Revision 7

#73015

Store at -20C

CST Logo
Orders:

877-616-CELL (2355)

[email protected]

Support:

877-678-TECH (8324)

3 Trask Lane | Danvers | Massachusetts | 01923 | USA

For Research Use Only. Not for Use in Diagnostic Procedures.

Applications:
W, IP, IHC-P, IF-F, IF-IC, FC-FP

Reactivity:
H M R Mk

Sensitivity:
Endogenous

MW (kDa):
45-60

Source/Isotype:
Rabbit IgG

UniProt ID:
#P11166

Entrez-Gene Id:
6513

Product Usage Information

Application Dilution
Western Blotting 1:1000
Immunoprecipitation 1:50
Immunohistochemistry (Paraffin) 1:250 - 1:1000
Immunofluorescence (Frozen) 1:50 - 1:200
Immunofluorescence (Immunocytochemistry) 1:50 - 1:200
Flow Cytometry (Fixed/Permeabilized) 1:50 - 1:200

Storage

Supplied in 10 mM sodium HEPES (pH 7.5), 150 mM NaCl, 100 µg/ml BSA, 50% glycerol and less than 0.02% sodium azide. Store at –20°C. Do not aliquot the antibody.

For a carrier free (BSA and azide free) version of this product see product #84221.

Specificity/Sensitivity

Glut1 (E4S6I) Rabbit Monoclonal Antibody recognizes endogenous levels of total Glut1 protein. This antibody does not cross-react with Glut2, Glut3, or Glut4.

Source / Purification

Monoclonal antibody is produced by immunizing animals with a synthetic peptide corresponding to residues near the carboxy terminus of human Glut1 protein.

Background

Glucose transporter 1 (Glut1, SLC2A1) is a widely expressed transport protein that displays a broad range of substrate specificity in transporting a number of different aldose sugars as well as an oxidized form of vitamin C into cells (1,2). Glut1 is responsible for the basal-level uptake of glucose from the blood through facilitated diffusion (2). Research studies show that Glut1 and the transcription factor HIF-1α mediate the regulation of glycolysis by O-GlcNAcylation in cancer cells (3). Additional studies demonstrate that Glut1 is required for CD4 T cell activation and is critical for the expansion and survival of T effector (Teff) cells (4). Mutations in the corresponding SLC2A1 gene cause GLUT1 deficiency syndromes (GLUT1DS1, GLUT1DS2), a pair of neurologic disorders characterized by delayed development, seizures, spasticity, paroxysmal exercise-induced dyskinesia, and acquired microcephaly (5,6). Two other neurologic disorders - dystonia-9 (DYT9) and susceptibility to idiopathic generalized epilepsy 12 (EIG12) - are also caused by mutations in the SLC2A1 gene (7,8).

Species Reactivity

Species reactivity is determined by testing in at least one approved application (e.g., western blot).

Western Blot Buffer

IMPORTANT: For western blots, incubate membrane with diluted primary antibody in 5% w/v BSA, 1X TBS, 0.1% Tween® 20 at 4°C with gentle shaking, overnight.

Applications Key

W: Western Blotting IP: Immunoprecipitation IHC-P: Immunohistochemistry (Paraffin) IF-F: Immunofluorescence (Frozen) IF-IC: Immunofluorescence (Immunocytochemistry) FC-FP: Flow Cytometry (Fixed/Permeabilized)

Cross-Reactivity Key

H: Human M: Mouse R: Rat Mk: Monkey

Trademarks and Patents

Cell Signaling Technology is a trademark of Cell Signaling Technology, Inc.

SignalStain is a registered trademark of Cell Signaling Technology, Inc.

All other trademarks are the property of their respective owners. Visit cellsignal.com/trademarks for more information.

Limited Uses

Except as otherwise expressly agreed in a writing signed by a legally authorized representative of CST, the following terms apply to Products provided by CST, its affiliates or its distributors. Any Customer's terms and conditions that are in addition to, or different from, those contained herein, unless separately accepted in writing by a legally authorized representative of CST, are rejected and are of no force or effect.

Products are labeled with For Research Use Only or a similar labeling statement and have not been approved, cleared, or licensed by the FDA or other regulatory foreign or domestic entity, for any purpose. Customer shall not use any Product for any diagnostic or therapeutic purpose, or otherwise in any manner that conflicts with its labeling statement. Products sold or licensed by CST are provided for Customer as the end-user and solely for research and development uses. Any use of Product for diagnostic, prophylactic or therapeutic purposes, or any purchase of Product for resale (alone or as a component) or other commercial purpose, requires a separate license from CST. Customer shall (a) not sell, license, loan, donate or otherwise transfer or make available any Product to any third party, whether alone or in combination with other materials, or use the Products to manufacture any commercial products, (b) not copy, modify, reverse engineer, decompile, disassemble or otherwise attempt to discover the underlying structure or technology of the Products, or use the Products for the purpose of developing any products or services that would compete with CST products or services, (c) not alter or remove from the Products any trademarks, trade names, logos, patent or copyright notices or markings, (d) use the Products solely in accordance with CST Product Terms of Sale and any applicable documentation, and (e) comply with any license, terms of service or similar agreement with respect to any third party products or services used by Customer in connection with the Products.

