Revision 1

#83718

Store at -20C

Glutamine Metabolism Antibody Sampler Kit

1 Kit

(8 x 20 microliters)

CST Logo
Orders:

877-616-CELL (2355)

[email protected]

Support:

877-678-TECH (8324)

3 Trask Lane | Danvers | Massachusetts | 01923 | USA

For Research Use Only. Not for Use in Diagnostic Procedures.

Product Includes Product # Quantity Mol. Wt Isotype/Source
ASCT2 (D7C12) Rabbit Monoclonal Antibody805720 µl49, 75 kDaRabbit
GFAT1 (D12F4) Rabbit Monoclonal Antibody532220 µl80 kDaRabbit IgG
GFAT2 (D40C7) Rabbit Monoclonal Antibody691720 µl78 kDaRabbit IgG
Glutaminase-1/GLS1 (E9H6H) Rabbit Monoclonal Antibody5675020 µl55-65 kDaRabbit IgG
Glutaminase-2/GLS2 (E9C7V) Rabbit Monoclonal Antibody8593420 µl60 kDaRabbit IgG
Glutamate Dehydrogenase 1/2 (D9F7P) Rabbit Monoclonal Antibody1279320 µl52 kDaRabbit IgG
GOT1 (E4A4O) Rabbit Monoclonal Antibody3442320 µl41 kDaRabbit IgG
Asparagine Synthetase (E6C2C) Rabbit Monoclonal Antibody9247920 µl64 kDaRabbit IgG
Anti-rabbit IgG, HRP-linked Antibody7074100 µlGoat

Please visit cellsignal.com for individual component applications, species cross-reactivity, dilutions, protocols, and additional product information.

Description

The Glutamine Metabolism Antibody Sampler Kit provides an economical means of detecting select components involved in the glutamine metabolism pathway. The kit includes enough antibodies to perform two western blot experiments with each primary antibody.

Storage

Supplied in 10 mM sodium HEPES (pH 7.5), 150 mM NaCl, 100 µg/mL BSA, 50% glycerol, and less than 0.02% sodium azide. Store at –20°C. Do not aliquot the antibody.

Background

Sodium-dependent neutral amino acid transporter type 2 (ASCT2 or SLC1A5) is a neutral amino acid transporter that regulates the uptake of essential amino acids in conjunction with the SLC7A5 bilateral transporter (1,2). ASCT2 appears to be the major glutamine transporter in hepatoma cells and is thought to provide essential amino acids needed for tumor growth (3). Additional evidence suggests that ASCT2 plays a role in activating mTORC1 signaling and is required to suppress autophagy (4,5). Cell surface ASCT2 serves as a receptor for several mammalian interference retroviruses associated with cases of infectious immunodeficiency; variation in a small region of an extracellular loop (ECL2) may be responsible for species-specific differences in receptor function (6).

GFAT1, glutamine:fructose-6-phosphate aminotransferase 1, is the rate-limiting enzyme of the hexosamine biosynthesis pathway (7). This enzyme catalyzes the conversion of fructose-6-phosphate and glutamine to glucosamine-6-phosphate and glutamate (8). The hexosamine biosynthesis pathway generates the building blocks for protein and lipid glycosylation (8). Furthermore, studies suggest that increased activity of this pathway is a contributing factor to hyperglycemia-induced insulin resistance (7,8). GFAT1 is more active in non-insulin-dependent diabetes mellitus (NIDDM) patients (9). Transgenic mice overexpressing this enzyme in skeletal muscle and adipose tissue show an insulin resistance phenotype (10,11). GFAT2, an isoenzyme of GFAT1, was later identified (12,13). Studies show that the regulation of GFAT2 is different from that of GFAT1, suggesting differential regulation of the hexosamine pathway in different tissues (13).

Glutaminase catalyzes the conversion of glutamine to glutamate, the first and rate-limiting step of glutaminolysis (14). Both kidney-type glutaminase (GLS1) and liver-type glutaminase (GLS2) are found in mammals (15). GLS1-mediated glutathione synthesis plays an essential role in redox homeostasis and contributes to increased survival of postimplantation bone cells preconditioned to the hypoxic and ischemic environment in the bone defect site (16). In addition, KEAP1NRF2-mutant LUAD (KRAS-mutant lung adenocarcinoma) tumors are dependent on increased glutaminolysis (14). Furthermore, recent studies showed higher glutaminolysis and glucose production from glutamine in human primary hepatocytes with GLS2 gain-of-function missense mutations (17). These findings suggest GLS1 and GLS2 as potential targets in the therapy of bone regeneration and in the treatments of diseases such as cancer and hyperglycemia, respectively (14,16,17).

