Revision 3

#83424

Store at -20C

CST Logo
Orders:

877-616-CELL (2355)

[email protected]

Support:

877-678-TECH (8324)

3 Trask Lane | Danvers | Massachusetts | 01923 | USA

For Research Use Only. Not for Use in Diagnostic Procedures.

Applications:
W, IF-F

Reactivity:
M

Sensitivity:
Endogenous

MW (kDa):
25

Source/Isotype:
Rabbit IgG

UniProt ID:
#P08882

Entrez-Gene Id:
14940

Product Usage Information

Application Dilution
Western Blotting 1:1000
Immunofluorescence (Frozen) 1:800 - 1:1600

Storage

Supplied in 10 mM sodium HEPES (pH 7.5), 150 mM NaCl, 100 µg/mL BSA, 50% glycerol, and less than 0.02% sodium azide. Store at –20°C. Do not aliquot the antibody.

For a carrier free (BSA and azide free) version of this product see product #10352.

Specificity/Sensitivity

Granzyme C (E5M3N) Rabbit Monoclonal Antibody recognizes endogenous levels of total Granzyme C protein. This antibody does not cross-react with other Granzyme proteins.

Source / Purification

Monoclonal antibody is produced by immunizing animals with a synthetic peptide corresponding to residues surrounding Val190 of mouse Granzyme C protein.

Background

Granzymes are a family of serine proteases expressed by cytotoxic T lymphocytes and natural killer (NK) cells and are key components of immune responses to pathogens and transformed cells (1). In mice, ten family members have been identified: A, B, C, D, E, F, G, K, M, and N (2). Granzymes are synthesized as zymogens and are processed into mature enzymes by cleavage of a leader sequence. They are released by exocytosis in lysosome-like granules containing perforin, a membrane pore-forming protein (3). Granzyme C is the closest murine homolog of human Granzyme H and is located directly downstream of GzmB (4). Granzyme C has been demonstrated to induce cell death with a similar potency as Granzyme B, and CTLs from mice with reduced expression of Granzyme C and F display diminished cytotoxicity (5). Granzyme C has been identified as a marker for type 1 innate lymphoid cells (ILC1s) exhibiting cytotoxic effector function in addition to ‘helper-like’ function (6). These cells have been shown to regulate antitumor immunity and autoimmunity in mouse models (6).

Species Reactivity

Species reactivity is determined by testing in at least one approved application (e.g., western blot).

Western Blot Buffer

IMPORTANT: For western blots, incubate membrane with diluted primary antibody in 5% w/v BSA, 1X TBS, 0.1% Tween® 20 at 4°C with gentle shaking, overnight.

Applications Key

W: Western Blotting IF-F: Immunofluorescence (Frozen)

Cross-Reactivity Key

M: Mouse

Trademarks and Patents

Cell Signaling Technology is a trademark of Cell Signaling Technology, Inc.

All other trademarks are the property of their respective owners. Visit cellsignal.com/trademarks for more information.

Limited Uses

Except as otherwise expressly agreed in a writing signed by a legally authorized representative of CST, the following terms apply to Products provided by CST, its affiliates or its distributors. Any Customer's terms and conditions that are in addition to, or different from, those contained herein, unless separately accepted in writing by a legally authorized representative of CST, are rejected and are of no force or effect.

Products are labeled with For Research Use Only or a similar labeling statement and have not been approved, cleared, or licensed by the FDA or other regulatory foreign or domestic entity, for any purpose. Customer shall not use any Product for any diagnostic or therapeutic purpose, or otherwise in any manner that conflicts with its labeling statement. Products sold or licensed by CST are provided for Customer as the end-user and solely for research and development uses. Any use of Product for diagnostic, prophylactic or therapeutic purposes, or any purchase of Product for resale (alone or as a component) or other commercial purpose, requires a separate license from CST. Customer shall (a) not sell, license, loan, donate or otherwise transfer or make available any Product to any third party, whether alone or in combination with other materials, or use the Products to manufacture any commercial products, (b) not copy, modify, reverse engineer, decompile, disassemble or otherwise attempt to discover the underlying structure or technology of the Products, or use the Products for the purpose of developing any products or services that would compete with CST products or services, (c) not alter or remove from the Products any trademarks, trade names, logos, patent or copyright notices or markings, (d) use the Products solely in accordance with CST Product Terms of Sale and any applicable documentation, and (e) comply with any license, terms of service or similar agreement with respect to any third party products or services used by Customer in connection with the Products.

Orders: 877-616-CELL (2355) [email protected] Support: 877-678-TECH (8324) [email protected] Web: cellsignal.com
For Research Use Only. Not for Use in Diagnostic Procedures.

