Revision 1

#72624

Store at -20C

Gluconeogenesis Antibody Sampler Kit

1 Kit

(6 x 20 microliters)

CST Logo
Orders:

877-616-CELL (2355)

[email protected]

Support:

877-678-TECH (8324)

3 Trask Lane | Danvers | Massachusetts | 01923 | USA

For Research Use Only. Not for Use in Diagnostic Procedures.

Product Includes Product # Quantity Mol. Wt Isotype/Source
Enolase-1 Antibody381020 µl47 kDaRabbit
Enolase-2 (E2H9X) Rabbit Monoclonal Antibody2433020 µl47 kDaRabbit IgG
FBP1/FBPase 1 (D2T7F) Rabbit Monoclonal Antibody5917220 µl39 kDaRabbit IgG
GPI (E2Q8J) Rabbit Monoclonal Antibody9406820 µl60 kDaRabbit IgG
PCK1 (D12F5) Rabbit Monoclonal Antibody1294020 µl63 kDaRabbit IgG
PCK2 (D3E11) Rabbit Monoclonal Antibody856520 µl71 kDaRabbit IgG
PGAM1 (D3J9T) Rabbit Monoclonal Antibody1209820 µl28 kDaRabbit IgG
PGK1 Antibody6854020 µl43 kDaRabbit
Pyruvate Carboxylase Antibody6647020 µl130 kDaRabbit
Anti-rabbit IgG, HRP-linked Antibody7074100 µlGoat

Please visit cellsignal.com for individual component applications, species cross-reactivity, dilutions, protocols, and additional product information.

Description

The Gluconeogenesis Antibody Sampler Kit provides an economical means of detecting select components involved in the gluconeogenesis metabolism pathway. The kit includes enough antibodies to perform two western blot experiments with each primary antibody.

Storage

Supplied in 10 mM sodium HEPES (pH 7.5), 150 mM NaCl, 100 µg/ml BSA, 50% glycerol and less than 0.02% sodium azide. Store at –20°C. Do not aliquot the antibodies.

Background

Enolase is an important glycolytic enzyme involved in the interconversion of 2-phosphoglycerate to phosphoenolpyruvate. Mammalian enolase exists as three subunits: enolase-1 (α-enolase), enolase-2 (γ-enolase), and enolase-3 (β-enolase). Expression of the enolase isoforms differs in a tissue specific manner (1). Enolase-1 plays a key role in anaerobic metabolism under hypoxic conditions and may act as a cell surface plasminogen receptor during tissue invasion (2,3). Abnormal expression of enolase-1 is associated with tumor progression in some cases of breast and lung cancer (4-7). Alternatively, an enolase-1 splice variant (MBP-1) binds the c-myc promoter p2 and may function as a tumor suppressor. For this reason, enolase-1 is considered as a potential therapeutic target in the treatment of some forms of cancer (8). Research studies have shown elevated levels of neuron-specific enolase-2 in neuroblastoma (1) and small-cell lung cancer (9,10). Fructose-1,6-bisphosphatase 1 (FBP1 or FBPase 1), a rate-limiting enzyme in gluconeogenesis, catalyzes the conversion of fructose-1,6-bisphosphate to fructose-6-phosphate (11). Inhibition of FBP1 expression in basal-like breast cancer (BLBC) cells leads to metabolic reprogramming, including enhanced glycolysis, which leads to increased glucose uptake, biosynthesis of macromolecules, and activation of PKM2 (11). This metabolic reprogramming endows tumor cells with cancer stem cell (CSC)-like properties, thereby increasing their tumorigenicity (11). Depletion of FBP1 was also reported in more than 600 clear cell renal cell carcinoma (ccRCC) tumors, suggesting that FBP1 may inhibit ccRCC tumor progression (12). Glucose-6-phosphate isomerase (GPI) is a multi-functional protein belonging to the glucose phosphate isomerase family (13,14). As an intracellular metabolic enzyme, GPI plays a pivotal role in glycolysis and gluconeogenesis by catalyzing the interconversion of D-glucose-6-phosphate and D-fructose-6-phosphate (15). GPI is also secreted, where it functions as a cytokine (referred to as Autocrine Motility Factor, AMF), acting via the E3-ubiquitin-protein ligase AMFR/gp78 (16). In normal tissues, GPI/AMF has been shown to promote both immune cell maturation and neuronal cell survival (17,18). It is also secreted in abundance by some tumor cells (19), where it has been shown to promote tumor cell migration and metastasis (20,21). Phosphoenolpyruvate carboxykinase 1 (PCK1, PEPCK1, or PEPCK-C) is a cytosolic enzyme responsible for the conversion of oxaloacetate to phosphoenolpyruvate (22). PCK1 and PCK2 are involved in controlling the rate-limiting step of gluconeogenesis in the liver, which generates glucose from non-carbohydrate substrates, such as lactate and glycerol (23, 24). PCK2 (PEPCK2 or PEPCK-M) encodes an isoform of phosphoenolpyruvate carboxykinase (PEPCK) that is found in the mitochondria of renal and hepatic tissues (22). Phosphoglycerate mutase (PGAM1) catalyzes the conversion of 3-phosphoglycerate to 2-phosphoglycerate during glycolysis (25-29). Research studies have shown increased PGAM1 expression in cancer (25-28) and mental disease (29). PGK1 (phosphoglycerate kinase) is an essential enzyme in the glycolysis pathway (30). It catalyzes the reversible phospho-transfer reaction from 1,3-diphosphoglycerate to ADP to form ATP and 3-phosphoglycerate. The expression of PGK1 is upregulated in many cancer types and plays an important role in cancer cell proliferation and metastasis (31-34). Pyruvate carboxylase (PC) catalyzes the carboxylation of pyruvate to oxaloacetate to replenish TCA cycle intermediates. It is also critical in regulating gluconeogenesis in the liver (35).

