Revision 7

#12456

Store at -20C

CST Logo
Orders:

877-616-CELL (2355)

[email protected]

Support:

877-678-TECH (8324)

3 Trask Lane | Danvers | Massachusetts | 01923 | USA

For Research Use Only. Not for Use in Diagnostic Procedures.

Applications:
W, W-S, IP, IHC-P, IF-IC, FC-FP

Reactivity:
H M R Mk

Sensitivity:
Endogenous

MW (kDa):
46

Source/Isotype:
Rabbit IgG

UniProt ID:
#P49841

Entrez-Gene Id:
2932

Product Usage Information

Application Dilution
Western Blotting 1:1000
Simple Western™ 1:50 - 1:250
Immunoprecipitation 1:50
Immunohistochemistry (Paraffin) 1:400 - 1:1600
Immunofluorescence (Immunocytochemistry) 1:200 - 1:800
Flow Cytometry (Fixed/Permeabilized) 1:100 - 1:400

Storage

Supplied in 10 mM sodium HEPES (pH 7.5), 150 mM NaCl, 100 µg/ml BSA, 50% glycerol and less than 0.02% sodium azide. Store at –20°C. Do not aliquot the antibody.

For a carrier free (BSA and azide free) version of this product see product #37653.

Specificity/Sensitivity

GSK-3 beta (D5C5Z) Rabbit Monoclonal Antibody recognizes endogenous levels of total GSK-3β protein. This antibody does not cross-react with GSK-3α protein.

Source / Purification

Monoclonal antibody is produced by immunizing animals with recombinant protein specific to the carboxy terminus of human GSK-3β protein.

Background

Glycogen synthase kinase-3 (GSK-3) was initially identified as an enzyme that regulates glycogen synthesis in response to insulin (1). GSK-3 is a ubiquitously expressed serine/threonine protein kinase that phosphorylates and inactivates glycogen synthase. GSK-3 is a critical downstream element of the PI3K/Akt cell survival pathway whose activity can be inhibited by Akt-mediated phosphorylation at Ser21 of GSK-3α and Ser9 of GSK-3β (2,3). GSK-3 has been implicated in the regulation of cell fate in Dictyostelium and is a component of the Wnt signaling pathway required for Drosophila, Xenopus, and mammalian development (4). GSK-3 has been shown to regulate cyclin D1 proteolysis and subcellular localization (5).

Species Reactivity

Species reactivity is determined by testing in at least one approved application (e.g., western blot).

Western Blot Buffer

IMPORTANT: For western blots, incubate membrane with diluted primary antibody in 5% w/v BSA, 1X TBS, 0.1% Tween® 20 at 4°C with gentle shaking, overnight.

Applications Key

W: Western Blotting W-S: Simple Western™ IP: Immunoprecipitation IHC-P: Immunohistochemistry (Paraffin) IF-IC: Immunofluorescence (Immunocytochemistry) FC-FP: Flow Cytometry (Fixed/Permeabilized)

Cross-Reactivity Key

H: Human M: Mouse R: Rat Mk: Monkey

Trademarks and Patents

Cell Signaling Technology is a trademark of Cell Signaling Technology, Inc.

Alexa Fluor is a registered trademark of Life Technologies Corporation.

All other trademarks are the property of their respective owners. Visit cellsignal.com/trademarks for more information.

Limited Uses

Except as otherwise expressly agreed in a writing signed by a legally authorized representative of CST, the following terms apply to Products provided by CST, its affiliates or its distributors. Any Customer's terms and conditions that are in addition to, or different from, those contained herein, unless separately accepted in writing by a legally authorized representative of CST, are rejected and are of no force or effect.

Products are labeled with For Research Use Only or a similar labeling statement and have not been approved, cleared, or licensed by the FDA or other regulatory foreign or domestic entity, for any purpose. Customer shall not use any Product for any diagnostic or therapeutic purpose, or otherwise in any manner that conflicts with its labeling statement. Products sold or licensed by CST are provided for Customer as the end-user and solely for research and development uses. Any use of Product for diagnostic, prophylactic or therapeutic purposes, or any purchase of Product for resale (alone or as a component) or other commercial purpose, requires a separate license from CST. Customer shall (a) not sell, license, loan, donate or otherwise transfer or make available any Product to any third party, whether alone or in combination with other materials, or use the Products to manufacture any commercial products, (b) not copy, modify, reverse engineer, decompile, disassemble or otherwise attempt to discover the underlying structure or technology of the Products, or use the Products for the purpose of developing any products or services that would compete with CST products or services, (c) not alter or remove from the Products any trademarks, trade names, logos, patent or copyright notices or markings, (d) use the Products solely in accordance with CST Product Terms of Sale and any applicable documentation, and (e) comply with any license, terms of service or similar agreement with respect to any third party products or services used by Customer in connection with the Products.

Orders: 877-616-CELL (2355) [email protected] Support: 877-678-TECH (8324) [email protected] Web: cellsignal.com
For Research Use Only. Not for Use in Diagnostic Procedures.

