Revision 9

#20459

Store at -20C

CST Logo
Orders:

877-616-CELL (2355)

[email protected]

Support:

877-678-TECH (8324)

3 Trask Lane | Danvers | Massachusetts | 01923 | USA

For Research Use Only. Not for Use in Diagnostic Procedures.

Applications:
W, IP, IHC-P, ChIP

Reactivity:
H

Sensitivity:
Endogenous

MW (kDa):
110

Source/Isotype:
Rabbit IgG

UniProt ID:
#Q08050

Entrez-Gene Id:
2305

Product Usage Information

For optimal ChIP results, use 5uL of antibody and 10ug of chromatin (approximately 4 x 10^6 cells) per IP. This antibody has been validated using SimpleChIP® Enzymatic Chromatin IP Kits.
Application Dilution
Western Blotting 1:1000
Immunoprecipitation 1:50
Immunohistochemistry (Paraffin) 1:300 - 1:1200
Chromatin IP 1:100

Storage

Supplied in 10 mM sodium HEPES (pH 7.5), 150 mM NaCl, 100 µg/ml BSA, 50% glycerol and less than 0.02% sodium azide. Store at –20°C. Do not aliquot the antibody.

For a carrier free (BSA and azide free) version of this product see product #40826.

Specificity/Sensitivity

FoxM1 (D3F2B) Rabbit Monoclonal Antibody recognizes endogenous levels of total FoxM1 protein.

Source / Purification

Monoclonal antibody is produced by immunizing animals with a synthetic peptide corresponding to residues surrounding Val699 of human FoxM1 protein.

Background

Forkhead box M1 (FoxM1) is a forkhead box family transcription factor that regulates a number of genes throughout the cell cycle to help control DNA replication, mitosis, and cell proliferation. FoxM1 expression increases during G1 and S and reaches maximum levels in G2/M (1-3). Nuclear translocation occurs just before entry into G2/M and is associated with FoxM1 phosphorylation (4). Phosphorylation of FoxM1 by MAPK (Ser331, Ser704), Cyclin/Cdk (Ser4, Ser35, Thr600, Thr611, Thr620, Thr627, Ser638), Plk1 (Ser715, Ser724), and Chk2 (Ser376) stabilizes and activates FoxM1 (4-8). Forkhead box M1 is expressed in all embryonic tissues but is restricted to proliferating tissues in adults (9). Research studies show that FoxM1 expression is negatively regulated by p53 (10,11). Upregulation of FoxM1 is associated with many human cancers, including prostate, breast, lung, ovary, colon, pancreas, stomach, bladder, liver, and kidney, and may be associated with p53 mutations in some tumors (11,12). As a result, FoxM1 inhibitors have become a topic of interest for potential cancer therapy (13).

Species Reactivity

Species reactivity is determined by testing in at least one approved application (e.g., western blot).

Western Blot Buffer

IMPORTANT: For western blots, incubate membrane with diluted primary antibody in 5% w/v nonfat dry milk, 1X TBS, 0.1% Tween® 20 at 4°C with gentle shaking, overnight.

Applications Key

W: Western Blotting IP: Immunoprecipitation IHC-P: Immunohistochemistry (Paraffin) ChIP: Chromatin IP

Cross-Reactivity Key

H: Human

Trademarks and Patents

Cell Signaling Technology is a trademark of Cell Signaling Technology, Inc.

SignalStain is a registered trademark of Cell Signaling Technology, Inc.

SimpleChIP is a registered trademark of Cell Signaling Technology, Inc.

All other trademarks are the property of their respective owners. Visit cellsignal.com/trademarks for more information.

Limited Uses

Except as otherwise expressly agreed in a writing signed by a legally authorized representative of CST, the following terms apply to Products provided by CST, its affiliates or its distributors. Any Customer's terms and conditions that are in addition to, or different from, those contained herein, unless separately accepted in writing by a legally authorized representative of CST, are rejected and are of no force or effect.

Products are labeled with For Research Use Only or a similar labeling statement and have not been approved, cleared, or licensed by the FDA or other regulatory foreign or domestic entity, for any purpose. Customer shall not use any Product for any diagnostic or therapeutic purpose, or otherwise in any manner that conflicts with its labeling statement. Products sold or licensed by CST are provided for Customer as the end-user and solely for research and development uses. Any use of Product for diagnostic, prophylactic or therapeutic purposes, or any purchase of Product for resale (alone or as a component) or other commercial purpose, requires a separate license from CST. Customer shall (a) not sell, license, loan, donate or otherwise transfer or make available any Product to any third party, whether alone or in combination with other materials, or use the Products to manufacture any commercial products, (b) not copy, modify, reverse engineer, decompile, disassemble or otherwise attempt to discover the underlying structure or technology of the Products, or use the Products for the purpose of developing any products or services that would compete with CST products or services, (c) not alter or remove from the Products any trademarks, trade names, logos, patent or copyright notices or markings, (d) use the Products solely in accordance with CST Product Terms of Sale and any applicable documentation, and (e) comply with any license, terms of service or similar agreement with respect to any third party products or services used by Customer in connection with the Products.