Background References

  1. Pancholi, V. (2001) Cell Mol Life Sci 58, 902-20.
  2. Redlitz, A. et al. (1995) Eur J Biochem 227, 407-15.
  3. Jiang, B.H. et al. (1997) Cancer Res 57, 5328-35.
  4. Peebles, K.A. et al. (2003) Carcinogenesis 24, 651-7.
  5. Zhang, L. et al. (2000) J Surg Res 93, 108-19.
  6. Wu, W. et al. (2002) Clin Exp Metastasis 19, 319-26.
  7. Hennipman, A. et al. (1988) Tumour Biol 9, 241-8.
  8. Feo, S. et al. (2000) FEBS Lett 473, 47-52.
  9. Stern, P. et al. (2007) Tumour Biol 28, 84-92.
  10. O'Shea, P. et al. (1995) Ir J Med Sci 164, 31-6.
  11. Dong, C. et al. (2013) Cancer Cell 23, 316-31.
  12. Li, B. et al. (2014) Nature 513, 251-5.
  13. Haga, A. et al. (2000) Biochim Biophys Acta 1480, 235-44.
  14. Jeffery, C.J. et al. (2000) Biochemistry 39, 955-64.
  15. Kim, J.W. and Dang, C.V. (2005) Trends Biochem Sci 30, 142-50.
  16. Fairbank, M. et al. (2009) Mol Biosyst 5, 793-801.
  17. Gurney, M.E. et al. (1986) Science 234, 574-81.
  18. Gurney, M.E. et al. (1986) Science 234, 566-74.
  19. Lucarelli, G. et al. (2015) Medicine (Baltimore) 94, e2117.
  20. Liotta, L.A. et al. (1986) Proc Natl Acad Sci U S A 83, 3302-6.
  21. Funasaka, T. and Raz, A. (2007) Cancer Metastasis Rev 26, 725-35.
  22. Caton, P.W. et al. (2009) Life Sci 84, 738-44.
  23. Yoon, J.C. et al. (2001) Nature 413, 131-8.
  24. Fischer, S. et al. (2010) Biol Reprod 83, 859-65.
  25. Vander Heiden, M.G. et al. (2010) Science 329, 1492-9.
  26. Jacobowitz, D.M. et al. (2008) Microvasc Res 76, 89-93.
  27. Ren, F. et al. (2010) Mol Cancer 9, 81.
  28. Evans, M.J. et al. (2005) Nat Biotechnol 23, 1303-7.
  29. Martins-de-Souza, D. et al. (2009) BMC Psychiatry 9, 17.
  30. Beutler, E. (2007) Br J Haematol 136, 3-11.
  31. Wilson, R.B. et al. (2019) Pleura Peritoneum 4, 20190003.
  32. Yu, T. et al. (2017) Cancer Res 77, 5782-5794.
  33. Hu, H. et al. (2017) Hepatology 65, 515-528.
  34. Cao, H. et al. (2017) Cancer Chemother Pharmacol 79, 985-994.
  35. Cappel, D.A. et al. (2019) Cell Metab 29, 1291-1305.e8.