Revision 3

Cell Signaling Technology Logo
Western blot analysis of extracts from mouse CD8+ T cells, CTLL-2 cells, and C2C12 cells using Granzyme C (E5M3N) Rabbit mAb (upper) or β-Actin (D6A8) Rabbit mAb #8457 (lower). Negative expression of Granzyme C protein in C2C12 cells is consistent with the predicted expression pattern.
Western Blotting Image 1: Granzyme C (E5M3N) Rabbit Monoclonal Antibody
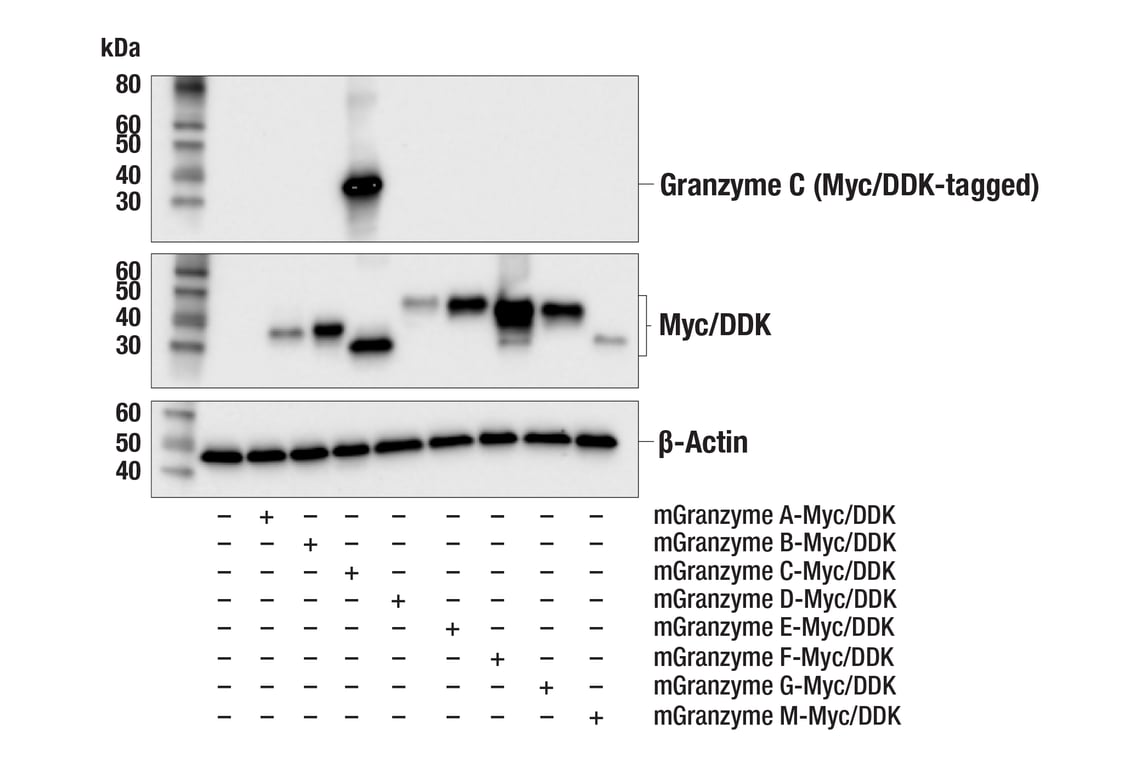
Western blot analysis of extracts from 293T cells, mock transfected (-) or transfected (+) with constructs expressing Myc/DDK-tagged full-length mouse Granzyme A (mGranzyme A-Myc/DDK), Myc/DDK-tagged full-length mouse Granzyme B (mGranzyme B-Myc/DDK), Myc/DDK-tagged full-length mouse Granzyme C (mGranzyme C-Myc/DDK), Myc/DDK-tagged full-length mouse Granzyme D (mGranzyme D-Myc/DDK), Myc/DDK-tagged full-length mouse Granzyme E (mGranzyme E-Myc/DDK), Myc/DDK-tagged full-length mouse Granzyme F (mGranzyme F-Myc/DDK), Myc/DDK-tagged full-length mouse Granzyme G (mGranzyme G-Myc/DDK), or Myc/DDK-tagged full-length mouse Granzyme M (mGranzyme M-Myc/DDK), using Granzyme C (E5M3N) Rabbit mAb (upper), Myc-Tag (71D10) Rabbit mAb #2278 (middle), or β-Actin (D6A8) Rabbit mAb #8457 (lower).
Western Blotting Image 2: Granzyme C (E5M3N) Rabbit Monoclonal Antibody
Confocal immunofluorescent analysis of fixed frozen mouse placenta, labeled with Granzyme C (E5M3N) Rabbit mAb (left, green) and DyLight 554 Phalloidin #13054 (right, red). Sections were mounted in ProLong Gold Antifade Reagent with DAPI #8961 (right, blue).
Immunofluorescence Image 1: Granzyme C (E5M3N) Rabbit Monoclonal Antibody
Orders: 877-616-CELL (2355) [email protected] Support: 877-678-TECH (8324) [email protected] Web: cellsignal.com
For Research Use Only. Not for Use in Diagnostic Procedures.