Revision 4

#37517

Store at -20C

CST Logo
Orders:

877-616-CELL (2355)

[email protected]

Support:

877-678-TECH (8324)

3 Trask Lane | Danvers | Massachusetts | 01923 | USA

For Research Use Only. Not for Use in Diagnostic Procedures.

Applications:
W, IP, IHC-P

Reactivity:
H

Sensitivity:
Endogenous

MW (kDa):
145, 130

Source/Isotype:
Rabbit IgG

UniProt ID:
#P25092

Entrez-Gene Id:
2984

Product Usage Information

Application Dilution
Western Blotting 1:1000
Immunoprecipitation 1:50
Immunohistochemistry (Paraffin) 1:50

Storage

Supplied in 10 mM sodium HEPES (pH 7.5), 150 mM NaCl, 100 µg/mL BSA, 50% glycerol, and less than 0.02% sodium azide. Store at –20°C. Do not aliquot the antibody.

For a carrier free (BSA and azide free) version of this product see product #92931.

Specificity/Sensitivity

GUCY2C (E6I2U) Rabbit Monoclonal Antibody recognizes endogenous levels of total GUCY2C protein. Non-specific staining was observed in acinar cells of the salivary gland and keratinized epithelium of the skin by immunohistochemistry.

Source / Purification

Monoclonal antibody is produced by immunizing animals with a synthetic peptide corresponding to residues surrounding Lys1046 of human GUCY2C protein.

Background

Guanylyl cyclase C (GUCY2C) is a type I transmembrane glycoprotein whose expression in normal tissue is largely restricted to the apical membranes of polarized epithelial cells of the intestine (1,2). The guanylyl cyclase activity within the intracellular domain of GUCY2C is activated by binding exogenous bacterial enterotoxins and the endogenous peptide hormone agonists, guanylin and uroguanylin, which facilitates production of the second messenger cGMP (3-5). GUCY2C signaling plays a critical role in regulating the metabolism, proliferation, and differentiation of intestinal epithelial cells. These processes are critical for epithelial barrier renewal, water, and ion balance (6-8). Research studies have shown that the GUCY2C signaling axis functions to suppress intestinal tumorigenesis, in part, by restraining AKT activity (9,10). Lesions in the GUCY2C signaling axis that frequently contribute to cellular transformation are associated with a loss of expression of its endogenous ligands, which promotes a compensatory increase in GUCY2C expression. Indeed, GUCY2C expression is maintained in a high percentage of primary and metastatic human colorectal tumors, which has raised interest in therapeutically targeting this receptor (11,12).

Species Reactivity

Species reactivity is determined by testing in at least one approved application (e.g., western blot).

Western Blot Buffer

IMPORTANT: For western blots, incubate membrane with diluted primary antibody in 5% w/v BSA, 1X TBS, 0.1% Tween® 20 at 4°C with gentle shaking, overnight.

Applications Key

W: Western Blotting IP: Immunoprecipitation IHC-P: Immunohistochemistry (Paraffin)

Cross-Reactivity Key

H: Human

Trademarks and Patents

Cell Signaling Technology is a trademark of Cell Signaling Technology, Inc.

SignalStain is a registered trademark of Cell Signaling Technology, Inc.

All other trademarks are the property of their respective owners. Visit cellsignal.com/trademarks for more information.

Limited Uses

Except as otherwise expressly agreed in a writing signed by a legally authorized representative of CST, the following terms apply to Products provided by CST, its affiliates or its distributors. Any Customer's terms and conditions that are in addition to, or different from, those contained herein, unless separately accepted in writing by a legally authorized representative of CST, are rejected and are of no force or effect.

