Revision 3

#68014

Store at -20C

CST Logo
Orders:

877-616-CELL (2355)

[email protected]

Support:

877-678-TECH (8324)

3 Trask Lane | Danvers | Massachusetts | 01923 | USA

For Research Use Only. Not for Use in Diagnostic Procedures.

Applications:
W, IHC-Bond, IHC-P

Reactivity:
H

Sensitivity:
Endogenous

MW (kDa):
25

Source/Isotype:
Rabbit IgG

UniProt ID:
#Q9Y5U5

Entrez-Gene Id:
8784

Product Usage Information

Application Dilution
Western Blotting 1:1000
IHC Leica Bond 1:400
Immunohistochemistry (Paraffin) 1:400

Storage

Supplied in 10 mM sodium HEPES (pH 7.5), 150 mM NaCl, 100 µg/ml BSA, 50% glycerol and less than 0.02% sodium azide. Store at –20°C. Do not aliquot the antibody.

For a carrier-free (BSA and azide free) version of this product see product #77770

Specificity/Sensitivity

GITR (D9I9D) Rabbit Monoclonal Antibody #68014 recognizes endogenous levels of total GITR protein.

Species predicted to react based on 100% sequence homology

Monkey

Source / Purification

Monoclonal antibody is produced by immunizing animals with a synthetic peptide corresponding to residues surrounding Val142 of human GITR protein.

Background

TNFRSF18, also known as glucocorticoid-induced tumor necrosis factor-receptor (TNFR)-related protein (GITR) and activation-inducible TNFR family receptor, encodes a type 1 membrane protein of the TNF-receptor superfamily (1). Three alternatively spliced transcript variants encoding distinct isoforms have been reported (2). GITR is an immune cell co-stimulatory receptor expressed constitutively at high levels on CD4+CD25+ T regulatory cells (Tregs), at low levels on naïve and memory T cells, and is induced upon T cell activation (3-5). Studies show GITR can also be induced on NK cells, macrophages, and DCs (3,4,6). Although GITR does not have intrinsic enzymatic activity, TNFSF18 (also known as GITRL) expressed on antigen presenting cells binds to GITR, resulting in recruitment of TNFR-associated factor family members and activation of the NF-κB pathway in T cells (7). GITR ligation has been shown to play a role in CD8+ T cell activation, cytotoxicity, and memory T cell survival (8-10). In the thymus, GITR is thought to play a key role in dominant immunological self-tolerance through thymic Treg differentiation and expansion (11). Of note, GITR ligation inhibits Treg suppressive function (12-13) and promotes effector T cell resistance to Treg suppression (14-15). Due to the combined effects on both Treg suppression and effector cell activation, GITR represents a unique opportunity for immunotherapeutic intervention in cancer (16).

Species Reactivity

Species reactivity is determined by testing in at least one approved application (e.g., western blot).

Western Blot Buffer

IMPORTANT: For western blots, incubate membrane with diluted primary antibody in 5% w/v BSA, 1X TBS, 0.1% Tween® 20 at 4°C with gentle shaking, overnight.

Applications Key

W: Western Blotting IHC-Bond: IHC Leica Bond IHC-P: Immunohistochemistry (Paraffin)

Cross-Reactivity Key

H: Human

Trademarks and Patents

Cell Signaling Technology is a trademark of Cell Signaling Technology, Inc.

SignalStain is a registered trademark of Cell Signaling Technology, Inc.

All other trademarks are the property of their respective owners. Visit cellsignal.com/trademarks for more information.

Limited Uses

Except as otherwise expressly agreed in a writing signed by a legally authorized representative of CST, the following terms apply to Products provided by CST, its affiliates or its distributors. Any Customer's terms and conditions that are in addition to, or different from, those contained herein, unless separately accepted in writing by a legally authorized representative of CST, are rejected and are of no force or effect.

