Revision 1

#12866

Store at -20C

Glycolysis II Antibody Sampler Kit

1 Kit

(7 x 20 microliters)

CST Logo
Orders:

877-616-CELL (2355)

[email protected]

Support:

877-678-TECH (8324)

3 Trask Lane | Danvers | Massachusetts | 01923 | USA

For Research Use Only. Not for Use in Diagnostic Procedures.

Product Includes Product # Quantity Mol. Wt Isotype/Source
Aldolase A (D73H4) Rabbit Monoclonal Antibody806020 µl40 kDaRabbit IgG
Enolase-1 Antibody381020 µl47 kDaRabbit
Enolase-2 Antibody953620 µl47 kDaRabbit
PDHK1 (C47H1) Rabbit Monoclonal Antibody382020 µl47 kDaRabbit IgG
PFKFB2 (D7G5R) Rabbit Monoclonal Antibody1304520 µl55 kDaRabbit IgG
PFKFB3 (D7H4Q) Rabbit Monoclonal Antibody1312320 µl60 kDaRabbit IgG
PGAM1 (D3J9T) Rabbit Monoclonal Antibody1209820 µl28 kDaRabbit IgG
Anti-rabbit IgG, HRP-linked Antibody7074100 µlGoat

Please visit cellsignal.com for individual component applications, species cross-reactivity, dilutions, protocols, and additional product information.

Description

The Glycolysis II Antibody Sampler Kit provides an economical means to investigate select enzymes involved in glycolysis. The kit contains enough primary antibody to perform two western blot experiments per primary antibody.

Storage

Supplied in 10 mM sodium HEPES (pH 7.5), 150 mM NaCl, 100 µg/ml BSA, 50% glycerol and less than 0.02% sodium azide. Store at –20°C. Do not aliquot the antibody.

Background

Glycolysis is the metabolic process by which glucose is converted to pyruvate in a sequence of enzymatic steps. Phosphofructokinase (PFK) catalyzes the phosphorylation of fructose-6-phosphate in glycolysis (1). The bifunctional 6-phosphofructo-2-kinase/fructose-2,6-bisphosphatase (PFK-2/FBPase or PFKFB) catalyzes the synthesis and degradation of fructose 2,6-bisphosphate and regulates its steady-state level. Four different PFKFB isoforms (PFKFB1, PFKFB2, PFKFB3, and PFKFB4) have been identified (2). Aldolase (fructose bisphosphate aldolase) is a glycolytic enzyme that catalyzes the conversion of fructose 1, 6-bisphosphate to 3-phosphoglyceraldehyde (3). Phosphoglycerate mutase (PGAM1) catalyzes the conversion of 3-phosphoglycerate to 2-phosphoglycerate during glycolysis (4). Enolase is an important glycolytic enzyme involved in the interconversion of 2-phosphoglycerate to phosphoenolpyruvate. Mammalian enolase exists as three subunits: enolase-1 (α-enolase), enolase-2 (γ-enolase) and enolase-3 (β-enolase) that can form both homo- and heterodimers (5). Pyruvate dehydrogenase kinase (PDHK) phosphorylates PDH and inactivates it, whereas dephosphorylation of PDH is carried out by pyruvate dehydrogenase phosphatase to generate the active form (6).

Trademarks and Patents

Cell Signaling Technology is a trademark of Cell Signaling Technology, Inc.

U.S. Patent No. 7,429,487, foreign equivalents, and child patents deriving therefrom.

All other trademarks are the property of their respective owners. Visit cellsignal.com/trademarks for more information.

Limited Uses

Except as otherwise expressly agreed in a writing signed by a legally authorized representative of CST, the following terms apply to Products provided by CST, its affiliates or its distributors. Any Customer's terms and conditions that are in addition to, or different from, those contained herein, unless separately accepted in writing by a legally authorized representative of CST, are rejected and are of no force or effect.

Products are labeled with For Research Use Only or a similar labeling statement and have not been approved, cleared, or licensed by the FDA or other regulatory foreign or domestic entity, for any purpose. Customer shall not use any Product for any diagnostic or therapeutic purpose, or otherwise in any manner that conflicts with its labeling statement. Products sold or licensed by CST are provided for Customer as the end-user and solely for research and development uses. Any use of Product for diagnostic, prophylactic or therapeutic purposes, or any purchase of Product for resale (alone or as a component) or other commercial purpose, requires a separate license from CST. Customer shall (a) not sell, license, loan, donate or otherwise transfer or make available any Product to any third party, whether alone or in combination with other materials, or use the Products to manufacture any commercial products, (b) not copy, modify, reverse engineer, decompile, disassemble or otherwise attempt to discover the underlying structure or technology of the Products, or use the Products for the purpose of developing any products or services that would compete with CST products or services, (c) not alter or remove from the Products any trademarks, trade names, logos, patent or copyright notices or markings, (d) use the Products solely in accordance with CST Product Terms of Sale and any applicable documentation, and (e) comply with any license, terms of service or similar agreement with respect to any third party products or services used by Customer in connection with the Products.

