Revision 1

#63107

Store at -20C

CST Logo
Orders:

877-616-CELL (2355)

[email protected]

Support:

877-678-TECH (8324)

3 Trask Lane | Danvers | Massachusetts | 01923 | USA

For Research Use Only. Not for Use in Diagnostic Procedures.

Applications:
W, IHC-Bond, IHC-P

Reactivity:
H

Sensitivity:
Endogenous

MW (kDa):
70-80

Source/Isotype:
Rabbit IgG

UniProt ID:
#P15509

Entrez-Gene Id:
1438

Product Usage Information

This product is the carrier free version of product #69817. All data were generated using the same antibody clone in the standard formulation which contains BSA and glycerol.

This formulation is ideal for use with technologies requiring specialized or custom antibody labeling, including fluorophores, metals, lanthanides, and oligonucleotides. It is not recommended for ChIP, ChIP-seq, CUT&RUN or CUT&Tag assays. If you require a carrier free formulation for chromatin profiling, please contact us. Optimal dilutions/concentrations should be determined by the end user.

BSA and Azide Free antibodies are quality control tested by size exclusion chromatography (SEC) to determine antibody integrity.

Formulation

Supplied in 1X PBS (10 mM Na2HPO4, 3 mM KCl, 2 mM KH2PO4, and 140 mM NaCl (pH 7.8)). BSA and Azide Free.

For standard formulation of this product see product #69817.

Storage

Store at -20°C. This product will freeze at -20°C so it is recommended to aliquot into single-use vials to avoid multiple freeze/thaw cycles. A slight precipitate may be present and can be dissolved by gently vortexing. This will not interfere with antibody performance.

Specificity/Sensitivity

GM-CSF Receptor alpha (E8Z3S) Rabbit Monoclonal Antibody (BSA and Azide Free) recognizes endogenous levels of total GM-CSF Receptor α protein. This antibody does not cross-react with GM-CSF Receptor β protein. Based on the antigen sequence, this antibody is predicted to recognize multiple isoforms of GM-CSF Receptor α protein, including secreted isoforms.

Source / Purification

Monoclonal antibody is produced by immunizing animals with recombinant protein specific to the amino terminus of human GM-CSF Receptor α protein.

Background

Granulocyte-macrophage colony-stimulating factor receptor subunit alpha (GM-CSF Receptor α), also known as CSF2RA and CD116, is a type 1 transmembrane protein with low affinity for GM-CSF. GM-CSF Receptor α is primarily expressed on myeloid cells, including granulocytes, monocytes, macrophages, and dendritic cells (1). GM-CSF Receptor α forms a heterodimeric receptor complex with GM-CSF Receptor β, creating the high affinity GM-CSF receptor (2). Upon dimerization and ligand binding, the β subunit becomes phosphorylated and transduces signals via Jak/STAT and MAPK pathways for cell proliferation, differentiation, and survival (3,4). Oligomerization of the high affinity GM-CSF Receptor α/β complex is required for optimal intracellular signal transduction (5). Soluble GM-CSF Receptor α, either secreted or cleaved from the cell surface, can competitively bind GM-CSF, preventing membrane receptor signaling (1,6,7). Multiple isoforms of GM-CSF Receptor α have been described.

Species Reactivity

Species reactivity is determined by testing in at least one approved application (e.g., western blot).

Applications Key

W: Western Blotting IHC-Bond: IHC Leica Bond IHC-P: Immunohistochemistry (Paraffin)

Cross-Reactivity Key

H: Human

Trademarks and Patents

Cell Signaling Technology is a trademark of Cell Signaling Technology, Inc.

SignalStain is a registered trademark of Cell Signaling Technology, Inc.

All other trademarks are the property of their respective owners. Visit cellsignal.com/trademarks for more information.

Limited Uses

Except as otherwise expressly agreed in a writing signed by a legally authorized representative of CST, the following terms apply to Products provided by CST, its affiliates or its distributors. Any Customer's terms and conditions that are in addition to, or different from, those contained herein, unless separately accepted in writing by a legally authorized representative of CST, are rejected and are of no force or effect.