Trademarks and Patents

Cell Signaling Technology is a trademark of Cell Signaling Technology, Inc.

All other trademarks are the property of their respective owners. Visit cellsignal.com/trademarks for more information.

Limited Uses

Except as otherwise expressly agreed in a writing signed by a legally authorized representative of CST, the following terms apply to Products provided by CST, its affiliates or its distributors. Any Customer's terms and conditions that are in addition to, or different from, those contained herein, unless separately accepted in writing by a legally authorized representative of CST, are rejected and are of no force or effect.

Products are labeled with For Research Use Only or a similar labeling statement and have not been approved, cleared, or licensed by the FDA or other regulatory foreign or domestic entity, for any purpose. Customer shall not use any Product for any diagnostic or therapeutic purpose, or otherwise in any manner that conflicts with its labeling statement. Products sold or licensed by CST are provided for Customer as the end-user and solely for research and development uses. Any use of Product for diagnostic, prophylactic or therapeutic purposes, or any purchase of Product for resale (alone or as a component) or other commercial purpose, requires a separate license from CST. Customer shall (a) not sell, license, loan, donate or otherwise transfer or make available any Product to any third party, whether alone or in combination with other materials, or use the Products to manufacture any commercial products, (b) not copy, modify, reverse engineer, decompile, disassemble or otherwise attempt to discover the underlying structure or technology of the Products, or use the Products for the purpose of developing any products or services that would compete with CST products or services, (c) not alter or remove from the Products any trademarks, trade names, logos, patent or copyright notices or markings, (d) use the Products solely in accordance with CST Product Terms of Sale and any applicable documentation, and (e) comply with any license, terms of service or similar agreement with respect to any third party products or services used by Customer in connection with the Products.

Orders: 877-616-CELL (2355) [email protected] Support: 877-678-TECH (8324) [email protected] Web: cellsignal.com
For Research Use Only. Not for Use in Diagnostic Procedures.

Revision 1

Cell Signaling Technology Logo
Western blot analysis of extracts from various cell lines using PGAM1 (D3J9T) Rabbit mAb.
undefined Image 1: Gluconeogenesis Antibody Sampler Kit
Western blot analysis of extracts from various cell lines using PCK1 (D12F5) Rabbit mAb.
undefined Image 2: Gluconeogenesis Antibody Sampler Kit
Western blot analysis of extracts from mouse brain, rat brain, human brain, and mouse liver using Enolase-2 (E2H9X) XP® Rabbit mAb (upper) and β-Actin (D6A8) Rabbit mAb #8457 (lower).
undefined Image 3: Gluconeogenesis Antibody Sampler Kit
Orders: 877-616-CELL (2355) [email protected] Support: 877-678-TECH (8324) [email protected] Web: cellsignal.com
For Research Use Only. Not for Use in Diagnostic Procedures.

