Revision 7

#80788

Store at -20C

CST Logo
Orders:

877-616-CELL (2355)

[email protected]

Support:

877-678-TECH (8324)

3 Trask Lane | Danvers | Massachusetts | 01923 | USA

For Research Use Only. Not for Use in Diagnostic Procedures.

Applications:
W, IHC-Bond, IHC-P, IF-F, IF-IC

Reactivity:
H M R Mk

Sensitivity:
Endogenous

MW (kDa):
50

Source/Isotype:
Rabbit IgG

UniProt ID:
#P14136

Entrez-Gene Id:
2670

Product Usage Information

Application Dilution
Western Blotting 1:1000
IHC Leica Bond 1:800 - 1:3200
Immunohistochemistry (Paraffin) 1:50 - 1:200
Immunofluorescence (Frozen) 1:200
Immunofluorescence (Immunocytochemistry) 1:200 - 1:800

Storage

Supplied in 10 mM sodium HEPES (pH 7.5), 150 mM NaCl, 100 µg/ml BSA, 50% glycerol and less than 0.02% sodium azide. Store at –20°C. Do not aliquot the antibody.

For a carrier free (BSA and azide free) version of this product see product #45946.

Specificity/Sensitivity

GFAP (E4L7M) Rabbit Monoclonal Antibody recognizes endogenous levels of total GFAP protein.

Source / Purification

Monoclonal antibody is produced by immunizing animals with recombinant protein specific to the human GFAP protein.

Background

The cytoskeleton consists of three types of cytosolic fibers: microfilaments (actin filaments), intermediate filaments, and microtubules. Major types of intermediate filaments are specifically expressed in particular cell types: cytokeratins in epithelial cells, glial fibrillary acidic protein (GFAP) in glial cells, desmin in skeletal, visceral, and certain vascular smooth muscle cells, vimentin in cells of mesenchymal origin, and neurofilaments in neurons. GFAP and vimentin form intermediate filaments in astroglial cells and modulate their motility and shape (1). In particular, vimentin filaments are present at early developmental stages, while GFAP filaments are characteristic of differentiated and mature brain astrocytes. Thus, GFAP is commonly used as a marker for intracranial and intraspinal tumors arising from astrocytes (2). In addition, GFAP intermediate filaments are also present in nonmyelin-forming Schwann cells in the peripheral nervous system (3).

Species Reactivity

Species reactivity is determined by testing in at least one approved application (e.g., western blot).

Western Blot Buffer

IMPORTANT: For western blots, incubate membrane with diluted primary antibody in 5% w/v BSA, 1X TBS, 0.1% Tween® 20 at 4°C with gentle shaking, overnight.

Applications Key

W: Western Blotting IHC-Bond: IHC Leica Bond IHC-P: Immunohistochemistry (Paraffin) IF-F: Immunofluorescence (Frozen) IF-IC: Immunofluorescence (Immunocytochemistry)

Cross-Reactivity Key

H: Human M: Mouse R: Rat Mk: Monkey

Trademarks and Patents

Cell Signaling Technology is a trademark of Cell Signaling Technology, Inc.

Alexa Fluor is a registered trademark of Life Technologies Corporation.

All other trademarks are the property of their respective owners. Visit cellsignal.com/trademarks for more information.

Limited Uses

Except as otherwise expressly agreed in a writing signed by a legally authorized representative of CST, the following terms apply to Products provided by CST, its affiliates or its distributors. Any Customer's terms and conditions that are in addition to, or different from, those contained herein, unless separately accepted in writing by a legally authorized representative of CST, are rejected and are of no force or effect.