Glutamate dehydrogenase is a mitochondrial enzyme that catalyzes the oxidative deamination of glutamate to α-ketoglutarate through association with the cofactor nicotinamide adenine dinucleotide phosphate (18). Glutamate dehydrogenase is highly expressed in various tissues such as the liver, brain, kidney, heart, pancreas, ovaries, and testis. Two isoforms produced by two distinct genes are found in mammalian tissues. The GLUD1 gene is ubiquitously expressed (19), while the GLUD2 gene is specifically expressed in testicular tissues and astrocytes (20,21). Glutamate dehydrogenase links glutamate to the Krebs cycle, thereby playing a critical role in the regulation of energy homeostasis. Research studies have shown that changes in glutamate dehydrogenase activity in pancreatic β-cells can cause a hyperinsulinism syndrome (22).

Glutamate oxaloacetate transaminase 1 (GOT1) catalyzes the interconversion of aspartate and oxaloacetate (23).

Asparagine synthetase (ASNS) catalyzes the synthesis of asparagine from aspartate and glutamine (24). In subsets of gastric and hepatic cancers, ASNS promoter hypermethylation correlates with low ASNS expression, sensitizing these cancers to the asparaginase treatment (25).

Trademarks and Patents

Cell Signaling Technology is a trademark of Cell Signaling Technology, Inc.

All other trademarks are the property of their respective owners. Visit cellsignal.com/trademarks for more information.

Limited Uses

Except as otherwise expressly agreed in a writing signed by a legally authorized representative of CST, the following terms apply to Products provided by CST, its affiliates or its distributors. Any Customer's terms and conditions that are in addition to, or different from, those contained herein, unless separately accepted in writing by a legally authorized representative of CST, are rejected and are of no force or effect.

Products are labeled with For Research Use Only or a similar labeling statement and have not been approved, cleared, or licensed by the FDA or other regulatory foreign or domestic entity, for any purpose. Customer shall not use any Product for any diagnostic or therapeutic purpose, or otherwise in any manner that conflicts with its labeling statement. Products sold or licensed by CST are provided for Customer as the end-user and solely for research and development uses. Any use of Product for diagnostic, prophylactic or therapeutic purposes, or any purchase of Product for resale (alone or as a component) or other commercial purpose, requires a separate license from CST. Customer shall (a) not sell, license, loan, donate or otherwise transfer or make available any Product to any third party, whether alone or in combination with other materials, or use the Products to manufacture any commercial products, (b) not copy, modify, reverse engineer, decompile, disassemble or otherwise attempt to discover the underlying structure or technology of the Products, or use the Products for the purpose of developing any products or services that would compete with CST products or services, (c) not alter or remove from the Products any trademarks, trade names, logos, patent or copyright notices or markings, (d) use the Products solely in accordance with CST Product Terms of Sale and any applicable documentation, and (e) comply with any license, terms of service or similar agreement with respect to any third party products or services used by Customer in connection with the Products.

Orders: 877-616-CELL (2355) [email protected] Support: 877-678-TECH (8324) [email protected] Web: cellsignal.com
For Research Use Only. Not for Use in Diagnostic Procedures.

Revision 1

Cell Signaling Technology Logo
Western blot analysis of extracts from 293T cells, mock transfected (-) or transfected with a construct expressing Myc/DDK-tagged full-length human glutamate dehydrogenase 1 (hGluD1; +) or glutamate dehydrogenase 2 (hGluD2; +), using Glutamate Dehydrogenase 1/2 (D9F7P) Rabbit mAb (upper) or Myc-Tag (71D10) Rabbit mAb #2278 (lower).
undefined Image 1: Glutamine Metabolism Antibody Sampler Kit
Western blot analysis of extracts from various cell lines using GOT1 (E4A4O) Rabbit mAb.
undefined Image 2: Glutamine Metabolism Antibody Sampler Kit
Western blot analysis of extracts from various cell types using GFAT1 (D12F4) Rabbit mAb.
undefined Image 3: Glutamine Metabolism Antibody Sampler Kit
Orders: 877-616-CELL (2355) [email protected] Support: 877-678-TECH (8324) [email protected] Web: cellsignal.com
For Research Use Only. Not for Use in Diagnostic Procedures.