Products are labeled with For Research Use Only or a similar labeling statement and have not been approved, cleared, or licensed by the FDA or other regulatory foreign or domestic entity, for any purpose. Customer shall not use any Product for any diagnostic or therapeutic purpose, or otherwise in any manner that conflicts with its labeling statement. Products sold or licensed by CST are provided for Customer as the end-user and solely for research and development uses. Any use of Product for diagnostic, prophylactic or therapeutic purposes, or any purchase of Product for resale (alone or as a component) or other commercial purpose, requires a separate license from CST. Customer shall (a) not sell, license, loan, donate or otherwise transfer or make available any Product to any third party, whether alone or in combination with other materials, or use the Products to manufacture any commercial products, (b) not copy, modify, reverse engineer, decompile, disassemble or otherwise attempt to discover the underlying structure or technology of the Products, or use the Products for the purpose of developing any products or services that would compete with CST products or services, (c) not alter or remove from the Products any trademarks, trade names, logos, patent or copyright notices or markings, (d) use the Products solely in accordance with CST Product Terms of Sale and any applicable documentation, and (e) comply with any license, terms of service or similar agreement with respect to any third party products or services used by Customer in connection with the Products.

Orders: 877-616-CELL (2355) [email protected] Support: 877-678-TECH (8324) [email protected] Web: cellsignal.com
For Research Use Only. Not for Use in Diagnostic Procedures.

Revision 1

Cell Signaling Technology Logo
Western blot analysis of extracts from various human cell lines using GM-CSF Receptor α (E8Z3S) Rabbit mAb (upper) and β-Actin (D6A8) Rabbit mAb #8457 (lower). Data were generated using the standard formulation of this product.
Western Blotting Image 1: GM-CSF Receptor alpha (E8Z3S) Rabbit Monoclonal Antibody (BSA and Azide Free)
Western blot analysis of extracts from 293T cells, mock transfected (-) or transfected with constructs expressing full-length human GM-CSF Receptor α protein (hGM-CSF Receptor α-Myc/DDK; +) and human GM-CSF Receptor β protein (hGM-CSF Receptor β-Myc/DDK; +), using GM-CSF Receptor α (E8Z3S) Rabbit mAb (upper), Myc-Tag (71D10) Rabbit mAb #2278 (middle), and β-Actin (D6A8) Rabbit mAb #8457 (lower). Data were generated using the standard formulation of this product.
Western Blotting Image 2: GM-CSF Receptor alpha (E8Z3S) Rabbit Monoclonal Antibody (BSA and Azide Free)
Immunohistochemical analysis of paraffin-embedded human ductal breast carcinoma using GM-CSF Receptor α (E8Z3S) Rabbit mAb performed on the Leica® BOND™ Rx. Data were generated using the standard formulation of this product.
Immunohistochemistry Image 1: GM-CSF Receptor alpha (E8Z3S) Rabbit Monoclonal Antibody (BSA and Azide Free)
Orders: 877-616-CELL (2355) [email protected] Support: 877-678-TECH (8324) [email protected] Web: cellsignal.com
For Research Use Only. Not for Use in Diagnostic Procedures.