Products are labeled with For Research Use Only or a similar labeling statement and have not been approved, cleared, or licensed by the FDA or other regulatory foreign or domestic entity, for any purpose. Customer shall not use any Product for any diagnostic or therapeutic purpose, or otherwise in any manner that conflicts with its labeling statement. Products sold or licensed by CST are provided for Customer as the end-user and solely for research and development uses. Any use of Product for diagnostic, prophylactic or therapeutic purposes, or any purchase of Product for resale (alone or as a component) or other commercial purpose, requires a separate license from CST. Customer shall (a) not sell, license, loan, donate or otherwise transfer or make available any Product to any third party, whether alone or in combination with other materials, or use the Products to manufacture any commercial products, (b) not copy, modify, reverse engineer, decompile, disassemble or otherwise attempt to discover the underlying structure or technology of the Products, or use the Products for the purpose of developing any products or services that would compete with CST products or services, (c) not alter or remove from the Products any trademarks, trade names, logos, patent or copyright notices or markings, (d) use the Products solely in accordance with CST Product Terms of Sale and any applicable documentation, and (e) comply with any license, terms of service or similar agreement with respect to any third party products or services used by Customer in connection with the Products.

Orders: 877-616-CELL (2355) [email protected] Support: 877-678-TECH (8324) [email protected] Web: cellsignal.com
For Research Use Only. Not for Use in Diagnostic Procedures.

Revision 7

Cell Signaling Technology Logo
Western blot analysis of extracts from various tissues and cell lines using GFAP (E4L7M) XP® Rabbit mAb and β-Actin (D6A8) Rabbit mAb #8457 (lower).
Western Blotting Image 1: GFAP (E4L7M) Rabbit Monoclonal Antibody
Immunohistochemical analysis of paraffin-embedded normal human brain using GFAP (E4L7M) XP® Rabbit mAb performed on the Leica BOND Rx.
Immunohistochemistry Image 1: GFAP (E4L7M) Rabbit Monoclonal Antibody
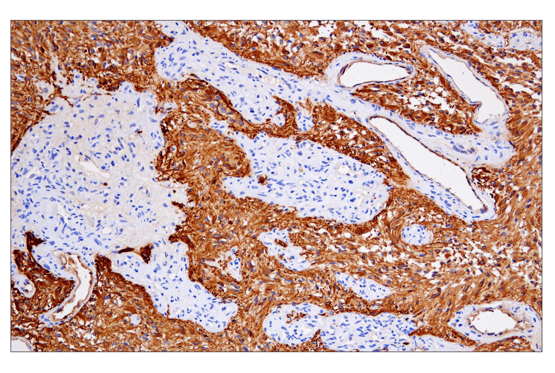
Immunohistochemical analysis of paraffin-embedded human medulloblastoma using GFAP (E4L7M) XP® Rabbit mAb performed on the Leica BOND Rx.
Immunohistochemistry Image 2: GFAP (E4L7M) Rabbit Monoclonal Antibody
Orders: 877-616-CELL (2355) [email protected] Support: 877-678-TECH (8324) [email protected] Web: cellsignal.com
For Research Use Only. Not for Use in Diagnostic Procedures.