Revision 1

Cell Signaling Technology Logo
Western blot analysis of extracts from human kidney, ACHN cells, and OVCAR-3 cells using Glutaminase-1/GLS1 (E9H6H) XP® Rabbit mAb (upper) and β-Actin (D6A8) Rabbit mAb #8457 (lower).
undefined Image 4: Glutamine Metabolism Antibody Sampler Kit
Western blot analysis of extracts from U251 cells using GFAT2 (D40C7) Rabbit mAb.
undefined Image 5: Glutamine Metabolism Antibody Sampler Kit
After the primary antibody is bound to the target protein, a complex with HRP-linked secondary antibody is formed. The LumiGLO® is added and emits light during enzyme catalyzed decomposition.
undefined Image 6: Glutamine Metabolism Antibody Sampler Kit
Orders: 877-616-CELL (2355) [email protected] Support: 877-678-TECH (8324) [email protected] Web: cellsignal.com
For Research Use Only. Not for Use in Diagnostic Procedures.

Revision 1

Cell Signaling Technology Logo
Western blot analysis of extracts from HT-29 cells, untreated or treated with peptide N-glycosidase F (PNGase F), and untreated SW620 cells using ASCT2 (D7C12) Rabbit mAb.
undefined Image 7: Glutamine Metabolism Antibody Sampler Kit
Western blot analysis of extracts from various cell lines using Glutaminase-2/GLS2 (E9C7V) Rabbit mAb (upper) or GAPDH (D16H11) XP® Rabbit mAb #5174 (lower). Negative expression of glutaminase-2/GLS2 protein in NCI-H1650 cells is consistent with the predicted expression pattern.
undefined Image 8: Glutamine Metabolism Antibody Sampler Kit
Western blot analysis of extracts from K-562 and Loucy cells using Asparagine Synthetase (E6C2C) XP® Rabbit mAb (upper) and GAPDH (D16H11) XP® Rabbit mAb #5174 (lower). The absence of detectable asparagine synthetase in Loucy cells is consistent with published data (5), confirming the specificity of the antibody for asparagine synthetase.
undefined Image 9: Glutamine Metabolism Antibody Sampler Kit
Orders: 877-616-CELL (2355) [email protected] Support: 877-678-TECH (8324) [email protected] Web: cellsignal.com
For Research Use Only. Not for Use in Diagnostic Procedures.

Revision 1

Cell Signaling Technology Logo
Immunohistochemical analysis of paraffin-embedded human oropharyngeal squamous cell carcinoma using Asparagine Synthetase (E6C2C) XP® Rabbit mAb performed on the Leica BOND RX.

undefined Image 10: Glutamine Metabolism Antibody Sampler Kit
Western blot analysis of extracts from various cell lines and tissues using Glutamate Dehydrogenase 1/2 (D9F7P) Rabbit mAb.
undefined Image 11: Glutamine Metabolism Antibody Sampler Kit
Immunoprecipitation of glutaminase-1/GLS1 protein from ACHN cell extracts. Lane 1 is 10% input, lane 2 is Rabbit (DA1E) mAb IgG XP® Isotype Control #3900, and lane 3 is Glutaminase-1/GLS1 (E9H6H) XP® Rabbit mAb. Western blot analysis was performed using Glutaminase-1/GLS1 (E9H6H) XP® Rabbit mAb. Mouse Anti-rabbit IgG (Conformation Specific) (L27A9) mAb (HRP Conjugate) #5127 was used as the secondary antibody.
undefined Image 12: Glutamine Metabolism Antibody Sampler Kit
Orders: 877-616-CELL (2355) [email protected] Support: 877-678-TECH (8324) [email protected] Web: cellsignal.com
For Research Use Only. Not for Use in Diagnostic Procedures.

Revision 1

Cell Signaling Technology Logo
Immunohistochemical analysis of paraffin-embedded SW480 cell pellet (left, high-expressing) or SK-MEL-5 cell pellet (right, low-expressing) using ASCT2 (D7C12) Rabbit mAb.
undefined Image 13: Glutamine Metabolism Antibody Sampler Kit
Western blot analysis of extracts from HCT 116, TALL-1, and JHH-5 cells using Asparagine Synthetase (E6C2C) XP® Rabbit mAb (upper) and GAPDH (D16H11) XP® Rabbit mAb #5174 (lower). The absence of detectable asparagine synthetase in TALL-1 and JHH-5 cells is consistent with published data (5) and publicly available RNAseq data, respectively, confirming the specificity of the antibody for asparagine synthetase.
undefined Image 14: Glutamine Metabolism Antibody Sampler Kit
Immunohistochemical analysis of paraffin-embedded human colon adenocarcinoma using Asparagine Synthetase (E6C2C) XP® Rabbit mAb performed on the Leica BOND RX.

undefined Image 15: Glutamine Metabolism Antibody Sampler Kit
Orders: 877-616-CELL (2355) [email protected] Support: 877-678-TECH (8324) [email protected] Web: cellsignal.com
For Research Use Only. Not for Use in Diagnostic Procedures.