Orders: 877-616-CELL (2355) [email protected] Support: 877-678-TECH (8324) [email protected] Web: cellsignal.com
For Research Use Only. Not for Use in Diagnostic Procedures.

Revision 7

Cell Signaling Technology Logo
Western blot analysis of extracts from Hep G2 and MOLT-4 cells using Glut1 (E4S6I) Rabbit mAb (upper) and GAPDH (D16H11) XP® Rabbit mAb #5174 (lower).
Western Blotting Image 1: Glut1 (E4S6I) Rabbit Monoclonal Antibody
Immunoprecipitation of Glut1 protein from HuH-6 cell extracts. Lane 1 is 10% input, lane 2 is Rabbit (DA1E) mAb IgG XP® Isotype Control #3900, and lane 3 is Glut1 (E4S6I) Rabbit mAb. Western blot analysis was performed using Glut1 (E4S6I) Rabbit mAb. Mouse Anti-Rabbit IgG (Light-Chain Specific) (D4W3E) mAb (HRP Conjugate) #93702 was used as the secondary antibody.
Immunoprecipitation Image 1: Glut1 (E4S6I) Rabbit Monoclonal Antibody
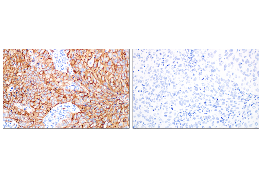
Immunohistochemical analysis of paraffin-embedded human hepatocellular carcinoma using
 Glut1 (E4S6I) Rabbit mAb.
Immunohistochemistry Image 1: Glut1 (E4S6I) Rabbit Monoclonal Antibody
Orders: 877-616-CELL (2355) [email protected] Support: 877-678-TECH (8324) [email protected] Web: cellsignal.com
For Research Use Only. Not for Use in Diagnostic Procedures.

Revision 7

Cell Signaling Technology Logo
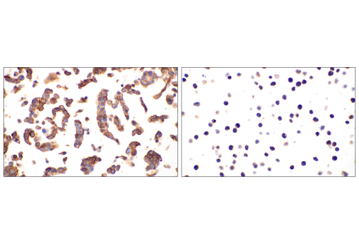
Immunohistochemical analysis of paraffin-embedded Hep G2 cell pellet (left, high-expressing) or MOLT-4 cell pellet (right, low-expressing) using
 Glut1 (E4S6I) Rabbit mAb.
Immunohistochemistry Image 2: Glut1 (E4S6I) Rabbit Monoclonal Antibody
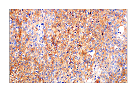
Immunohistochemical analysis of paraffin-embedded human colon adenocarcinoma using
 Glut1 (E4S6I) Rabbit mAb.
Immunohistochemistry Image 3: Glut1 (E4S6I) Rabbit Monoclonal Antibody
Immunohistochemical analysis of paraffin-embedded human oral squamous cell carcinoma using
 Glut1 (E4S6I) Rabbit mAb.
Immunohistochemistry Image 4: Glut1 (E4S6I) Rabbit Monoclonal Antibody
Orders: 877-616-CELL (2355) [email protected] Support: 877-678-TECH (8324) [email protected] Web: cellsignal.com
For Research Use Only. Not for Use in Diagnostic Procedures.