Revision 7

Cell Signaling Technology Logo
Western blot analysis of extracts from wild-type, GSK-3α (-/-), and GSK3β (-/-) mouse embryonic fibroblasts (MEFs) using GSK-3β (D5C5Z) XP® Rabbit mAb (upper) and GSK-3α/β (D75D3) XP® Rabbit mAb #5676 (lower). (MEF wild type, GSK-3α (-/-), and GSK-3β (-/-) cells were kindly provided by Dr. Jim Woodgett, University of Toronto, Canada).
Western Blotting Image 1: GSK-3 beta (D5C5Z) Rabbit Monoclonal Antibody
Western blot analysis of extracts from various cell lines using GSK-3β (D5C5Z) XP® Rabbit mAb.
Western Blotting Image 2: GSK-3 beta (D5C5Z) Rabbit Monoclonal Antibody
Simple Western™ analysis of lysates (1 mg/mL) from 3T3 cells using GSK-3β (D5C5Z) XP® Rabbit mAb #12456. The virtual lane view (left) shows a single target band (as indicated) at 1:50 and 1:250 dilutions of primary antibody. The corresponding electropherogram view (right) plots chemiluminescence by molecular weight along the capillary at 1:50 (blue line) and 1:250 (green line) dilutions of primary antibody. This experiment was performed under reducing conditions on the Jess™ Simple Western instrument from ProteinSimple, a BioTechne brand, using the 12-230 kDa separation module.
Western Blotting Image 1: GSK-3 beta (D5C5Z) Rabbit Monoclonal Antibody
Orders: 877-616-CELL (2355) [email protected] Support: 877-678-TECH (8324) [email protected] Web: cellsignal.com
For Research Use Only. Not for Use in Diagnostic Procedures.

Revision 7

Cell Signaling Technology Logo
Immunoprecipitation of GSK-3β from PC-12 cell extracts, using Rabbit (DA1E) mAb IgG XP® Isotype Control #3900 (lane 2) or GSK-3β (D5C5Z) XP® Rabbit mAb (lane 3). Lane 1 is 10% input. Western blot analysis was performed using GSK-3β (D5C5Z) XP® Rabbit mAb.
Immunoprecipitation Image 1: GSK-3 beta (D5C5Z) Rabbit Monoclonal Antibody
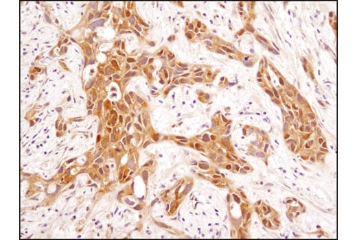
Immunohistochemical analysis of paraffin-embedded human breast carcinoma using GSK-3β (D5C5Z) XP® Rabbit mAb.
Immunohistochemistry Image 1: GSK-3 beta (D5C5Z) Rabbit Monoclonal Antibody
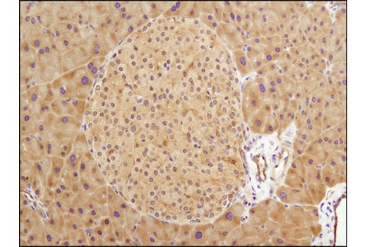
Immunohistochemical analysis of paraffin-embedded mouse pancreas using GSK-3β (D5C5Z) XP® Rabbit mAb.
Immunohistochemistry Image 2: GSK-3 beta (D5C5Z) Rabbit Monoclonal Antibody
Orders: 877-616-CELL (2355) [email protected] Support: 877-678-TECH (8324) [email protected] Web: cellsignal.com
For Research Use Only. Not for Use in Diagnostic Procedures.

Revision 7

Cell Signaling Technology Logo
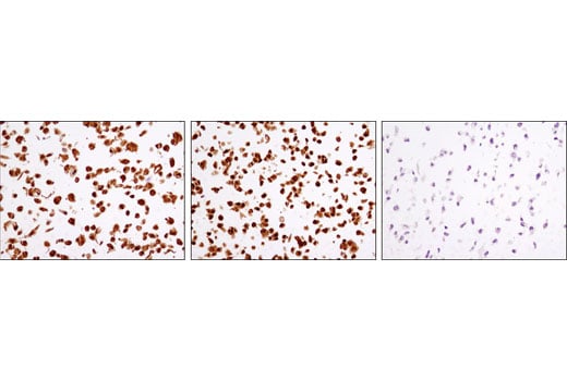
Immunohistochemical analysis of paraffin-embedded MEF cell pellets, wild type (left), GSK-3α (-/-) (middle) and GSK-3β (-/-) (right) using GSK-3β (D5C5Z) XP® Rabbit mAb. (MEF wild type, GSK-3β (-/-), and GSK-3α (-/-) cells were kindly provided by Dr. Jim Woodgett, University of Toronto, Canada).
Immunohistochemistry Image 3: GSK-3 beta (D5C5Z) Rabbit Monoclonal Antibody
Confocal immunofluorescent analysis of wild-type mouse embryonic fibroblasts (MEFs) (left), GSK-3α (-/-) MEFs (center)and GSK-3β (-/-) MEFs (right) using GSK-3β (D5C5Z) XP® Rabbit mAb (green). Actin filaments were labeled with DY-554 phalloidin (red). Blue pseudocolor = DRAQ5® #4084 (fluorescent DNA dye). (MEF wild type, GSK-3α (-/-), and GSK-3β (-/-) cells were kindly provided by Dr. Jim Woodgett, University of Toronto, Canada).
Immunofluorescence Image 1: GSK-3 beta (D5C5Z) Rabbit Monoclonal Antibody
Flow cytometric analysis of GSK-3β (-/-) MEFs (blue, negative) and wild type mouse embryonic fibroblasts (MEFs) (green, positive) using GSK-3β (D5C5Z) XP® Rabbit mAb or a concentration-matched Rabbit (DA1E) mAb IgG XP® Isotype Control #3900 (dashed lines). Anti-rabbit IgG (H+L), F(ab')2 Fragment (Alexa Fluor® 488 Conjugate) #4412 was used as a secondary antibody. (MEF wild type and GSK-3β (-/-) cells were kindly provided by Dr. Jim Woodgett, University of Toronto, Canada).
Flow Cytometry Image 1: GSK-3 beta (D5C5Z) Rabbit Monoclonal Antibody
Orders: 877-616-CELL (2355) [email protected] Support: 877-678-TECH (8324) [email protected] Web: cellsignal.com
For Research Use Only. Not for Use in Diagnostic Procedures.