Revision 6

#44153

Store at -20C

CST Logo
Orders:

877-616-CELL (2355)

[email protected]

Support:

877-678-TECH (8324)

3 Trask Lane | Danvers | Massachusetts | 01923 | USA

For Research Use Only. Not for Use in Diagnostic Procedures.

Applications:
W, IHC-Bond, IHC-P, FC-FP

Reactivity:
M

Sensitivity:
Endogenous

MW (kDa):
30

Source/Isotype:
Rabbit IgG

UniProt ID:
#P04187

Entrez-Gene Id:
14939

Product Usage Information

Application Dilution
Western Blotting 1:1000
IHC Leica Bond 1:50 - 1:200
Immunohistochemistry (Paraffin) 1:50 - 1:200
Flow Cytometry (Fixed/Permeabilized) 1:50 - 1:200

Storage

Supplied in 10 mM sodium HEPES (pH 7.5), 150 mM NaCl, 100 µg/ml BSA, 50% glycerol and less than 0.02% sodium azide. Store at –20°C. Do not aliquot the antibody.

For a carrier-free (BSA and azide) version of this product see product #www.cellsignal.com/products/primary-antibodies/granzyme-b-e5v2l-rabbit-mab-mouse-specific-bsa-and-azide-free/87791?_=1653488899236&Ntt=Granzyme%20B%20(E5V2L)&tahead=true">87791.

Specificity/Sensitivity

Granzyme B (E5V2L) Rabbit Monoclonal Antibody recognizes endogenous levels of total mouse Granzyme B protein. This antibody does not cross-react with human Granzyme B proteins. Non-specific staining was observed in mouse kidney.

Source / Purification

Monoclonal antibody is produced by immunizing animals with a synthetic peptide corresponding to residues surrounding Ala197 of mouse Granzyme B protein.

Background

Granzymes are a family of serine proteases expressed by cytotoxic T lymphocytes and natural killer (NK) cells and are key components of immune responses to pathogens and transformed cells (1). Granzymes are synthesized as zymogens and are processed into mature enzymes by cleavage of a leader sequence. They are released by exocytosis in lysosome-like granules containing perforin, a membrane pore-forming protein. Granzyme B has the strongest apoptotic activity of all the granzymes as a result of its caspase-like ability to cleave substrates at aspartic acid residues thereby activating procaspases directly and cleaving downstream caspase substrates (2,3).

Species Reactivity

Species reactivity is determined by testing in at least one approved application (e.g., western blot).

Western Blot Buffer

IMPORTANT: For western blots, incubate membrane with diluted primary antibody in 5% w/v BSA, 1X TBS, 0.1% Tween® 20 at 4°C with gentle shaking, overnight.

Applications Key

W: Western Blotting IHC-Bond: IHC Leica Bond IHC-P: Immunohistochemistry (Paraffin) FC-FP: Flow Cytometry (Fixed/Permeabilized)

Cross-Reactivity Key

M: Mouse

Trademarks and Patents

Cell Signaling Technology is a trademark of Cell Signaling Technology, Inc.

Alexa Fluor is a registered trademark of Life Technologies Corporation.

All other trademarks are the property of their respective owners. Visit cellsignal.com/trademarks for more information.

Limited Uses

Except as otherwise expressly agreed in a writing signed by a legally authorized representative of CST, the following terms apply to Products provided by CST, its affiliates or its distributors. Any Customer's terms and conditions that are in addition to, or different from, those contained herein, unless separately accepted in writing by a legally authorized representative of CST, are rejected and are of no force or effect.