Orders: 877-616-CELL (2355) [email protected] Support: 877-678-TECH (8324) [email protected] Web: cellsignal.com
For Research Use Only. Not for Use in Diagnostic Procedures.

Revision 9

Cell Signaling Technology Logo
Western blot analysis of extracts from HT-29, DLD-1, and MCF 10A cells using FoxM1 (D3F2B) Rabbit mAb (upper) and β-actin (D6A8) Rabbit mAb #8457 (lower).
Western Blotting Image 1: FoxM1 (D3F2B) Rabbit Monoclonal Antibody
Western blot analysis of extracts from HeLa cells, untreated (-) or treated with Aphidicolin (2 μM, 24 hr; +), using FoxM1 (D3F2B) Rabbit mAb (upper) and β-actin (D6A8) Rabbit mAb #8457 (lower).
Western Blotting Image 2: FoxM1 (D3F2B) Rabbit Monoclonal Antibody
Immunoprecipitation of FoxM1 protein from HT-29 cell extracts. Lane 1 is 10% input, lane 2 is Rabbit (DA1E) mAb IgG XP® Isotype Control #3900, and lane 3 is FoxM1 (D3F2B) Rabbit mAb. Western blot analysis was performed using FoxM1 (D3F2B) Rabbit mAb.
Immunoprecipitation Image 1: FoxM1 (D3F2B) Rabbit Monoclonal Antibody
Orders: 877-616-CELL (2355) [email protected] Support: 877-678-TECH (8324) [email protected] Web: cellsignal.com
For Research Use Only. Not for Use in Diagnostic Procedures.

Revision 9

Cell Signaling Technology Logo
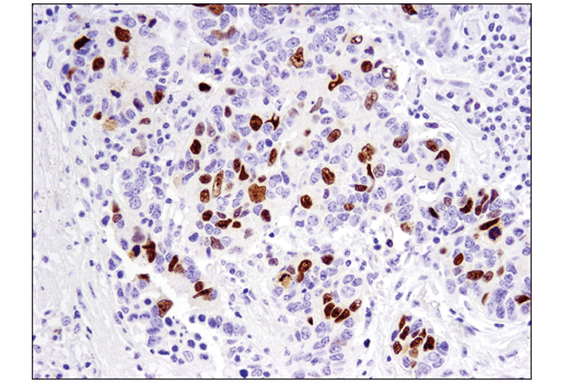
Immunohistochemical analysis of paraffin-embedded human non-small cell lung carcinoma using FoxM1 (D3F2B) Rabbit mAb.
Immunohistochemistry Image 1: FoxM1 (D3F2B) Rabbit Monoclonal Antibody
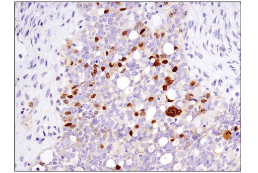
Immunohistochemical analysis of paraffin-embedded human serous papillary carcinoma of the ovary using FoxM1 (D3F2B) Rabbit mAb.
Immunohistochemistry Image 2: FoxM1 (D3F2B) Rabbit Monoclonal Antibody
Immunohistochemical analysis of paraffin-embedded U-2 OS cell pellet (left, high-expressing) or MCF10a cell pellet (right, low-expressing) using FoxM1 (D3F2B) Rabbit mAb.
Immunohistochemistry Image 3: FoxM1 (D3F2B) Rabbit Monoclonal Antibody
Orders: 877-616-CELL (2355) [email protected] Support: 877-678-TECH (8324) [email protected] Web: cellsignal.com
For Research Use Only. Not for Use in Diagnostic Procedures.

Revision 9

Cell Signaling Technology Logo
Immunohistochemical analysis of paraffin-embedded human colon carcinoma using FoxM1 (D3F2B) Rabbit mAb in the presence of control peptide (left) or antigen-specific peptide (right).
Immunohistochemistry Image 4: FoxM1 (D3F2B) Rabbit Monoclonal Antibody
Chromatin immunoprecipitations were performed with cross-linked chromatin from MCF7 cells, grown in phenol red-free medium and 5% charcoal-stripped FBS for 4 d, followed by treatment with β-estradio (10 nM, 45 min) and eitherFoxM1 (D3F2B) Rabbit mAb or Normal Rabbit IgG #2729 using SimpleChIP® Plus Enzymatic Chromatin IP Kit (Magnetic Beads) #9005. The enriched DNA was quantified by real-time PCR using Human CCNB1 Promoter Primers, and SimpleChIP® Human α Satellite Repeat Primers #4486. The amount of immunoprecipitated DNA in each sample is represented as signal relative to the total amount of input chromatin, which is equivalent to one.
Chromatin Immunoprecipitation Image 1: FoxM1 (D3F2B) Rabbit Monoclonal Antibody
Orders: 877-616-CELL (2355) [email protected] Support: 877-678-TECH (8324) [email protected] Web: cellsignal.com
For Research Use Only. Not for Use in Diagnostic Procedures.