Revision 1

Cell Signaling Technology Logo
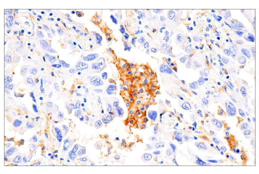
Immunohistochemical analysis of paraffin-embedded human colon carcinoma using GM-CSF Receptor α (E8Z3S) Rabbit mAb performed on the Leica® BOND™ Rx. Data were generated using the standard formulation of this product.
Immunohistochemistry Image 2: GM-CSF Receptor alpha (E8Z3S) Rabbit Monoclonal Antibody (BSA and Azide Free)
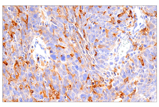
Immunohistochemical analysis of paraffin-embedded human esophageal adenocarcinoma using GM-CSF Receptor α (E8Z3S) Rabbit mAb performed on the Leica® BOND™ Rx. Data were generated using the standard formulation of this product.
Immunohistochemistry Image 3: GM-CSF Receptor alpha (E8Z3S) Rabbit Monoclonal Antibody (BSA and Azide Free)
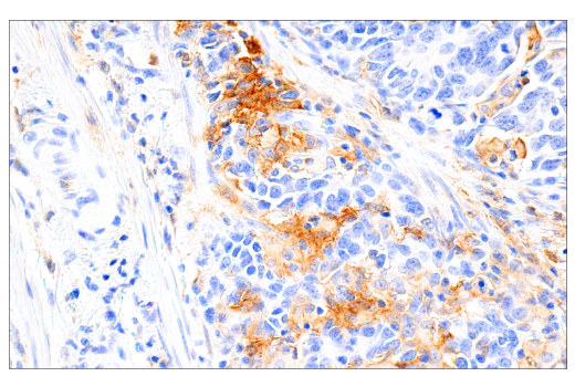
Immunohistochemical analysis of paraffin-embedded human non-small cell lung carcinoma using GM-CSF Receptor α (E8Z3S) Rabbit mAb performed on the Leica® BOND™ Rx. Data were generated using the standard formulation of this product.
Immunohistochemistry Image 4: GM-CSF Receptor alpha (E8Z3S) Rabbit Monoclonal Antibody (BSA and Azide Free)
Orders: 877-616-CELL (2355) [email protected] Support: 877-678-TECH (8324) [email protected] Web: cellsignal.com
For Research Use Only. Not for Use in Diagnostic Procedures.

Revision 1

Cell Signaling Technology Logo
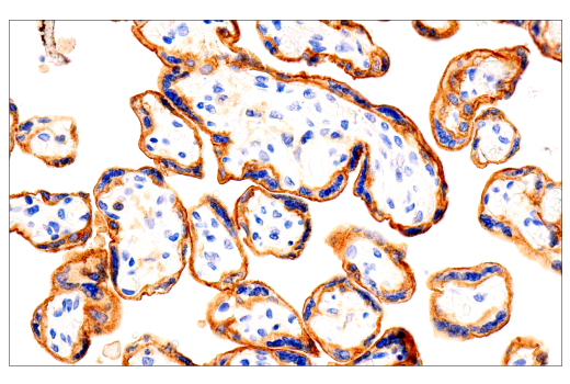
Immunohistochemical analysis of paraffin-embedded normal human placenta using GM-CSF Receptor α (E8Z3S) Rabbit mAb performed on the Leica® BOND™ Rx. Data were generated using the standard formulation of this product.
Immunohistochemistry Image 5: GM-CSF Receptor alpha (E8Z3S) Rabbit Monoclonal Antibody (BSA and Azide Free)
Immunohistochemical analysis of paraffin-embedded normal human spleen using GM-CSF Receptor α (E8Z3S) Rabbit mAb performed on the Leica® BOND™ Rx. Data were generated using the standard formulation of this product.
Immunohistochemistry Image 6: GM-CSF Receptor alpha (E8Z3S) Rabbit Monoclonal Antibody (BSA and Azide Free)
Immunohistochemical analysis of paraffin-embedded human urothelial carcinoma using GM-CSF Receptor α (E8Z3S) Rabbit mAb. Data were generated using the standard formulation of this product.
Immunohistochemistry Image 1: GM-CSF Receptor alpha (E8Z3S) Rabbit Monoclonal Antibody (BSA and Azide Free)
Orders: 877-616-CELL (2355) [email protected] Support: 877-678-TECH (8324) [email protected] Web: cellsignal.com
For Research Use Only. Not for Use in Diagnostic Procedures.

