Revision 2

#24200

Store at -20C

CST Logo
Orders:

877-616-CELL (2355)

[email protected]

Support:

877-678-TECH (8324)

3 Trask Lane | Danvers | Massachusetts | 01923 | USA

For Research Use Only. Not for Use in Diagnostic Procedures.

Applications:
W, IHC-Bond, IHC-P, IF-IC, FC-L

Reactivity:
H

Sensitivity:
Endogenous

MW (kDa):
25

Source/Isotype:
Rabbit IgG

UniProt ID:
#Q9Y5U5

Entrez-Gene Id:
8784

Product Usage Information

This product is the carrier free version of product #10419. All data were generated using the same antibody clone in the standard formulation which contains BSA and glycerol.

This formulation is ideal for use with technologies requiring specialized or custom antibody labeling, including fluorophores, metals, lanthanides, and oligonucleotides. It is not recommended for ChIP, ChIP-seq, CUT&RUN or CUT&Tag assays. If you require a carrier free formulation for chromatin profiling, please contact us. Optimal dilutions/concentrations should be determined by the end user.

BSA and Azide Free antibodies are quality control tested by size exclusion chromatography (SEC) to determine antibody integrity.

Formulation

Supplied in 1X PBS (10 mM Na2HPO4, 3 mM KCl, 2 mM KH2PO4, and 140 mM NaCl (pH 7.8)). BSA and Azide Free.

For standard formulation of this product see product #10419

Storage

Store at -20°C. This product will freeze at -20°C so it is recommended to aliquot into single-use vials to avoid multiple freeze/thaw cycles. A slight precipitate may be present and can be dissolved by gently vortexing. This will not interfere with antibody performance.

Specificity/Sensitivity

GITR (D5V7P) Rabbit Monoclonal Antibody (BSA and Azide Free) recognizes endogenous levels of total GITR protein.

Source / Purification

Monoclonal antibody is produced by immunizing animals with recombinant protein specific to the amino terminus of human GITR protein.

Background

TNFRSF18, also known as glucocorticoid-induced tumor necrosis factor-receptor (TNFR)-related protein (GITR) and activation-inducible TNFR family receptor, encodes a type 1 membrane protein of the TNF-receptor superfamily (1). Three alternatively spliced transcript variants encoding distinct isoforms have been reported (2). GITR is an immune cell co-stimulatory receptor expressed constitutively at high levels on CD4+CD25+ T regulatory cells (Tregs), at low levels on naïve and memory T cells, and is induced upon T cell activation (3-5). Studies show GITR can also be induced on NK cells, macrophages, and DCs (3,4,6). Although GITR does not have intrinsic enzymatic activity, TNFSF18 (also known as GITRL) expressed on antigen presenting cells binds to GITR, resulting in recruitment of TNFR-associated factor family members and activation of the NF-κB pathway in T cells (7). GITR ligation has been shown to play a role in CD8+ T cell activation, cytotoxicity, and memory T cell survival (8-10). In the thymus, GITR is thought to play a key role in dominant immunological self-tolerance through thymic Treg differentiation and expansion (11). Of note, GITR ligation inhibits Treg suppressive function (12-13) and promotes effector T cell resistance to Treg suppression (14-15). Due to the combined effects on both Treg suppression and effector cell activation, GITR represents a unique opportunity for immunotherapeutic intervention in cancer (16).

Species Reactivity

Species reactivity is determined by testing in at least one approved application (e.g., western blot).

Applications Key

W: Western Blotting IHC-Bond: IHC Leica Bond IHC-P: Immunohistochemistry (Paraffin) IF-IC: Immunofluorescence (Immunocytochemistry) FC-L: Flow Cytometry (Live)

Cross-Reactivity Key

H: Human

Trademarks and Patents

Cell Signaling Technology is a trademark of Cell Signaling Technology, Inc.

Alexa Fluor is a registered trademark of Life Technologies Corporation.

All other trademarks are the property of their respective owners. Visit cellsignal.com/trademarks for more information.

Limited Uses

Except as otherwise expressly agreed in a writing signed by a legally authorized representative of CST, the following terms apply to Products provided by CST, its affiliates or its distributors. Any Customer's terms and conditions that are in addition to, or different from, those contained herein, unless separately accepted in writing by a legally authorized representative of CST, are rejected and are of no force or effect.