Revision 1

Cell Signaling Technology Logo
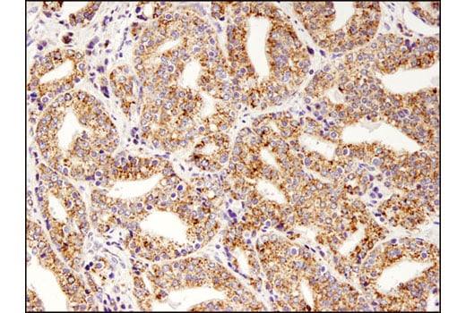
Immunohistochemical analysis of paraffin-embedded human appendix using Glutaminase-1/GLS1 (E9H6H) XP® Rabbit mAb.
undefined Image 16: Glutamine Metabolism Antibody Sampler Kit
Immunohistochemical analysis of paraffin-embedded human colon carcinoma using ASCT2 (D7C12) Rabbit mAb.
undefined Image 17: Glutamine Metabolism Antibody Sampler Kit
Immunoprecipitation of asparagine synthetase protein from OVCAR-4 cell extracts. Lane 1 is 10% input, lane 2 is Rabbit (DA1E) mAb IgG XP® Isotype Control #3900, and lane 3 is Asparagine Synthetase (E6C2C) XP® Rabbit mAb. Western blot analysis was performed using Asparagine Synthetase (E6C2C) XP® Rabbit mAb. Mouse Anti-Rabbit IgG (Light-Chain Specific) (D4W3E) mAb (HRP Conjugate) #93702 was used as the secondary antibody.
undefined Image 18: Glutamine Metabolism Antibody Sampler Kit
Orders: 877-616-CELL (2355) [email protected] Support: 877-678-TECH (8324) [email protected] Web: cellsignal.com
For Research Use Only. Not for Use in Diagnostic Procedures.

Revision 1

Cell Signaling Technology Logo
Immunohistochemical analysis of paraffin-embedded human squamous cell lung carcinoma using Asparagine Synthetase (E6C2C) XP® Rabbit mAb performed on the Leica BOND RX.
undefined Image 19: Glutamine Metabolism Antibody Sampler Kit
Immunohistochemical analysis of paraffin-embedded human breast carcinoma using Glutamate Dehydrogenase 1/2 (D9F7P) Rabbit mAb.
undefined Image 20: Glutamine Metabolism Antibody Sampler Kit
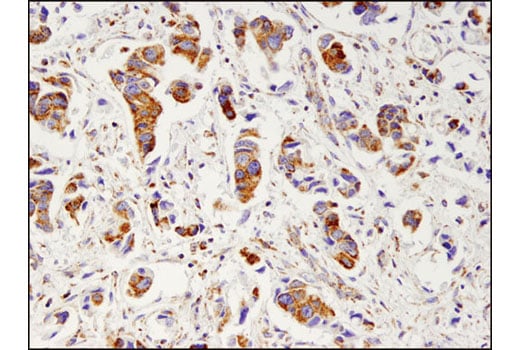
Immunohistochemical analysis of paraffin-embedded human ductal breast carcinoma using Glutaminase-1/GLS1 (E9H6H) XP® Rabbit mAb.
undefined Image 21: Glutamine Metabolism Antibody Sampler Kit
Orders: 877-616-CELL (2355) [email protected] Support: 877-678-TECH (8324) [email protected] Web: cellsignal.com
For Research Use Only. Not for Use in Diagnostic Procedures.

