Revision 9

#2956

Store at -20C

CST Logo
Orders:

877-616-CELL (2355)

[email protected]

Support:

877-678-TECH (8324)

3 Trask Lane | Danvers | Massachusetts | 01923 | USA

For Research Use Only. Not for Use in Diagnostic Procedures.

Applications:
W, W-S, IHC-P

Reactivity:
All

Sensitivity:
Transfected Only

MW (kDa):
27

Source/Isotype:
Rabbit IgG

UniProt ID:
#P42212

Product Usage Information

Application Dilution
Western Blotting 1:1000
Simple Western™ 1:10 - 1:50
Immunohistochemistry (Paraffin) 1:100 - 1:400

Storage

Supplied in 10 mM sodium HEPES (pH 7.5), 150 mM NaCl, 100 µg/ml BSA, 50% glycerol and less than 0.02% sodium azide. Store at –20°C. Do not aliquot the antibody.

For a carrier free (BSA and azide free) version of this product see product #34664.

Specificity/Sensitivity

GFP (D5.1) Rabbit Monoclonal Antibody detects GFP, YFP, and CFP-tagged proteins exogenously expressed in cells. This antibody does not detect RFP-tagged proteins. Please note that the GFP, YFP, and CFP tags add approximately 27 kDa to the molecular weight of the fusion protein. Non-specific staining was observed in mouse brain by immunohistochemistry.

Source / Purification

Monoclonal antibody is produced by immunizing animals with a synthetic peptide corresponding to the amino terminus of GFP.

Background

Epitope tags are useful for the labeling and detection of proteins using immunoblotting, immunoprecipitation, and immunostaining techniques. Because of their small size, they are unlikely to affect the tagged protein’s biochemical properties.

The green-fluorescent protein (GFP) functions as a bioluminescence energy transfer acceptor in the jellyfish Aequorea that maximally absorbs light at 395 nm and has an emission spectrum that peaks at 509 nm. GFP has become a very useful tool as a fusion protein that reports gene expression, traces cell lineage and defines subcellular protein localization (1).

Species Reactivity

Species reactivity is determined by testing in at least one approved application (e.g., western blot).

Western Blot Buffer

IMPORTANT: For western blots, incubate membrane with diluted primary antibody in 5% w/v BSA, 1X TBS, 0.1% Tween® 20 at 4°C with gentle shaking, overnight.

Applications Key

W: Western Blotting W-S: Simple Western™ IHC-P: Immunohistochemistry (Paraffin)

Cross-Reactivity Key

All: All Species Expected

Trademarks and Patents

Cell Signaling Technology is a trademark of Cell Signaling Technology, Inc.

All other trademarks are the property of their respective owners. Visit cellsignal.com/trademarks for more information.

Limited Uses

Except as otherwise expressly agreed in a writing signed by a legally authorized representative of CST, the following terms apply to Products provided by CST, its affiliates or its distributors. Any Customer's terms and conditions that are in addition to, or different from, those contained herein, unless separately accepted in writing by a legally authorized representative of CST, are rejected and are of no force or effect.

Products are labeled with For Research Use Only or a similar labeling statement and have not been approved, cleared, or licensed by the FDA or other regulatory foreign or domestic entity, for any purpose. Customer shall not use any Product for any diagnostic or therapeutic purpose, or otherwise in any manner that conflicts with its labeling statement. Products sold or licensed by CST are provided for Customer as the end-user and solely for research and development uses. Any use of Product for diagnostic, prophylactic or therapeutic purposes, or any purchase of Product for resale (alone or as a component) or other commercial purpose, requires a separate license from CST. Customer shall (a) not sell, license, loan, donate or otherwise transfer or make available any Product to any third party, whether alone or in combination with other materials, or use the Products to manufacture any commercial products, (b) not copy, modify, reverse engineer, decompile, disassemble or otherwise attempt to discover the underlying structure or technology of the Products, or use the Products for the purpose of developing any products or services that would compete with CST products or services, (c) not alter or remove from the Products any trademarks, trade names, logos, patent or copyright notices or markings, (d) use the Products solely in accordance with CST Product Terms of Sale and any applicable documentation, and (e) comply with any license, terms of service or similar agreement with respect to any third party products or services used by Customer in connection with the Products.

Orders: 877-616-CELL (2355) [email protected] Support: 877-678-TECH (8324) [email protected] Web: cellsignal.com
For Research Use Only. Not for Use in Diagnostic Procedures.

Revision 9

Cell Signaling Technology Logo
Western blot analysis of extracts from HCC827 cells, untransfected or GFP-transfected, using GFP (D5.1) Rabbit mAb.
Western Blotting Image 1: GFP (D5.1) Rabbit Monoclonal Antibody
Simple Western™ analysis of lysates (0.1 mg/mL) from COS-7 cells transfected with GFP using GFP (D5.1) Rabbit mAb #2956. The virtual lane view (left) shows the target band (as indicated) at 1:10 and 1:50 dilutions of primary antibody. The corresponding electropherogram view (right) plots chemiluminescence by molecular weight along the capillary at 1:10 (blue line) and 1:50 (green line) dilutions of primary antibody. This experiment was performed under reducing conditions on the Jess™ Simple Western instrument from ProteinSimple, a BioTechne brand, using the 12-230 kDa separation module.
Western Blotting Image 1: GFP (D5.1) Rabbit Monoclonal Antibody
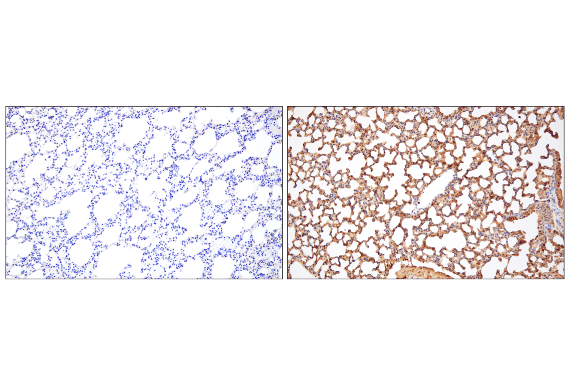
Immunohistochemical analysis of paraffin-embedded wild type C57BL/6 mouse lung (left) or B6-EGFP mouse lung (right, JAX stock ##003291) using GFP (D5.1) Rabbit Monoclonal Antibody.
Immunohistochemistry Image 1: GFP (D5.1) Rabbit Monoclonal Antibody
Orders: 877-616-CELL (2355) [email protected] Support: 877-678-TECH (8324) [email protected] Web: cellsignal.com
For Research Use Only. Not for Use in Diagnostic Procedures.