Revision 1

Cell Signaling Technology Logo
Western blot analysis of SH-SY5Y Cell Extracts, untreated (-) or Enolase-1 knock-out (+) using Enolase-1 Antibody #3810 (upper) or β-Actin (D6A8) Rabbit mAb #8457 (lower).
undefined Image 4: Gluconeogenesis Antibody Sampler Kit
Western blot analysis of extracts from MCF7 cells and various tissues using FBP1/FBPase 1 (D2T7F) Rabbit mAb.
undefined Image 5: Gluconeogenesis Antibody Sampler Kit
Western blot analysis of extracts from various cell lines using Pyruvate Carboxylase Antibody.
undefined Image 6: Gluconeogenesis Antibody Sampler Kit
Orders: 877-616-CELL (2355) [email protected] Support: 877-678-TECH (8324) [email protected] Web: cellsignal.com
For Research Use Only. Not for Use in Diagnostic Procedures.

Revision 1

Cell Signaling Technology Logo
Western blot analysis of extracts from various cell lines using PGK1 Antibody (upper) and β-Actin (D6A8) Rabbit mAb #8457 (lower).
undefined Image 7: Gluconeogenesis Antibody Sampler Kit
After the primary antibody is bound to the target protein, a complex with HRP-linked secondary antibody is formed. The LumiGLO® is added and emits light during enzyme catalyzed decomposition.
undefined Image 8: Gluconeogenesis Antibody Sampler Kit
Western blot analysis of extracts from various cell lines using PCK2 (D3E11) Rabbit mAb.
undefined Image 9: Gluconeogenesis Antibody Sampler Kit
Orders: 877-616-CELL (2355) [email protected] Support: 877-678-TECH (8324) [email protected] Web: cellsignal.com
For Research Use Only. Not for Use in Diagnostic Procedures.

Revision 1

Cell Signaling Technology Logo
Immunohistochemical analysis of paraffin-embedded human urothelial carcinoma using GPI (E2Q8J) XP® Rabbit mAb.
undefined Image 10: Gluconeogenesis Antibody Sampler Kit
Western blot analysis of extracts from 293T cells, mock transfected (lane 1) or transiently transfected with plasmid encoding Myc/DDK-tagged GPI protein (lane 2), using GPI (E2Q8J) XP® Rabbit mAb (upper), Myc-Tag (71D10) Rabbit mAb #2278 (middle), and GAPDH (D16H11) XP® Rabbit mAb #5174 (lower).
undefined Image 11: Gluconeogenesis Antibody Sampler Kit
Western blot analysis of extracts from various cell lines using GPI (E2Q8J) XP® Rabbit mAb (upper) and GAPDH (D16H11) XP® Rabbit mAb #5174 (lower). Expression levels of GPI among cell lines are consistent with expectations based on publicly available bioinformatic databases, confirming specificity of the antibody for GPI.
undefined Image 12: Gluconeogenesis Antibody Sampler Kit
Orders: 877-616-CELL (2355) [email protected] Support: 877-678-TECH (8324) [email protected] Web: cellsignal.com
For Research Use Only. Not for Use in Diagnostic Procedures.

Revision 1

Cell Signaling Technology Logo
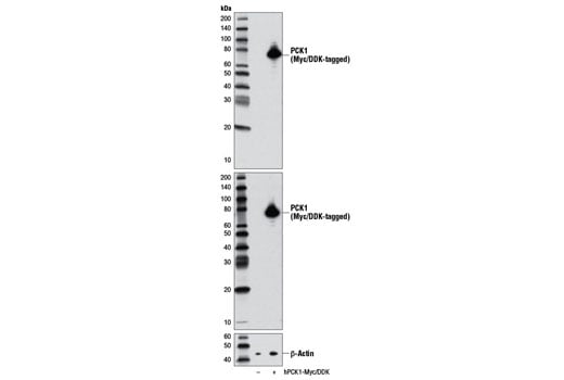
Western blot analysis of extracts from 293 cells, mock transfected (-) or transfected with a construct expressing Myc/DDK-tagged full-length human PCK1 (hPCK1-Myc/DDK; +), using PCK1 (D12F5) Rabbit mAb (upper), DYKDDDDK Tag (9A3) Mouse mAb #8146 (middle), or β-Actin (D6A8) Rabbit mAb #8457 (lower).
undefined Image 13: Gluconeogenesis Antibody Sampler Kit
Immunohistochemical analysis of paraffin-embedded human bladder adenocarcinoma using Enolase-2 (E2H9X) XP® Rabbit mAb (left) compared to concentration-matched Rabbit (DA1E) mAb IgG XP® Isotype Control #3900 (right).
undefined Image 14: Gluconeogenesis Antibody Sampler Kit
Western blot analysis of extracts from various cell types using Enolase-1 Antibody.
undefined Image 15: Gluconeogenesis Antibody Sampler Kit
Orders: 877-616-CELL (2355) [email protected] Support: 877-678-TECH (8324) [email protected] Web: cellsignal.com
For Research Use Only. Not for Use in Diagnostic Procedures.