Revision 1

Cell Signaling Technology Logo
Immunohistochemical analysis of paraffin-embedded human lung adenocarcinoma using ASCT2 (D7C12) Rabbit mAb (left) compared to concentration matched Rabbit (DA1E) mAb IgG XP® Isotype Control #3900 (right).
undefined Image 22: Glutamine Metabolism Antibody Sampler Kit
Immunohistochemical analysis of paraffin-embedded human non-small cell lung carcinoma using Asparagine Synthetase (E6C2C) XP® Rabbit mAb.
undefined Image 23: Glutamine Metabolism Antibody Sampler Kit
Immunohistochemical analysis of paraffin-embedded human colon carcinoma using Glutamate Dehydrogenase 1/2 (D9F7P) Rabbit mAb in the presence of control peptide (left) or antigen-specific peptide (right).
undefined Image 24: Glutamine Metabolism Antibody Sampler Kit
Orders: 877-616-CELL (2355) [email protected] Support: 877-678-TECH (8324) [email protected] Web: cellsignal.com
For Research Use Only. Not for Use in Diagnostic Procedures.

Revision 1

Cell Signaling Technology Logo
Immunohistochemical analysis of paraffin-embedded human colon carcinoma using Glutaminase-1/GLS1 (E9H6H) XP® Rabbit mAb (left) compared to concentration-matched Rabbit (DA1E) mAb IgG XP® Isotype Control #3900 (right).
undefined Image 25: Glutamine Metabolism Antibody Sampler Kit
Immunohistochemical analysis of paraffin-embedded human squamous cell lung carcinoma using ASCT2 (D7C12) Rabbit mAb.
undefined Image 26: Glutamine Metabolism Antibody Sampler Kit
Immunohistochemical analysis of paraffin-embedded human B-cell non-Hodgkin lymphoma using Asparagine Synthetase (E6C2C) XP® Rabbit mAb.
undefined Image 27: Glutamine Metabolism Antibody Sampler Kit
Orders: 877-616-CELL (2355) [email protected] Support: 877-678-TECH (8324) [email protected] Web: cellsignal.com
For Research Use Only. Not for Use in Diagnostic Procedures.

Revision 1

Cell Signaling Technology Logo
Immunohistochemical analysis of paraffin-embedded human prostate carcinoma using Glutamate Dehydrogenase 1/2 (D9F7P) Rabbit mAb.
undefined Image 28: Glutamine Metabolism Antibody Sampler Kit
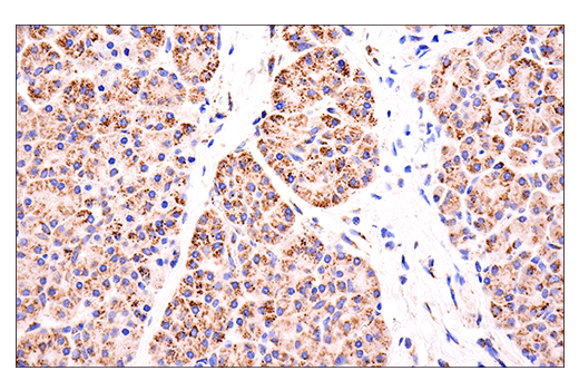
Immunohistochemical analysis of paraffin-embedded human pancreas using Glutaminase-1/GLS1 (E9H6H) XP® Rabbit mAb.
undefined Image 29: Glutamine Metabolism Antibody Sampler Kit
Immunohistochemical analysis of paraffin-embedded human non-Hodgkin's lymphoma using ASCT2 (D7C12) Rabbit mAb.
undefined Image 30: Glutamine Metabolism Antibody Sampler Kit
Orders: 877-616-CELL (2355) [email protected] Support: 877-678-TECH (8324) [email protected] Web: cellsignal.com
For Research Use Only. Not for Use in Diagnostic Procedures.

Revision 1

Cell Signaling Technology Logo
Immunohistochemical analysis of paraffin-embedded human colon adenocarcinoma using Asparagine Synthetase (E6C2C) XP® Rabbit mAb.
undefined Image 31: Glutamine Metabolism Antibody Sampler Kit
Confocal immunofluorescent analysis of A172 cells using Glutamate Dehydrogenase 1/2 (D9F7P) Rabbit mAb (green) and β-Actin (8H10D10) Mouse mAb #3700 (red). Blue pseudocolor = DRAQ5® #4084 (fluorescent DNA dye).
undefined Image 32: Glutamine Metabolism Antibody Sampler Kit
Immunohistochemical analysis of paraffin-embedded human serous papillary carcinoma of the ovary using ASCT2 (D7C12) Rabbit mAb.
undefined Image 33: Glutamine Metabolism Antibody Sampler Kit
Orders: 877-616-CELL (2355) [email protected] Support: 877-678-TECH (8324) [email protected] Web: cellsignal.com
For Research Use Only. Not for Use in Diagnostic Procedures.