Revision 9

Cell Signaling Technology Logo
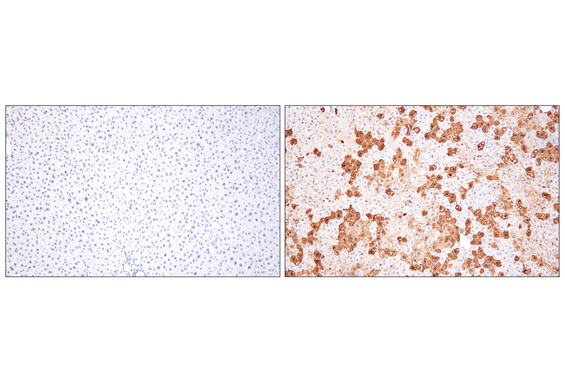
Immunohistochemical analysis of paraffin-embedded wild type C57BL/6 mouse liver (left) or B6-EGFP mouse liver (right, JAX stock ##003291) using GFP (D5.1) Rabbit Monoclonal Antibody.
Immunohistochemistry Image 2: GFP (D5.1) Rabbit Monoclonal Antibody
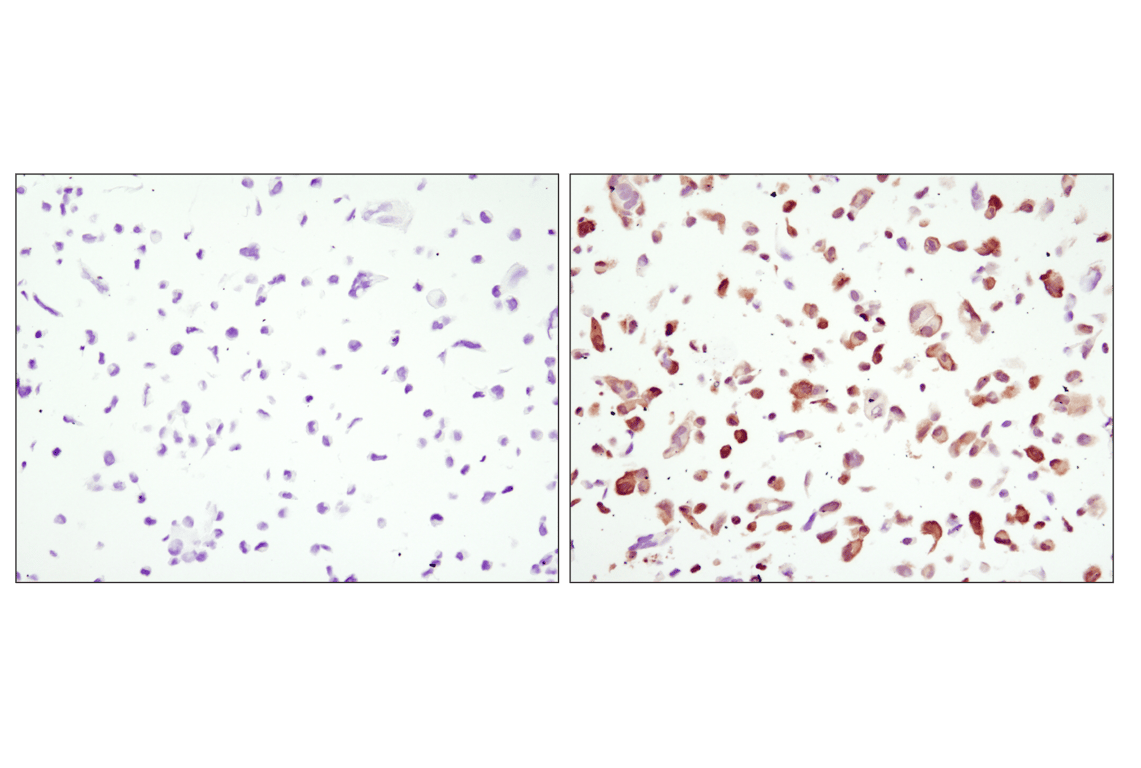
Immunohistochemical analysis of paraffin-embedded HCC827 cells, untransfected (left) or GFP-transfected (right), using GFP (D5.1) Rabbit mAb.
Immunohistochemistry Image 3: GFP (D5.1) Rabbit Monoclonal Antibody
Orders: 877-616-CELL (2355) [email protected] Support: 877-678-TECH (8324) [email protected] Web: cellsignal.com
For Research Use Only. Not for Use in Diagnostic Procedures.