Revision 3

#7558

Store at -20C

CST Logo
Orders:

877-616-CELL (2355)

[email protected]

Support:

877-678-TECH (8324)

3 Trask Lane | Danvers | Massachusetts | 01923 | USA

For Research Use Only. Not for Use in Diagnostic Procedures.

Applications:
W, IP, IHC-P, IF-IC, FC-FP

Reactivity:
H Mk

Sensitivity:
Endogenous

MW (kDa):
160

Source/Isotype:
Rabbit IgG

UniProt ID:
#Q9UBN7

Entrez-Gene Id:
10013

Product Usage Information

Application Dilution
Western Blotting 1:1000
Immunoprecipitation 1:100
Immunohistochemistry (Paraffin) 1:200 - 1:800
Immunofluorescence (Immunocytochemistry) 1:100 - 1:400
Flow Cytometry (Fixed/Permeabilized) 1:100 - 1:400

Storage

Supplied in 10 mM sodium HEPES (pH 7.5), 150 mM NaCl, 100 µg/ml BSA, 50% glycerol and less than 0.02% sodium azide. Store at –20°C. Do not aliquot the antibody.

Specificity/Sensitivity

HDAC6 (D2E5) Rabbit Monoclonal Antibody recognizes endogenous levels of total HDAC6 protein.

Source / Purification

Monoclonal antibody is produced by immunizing animals with a recombinant protein specific to the carboxy terminus of human HDAC6 protein.

Background

HDAC6 is a class II histone deacetylase enzyme localized to the cytoplasm and associated with the microtubule network (1). It is involved in the regulation of many cellular processes, including cell migration, immune synapse formation, viral infection, and degradation of misfolded proteins (1). HDAC6 contains two tandem catalytic domains that facilitate the deacetylation of multiple protein substrates, including histones and non-histone proteins such as tubulin, cortactin, and HSP90. Despite the ability to deacetylate histone proteins in vitro, there is no evidence for HDAC6-mediated deacetylation of histones in vivo (2,3). The acetylation/deacetylation of tubulin on Lys40 regulates binding and motility of the kinesin-1 motor protein and subsequent transport of cargo proteins such as JNK-interacting protein 1 (JIP1) (4). The acetylation/deacetylation of cortactin regulates cell motility by modulating the binding of cortactin to F-actin (5). Acetylation/deacetylation of HSP90 modulates chaperone complex activity by regulating the binding of an essential cochaperone protein, p23 (6,7). In addition to its role as a protein deacetylase, HDAC6 functions as a component of the aggresome, a proteinaceous inclusion body that forms in response to an accumulation of misfolded or partially denatured proteins (8). Formation of the aggresome is a protective response that sequesters cytotoxic protein aggregates for eventual autophagic clearance from the cell. HDAC6 contains a zinc finger ubiquitin-binding domain that binds both mono- and poly-ubiquitinated proteins (8). HDAC6 binds to both poly-ubiquitinated misfolded proteins and dynein motors, facilitating the transport of misfolded proteins to the aggresome (9,10). HDAC6 is also required for subsequent recruitment of the autophagic machinery and clearance of aggresomes from the cell (11). Thus, HDAC6 plays a key role in the protection against the deleterious effects of pathological protein aggregation that occurs in various diseases, such as neurodegenerative Huntington’s disease (11).

Species Reactivity

Species reactivity is determined by testing in at least one approved application (e.g., western blot).

Western Blot Buffer

IMPORTANT: For western blots, incubate membrane with diluted primary antibody in 5% w/v BSA, 1X TBS, 0.1% Tween® 20 at 4°C with gentle shaking, overnight.

Applications Key

W: Western Blotting IP: Immunoprecipitation IHC-P: Immunohistochemistry (Paraffin) IF-IC: Immunofluorescence (Immunocytochemistry) FC-FP: Flow Cytometry (Fixed/Permeabilized)

Cross-Reactivity Key

H: Human Mk: Monkey

Trademarks and Patents

Cell Signaling Technology is a trademark of Cell Signaling Technology, Inc.

Alexa Fluor is a registered trademark of Life Technologies Corporation.

All other trademarks are the property of their respective owners. Visit cellsignal.com/trademarks for more information.

Limited Uses

Except as otherwise expressly agreed in a writing signed by a legally authorized representative of CST, the following terms apply to Products provided by CST, its affiliates or its distributors. Any Customer's terms and conditions that are in addition to, or different from, those contained herein, unless separately accepted in writing by a legally authorized representative of CST, are rejected and are of no force or effect.