Revision 7

Cell Signaling Technology Logo
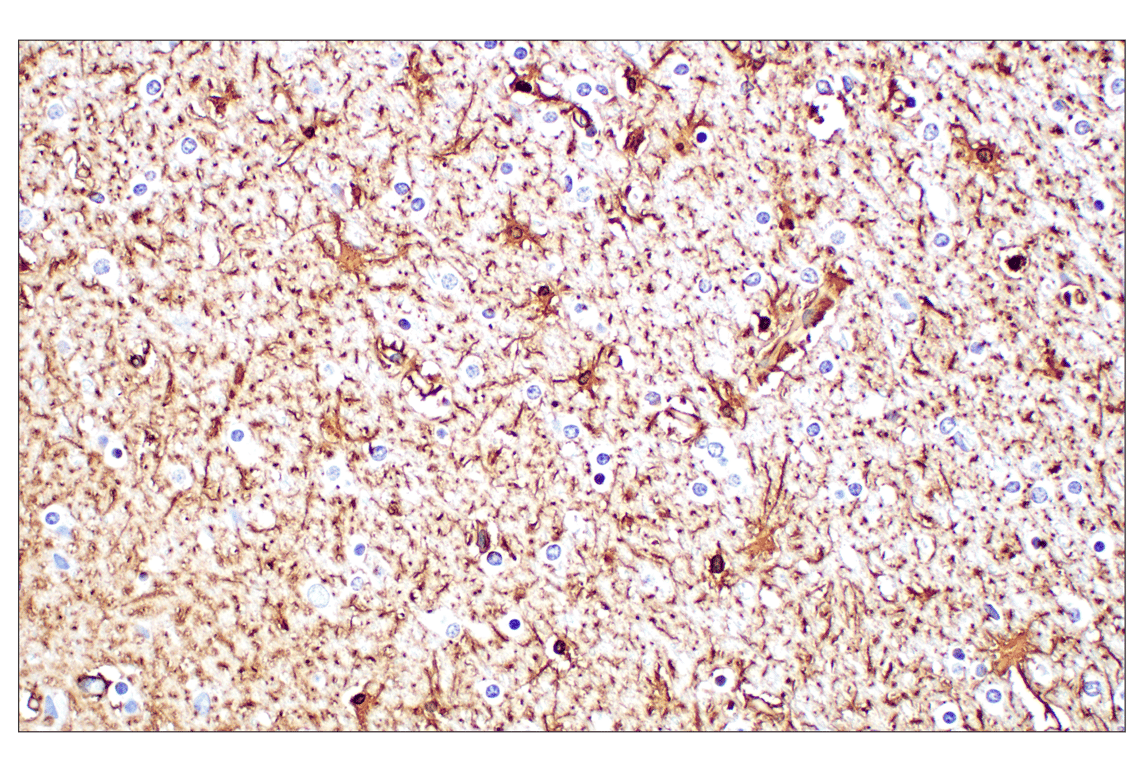
Immunohistochemical analysis of paraffin-embedded human glioblastoma using GFAP (E4L7M) XP® Rabbit mAb.
Immunohistochemistry Image 1: GFAP (E4L7M) Rabbit Monoclonal Antibody
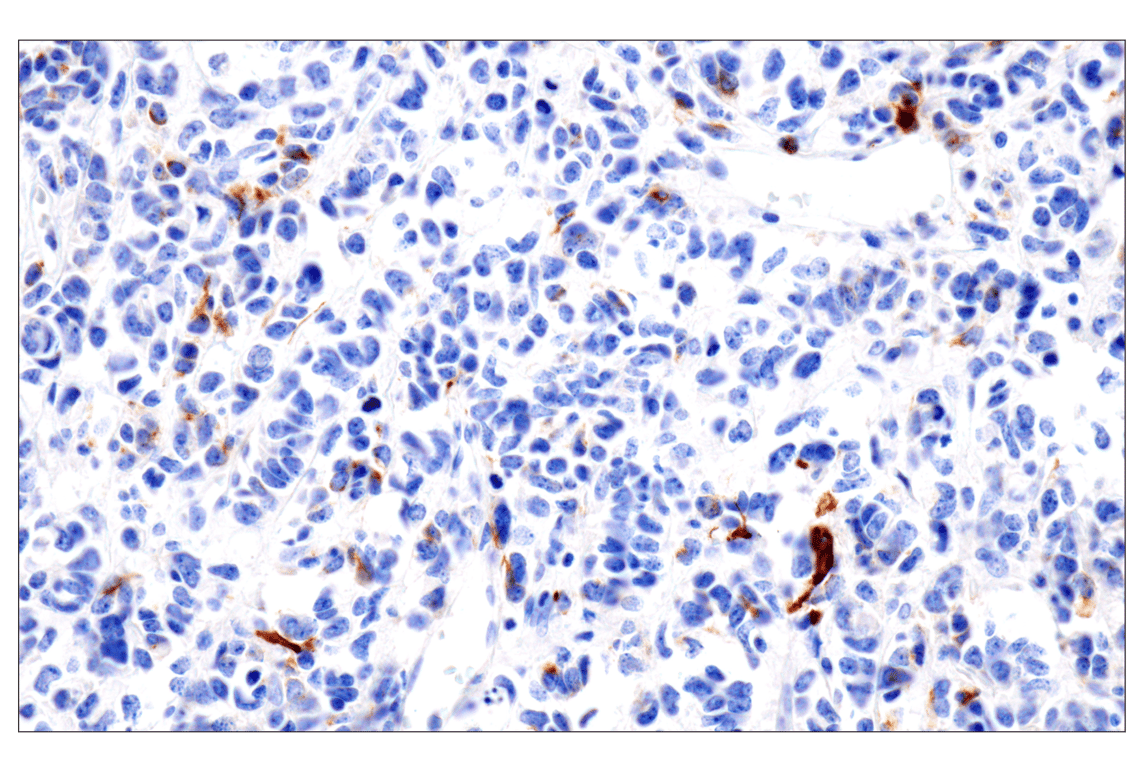
Immunohistochemical analysis of paraffin-embedded human medulloblastoma using GFAP (E4L7M) XP® Rabbit mAb.
Immunohistochemistry Image 2: GFAP (E4L7M) Rabbit Monoclonal Antibody
Immunohistochemical analysis of paraffin-embedded mouse hippocampus using GFAP (E4L7M) XP® Rabbit mAb (left) compared to concentration matched Rabbit (DA1E) mAb IgG XP® Isotype Control #3900 (right).
Immunohistochemistry Image 3: GFAP (E4L7M) Rabbit Monoclonal Antibody
Orders: 877-616-CELL (2355) [email protected] Support: 877-678-TECH (8324) [email protected] Web: cellsignal.com
For Research Use Only. Not for Use in Diagnostic Procedures.

