Revision 1

#59976

Store at -20C

CST Logo
Orders:

877-616-CELL (2355)

[email protected]

Support:

877-678-TECH (8324)

3 Trask Lane | Danvers | Massachusetts | 01923 | USA

For Research Use Only. Not for Use in Diagnostic Procedures.

Applications:
W, IHC-Bond, IHC-P

Reactivity:
H M

Sensitivity:
Endogenous

MW (kDa):
58, 63-70, 85

Source/Isotype:
Rabbit IgG

UniProt ID:
#Q9UKS7

Entrez-Gene Id:
22807

Product Usage Information

This product is the carrier-free version of product #89270. All data were generated using the same antibody clone in the standard formulation which contains BSA and glycerol.

This formulation is ideal for use with technologies requiring specialized or custom antibody labeling, including fluorophores, metals, lanthanides, and oligonucleotides. It is not recommended for ChIP, ChIP-seq, CUT&RUN, or CUT&Tag assays. If you require a carrier-free formulation for chromatin profiling, please contact us. Optimal dilutions/concentrations should be determined by the end user.

BSA and Azide Free antibodies are quality control tested by size exclusion chromatography (SEC) to determine antibody integrity.

Formulation

Supplied in 1X PBS (10 mM Na2HPO4, 3 mM KCl, 2 mM KH2PO4, and 140 mM NaCl (pH 7.8)). BSA and Azide Free.

For standard formulation of this product see product #89270.

Storage

Store at -20°C. This product will freeze at -20°C so it is recommended to aliquot into single-use vials to avoid multiple freeze/thaw cycles. A slight precipitate may be present and can be dissolved by gently vortexing. This will not interfere with antibody performance.

Specificity/Sensitivity

Helios (E4L5U) Rabbit Monoclonal Antibody (BSA and Azide Free) recognizes endogenous levels of total Helios protein. Non-specific non-nuclear staining was observed in some mouse tissues by immunohistochemistry.

Species predicted to react based on 100% sequence homology

Bovine

Source / Purification

Monoclonal antibody is produced by immunizing animals with a synthetic peptide corresponding to residues surrounding Gly73 of human Helios protein.

Background

Helios (Ikaros family zinc finger 2, IKZF2) is an Ikaros family transcription factor composed of several zinc fingers that mediate DNA binding and homodimerization or heterodimerization with other Ikaros family proteins (1,2). In the hematopoietic system, Helios expression is restricted to T cells and early hematopoietic progenitors (1,2). In regulatory T cells, expression of Helios contributes to an anergic phenotype by binding to the IL-2 promoter and suppressing IL-2 transcription (3). In addition, alteration of the corresponding Helios gene IKZF2 is one hallmark of low-hypodiploid acute lymphoblastic leukemia (4).

Species Reactivity

Species reactivity is determined by testing in at least one approved application (e.g., western blot).

Applications Key

W: Western Blotting IHC-Bond: IHC Leica Bond IHC-P: Immunohistochemistry (Paraffin)

Cross-Reactivity Key

H: Human M: Mouse

Trademarks and Patents

Cell Signaling Technology is a trademark of Cell Signaling Technology, Inc.

SignalStain is a registered trademark of Cell Signaling Technology, Inc.

All other trademarks are the property of their respective owners. Visit cellsignal.com/trademarks for more information.

Limited Uses

Except as otherwise expressly agreed in a writing signed by a legally authorized representative of CST, the following terms apply to Products provided by CST, its affiliates or its distributors. Any Customer's terms and conditions that are in addition to, or different from, those contained herein, unless separately accepted in writing by a legally authorized representative of CST, are rejected and are of no force or effect.

Products are labeled with For Research Use Only or a similar labeling statement and have not been approved, cleared, or licensed by the FDA or other regulatory foreign or domestic entity, for any purpose. Customer shall not use any Product for any diagnostic or therapeutic purpose, or otherwise in any manner that conflicts with its labeling statement. Products sold or licensed by CST are provided for Customer as the end-user and solely for research and development uses. Any use of Product for diagnostic, prophylactic or therapeutic purposes, or any purchase of Product for resale (alone or as a component) or other commercial purpose, requires a separate license from CST. Customer shall (a) not sell, license, loan, donate or otherwise transfer or make available any Product to any third party, whether alone or in combination with other materials, or use the Products to manufacture any commercial products, (b) not copy, modify, reverse engineer, decompile, disassemble or otherwise attempt to discover the underlying structure or technology of the Products, or use the Products for the purpose of developing any products or services that would compete with CST products or services, (c) not alter or remove from the Products any trademarks, trade names, logos, patent or copyright notices or markings, (d) use the Products solely in accordance with CST Product Terms of Sale and any applicable documentation, and (e) comply with any license, terms of service or similar agreement with respect to any third party products or services used by Customer in connection with the Products.