Revision 1

Cell Signaling Technology Logo
Immunohistochemical analysis of paraffin-embedded JHH-5 xenograft using Asparagine Synthetase (E6C2C) XP® Rabbit mAb. Note the presence of signal in the mouse immune cells and lack of signal in the ASNS negative JHH-5 cells.
undefined Image 34: Glutamine Metabolism Antibody Sampler Kit
Immunohistochemical analysis of paraffin-embedded human prostate carcinoma using ASCT2 (D7C12) Rabbit mAb.
undefined Image 35: Glutamine Metabolism Antibody Sampler Kit
Immunohistochemical analysis of paraffin-embedded mouse pancreas using Asparagine Synthetase (E6C2C) XP® Rabbit mAb.
undefined Image 36: Glutamine Metabolism Antibody Sampler Kit
Orders: 877-616-CELL (2355) [email protected] Support: 877-678-TECH (8324) [email protected] Web: cellsignal.com
For Research Use Only. Not for Use in Diagnostic Procedures.

Revision 1

Cell Signaling Technology Logo
Confocal immunofluorescent analysis of HT-29 cells using ASCT2 (D7C12) Rabbit mAb (green). Blue pseudocolor = DRAQ5® #4084 (fluorescent DNA dye).
undefined Image 37: Glutamine Metabolism Antibody Sampler Kit
Immunohistochemical analysis of paraffin-embedded mouse spleen using Asparagine Synthetase (E6C2C) XP® Rabbit mAb.
undefined Image 38: Glutamine Metabolism Antibody Sampler Kit
Flow cytometric analysis of fixed and permeabilized HT-29 cells using ASCT2 (D7C12) Rabbit mAb (blue) compared to concentration matched Rabbit (DA1E) mAb IgG XP® Isotype Control #3900 (red).
undefined Image 39: Glutamine Metabolism Antibody Sampler Kit
Orders: 877-616-CELL (2355) [email protected] Support: 877-678-TECH (8324) [email protected] Web: cellsignal.com
For Research Use Only. Not for Use in Diagnostic Procedures.

Revision 1

Cell Signaling Technology Logo
Immunohistochemical analysis of paraffin-embedded human non-small cell lung carcinoma using Asparagine Synthetase (E6C2C) XP® Rabbit mAb (left) or Asparagine Synthetase Rabbit mAb (right). These two antibodies detect independent, unique epitopes on human asparagine synthetase. The similar staining patterns obtained with both antibodies help to confirm the specificity of the staining.
undefined Image 40: Glutamine Metabolism Antibody Sampler Kit
Immunohistochemical analysis of paraffin-embedded human pancreas using Asparagine Synthetase (E6C2C) XP® Rabbit mAb (left) compared to concentration-matched Rabbit (DA1E) mAb IgG XP® Isotype Control #3900 (right).
undefined Image 41: Glutamine Metabolism Antibody Sampler Kit
Immunohistochemical analysis of paraffin-embedded HCT 116 cell pellet (left, positive) or TALL-1 cell pellet (right, negative) using Asparagine Synthetase (E6C2C) XP® Rabbit mAb.
undefined Image 42: Glutamine Metabolism Antibody Sampler Kit
Orders: 877-616-CELL (2355) [email protected] Support: 877-678-TECH (8324) [email protected] Web: cellsignal.com
For Research Use Only. Not for Use in Diagnostic Procedures.

Revision 1

Cell Signaling Technology Logo
Flow cytometric analysis of Loucy cells (blue) and K-562 cells (green) using Asparagine Synthetase (E6C2C) XP® Rabbit mAb (solid lines) or a concentration-matched Rabbit (DA1E) mAb IgG XP® Isotype Control #3900 (dashed lines). Anti-rabbit IgG (H+L), F(ab')2 Fragment (Alexa Fluor® 488 Conjugate) #4412 was used as a secondary antibody.
undefined Image 43: Glutamine Metabolism Antibody Sampler Kit
Enhanced cross-linking and immunoprecipitation (eCLIP) was performed with RNA from K-562 cells and GFAT1 (D12F4) Rabbit mAb using a protocol based on the RBP-eCLIP method from Eclipsebio. The figure shows binding across the EPPK1 transcript. Data is kindly provided by the laboratory of Dr. Gene Yeo and used with permission.
undefined Image 44: Glutamine Metabolism Antibody Sampler Kit
Orders: 877-616-CELL (2355) [email protected] Support: 877-678-TECH (8324) [email protected] Web: cellsignal.com
For Research Use Only. Not for Use in Diagnostic Procedures.