Products are labeled with For Research Use Only or a similar labeling statement and have not been approved, cleared, or licensed by the FDA or other regulatory foreign or domestic entity, for any purpose. Customer shall not use any Product for any diagnostic or therapeutic purpose, or otherwise in any manner that conflicts with its labeling statement. Products sold or licensed by CST are provided for Customer as the end-user and solely for research and development uses. Any use of Product for diagnostic, prophylactic or therapeutic purposes, or any purchase of Product for resale (alone or as a component) or other commercial purpose, requires a separate license from CST. Customer shall (a) not sell, license, loan, donate or otherwise transfer or make available any Product to any third party, whether alone or in combination with other materials, or use the Products to manufacture any commercial products, (b) not copy, modify, reverse engineer, decompile, disassemble or otherwise attempt to discover the underlying structure or technology of the Products, or use the Products for the purpose of developing any products or services that would compete with CST products or services, (c) not alter or remove from the Products any trademarks, trade names, logos, patent or copyright notices or markings, (d) use the Products solely in accordance with CST Product Terms of Sale and any applicable documentation, and (e) comply with any license, terms of service or similar agreement with respect to any third party products or services used by Customer in connection with the Products.

Orders: 877-616-CELL (2355) [email protected] Support: 877-678-TECH (8324) [email protected] Web: cellsignal.com
For Research Use Only. Not for Use in Diagnostic Procedures.

Revision 2

Cell Signaling Technology Logo
Western blot analysis of extracts from HuT 102, human CD8+ T cells, and Jurkat cells using GITR (D5V7P) Rabbit mAb(upper), and β-Actin (D6A8) Rabbit mAb #8457 (lower). CD8+ T cells were purified from human blood and stimulated for 9 days using beads coated with CD3 and CD28 antibodies in the presence of human interleukin-2 (hIL-2)(6.7 ng/ml). Data were generated using the standard formulation of this product.
Western Blotting Image 1: GITR (D5V7P) Rabbit Monoclonal Antibody (BSA and Azide Free)
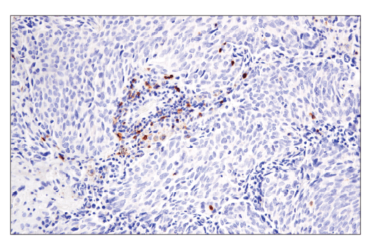
Immunohistochemical analysis of paraffin-embedded human colon carcinoma using GITR (D5V7P) Rabbit mAb performed on the Leica® BOND™ Rx. Data were generated using the standard formulation of this product.
Immunohistochemistry Image 1: GITR (D5V7P) Rabbit Monoclonal Antibody (BSA and Azide Free)
Immunohistochemical analysis of paraffin-embedded HuT 102 cell pellet (left, positive) or Jurkat cell pellet (right, negative) using GITR (D5V7P) Rabbit mAb. Data were generated using the standard formulation of this product.
Immunohistochemistry Image 1: GITR (D5V7P) Rabbit Monoclonal Antibody (BSA and Azide Free)
Orders: 877-616-CELL (2355) [email protected] Support: 877-678-TECH (8324) [email protected] Web: cellsignal.com
For Research Use Only. Not for Use in Diagnostic Procedures.