Products are labeled with For Research Use Only or a similar labeling statement and have not been approved, cleared, or licensed by the FDA or other regulatory foreign or domestic entity, for any purpose. Customer shall not use any Product for any diagnostic or therapeutic purpose, or otherwise in any manner that conflicts with its labeling statement. Products sold or licensed by CST are provided for Customer as the end-user and solely for research and development uses. Any use of Product for diagnostic, prophylactic or therapeutic purposes, or any purchase of Product for resale (alone or as a component) or other commercial purpose, requires a separate license from CST. Customer shall (a) not sell, license, loan, donate or otherwise transfer or make available any Product to any third party, whether alone or in combination with other materials, or use the Products to manufacture any commercial products, (b) not copy, modify, reverse engineer, decompile, disassemble or otherwise attempt to discover the underlying structure or technology of the Products, or use the Products for the purpose of developing any products or services that would compete with CST products or services, (c) not alter or remove from the Products any trademarks, trade names, logos, patent or copyright notices or markings, (d) use the Products solely in accordance with CST Product Terms of Sale and any applicable documentation, and (e) comply with any license, terms of service or similar agreement with respect to any third party products or services used by Customer in connection with the Products.

Orders: 877-616-CELL (2355) [email protected] Support: 877-678-TECH (8324) [email protected] Web: cellsignal.com
For Research Use Only. Not for Use in Diagnostic Procedures.

Revision 4

Cell Signaling Technology Logo
Western blot analysis of extracts from various cell lines using GUCY2C (E6I2U) Rabbit mAb (upper) or β-Actin (D6A8) Rabbit mAb #8457 (lower). Negative expression of GUCY2C protein in HCT 116 cells is consistent with published observations.
Western Blotting Image 1: GUCY2C (E6I2U) Rabbit Monoclonal Antibody
Western blot analysis of extracts from 293T cells, mock transfected (-) or transfected with a construct expressing Myc/DDK-tagged full-length human GUCY2C (hGUCY2C-Myc/DDK; +), using GUCY2C (E6I2U) Rabbit mAb (upper), Myc-Tag (71D10) Rabbit mAb #2278 (middle), or β-Actin (D6A8) Rabbit mAb #8457 (lower).
Western Blotting Image 2: GUCY2C (E6I2U) Rabbit Monoclonal Antibody
Western blot analysis of extracts from T84 cells, untreated (-) or treated with PNGase F (+), using GUCY2C (E6I2U) Rabbit mAb (upper) or β-Actin (D6A8) Rabbit mAb #8457 (lower).
Western Blotting Image 3: GUCY2C (E6I2U) Rabbit Monoclonal Antibody
Orders: 877-616-CELL (2355) [email protected] Support: 877-678-TECH (8324) [email protected] Web: cellsignal.com
For Research Use Only. Not for Use in Diagnostic Procedures.

Revision 4

Cell Signaling Technology Logo
Immunoprecipitation of GUCY2C protein from T84 cell extracts. Lane 1 is 10% input, lane 2 is Rabbit (DA1E) mAb IgG XP® Isotype Control #3900, and lane 3 is GUCY2C (E6I2U) Rabbit mAb. Western blot analysis was performed using GUCY2C (E6I2U) Rabbit mAb. Anti-rabbit IgG, HRP-linked Antibody #7074 was used as a secondary antibody.
Immunoprecipitation Image 1: GUCY2C (E6I2U) Rabbit Monoclonal Antibody
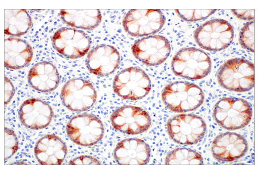
Immunohistochemical analysis of paraffin-embedded normal human colon using GUCY2C (E6I2U) Rabbit mAb.
Immunohistochemistry Image 1: GUCY2C (E6I2U) Rabbit Monoclonal Antibody
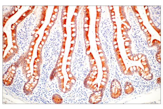
Immunohistochemical analysis of paraffin-embedded normal human small intestine using GUCY2C (E6I2U) Rabbit mAb.
Immunohistochemistry Image 2: GUCY2C (E6I2U) Rabbit Monoclonal Antibody
Orders: 877-616-CELL (2355) [email protected] Support: 877-678-TECH (8324) [email protected] Web: cellsignal.com
For Research Use Only. Not for Use in Diagnostic Procedures.