Orders: 877-616-CELL (2355) [email protected] Support: 877-678-TECH (8324) [email protected] Web: cellsignal.com
For Research Use Only. Not for Use in Diagnostic Procedures.

Revision 1

Cell Signaling Technology Logo
Western blot analysis of extracts from various cell lines using PGAM1 (D3J9T) Rabbit mAb.
undefined Image 1: Glycolysis II Antibody Sampler Kit
Western blot analysis of extracts from LNCaP, Hep G2, and MCF7 cells using PFKFB2 (D7G5R) Rabbit mAb (upper) and β-Actin (D6A8) Rabbit mAb #8457 (lower).
undefined Image 2: Glycolysis II Antibody Sampler Kit
Western blot analysis of extracts from various cell lines using PFKFB3 (D7H4Q) Rabbit mAb.
undefined Image 3: Glycolysis II Antibody Sampler Kit
Orders: 877-616-CELL (2355) [email protected] Support: 877-678-TECH (8324) [email protected] Web: cellsignal.com
For Research Use Only. Not for Use in Diagnostic Procedures.

Revision 1

Cell Signaling Technology Logo
Western blot analysis of SH-SY5Y Cell Extracts, untreated (-) or Enolase-1 knock-out (+) using Enolase-1 Antibody #3810 (upper) or β-Actin (D6A8) Rabbit mAb #8457 (lower).
undefined Image 4: Glycolysis II Antibody Sampler Kit
Western blot analysis of extracts from various cell types using PDHK1 (C47H1) Rabbit mAb.
undefined Image 5: Glycolysis II Antibody Sampler Kit
After the primary antibody is bound to the target protein, a complex with HRP-linked secondary antibody is formed. The LumiGLO® is added and emits light during enzyme catalyzed decomposition.
undefined Image 6: Glycolysis II Antibody Sampler Kit
Orders: 877-616-CELL (2355) [email protected] Support: 877-678-TECH (8324) [email protected] Web: cellsignal.com
For Research Use Only. Not for Use in Diagnostic Procedures.

Revision 1

Cell Signaling Technology Logo
Western blot analysis of extracts from various cell lines using Aldolase A (D73H4) Rabbit mAb.
undefined Image 7: Glycolysis II Antibody Sampler Kit
Western blot analysis of extracts from various cell lines and human and mouse brain using Enolase-2 Antibody.
undefined Image 8: Glycolysis II Antibody Sampler Kit
Immunoprecipitation of PFKFB2 from Hep G2 cell extracts using Rabbit (DA1E) mAb IgG XP® Isotype Control #3900 (lane 2) or PFKFB2 (D7G5R) Rabbit mAb (lane 3). Lane 1 is 10% input. Western blot analysis was performed using PFKFB2 (D7G5R) Rabbit mAb. An anti-rabbit IgG light chain antibody was used as the secondary antibody.
undefined Image 9: Glycolysis II Antibody Sampler Kit
Orders: 877-616-CELL (2355) [email protected] Support: 877-678-TECH (8324) [email protected] Web: cellsignal.com
For Research Use Only. Not for Use in Diagnostic Procedures.

Revision 1

Cell Signaling Technology Logo
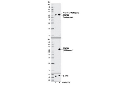
Western blot analysis of extracts from 293 cells, mock transfected (-) or transfected with a construct expressing DDK-tagged full-length human PFKFB3 (hPFKFB3-DDK; +), using PFKFB3 (D7H4Q) Rabbit mAb (upper), DYKDDDDK Tag (9A3) Mouse mAb #8146 (middle), or β-Actin (D6A8) Rabbit mAb #8457 (lower).
undefined Image 10: Glycolysis II Antibody Sampler Kit
Western blot analysis of extracts from various cell types using Enolase-1 Antibody.
undefined Image 11: Glycolysis II Antibody Sampler Kit
Confocal immunofluorescent analysis of LNCaP (high expression, left) and Hep G2 (low expression, right) cells using PFKFB2 (D7G5R) Rabbit mAb (green). Blue pseudocolor = DRAQ5® #4084 (fluorescent DNA dye).
undefined Image 12: Glycolysis II Antibody Sampler Kit
Orders: 877-616-CELL (2355) [email protected] Support: 877-678-TECH (8324) [email protected] Web: cellsignal.com
For Research Use Only. Not for Use in Diagnostic Procedures.

Revision 1

Cell Signaling Technology Logo
Immunoprecipitation of  PDHK1 protein from KNRK cell extracts. Lane 1 is 10% input, lane 2 is Rabbit (DA1E) mAb IgG XP® Isotype Control #3900, and lane 3 is  PDHK1 (C47H1) Rabbit mAb. Western blot analysis was performed using  PDHK1 (C47H1) Rabbit mAb.  Mouse Anti-rabbit IgG (Light-Chain Specific) (L57A3) mAb #3677, followed by Anti-mouse IgG, HRP-linked Antibody #7076 was used as a secondary antibody.
undefined Image 13: Glycolysis II Antibody Sampler Kit
Orders: 877-616-CELL (2355) [email protected] Support: 877-678-TECH (8324) [email protected] Web: cellsignal.com
For Research Use Only. Not for Use in Diagnostic Procedures.