Revision 4

#68091

Store at -20C

CST Logo
Orders:

877-616-CELL (2355)

[email protected]

Support:

877-678-TECH (8324)

3 Trask Lane | Danvers | Massachusetts | 01923 | USA

For Research Use Only. Not for Use in Diagnostic Procedures.

Applications:
W, IP, IHC-P, IF-IC, FC-FP

Reactivity:
H

Sensitivity:
Endogenous

MW (kDa):
15

Source/Isotype:
Rabbit IgG

UniProt ID:
#P22749

Entrez-Gene Id:
10578

Product Usage Information

Application Dilution
Western Blotting 1:1000
Immunoprecipitation 1:50
Immunohistochemistry (Paraffin) 1:800 - 1:3200
Immunofluorescence (Immunocytochemistry) 1:3200 - 1:6400
Flow Cytometry (Fixed/Permeabilized) 1:400 - 1:1600

Storage

Supplied in 10 mM sodium HEPES (pH 7.5), 150 mM NaCl, 100 µg/ml BSA, 50% glycerol and less than 0.02% sodium azide. Store at –20°C. Do not aliquot the antibody.

For a carrier free (BSA and azide free) version of this product see product #40019.

Specificity/Sensitivity

GNLY (E2T3D) Rabbit Monoclonal Antibody recognizes endogenous levels of total GNLY protein.

Source / Purification

Monoclonal antibody is produced by immunizing animals with a synthetic peptide corresponding to residues near the carboxy terminus of human GNLY protein.

Background

Granulysin (GNLY) was originally identified as a late activation marker in T cells, and it is expressed by killer lymphocytes in most mammals, but not rodents. GNLY is largely confined to cytotoxic granules but can be secreted by killer cells, especially those expressing high levels of GNLY, such as decidual natural killer cells (1-3). GNLY is produced as a 15 kDa protein and is processed into a 9 kDa active pore-forming fragment by proteolytic removal of peptides from both the N- and C-termini. Moreover, the 15 kDa form was reported to function as an immune alarmin, causing the maturation and migration of antigen-presenting cells and other cells of the immune system (4-7). Unlike perforin, a cholesterol-dependent pore-forming protein that preferentially permeabilizes mammalian membranes, GNLY is inhibited by cholesterol and forms pores much more efficiently in microbial than mammalian membranes, and it plays an important role against bacteria, fungi, and parasite infections (8,9).

Species Reactivity

Species reactivity is determined by testing in at least one approved application (e.g., western blot).

Western Blot Buffer

IMPORTANT: For western blots, incubate membrane with diluted primary antibody in 5% w/v nonfat dry milk, 1X TBS, 0.1% Tween® 20 at 4°C with gentle shaking, overnight.

Applications Key

W: Western Blotting IP: Immunoprecipitation IHC-P: Immunohistochemistry (Paraffin) IF-IC: Immunofluorescence (Immunocytochemistry) FC-FP: Flow Cytometry (Fixed/Permeabilized)

Cross-Reactivity Key

H: Human

Trademarks and Patents

Cell Signaling Technology is a trademark of Cell Signaling Technology, Inc.

Alexa Fluor is a registered trademark of Life Technologies Corporation.

KARPAS cell line source: Dr. Abraham Karpas at the University of Cambridge.

All other trademarks are the property of their respective owners. Visit cellsignal.com/trademarks for more information.

Limited Uses

Except as otherwise expressly agreed in a writing signed by a legally authorized representative of CST, the following terms apply to Products provided by CST, its affiliates or its distributors. Any Customer's terms and conditions that are in addition to, or different from, those contained herein, unless separately accepted in writing by a legally authorized representative of CST, are rejected and are of no force or effect.

Products are labeled with For Research Use Only or a similar labeling statement and have not been approved, cleared, or licensed by the FDA or other regulatory foreign or domestic entity, for any purpose. Customer shall not use any Product for any diagnostic or therapeutic purpose, or otherwise in any manner that conflicts with its labeling statement. Products sold or licensed by CST are provided for Customer as the end-user and solely for research and development uses. Any use of Product for diagnostic, prophylactic or therapeutic purposes, or any purchase of Product for resale (alone or as a component) or other commercial purpose, requires a separate license from CST. Customer shall (a) not sell, license, loan, donate or otherwise transfer or make available any Product to any third party, whether alone or in combination with other materials, or use the Products to manufacture any commercial products, (b) not copy, modify, reverse engineer, decompile, disassemble or otherwise attempt to discover the underlying structure or technology of the Products, or use the Products for the purpose of developing any products or services that would compete with CST products or services, (c) not alter or remove from the Products any trademarks, trade names, logos, patent or copyright notices or markings, (d) use the Products solely in accordance with CST Product Terms of Sale and any applicable documentation, and (e) comply with any license, terms of service or similar agreement with respect to any third party products or services used by Customer in connection with the Products.

Orders: 877-616-CELL (2355) [email protected] Support: 877-678-TECH (8324) [email protected] Web: cellsignal.com
For Research Use Only. Not for Use in Diagnostic Procedures.

