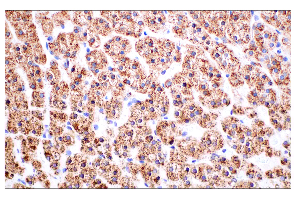
Immunohistochemical analysis of paraffin-embedded mouse liver using α-Synuclein (E4U2F) XP® Rabbit mAb.
undefined Image 37: Genetics of Parkinson's Disease: Lysosomal Dysfunction Antibody Sampler Kit
Immunohistochemical analysis of paraffin-embedded mouse pancreas using Cathepsin D (E5V4H) Rabbit mAb.
undefined Image 38: Genetics of Parkinson's Disease: Lysosomal Dysfunction Antibody Sampler Kit
Immunohistochemical analysis of paraffin-embedded mouse kidney using α-Synuclein (E4U2F) XP® Rabbit mAb.
undefined Image 39: Genetics of Parkinson's Disease: Lysosomal Dysfunction Antibody Sampler Kit
Orders: 877-616-CELL (2355) [email protected] Support: 877-678-TECH (8324) [email protected] Web: cellsignal.com
For Research Use Only. Not for Use in Diagnostic Procedures.

Revision 2

Cell Signaling Technology Logo


Immunohistochemical analysis of paraffin-embedded mouse thymus using Cathepsin D (E5V4H) Rabbit mAb.
undefined Image 40: Genetics of Parkinson's Disease: Lysosomal Dysfunction Antibody Sampler Kit
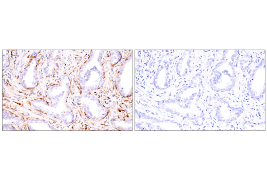
Immunohistochemical analysis of paraffin-embedded human prostate adenocarcinoma using α-Synuclein (E4U2F) XP® Rabbit mAb (left) compared to concentration-matched Rabbit (DA1E) mAb IgG XP® Isotype Control #3900 (right).
undefined Image 41: Genetics of Parkinson's Disease: Lysosomal Dysfunction Antibody Sampler Kit

Immunohistochemical analysis of paraffin-embedded mouse testes using Cathepsin D (E5V4H) Rabbit mAb.
undefined Image 42: Genetics of Parkinson's Disease: Lysosomal Dysfunction Antibody Sampler Kit
Orders: 877-616-CELL (2355) [email protected] Support: 877-678-TECH (8324) [email protected] Web: cellsignal.com
For Research Use Only. Not for Use in Diagnostic Procedures.

Revision 2

Cell Signaling Technology Logo
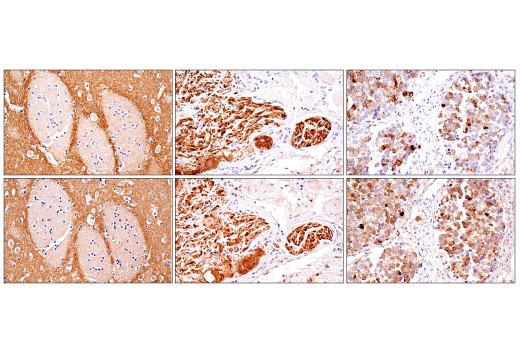
Immunohistochemical analysis of paraffin-embedded human normal brain (left), urothelial carcinoma (middle) or lung adenocarcinoma (right) using α-Synuclein (E4U2F) XP® Rabbit mAb (top) or α-Synuclein Mouse mAb (bottom). These two antibodies detect unique, non-overlapping epitopes on human α-Synuclein. The similar staining patterns obtained with both antibodies help to confirm the specificity of the staining. 
undefined Image 43: Genetics of Parkinson's Disease: Lysosomal Dysfunction Antibody Sampler Kit
Immunohistochemical analysis of paraffin-embedded human ductal breast carcinoma (left) and tonsil (right) using Cathepsin D (E5V4H) Rabbit mAb (top) or a Cathepsin D Rabbit pAb (bottom). These two antibodies detect unique, non-overlapping epitopes on human cathepsin D. The similar patterns obtained with both antibodies help to confirm the specificity of the staining.
undefined Image 44: Genetics of Parkinson's Disease: Lysosomal Dysfunction Antibody Sampler Kit
Immunohistochemical analysis of paraffin-embedded SK-MEL-28 cell pellet (left, positive) or HuH-6 cell pellet (right, negative) using α-Synuclein (E4U2F) XP® Rabbit mAb.
undefined Image 45: Genetics of Parkinson's Disease: Lysosomal Dysfunction Antibody Sampler Kit
Orders: 877-616-CELL (2355) [email protected] Support: 877-678-TECH (8324) [email protected] Web: cellsignal.com
For Research Use Only. Not for Use in Diagnostic Procedures.