Revision 2

Cell Signaling Technology Logo
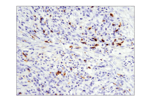
Immunohistochemical analysis of paraffin-embedded human colon carcinoma using GITR (D5V7P) Rabbit mAb. Data were generated using the standard formulation of this product.
Immunohistochemistry Image 2: GITR (D5V7P) Rabbit Monoclonal Antibody (BSA and Azide Free)
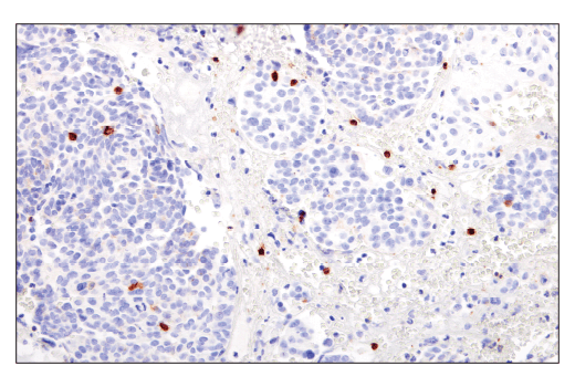
Immunohistochemical analysis of paraffin-embedded human B-cell non-Hodgkin's lymphoma using GITR (D5V7P) Rabbit mAb. Data were generated using the standard formulation of this product.
Immunohistochemistry Image 3: GITR (D5V7P) Rabbit Monoclonal Antibody (BSA and Azide Free)
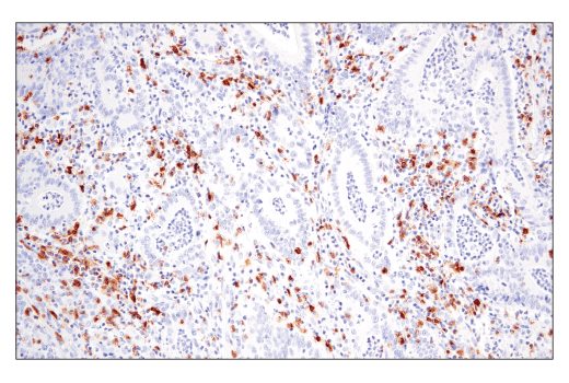
Immunohistochemical analysis of paraffin-embedded human ovarian serous carcinoma using GITR (D5V7P) Rabbit mAb. Data were generated using the standard formulation of this product.
Immunohistochemistry Image 4: GITR (D5V7P) Rabbit Monoclonal Antibody (BSA and Azide Free)
Orders: 877-616-CELL (2355) [email protected] Support: 877-678-TECH (8324) [email protected] Web: cellsignal.com
For Research Use Only. Not for Use in Diagnostic Procedures.

Revision 2

Cell Signaling Technology Logo
Immunohistochemical analysis of paraffin-embedded human lung adenocarcinoma using GITR (D5V7P) Rabbit mAb. Data were generated using the standard formulation of this product.
Immunohistochemistry Image 5: GITR (D5V7P) Rabbit Monoclonal Antibody (BSA and Azide Free)
Confocal immunofluorescent analysis of HuT 102 (left, positive) and Jurkat (right, negative) cells using GITR (D5V7P) Rabbit mAb (green). Blue = Hoechst 33342 #4082 (fluorescent DNA dye). Data were generated using the standard formulation of this product.
Immunofluorescence Image 1: GITR (D5V7P) Rabbit Monoclonal Antibody (BSA and Azide Free)
Flow cytometric analysis of Jurkat cells (blue) and Hut102 cells (green), using GITR (D5V7P) Rabbit mAb (solid lines) or concentration-matched Rabbit (DA1E) mAb IgG XP® Isotype control #3900 (dashed lines). Anti-rabbit IgG (H+L), F(ab')2 Fragment (Alexa Fluor® 488 Conjugate) #4412 was used as a secondary antibody. Data were generated using the standard formulation of this product.
Flow Cytometry Image 1: GITR (D5V7P) Rabbit Monoclonal Antibody (BSA and Azide Free)
Orders: 877-616-CELL (2355) [email protected] Support: 877-678-TECH (8324) [email protected] Web: cellsignal.com
For Research Use Only. Not for Use in Diagnostic Procedures.

Revision 2

Cell Signaling Technology Logo
Flow cytometric analysis of human peripheral blood mononuclear cells, untreated (left column) or treated with anti-CD3 (10 μg/ml, 72h) and anti-CD28 (5 μg/ml, 72h; right column), using GITR (D5V7P) Rabbit mAb (upper row) or concentration-matched Rabbit (DA1E) mAb IgG XP® Isotype control #3900 (bottom row), and co-stained with a CD3 antibody. Anti-rabbit IgG (H+L), F(ab')2 Fragment (Alexa Fluor® 488 Conjugate) #4412 was used as a secondary antibody. Analysis was performed on CD3+ cells. Data were generated using the standard formulation of this product.
Flow Cytometry Image 2: GITR (D5V7P) Rabbit Monoclonal Antibody (BSA and Azide Free)
Orders: 877-616-CELL (2355) [email protected] Support: 877-678-TECH (8324) [email protected] Web: cellsignal.com
For Research Use Only. Not for Use in Diagnostic Procedures.