Revision 4

Cell Signaling Technology Logo
Western blot analysis of various cell lines, enriched human peripheral blood monocytic CD56+ natural killer (NK) cells, and activated human CD8+ T cells using GNLY (E2T3D) Rabbit mAb (upper) and β-Actin (D6A8) Rabbit mAb #8457 (lower).
Western Blotting Image 1: GNLY (E2T3D) Rabbit Monoclonal Antibody
Immunoprecipitation of GNLY protein from NK-92 cell extracts. Lane 1 is 10% input, lane 2 is Rabbit (DA1E) mAb IgG XP® Isotype Control #3900, and lane 3 is GNLY (E2T3D) Rabbit mAb. Western blot analysis was performed using GNLY (E2T3D) Rabbit mAb. Mouse Anti-rabbit IgG (Conformation Specific) (L27A9) mAb (HRP Conjugate) #5127 was used as a secondary antibody.
Immunoprecipitation Image 1: GNLY (E2T3D) Rabbit Monoclonal Antibody
Immunohistochemical analysis of paraffin-embedded human T-cell lymphoma using GNLY (E2T3D) Rabbit mAb.
Immunohistochemistry Image 1: GNLY (E2T3D) Rabbit Monoclonal Antibody
Orders: 877-616-CELL (2355) [email protected] Support: 877-678-TECH (8324) [email protected] Web: cellsignal.com
For Research Use Only. Not for Use in Diagnostic Procedures.

Revision 4

Cell Signaling Technology Logo
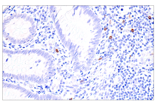
Immunohistochemical analysis of paraffin-embedded human colon adenocarcinoma using GNLY (E2T3D) Rabbit mAb.
Immunohistochemistry Image 2: GNLY (E2T3D) Rabbit Monoclonal Antibody
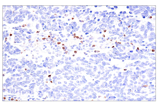
Immunohistochemical analysis of paraffin-embedded human urothelial carcinoma using GNLY (E2T3D) Rabbit mAb.
Immunohistochemistry Image 3: GNLY (E2T3D) Rabbit Monoclonal Antibody
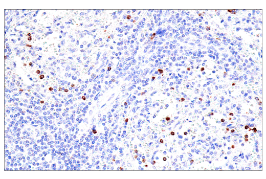
Immunohistochemical analysis of paraffin-embedded human prostate adenocarcinoma using GNLY (E2T3D) Rabbit mAb.
Immunohistochemistry Image 4: GNLY (E2T3D) Rabbit Monoclonal Antibody
Orders: 877-616-CELL (2355) [email protected] Support: 877-678-TECH (8324) [email protected] Web: cellsignal.com
For Research Use Only. Not for Use in Diagnostic Procedures.

Revision 4

Cell Signaling Technology Logo
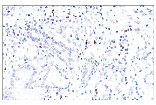
Immunohistochemical analysis of paraffin-embedded human small cell carcinoma of the salivary gland using GNLY (E2T3D) Rabbit mAb.
Immunohistochemistry Image 5: GNLY (E2T3D) Rabbit Monoclonal Antibody
Immunohistochemical analysis of paraffin-embedded normal human spleen using GNLY (E2T3D) Rabbit mAb.
Immunohistochemistry Image 6: GNLY (E2T3D) Rabbit Monoclonal Antibody
Immunohistochemical analysis of paraffin-embedded human appendix using GNLY (E2T3D) Rabbit mAb.
Immunohistochemistry Image 7: GNLY (E2T3D) Rabbit Monoclonal Antibody
Orders: 877-616-CELL (2355) [email protected] Support: 877-678-TECH (8324) [email protected] Web: cellsignal.com
For Research Use Only. Not for Use in Diagnostic Procedures.

Revision 4

Cell Signaling Technology Logo
Immunohistochemical analysis of paraffin-embedded human T-cell lymphoma using GNLY (E2T3D) Rabbit mAb (left) compared to concentration-matched Rabbit (DA1E) mAb IgG XP® Isotype Control #3900 (right).
Immunohistochemistry Image 8: GNLY (E2T3D) Rabbit Monoclonal Antibody
Immunohistochemical analysis of paraffin-embedded NK-92 cell pellet (left, high-expressing) or KARPAS 299 cell pellet (right, low-expressing) using GNLY (E2T3D) Rabbit mAb.
Immunohistochemistry Image 9: GNLY (E2T3D) Rabbit Monoclonal Antibody
Confocal immunofluorescent analysis of NK-92 cells (left, positive) and K-562 cells (right, negative) using GNLY (E2T3D) Rabbit mAb (green), DyLight™ 554 Phalloidin #13054 (red), and ProLong® Gold Antifade Reagent with DAPI #8961 (blue).
Immunofluorescence Image 1: GNLY (E2T3D) Rabbit Monoclonal Antibody
Orders: 877-616-CELL (2355) [email protected] Support: 877-678-TECH (8324) [email protected] Web: cellsignal.com
For Research Use Only. Not for Use in Diagnostic Procedures.

Revision 4

Cell Signaling Technology Logo
Flow cytometric analysis of fixed and permeabilized human peripheral blood mononuclear cells using GNLY (E2T3D) Rabbit mAb (right) or concentration-matched Rabbit (DA1E) mAb IgG XP® Isotype Control #3900 (left), and co-stained with NCAM1 (CD56) (MY31) Mouse mAb (APC Conjugate) #51997. Anti-rabbit IgG (H+L), F(ab')2 Fragment (Alexa Fluor® 488 Conjugate) #4412 was used as a secondary antibody. Analysis was performed on cells in the lymphocyte gate.
Flow Cytometry Image 1: GNLY (E2T3D) Rabbit Monoclonal Antibody
Orders: 877-616-CELL (2355) [email protected] Support: 877-678-TECH (8324) [email protected] Web: cellsignal.com
For Research Use Only. Not for Use in Diagnostic Procedures.