Revision 2

Cell Signaling Technology Logo
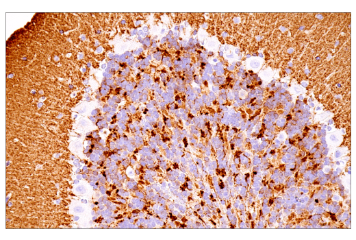
Immunohistochemical analysis of paraffin-embedded mouse cerebellum (left) and A20 syngeneic tumor (right) using Cathepsin D (E5V4H) Rabbit mAb (top) or a Cathepsin D Rabbit mAb (bottom). These two antibodies detect unique, non-overlapping epitopes on mouse cathepsin D. The similar patterns obtained with both antibodies help to confirm the specificity of the staining.
undefined Image 46: Genetics of Parkinson's Disease: Lysosomal Dysfunction Antibody Sampler Kit
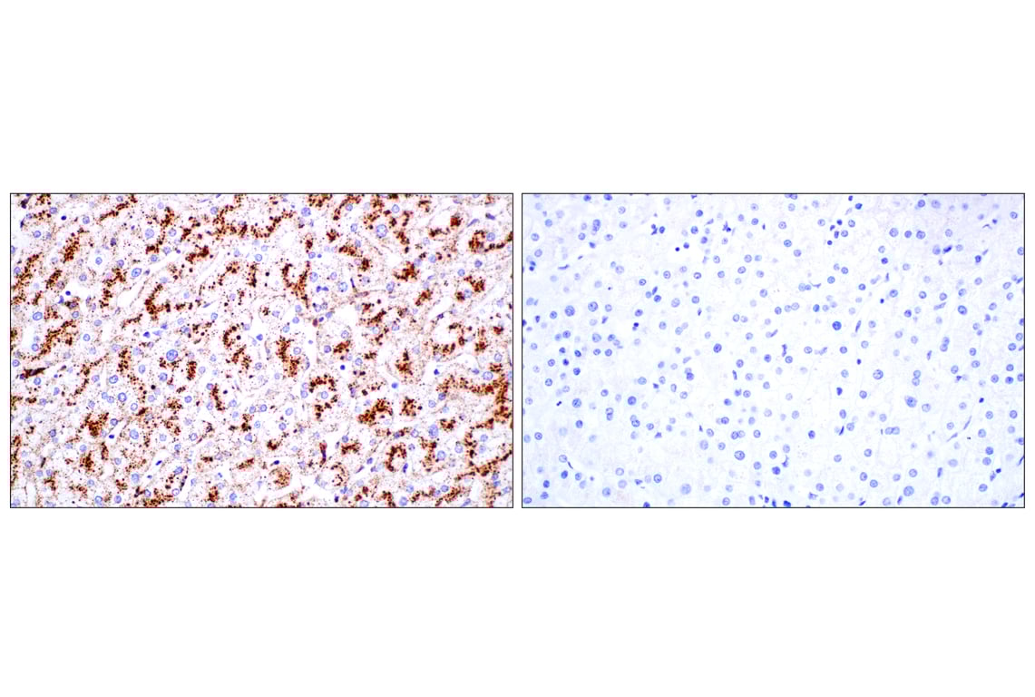
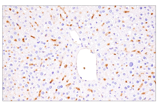
Immunohistochemical analysis of paraffin-embedded normal human liver using Cathepsin D (E5V4H) Rabbit mAb (left) compared to concentration-matched Rabbit (DA1E) mAb IgG XP® Isotype Control #3900 (right). 
undefined Image 47: Genetics of Parkinson's Disease: Lysosomal Dysfunction Antibody Sampler Kit
Immunohistochemical analysis of paraffin-embedded U-118 MG cell pellet (left, positive) or Ramos cell pellet (right, negative) using Cathepsin D (E5V4H) Rabbit mAb.
undefined Image 48: Genetics of Parkinson's Disease: Lysosomal Dysfunction Antibody Sampler Kit
Orders: 877-616-CELL (2355) [email protected] Support: 877-678-TECH (8324) [email protected] Web: cellsignal.com
For Research Use Only. Not for Use in Diagnostic Procedures.

Revision 2

Cell Signaling Technology Logo
Simple Western™ analysis of extracts (1 mg/mL) from Mouse brain tissue using α-Synuclein (E4U2F) XP® Rabbit mAb #51510. The virtual lane view (left) shows a single target band (as indicated) at 1:10 and 1:50 dilutions of primary antibody. The corresponding electropherogram view (right) plots chemiluminescence by molecular weight along the capillary at 1:10 (blue line) and 1:50 (green line) dilutions of primary antibody. This experiment was performed under reducing conditions on the Jess™ ​​​​​​​Simple Western instrument from ProteinSimple, a BioTechne brand, using the 12-230 kDa separation module.
undefined Image 49: Genetics of Parkinson's Disease: Lysosomal Dysfunction Antibody Sampler Kit
Simple Western™ analysis of lysates (0.5 mg/ml) from mouse brain lysates using Cathepsin D (E5V4H) Rabbit mAb #74089. The virtual lane view (left) shows the target band (as indicated) at 1:50 and 1:250 dilutions of primary antibody. The corresponding electropherogram view (right) plots chemiluminescence by molecular weight along the capillary at 1:50 (blue line) and 1:250 (green line) dilutions of primary antibody. This experiment was performed under reducing conditions on the Jess™ Simple Western instrument from ProteinSimple, a BioTechne brand, using the 12-230kDa.
undefined Image 50: Genetics of Parkinson's Disease: Lysosomal Dysfunction Antibody Sampler Kit
Simple Western™ analysis of lysates (1 mg/mL) from PC-12 cells using GCase/GBA (E2R1L) Rabbit mAb #88162. The virtual lane view (left) shows the target band (as indicated) at 1:10 and 1:50 dilutions of primary antibody. The corresponding electropherogram view (right) plots chemiluminescence by molecular weight along the capillary at 1:10 (blue line) and 1:50 (green line) dilutions of primary antibody. This experiment was performed under reducing conditions on the Jess™ ​​​​​​​ Simple Western instrument from ProteinSimple, a BioTechne brand, using the 12-230 kDa separation module.
undefined Image 51: Genetics of Parkinson's Disease: Lysosomal Dysfunction Antibody Sampler Kit
Orders: 877-616-CELL (2355) [email protected] Support: 877-678-TECH (8324) [email protected] Web: cellsignal.com
For Research Use Only. Not for Use in Diagnostic Procedures.