Revision 3

#90205

Store at -20C

CST Logo
Orders:

877-616-CELL (2355)

[email protected]

Support:

877-678-TECH (8324)

3 Trask Lane | Danvers | Massachusetts | 01923 | USA

For Research Use Only. Not for Use in Diagnostic Procedures.

Applications:
W, IF-F, IF-IC, FC-FP

Reactivity:
M

Sensitivity:
Endogenous

MW (kDa):
90, 100

Source/Isotype:
Rabbit IgG

UniProt ID:
#Q99P91

Entrez-Gene Id:
93695

Product Usage Information

Application Dilution
Western Blotting 1:1000
Immunofluorescence (Frozen) 1:400
Immunofluorescence (Immunocytochemistry) 1:50 - 1:200
Flow Cytometry (Fixed/Permeabilized) 1:50 - 1:200

Storage

Supplied in 10 mM sodium HEPES (pH 7.5), 150 mM NaCl, 100 µg/ml BSA, 50% glycerol and less than 0.02% sodium azide. Store at –20°C. Do not aliquot the antibody.

Specificity/Sensitivity

GPNMB (E7U1Z) Rabbit Monoclonal Antibody recognizes endogenous levels of total mouse GPNMB protein. This antibody does not cross-react with human GPNMB protein.

Source / Purification

Monoclonal antibody is produced by immunizing animals with a synthetic peptide corresponding to residues near the amino terminus of mouse GPNMB protein.

Background

Glycoprotein non-metastatic gene B (GPNMB) is a type I transmembrane glycoprotein overexpressed in many types of cancer. The GPNMB glycoprotein is involved in many physiological processes, including mediating transport of late melanosomes to keratinocytes (1), regulating osteoblast and osteoclast differentiation and function (2), stimulating dendritic cell maturation, promoting adhesion of dendritic cells to endothelial cells (3), enhancing autophagosome fusion to lysosomes in tissue repair, and regulating degradation of cellular debris (4,5).

While typical GPNMB expression is seen in tissues including skin, heart, kidney, lung, liver, and skeletal muscle (3,6), research studies show elevated GPNMB expression often contributes to the metastatic phenotype in numerous cancers (reviewed in 7). GPNMB is typically localized to intracellular compartments in normal cells (1,8), but investigators found it primarily on the cell surface of tumor cells (9,10). Differential localization and expression, and the role of GPNMB as a tumor promoter in many cancer types make this protein a viable therapeutic target (11).

The GPNMB ectodomain can be cleaved by matrix metalloproteinases and shed from the cell surface (12). Research studies identify the sheddase ADAM10 as one peptidase responsible for cleavage of the GPNMB ectodomain at the surface of breast cancer cells. Shedded GPNMB ectodomains may promote angiogenesis by inducing endothelial cell migration (13).

Species Reactivity

Species reactivity is determined by testing in at least one approved application (e.g., western blot).

Western Blot Buffer

IMPORTANT: For western blots, incubate membrane with diluted primary antibody in 5% w/v BSA, 1X TBS, 0.1% Tween® 20 at 4°C with gentle shaking, overnight.

Applications Key

W: Western Blotting IF-F: Immunofluorescence (Frozen) IF-IC: Immunofluorescence (Immunocytochemistry) FC-FP: Flow Cytometry (Fixed/Permeabilized)

Cross-Reactivity Key

M: Mouse

Trademarks and Patents

Cell Signaling Technology is a trademark of Cell Signaling Technology, Inc.

Alexa Fluor is a registered trademark of Life Technologies Corporation.

All other trademarks are the property of their respective owners. Visit cellsignal.com/trademarks for more information.

Limited Uses

Except as otherwise expressly agreed in a writing signed by a legally authorized representative of CST, the following terms apply to Products provided by CST, its affiliates or its distributors. Any Customer's terms and conditions that are in addition to, or different from, those contained herein, unless separately accepted in writing by a legally authorized representative of CST, are rejected and are of no force or effect.

Products are labeled with For Research Use Only or a similar labeling statement and have not been approved, cleared, or licensed by the FDA or other regulatory foreign or domestic entity, for any purpose. Customer shall not use any Product for any diagnostic or therapeutic purpose, or otherwise in any manner that conflicts with its labeling statement. Products sold or licensed by CST are provided for Customer as the end-user and solely for research and development uses. Any use of Product for diagnostic, prophylactic or therapeutic purposes, or any purchase of Product for resale (alone or as a component) or other commercial purpose, requires a separate license from CST. Customer shall (a) not sell, license, loan, donate or otherwise transfer or make available any Product to any third party, whether alone or in combination with other materials, or use the Products to manufacture any commercial products, (b) not copy, modify, reverse engineer, decompile, disassemble or otherwise attempt to discover the underlying structure or technology of the Products, or use the Products for the purpose of developing any products or services that would compete with CST products or services, (c) not alter or remove from the Products any trademarks, trade names, logos, patent or copyright notices or markings, (d) use the Products solely in accordance with CST Product Terms of Sale and any applicable documentation, and (e) comply with any license, terms of service or similar agreement with respect to any third party products or services used by Customer in connection with the Products.