Revision 1

Cell Signaling Technology Logo
Immunohistochemical analysis of paraffin-embedded normal human brain using GM-CSF Receptor α (E8Z3S) Rabbit mAb. Data were generated using the standard formulation of this product.
Immunohistochemistry Image 2: GM-CSF Receptor alpha (E8Z3S) Rabbit Monoclonal Antibody (BSA and Azide Free)
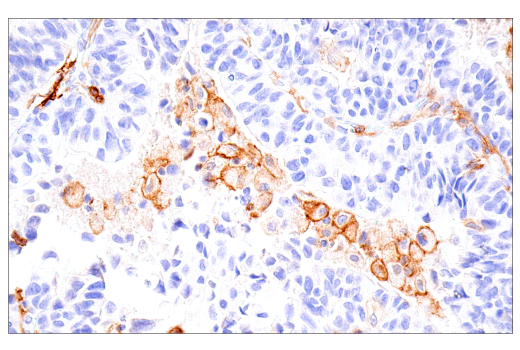
Immunohistochemical analysis of paraffin-embedded human squamous cell carcinoma of the tonsil using GM-CSF Receptor α (E8Z3S) Rabbit mAb. Data were generated using the standard formulation of this product.
Immunohistochemistry Image 3: GM-CSF Receptor alpha (E8Z3S) Rabbit Monoclonal Antibody (BSA and Azide Free)
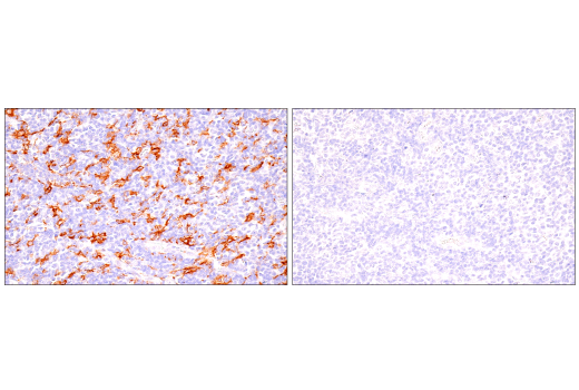
Immunohistochemical analysis of paraffin-embedded human B-cell non-Hodgkin lymphoma using GM-CSF Receptor α (E8Z3S) Rabbit mAb (left) compared to concentration-matched Rabbit (DA1E) mAb IgG XP® Isotype Control #3900 (right). Data were generated using the standard formulation of this product.
Immunohistochemistry Image 4: GM-CSF Receptor alpha (E8Z3S) Rabbit Monoclonal Antibody (BSA and Azide Free)
Orders: 877-616-CELL (2355) [email protected] Support: 877-678-TECH (8324) [email protected] Web: cellsignal.com
For Research Use Only. Not for Use in Diagnostic Procedures.

Revision 1

Cell Signaling Technology Logo
Immunohistochemical analysis of paraffin-embedded normal human lymph node using GM-CSF Receptor α (E8Z3S) Rabbit mAb. Data were generated using the standard formulation of this product.
Immunohistochemistry Image 5: GM-CSF Receptor alpha (E8Z3S) Rabbit Monoclonal Antibody (BSA and Azide Free)
Immunohistochemical analysis of paraffin-embedded normal human thymus using GM-CSF Receptor α (E8Z3S) Rabbit mAb. Data were generated using the standard formulation of this product.
Immunohistochemistry Image 6: GM-CSF Receptor alpha (E8Z3S) Rabbit Monoclonal Antibody (BSA and Azide Free)
Immunohistochemical analysis of paraffin-embedded normal human uterus using GM-CSF Receptor α (E8Z3S) Rabbit mAb. Data were generated using the standard formulation of this product.
Immunohistochemistry Image 7: GM-CSF Receptor alpha (E8Z3S) Rabbit Monoclonal Antibody (BSA and Azide Free)
Orders: 877-616-CELL (2355) [email protected] Support: 877-678-TECH (8324) [email protected] Web: cellsignal.com
For Research Use Only. Not for Use in Diagnostic Procedures.

Revision 1

Cell Signaling Technology Logo
Immunohistochemical analysis of paraffin-embedded SK-MEL-2 cell pellet (left, positive) or 293T cell pellet (right, negative) using GM-CSF Receptor α (E8Z3S) Rabbit mAb. Data were generated using the standard formulation of this product.
Immunohistochemistry Image 8: GM-CSF Receptor alpha (E8Z3S) Rabbit Monoclonal Antibody (BSA and Azide Free)
Orders: 877-616-CELL (2355) [email protected] Support: 877-678-TECH (8324) [email protected] Web: cellsignal.com
For Research Use Only. Not for Use in Diagnostic Procedures.