Products are labeled with For Research Use Only or a similar labeling statement and have not been approved, cleared, or licensed by the FDA or other regulatory foreign or domestic entity, for any purpose. Customer shall not use any Product for any diagnostic or therapeutic purpose, or otherwise in any manner that conflicts with its labeling statement. Products sold or licensed by CST are provided for Customer as the end-user and solely for research and development uses. Any use of Product for diagnostic, prophylactic or therapeutic purposes, or any purchase of Product for resale (alone or as a component) or other commercial purpose, requires a separate license from CST. Customer shall (a) not sell, license, loan, donate or otherwise transfer or make available any Product to any third party, whether alone or in combination with other materials, or use the Products to manufacture any commercial products, (b) not copy, modify, reverse engineer, decompile, disassemble or otherwise attempt to discover the underlying structure or technology of the Products, or use the Products for the purpose of developing any products or services that would compete with CST products or services, (c) not alter or remove from the Products any trademarks, trade names, logos, patent or copyright notices or markings, (d) use the Products solely in accordance with CST Product Terms of Sale and any applicable documentation, and (e) comply with any license, terms of service or similar agreement with respect to any third party products or services used by Customer in connection with the Products.

Orders: 877-616-CELL (2355) [email protected] Support: 877-678-TECH (8324) [email protected] Web: cellsignal.com
For Research Use Only. Not for Use in Diagnostic Procedures.

Revision 3

Cell Signaling Technology Logo
Western blot analysis of extracts from human CD8+ T cells, HuT 102, and Jurkat cells using GITR (D9I9D) Rabbit mAb (upper), and β-Actin (D6A8) Rabbit mAb #8457 (lower). CD8+ T cells were purified from human blood and stimulated for 9 days using beads coated with CD3 and CD28 antibodies in the presence of human interleukin-2 (hIL-2) #8907 (6.7 ng/ml).
Western Blotting Image 1: GITR (D9I9D) Rabbit Monoclonal Antibody
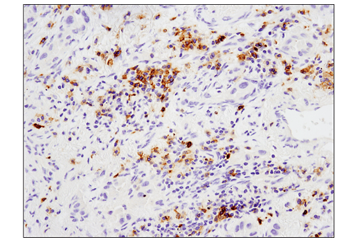
Immunohistochemical analysis of paraffin-embedded human non-small cell lung carcinoma using GITR (D9I9D) Rabbit mAb performed on the Leica® BOND™ Rx.
Immunohistochemistry Image 1: GITR (D9I9D) Rabbit Monoclonal Antibody
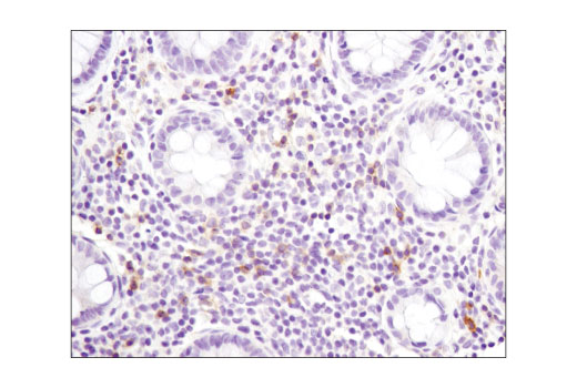
Immunohistochemical analysis of paraffin-embedded human colon carcinoma using GITR (D9I9D) Rabbit mAb.
Immunohistochemistry Image 1: GITR (D9I9D) Rabbit Monoclonal Antibody
Orders: 877-616-CELL (2355) [email protected] Support: 877-678-TECH (8324) [email protected] Web: cellsignal.com
For Research Use Only. Not for Use in Diagnostic Procedures.

Revision 3

Cell Signaling Technology Logo
Immunohistochemical analysis of paraffin-embedded human HuT 102 (left) and Jurkat (right) cell pellets using GITR (D9I9D) Rabbit mAb.
Immunohistochemistry Image 2: GITR (D9I9D) Rabbit Monoclonal Antibody
Immunohistochemical analysis of paraffin-embedded human lung carcinoma using GITR (D9I9D) Rabbit mAb.
Immunohistochemistry Image 3: GITR (D9I9D) Rabbit Monoclonal Antibody
Orders: 877-616-CELL (2355) [email protected] Support: 877-678-TECH (8324) [email protected] Web: cellsignal.com
For Research Use Only. Not for Use in Diagnostic Procedures.