Orders: 877-616-CELL (2355) [email protected] Support: 877-678-TECH (8324) [email protected] Web: cellsignal.com
For Research Use Only. Not for Use in Diagnostic Procedures.

Revision 1

Cell Signaling Technology Logo
Western blot analysis of extracts from Jurkat, EL4, and NIH/3T3 cells using Helios (E4L5U) Rabbit mAb (upper) or β-Actin (D6A8) Rabbit mAb #8457 (lower). As expected, Helios protein is not detected in NIH/3T3 cells. Data were generated using the standard formulation of this product.
Western Blotting Image 1: Helios (E4L5U) Rabbit Monoclonal Antibody (BSA and Azide Free)
Western blot analysis of extracts from various cell lines using Helios (E4L5U) Rabbit mAb (upper) or β-Actin (D6A8) Rabbit mAb #8457 (lower). As expected, Helios protein is not expressed in RL cells. Data were generated using the standard formulation of this product.
Western Blotting Image 2: Helios (E4L5U) Rabbit Monoclonal Antibody (BSA and Azide Free)
Immunohistochemical analysis of paraffin-embedded human colon carcinoma using Helios (E4L5U) Rabbit mAb performed on the Leica® BOND™ Rx. Data were generated using the standard formulation of this product.
Immunohistochemistry Image 1: Helios (E4L5U) Rabbit Monoclonal Antibody (BSA and Azide Free)
Orders: 877-616-CELL (2355) [email protected] Support: 877-678-TECH (8324) [email protected] Web: cellsignal.com
For Research Use Only. Not for Use in Diagnostic Procedures.

Revision 1

Cell Signaling Technology Logo
Immunohistochemical analysis of paraffin-embedded human T-cell lymphoblastic lymphoma using Helios (E4L5U) Rabbit mAb performed on the Leica® BOND™ Rx. Data were generated using the standard formulation of this product.
Immunohistochemistry Image 2: Helios (E4L5U) Rabbit Monoclonal Antibody (BSA and Azide Free)
Immunohistochemical analysis of paraffin-embedded mouse spleen using Helios (E4L5U) Rabbit mAb. Data were generated using the standard formulation of this product.
Immunohistochemistry Image 1: Helios (E4L5U) Rabbit Monoclonal Antibody (BSA and Azide Free)
Immunohistochemical analysis of paraffin-embedded Jurkat cell pellet (left, positive) or RL cell pellet (right, negative) using Helios (E4L5U) Rabbit mAb. Data were generated using the standard formulation of this product.
Immunohistochemistry Image 2: Helios (E4L5U) Rabbit Monoclonal Antibody (BSA and Azide Free)
Orders: 877-616-CELL (2355) [email protected] Support: 877-678-TECH (8324) [email protected] Web: cellsignal.com
For Research Use Only. Not for Use in Diagnostic Procedures.

Revision 1

Cell Signaling Technology Logo
Immunohistochemical analysis of paraffin-embedded human urothelial carcinoma using Helios (E4L5U) Rabbit mAb (left) compared to concentration-matched Rabbit (DA1E) mAb IgG XP® Isotype Control #3900 (right). Data were generated using the standard formulation of this product.
Immunohistochemistry Image 3: Helios (E4L5U) Rabbit Monoclonal Antibody (BSA and Azide Free)
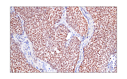
Immunohistochemical analysis of paraffin-embedded human squamous cell lung carcinoma using Helios (E4L5U) Rabbit mAb. Data were generated using the standard formulation of this product.
Immunohistochemistry Image 4: Helios (E4L5U) Rabbit Monoclonal Antibody (BSA and Azide Free)
Immunohistochemical analysis of paraffin-embedded human ovarian serous carcinoma using Helios (E4L5U) Rabbit mAb. Data were generated using the standard formulation of this product.
Immunohistochemistry Image 5: Helios (E4L5U) Rabbit Monoclonal Antibody (BSA and Azide Free)
Orders: 877-616-CELL (2355) [email protected] Support: 877-678-TECH (8324) [email protected] Web: cellsignal.com
For Research Use Only. Not for Use in Diagnostic Procedures.

Revision 1

Cell Signaling Technology Logo
Immunohistochemical analysis of paraffin-embedded human B-cell non-Hodgkin lymphoma (left) or prostate carcinoma (right) using Helios (E4L5U) Rabbit mAb (upper) or Helios Rabbit mAb (lower). These two antibodies detect independent, unique epitopes on human Helios. The similar staining patterns obtained with both antibodies help to confirm the specificity of the staining. Data were generated using the standard formulation of this product.
Immunohistochemistry Image 6: Helios (E4L5U) Rabbit Monoclonal Antibody (BSA and Azide Free)
Orders: 877-616-CELL (2355) [email protected] Support: 877-678-TECH (8324) [email protected] Web: cellsignal.com
For Research Use Only. Not for Use in Diagnostic Procedures.