Revision 1

Cell Signaling Technology Logo
Confocal immunofluorescent analysis of HeLa cells uisng PCK2 (D3E11) Rabbit mAb (green) showing colocalization with mitochondria that were labeled with MitoTracker® Red CMXRos (red). Blue pseudocolor = DRAQ5® #4084 (fluorescent DNA dye).
undefined Image 16: Gluconeogenesis Antibody Sampler Kit
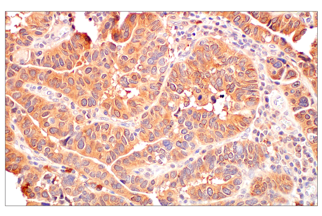
Immunohistochemical analysis of paraffin-embedded human colon adenocarcinoma using GPI (E2Q8J) XP® Rabbit mAb.
undefined Image 17: Gluconeogenesis Antibody Sampler Kit
Immunohistochemical analysis of paraffin-embedded human ductal breast carcinoma using Enolase-2 (E2H9X) XP® Rabbit mAb.
undefined Image 18: Gluconeogenesis Antibody Sampler Kit
Orders: 877-616-CELL (2355) [email protected] Support: 877-678-TECH (8324) [email protected] Web: cellsignal.com
For Research Use Only. Not for Use in Diagnostic Procedures.

Revision 1

Cell Signaling Technology Logo
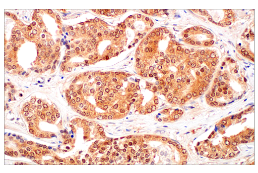
Immunohistochemical analysis of paraffin-embedded human prostate adenocarcinoma using GPI (E2Q8J) XP® Rabbit mAb.
undefined Image 19: Gluconeogenesis Antibody Sampler Kit
Immunohistochemical analysis of paraffin-embedded human colon adenocarcinoma using Enolase-2 (E2H9X) XP® Rabbit mAb.
undefined Image 20: Gluconeogenesis Antibody Sampler Kit
Immunohistochemical analysis of paraffin-embedded human non-Hodgkin lymphoma using GPI (E2Q8J) XP® Rabbit mAb.
undefined Image 21: Gluconeogenesis Antibody Sampler Kit
Orders: 877-616-CELL (2355) [email protected] Support: 877-678-TECH (8324) [email protected] Web: cellsignal.com
For Research Use Only. Not for Use in Diagnostic Procedures.

Revision 1

Cell Signaling Technology Logo
Immunohistochemical analysis of paraffin-embedded human mucoepidermoid carcinoma of the larynx using Enolase-2 (E2H9X) XP® Rabbit mAb.
undefined Image 22: Gluconeogenesis Antibody Sampler Kit
Immunohistochemical analysis of paraffin-embedded human colon adenocarcinoma using GPI (E2Q8J) XP® Rabbit mAb.
undefined Image 23: Gluconeogenesis Antibody Sampler Kit
Immunohistochemical analysis of paraffin-embedded mouse brain using Enolase-2 (E2H9X) XP® Rabbit mAb.
undefined Image 24: Gluconeogenesis Antibody Sampler Kit
Orders: 877-616-CELL (2355) [email protected] Support: 877-678-TECH (8324) [email protected] Web: cellsignal.com
For Research Use Only. Not for Use in Diagnostic Procedures.