Revision 7

Cell Signaling Technology Logo
Immunohistochemical analysis of various paraffin-embedded normal mouse tissues: brain cortex (top-left), colon (top-center), small intestine (top-right), liver (bottom-left), prostate (bottom-center) and skeletal muscle (bottom-right) using GFAP (E4L7M) XP® Rabbit mAb.
Immunohistochemistry Image 4: GFAP (E4L7M) Rabbit Monoclonal Antibody
Immunohistochemical analysis of paraffin-embedded rat brain, cortex (left) and cerebellum (right), using GFAP (E4L7M) XP® Rabbit mAb.
Immunohistochemistry Image 5: GFAP (E4L7M) Rabbit Monoclonal Antibody
Immunohistochemical analysis of paraffin-embedded normal cynomolgus monkey brain using GFAP (E4L7M) XP® Rabbit mAb.
Immunohistochemistry Image 6: GFAP (E4L7M) Rabbit Monoclonal Antibody
Orders: 877-616-CELL (2355) [email protected] Support: 877-678-TECH (8324) [email protected] Web: cellsignal.com
For Research Use Only. Not for Use in Diagnostic Procedures.

Revision 7

Cell Signaling Technology Logo
Immunohistochemical analysis of paraffin-embedded normal cynomolgus monkey brain using GFAP (E4L7M) XP® Rabbit mAb.
Immunohistochemistry Image 7: GFAP (E4L7M) Rabbit Monoclonal Antibody
Confocal immunofluorescent analysis of adult mouse cerebellum (left) and hippocampus (right) using GFAP (E4L7M) XP® Rabbit mAb (green). Samples were mounted in ProLong® Gold Antifade Reagent with DAPI #8961 (blue).
Immunofluorescence Image 1: GFAP (E4L7M) Rabbit Monoclonal Antibody
Confocal immunofluorescent analysis of U-251 MG cells (left, positive) or HeLa cells (right, negative) using GFAP (E4L7M) XP® Rabbit mAb #80788 (green). Actin filaments were labeled with DyLight™ 650 Phalloidin #12956 (red). Blue = DAPI #4083 (fluorescent DNA dye).
Immunofluorescence Image 1: GFAP (E4L7M) Rabbit Monoclonal Antibody
Orders: 877-616-CELL (2355) [email protected] Support: 877-678-TECH (8324) [email protected] Web: cellsignal.com
For Research Use Only. Not for Use in Diagnostic Procedures.