Orders: 877-616-CELL (2355) [email protected] Support: 877-678-TECH (8324) [email protected] Web: cellsignal.com
For Research Use Only. Not for Use in Diagnostic Procedures.

Revision 3

Cell Signaling Technology Logo
Western blot analysis of extracts from SIM-A9, 4T1, and EL4 cells using GPNMB (E7U1Z) Rabbit mAb (upper) and β-Actin (D6A8) Rabbit mAb #8457 (lower). As expected, GPNMB protein is not expressed in either 4T1 or EL4 cells.
Western Blotting Image 1: GPNMB (E7U1Z) Rabbit Monoclonal Antibody
Western blot analysis of extracts from B16-F10 cells, mock transfected (-) or transfected with siRNA targeting mouse GPNMB (+), using GPNMB (E7U1Z) Rabbit mAb (upper) and GAPDH (D16H11) XP® Rabbit mAb #5174 (lower).
Western Blotting Image 2: GPNMB (E7U1Z) Rabbit Monoclonal Antibody
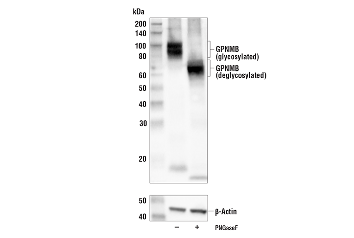
Western blot analysis of extracts from B16-F10 cells, untreated (-) or treated with PNGase F (+), using GPNMB (E7U1Z) Rabbit mAb (upper) and β-Actin (D6A8) Rabbit mAb #8457 (lower).
Western Blotting Image 3: GPNMB (E7U1Z) Rabbit Monoclonal Antibody
Orders: 877-616-CELL (2355) [email protected] Support: 877-678-TECH (8324) [email protected] Web: cellsignal.com
For Research Use Only. Not for Use in Diagnostic Procedures.

Revision 3

Cell Signaling Technology Logo
Western blot analysis of extracts from 293T cells, mock transfected (-) or transfected (+) with constructs expressing Myc/DDK-tagged full-length mouse GPNMB protein (mGPNMB-Myc/DDK) and Myc/DDK-tagged full-length human GPNMB protein (hGPNMB-Myc/DDK), using GPNMB (E7U1Z) Rabbit mAb (upper), DYKDDDDK Tag Antibody #2368 (middle), and β-Actin (D6A8) Rabbit mAb #8457 (lower).
Western Blotting Image 4: GPNMB (E7U1Z) Rabbit Monoclonal Antibody
Confocal immunofluorescent analysis of brain from an amyloid mouse model of Alzheimer’s disease using GPNMB (E7U1Z) Rabbit mAb (green). After blocking free secondary antibody binding sites with Rabbit (DA1E) mAb IgG XP® Isotype Control #3900, the tissue was then labeled using HS1 (D5A9) XP® Rabbit mAb (Rodent Specific) (Alexa Fluor® 488 Conjugate) #68206 (red pseudocolor) and β-Amyloid (D54D2) XP® Rabbit mAb (Alexa Fluor® 647 Conjugate) #42284 (cyan pseudocolor). Sections were mounted in ProLong® Gold Antifade Reagent with DAPI #8961 (blue).
Immunofluorescence Image 1: GPNMB (E7U1Z) Rabbit Monoclonal Antibody
Confocal immunofluorescent analysis of B16-F10 cells (left, positive) or 4T1 cells (right, negative) using GPNMB (E7U1Z) Rabbit mAb (green). Actin filaments were labeled with DyLight™ 554 Phalloidin #13054 (red). Samples were mounted in ProLong® Gold Antifade Reagent with DAPI #8961 (blue).
Immunofluorescence Image 1: GPNMB (E7U1Z) Rabbit Monoclonal Antibody
Orders: 877-616-CELL (2355) [email protected] Support: 877-678-TECH (8324) [email protected] Web: cellsignal.com
For Research Use Only. Not for Use in Diagnostic Procedures.

Revision 3

Cell Signaling Technology Logo
Flow cytometric analysis of 4T1 cells (blue, negative) and B16-F10 cells (green, positive) using GPNMB (E7U1Z) Rabbit mAb (solid lines) or a concentration-matched Rabbit (DA1E) mAb IgG XP® Isotype Control #3900 (dashed lines). Anti-rabbit IgG (H+L), F(ab')2 Fragment (Alexa Fluor® 488 Conjugate) #4412 was used as a secondary antibody.
Flow Cytometry Image 1: GPNMB (E7U1Z) Rabbit Monoclonal Antibody
Orders: 877-616-CELL (2355) [email protected] Support: 877-678-TECH (8324) [email protected] Web: cellsignal.com
For Research Use Only. Not for Use in Diagnostic Procedures.