Revision 1

Cell Signaling Technology Logo
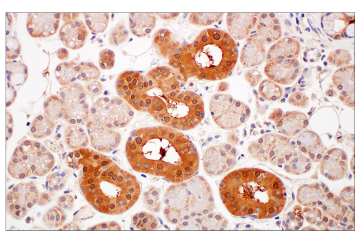
Immunohistochemical analysis of paraffin-embedded normal human salivary gland using GPI (E2Q8J) XP® Rabbit mAb.
undefined Image 25: Gluconeogenesis Antibody Sampler Kit
Immunohistochemical analysis of paraffin-embedded mouse pancreas using Enolase-2 (E2H9X) XP® Rabbit mAb.
undefined Image 26: Gluconeogenesis Antibody Sampler Kit
Immunohistochemical analysis of paraffin-embedded normal human esophagus using GPI (E2Q8J) XP® Rabbit mAb.
undefined Image 27: Gluconeogenesis Antibody Sampler Kit
Orders: 877-616-CELL (2355) [email protected] Support: 877-678-TECH (8324) [email protected] Web: cellsignal.com
For Research Use Only. Not for Use in Diagnostic Procedures.

Revision 1

Cell Signaling Technology Logo
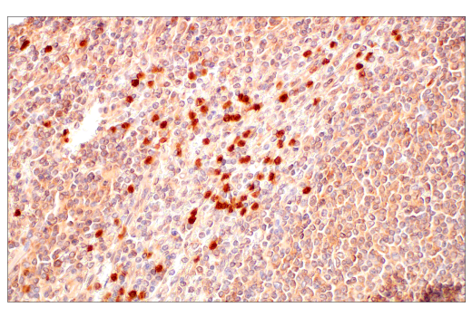
Immunohistochemical analysis of paraffin-embedded TT cell pellet (left, positive) or Huh7 cell pellet (right, negative) using Enolase-2 (E2H9X) XP® Rabbit mAb.
undefined Image 28: Gluconeogenesis Antibody Sampler Kit
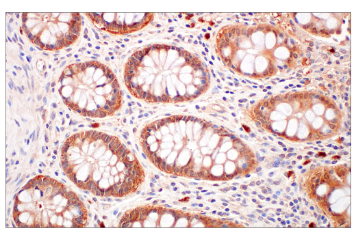
Immunohistochemical analysis of paraffin-embedded normal human colon using GPI (E2Q8J) XP® Rabbit mAb.
undefined Image 29: Gluconeogenesis Antibody Sampler Kit
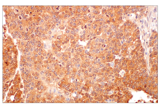
Immunohistochemical analysis of paraffin-embedded human prostate adenocarcinoma using Enolase-2 (E2H9X) XP® Rabbit mAb.
undefined Image 30: Gluconeogenesis Antibody Sampler Kit
Orders: 877-616-CELL (2355) [email protected] Support: 877-678-TECH (8324) [email protected] Web: cellsignal.com
For Research Use Only. Not for Use in Diagnostic Procedures.

Revision 1

Cell Signaling Technology Logo
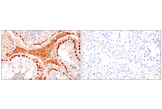
Immunohistochemical analysis of paraffin-embedded normal human testis using GPI (E2Q8J) XP® Rabbit mAb (left) compared to concentration-matched Rabbit (DA1E) mAb IgG XP® Isotype Control #3900 (right).
undefined Image 31: Gluconeogenesis Antibody Sampler Kit
Immunohistochemical analysis of paraffin-embedded TF-1 cell pellet (left, positive) or HuH-6 cell pellet (right, negative) using GPI (E2Q8J) XP® Rabbit mAb.
undefined Image 32: Gluconeogenesis Antibody Sampler Kit
Orders: 877-616-CELL (2355) [email protected] Support: 877-678-TECH (8324) [email protected] Web: cellsignal.com
For Research Use Only. Not for Use in Diagnostic Procedures.