Revision 7

Cell Signaling Technology Logo
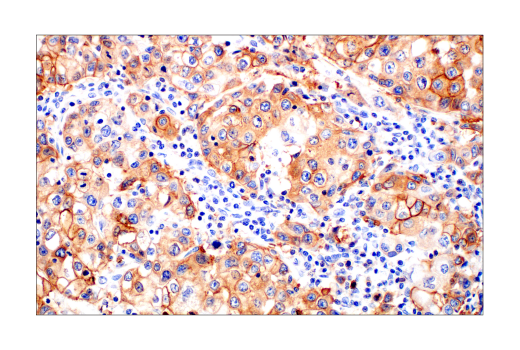
Immunohistochemical analysis of paraffin-embedded human renal cell carcinoma using
 Glut1 (E4S6I) Rabbit mAb.
Immunohistochemistry Image 5: Glut1 (E4S6I) Rabbit Monoclonal Antibody
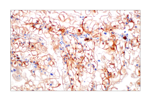
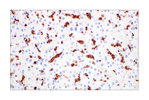
Immunohistochemical analysis of paraffin-embedded normal human liver using
 Glut1 (E4S6I) Rabbit mAb.
Immunohistochemistry Image 6: Glut1 (E4S6I) Rabbit Monoclonal Antibody
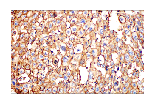
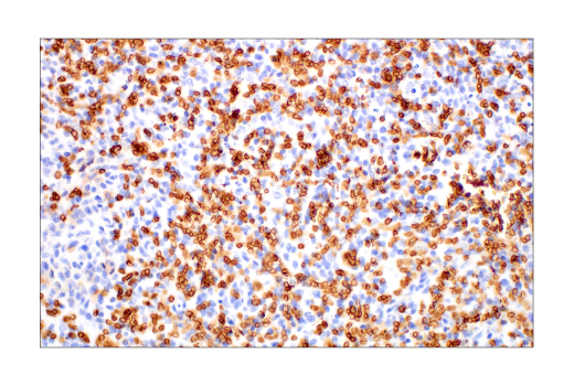
Immunohistochemical analysis of paraffin-embedded human non-small cell lung carcinoma using
 Glut1 (E4S6I) Rabbit mAb.
Immunohistochemistry Image 7: Glut1 (E4S6I) Rabbit Monoclonal Antibody
Orders: 877-616-CELL (2355) [email protected] Support: 877-678-TECH (8324) [email protected] Web: cellsignal.com
For Research Use Only. Not for Use in Diagnostic Procedures.

Revision 7

Cell Signaling Technology Logo
Immunohistochemical analysis of paraffin-embedded human non-small cell lung carcinoma using Glut1 (E4S6I) Rabbit mAb (left) compared to concentration-matched Rabbit (DA1E) mAb IgG XP® Isotype Control #3900 (right). 
Immunohistochemistry Image 8: Glut1 (E4S6I) Rabbit Monoclonal Antibody
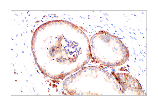
Immunohistochemical analysis of paraffin-embedded normal human prostate using
 Glut1 (E4S6I) Rabbit mAb.
Immunohistochemistry Image 9: Glut1 (E4S6I) Rabbit Monoclonal Antibody
Immunohistochemical analysis of paraffin-embedded normal human spleen using
 Glut1 (E4S6I) Rabbit mAb.
Immunohistochemistry Image 10: Glut1 (E4S6I) Rabbit Monoclonal Antibody
Orders: 877-616-CELL (2355) [email protected] Support: 877-678-TECH (8324) [email protected] Web: cellsignal.com
For Research Use Only. Not for Use in Diagnostic Procedures.

Revision 7

Cell Signaling Technology Logo
Confocal immunofluorescent analysis of fixed frozen mouse hippocampus labeled with Glut1 (E4S6I) Rabbit mAb (left, green). Free secondary binding sites were then blocked with Rabbit (DA1E) mAb IgG XP® Isotype Control #3900 prior to colabeling with Iba1/AIF-1 (E4O4W) XP® Rabbit mAb (Alexa Fluor® 555 Conjugate) #36618 (right, red), GFAP (GA5) Mouse mAb (Alexa Fluor® 647 Conjugate) #3657 (right, cyan pseudocolor), and ProLong® Gold Antifade Reagent with DAPI #8961 (right, blue).
Immunofluorescence Image 1: Glut1 (E4S6I) Rabbit Monoclonal Antibody
Confocal immunofluorescent analysis of Hep G2 cells (left, high-expressing) and A-204 cells (right, low-expressing) using Glut1 (E4S6I) Rabbit mAb (green), β-Actin (8H10D10) Mouse mAb #3700 (red), and DAPI #4083 (blue).
Immunofluorescence Image 1: Glut1 (E4S6I) Rabbit Monoclonal Antibody
Flow cytometric analysis of fixed/permeabilized U266B1 (blue, low-expressing) and SUP-M2 cells (green, high-expressing) using Glut1 (E4S6I) Rabbit mAb (solid lines) or concentration-matched Rabbit (DA1E) mAb IgG XP® Isotype Control #3900 (dashed lines). Anti-rabbit IgG F(ab')2 Fragment (Alexa Fluor® 488 Conjugate) #4412 was used as a secondary antibody.
Flow Cytometry Image 1: Glut1 (E4S6I) Rabbit Monoclonal Antibody
Orders: 877-616-CELL (2355) [email protected] Support: 877-678-TECH (8324) [email protected] Web: cellsignal.com
For Research Use Only. Not for Use in Diagnostic Procedures.