Revision 4

Cell Signaling Technology Logo
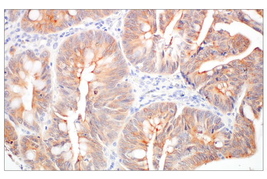
Immunohistochemical analysis of paraffin-embedded human colon adenocarcinoma using GUCY2C (E6I2U) Rabbit mAb.
Immunohistochemistry Image 3: GUCY2C (E6I2U) Rabbit Monoclonal Antibody
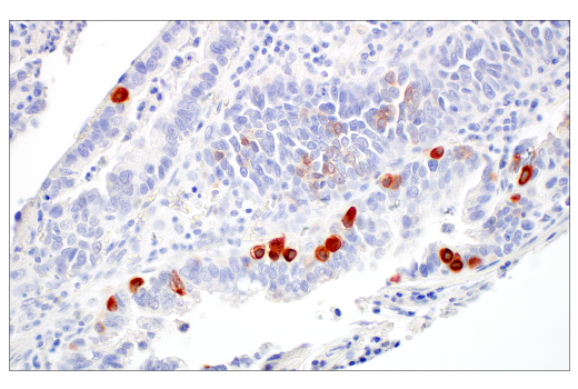
Immunohistochemical analysis of paraffin-embedded human esophageal carcinoma using GUCY2C (E6I2U) Rabbit mAb.
Immunohistochemistry Image 4: GUCY2C (E6I2U) Rabbit Monoclonal Antibody
Immunohistochemical analysis of paraffin-embedded human colon adenocarcinoma using GUCY2C (E6I2U) Rabbit mAb (left) or a GUCY2C Rabbit mAb (right). These two antibodies detect unique, non-overlapping epitopes on human GUCY2C. The similar staining patterns obtained with both antibodies help to confirm the specificity of the staining.
Immunohistochemistry Image 5: GUCY2C (E6I2U) Rabbit Monoclonal Antibody
Orders: 877-616-CELL (2355) [email protected] Support: 877-678-TECH (8324) [email protected] Web: cellsignal.com
For Research Use Only. Not for Use in Diagnostic Procedures.

Revision 4

Cell Signaling Technology Logo
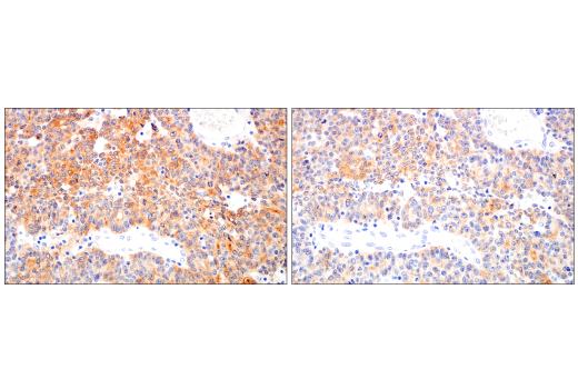
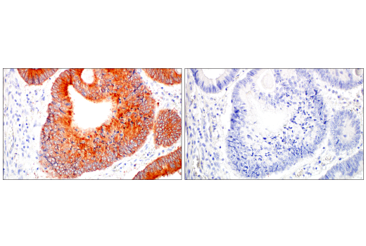
Immunohistochemical analysis of paraffin-embedded human colon adenocarcinoma using GUCY2C (E6I2U) Rabbit mAb (left) compared to concentration-matched Rabbit (DA1E) mAb IgG XP® Isotype Control #3900 (right). 
Immunohistochemistry Image 6: GUCY2C (E6I2U) Rabbit Monoclonal Antibody
Immunohistochemical analysis of paraffin-embedded T84 cell pellet (left, positive) or HCT 116 cell pellet (right, negative) using GUCY2C (E6I2U) Rabbit mAb.
Immunohistochemistry Image 7: GUCY2C (E6I2U) Rabbit Monoclonal Antibody
Orders: 877-616-CELL (2355) [email protected] Support: 877-678-TECH (8324) [email protected] Web: cellsignal.com
For Research Use Only. Not for Use in Diagnostic Procedures.