Products are labeled with For Research Use Only or a similar labeling statement and have not been approved, cleared, or licensed by the FDA or other regulatory foreign or domestic entity, for any purpose. Customer shall not use any Product for any diagnostic or therapeutic purpose, or otherwise in any manner that conflicts with its labeling statement. Products sold or licensed by CST are provided for Customer as the end-user and solely for research and development uses. Any use of Product for diagnostic, prophylactic or therapeutic purposes, or any purchase of Product for resale (alone or as a component) or other commercial purpose, requires a separate license from CST. Customer shall (a) not sell, license, loan, donate or otherwise transfer or make available any Product to any third party, whether alone or in combination with other materials, or use the Products to manufacture any commercial products, (b) not copy, modify, reverse engineer, decompile, disassemble or otherwise attempt to discover the underlying structure or technology of the Products, or use the Products for the purpose of developing any products or services that would compete with CST products or services, (c) not alter or remove from the Products any trademarks, trade names, logos, patent or copyright notices or markings, (d) use the Products solely in accordance with CST Product Terms of Sale and any applicable documentation, and (e) comply with any license, terms of service or similar agreement with respect to any third party products or services used by Customer in connection with the Products.

Orders: 877-616-CELL (2355) [email protected] Support: 877-678-TECH (8324) [email protected] Web: cellsignal.com
For Research Use Only. Not for Use in Diagnostic Procedures.

Revision 6

Cell Signaling Technology Logo
Western blot analysis of extracts from various mouse and human cells using Granzyme B (E5V2L) Rabbit mAb (upper) or β-Actin (D6A8) Rabbit mAb #8457 (lower). As expected, Granzyme B (E5V2L) Rabbit mAb only detects Granzyme B in mouse primary CD8+ T cells and mouse T cell lines. CD8+ T cells were purified from mouse spleens or human blood and stimulated for 7 days using beads coated with CD3 and CD28 antibodies in the presence of Mouse Interleukin-2 (mIL-2) #5201 (20 ng/ml) or Human Interleukin-2 (hIL-2) #8907 (20 ng/ml). KARPAS cell line source: Dr. Abraham Karpas at the University of Cambridge.
Western Blotting Image 1: Granzyme B (E5V2L) Rabbit Monoclonal Antibody
Immunohistochemical analysis of paraffin-embedded CT26.WT syngeneic tumor using Granzyme B (E5V2L) Rabbit mAb performed on the Leica® BOND™ Rx.
Immunohistochemistry Image 1: Granzyme B (E5V2L) Rabbit Monoclonal Antibody
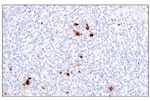
Immunohistochemical analysis of paraffin-embedded 4T1 syngeneic mammary tumor using Granzyme B (E5V2L) Rabbit mAb.
Immunohistochemistry Image 1: Granzyme B (E5V2L) Rabbit Monoclonal Antibody
Orders: 877-616-CELL (2355) [email protected] Support: 877-678-TECH (8324) [email protected] Web: cellsignal.com
For Research Use Only. Not for Use in Diagnostic Procedures.

Revision 6

Cell Signaling Technology Logo
Immunohistochemical analysis of paraffin-embedded mouse small intestine using Granzyme B (E5V2L) Rabbit mAb (left) compared to concentration matched Rabbit (DA1E) mAb IgG XP® Isotype Control #3900 (right).
Immunohistochemistry Image 2: Granzyme B (E5V2L) Rabbit Monoclonal Antibody
Flow cytometric analysis of C2C12 cells (blue, negative) and CTLL-2 cells (green, positive) using Granzyme B (E5V2L) Rabbit mAb (solid lines) or a concentration-matched Rabbit (DA1E) mAb IgG XP® Isotype Control #3900 (dashed lines). Anti-rabbit IgG (H+L), F(ab')2 Fragment (Alexa Fluor® 488 Conjugate) #4412 was used as a secondary antibody.
Flow Cytometry Image 1: Granzyme B (E5V2L) Rabbit Monoclonal Antibody
Orders: 877-616-CELL (2355) [email protected] Support: 877-678-TECH (8324) [email protected] Web: cellsignal.com
For Research Use Only. Not for Use in Diagnostic Procedures.