Products are labeled with For Research Use Only or a similar labeling statement and have not been approved, cleared, or licensed by the FDA or other regulatory foreign or domestic entity, for any purpose. Customer shall not use any Product for any diagnostic or therapeutic purpose, or otherwise in any manner that conflicts with its labeling statement. Products sold or licensed by CST are provided for Customer as the end-user and solely for research and development uses. Any use of Product for diagnostic, prophylactic or therapeutic purposes, or any purchase of Product for resale (alone or as a component) or other commercial purpose, requires a separate license from CST. Customer shall (a) not sell, license, loan, donate or otherwise transfer or make available any Product to any third party, whether alone or in combination with other materials, or use the Products to manufacture any commercial products, (b) not copy, modify, reverse engineer, decompile, disassemble or otherwise attempt to discover the underlying structure or technology of the Products, or use the Products for the purpose of developing any products or services that would compete with CST products or services, (c) not alter or remove from the Products any trademarks, trade names, logos, patent or copyright notices or markings, (d) use the Products solely in accordance with CST Product Terms of Sale and any applicable documentation, and (e) comply with any license, terms of service or similar agreement with respect to any third party products or services used by Customer in connection with the Products.

Orders: 877-616-CELL (2355) [email protected] Support: 877-678-TECH (8324) [email protected] Web: cellsignal.com
For Research Use Only. Not for Use in Diagnostic Procedures.

Revision 3

Cell Signaling Technology Logo
Western blot analysis of extracts from various cell lines using HDAC6 (D2E5) Rabbit mAb.
Western Blotting Image 1: HDAC6 (D2E5) Rabbit Monoclonal Antibody
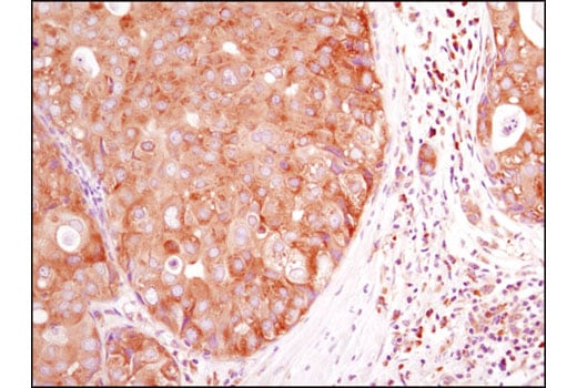
Immunohistochemical analysis of paraffin-embedded human breast carcinoma using HDAC6 (D2E5) Rabbit mAb.
Immunohistochemistry Image 1: HDAC6 (D2E5) Rabbit Monoclonal Antibody
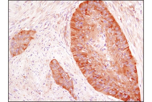
Immunohistochemical analysis of paraffin-embedded human colon carcinoma using HDAC6 (D2E5) Rabbit mAb.
Immunohistochemistry Image 2: HDAC6 (D2E5) Rabbit Monoclonal Antibody
Orders: 877-616-CELL (2355) [email protected] Support: 877-678-TECH (8324) [email protected] Web: cellsignal.com
For Research Use Only. Not for Use in Diagnostic Procedures.

Revision 3

Cell Signaling Technology Logo
Confocal immunofluorescent analysis of A549 cells, untreated (left) or treated with MG132 (5 μM, 24 hr; right), using HDAC6 (D2E5) Rabbit mAb (green). Actin filaments were labeled with DY-554 phalloidin (red). Blue pseudocolor = DRAQ5®#4084 (fluorescent DNA dye).
Immunofluorescence Image 1: HDAC6 (D2E5) Rabbit Monoclonal Antibody
Flow cytometric analysis of K562 cells using HDAC6 (D2E5) Rabbit mAb (solid line) compared to concentration-matched Rabbit (DA1E) mAb IgG XP® Isotype Control #3900 (dashed line). Anti-rabbit IgG (H+L), F(ab')2 Fragment (Alexa Fluor® 488 Conjugate) #4412 was used as a secondary antibody.
Flow Cytometry Image 1: HDAC6 (D2E5) Rabbit Monoclonal Antibody
Orders: 877-616-CELL (2355) [email protected] Support: 877-678-TECH (8324) [email protected] Web: cellsignal.com
For Research Use Only. Not for Use in Diagnostic Procedures.