Revision 4

#89270

Store at -20C

CST Logo
Orders:

877-616-CELL (2355)

[email protected]

Support:

877-678-TECH (8324)

3 Trask Lane | Danvers | Massachusetts | 01923 | USA

For Research Use Only. Not for Use in Diagnostic Procedures.

Applications:
W, IP, IHC-Bond, IHC-P

Reactivity:
H M

Sensitivity:
Endogenous

MW (kDa):
58, 63-70, 85

Source/Isotype:
Rabbit IgG

UniProt ID:
#Q9UKS7

Entrez-Gene Id:
22807

Product Usage Information

Application Dilution
Western Blotting 1:1000
Immunoprecipitation 1:200
IHC Leica Bond 1:125 - 1:500
Immunohistochemistry (Paraffin) 1:250 - 1:1000

Storage

Supplied in 10 mM sodium HEPES (pH 7.5), 150 mM NaCl, 100 µg/ml BSA, 50% glycerol and less than 0.02% sodium azide. Store at –20°C. Do not aliquot the antibody.

For a carrier-free (BSA and azide free) version of this product see product #59976.

Specificity/Sensitivity

Helios (E4L5U) Rabbit Monoclonal Antibody recognizes endogenous levels of total Helios protein. Non-specific non-nuclear staining was observed in some mouse tissues by immunohistochemistry.

Species predicted to react based on 100% sequence homology

Bovine

Source / Purification

Monoclonal antibody is produced by immunizing animals with a synthetic peptide corresponding to residues surrounding Gly73 of human Helios protein.

Background

Helios (Ikaros family zinc finger 2, IKZF2) is an Ikaros family transcription factor composed of several zinc fingers that mediate DNA binding and homodimerization or heterodimerization with other Ikaros family proteins (1,2). In the hematopoietic system, Helios expression is restricted to T cells and early hematopoietic progenitors (1,2). In regulatory T cells, expression of Helios contributes to an anergic phenotype by binding to the IL-2 promoter and suppressing IL-2 transcription (3). In addition, alteration of the corresponding Helios gene IKZF2 is one hallmark of low-hypodiploid acute lymphoblastic leukemia (4).

Species Reactivity

Species reactivity is determined by testing in at least one approved application (e.g., western blot).

Western Blot Buffer

IMPORTANT: For western blots, incubate membrane with diluted primary antibody in 5% w/v BSA, 1X TBS, 0.1% Tween® 20 at 4°C with gentle shaking, overnight.

Applications Key

W: Western Blotting IP: Immunoprecipitation IHC-Bond: IHC Leica Bond IHC-P: Immunohistochemistry (Paraffin)

Cross-Reactivity Key

H: Human M: Mouse

Trademarks and Patents

Cell Signaling Technology is a trademark of Cell Signaling Technology, Inc.

SignalStain is a registered trademark of Cell Signaling Technology, Inc.

All other trademarks are the property of their respective owners. Visit cellsignal.com/trademarks for more information.

Limited Uses

Except as otherwise expressly agreed in a writing signed by a legally authorized representative of CST, the following terms apply to Products provided by CST, its affiliates or its distributors. Any Customer's terms and conditions that are in addition to, or different from, those contained herein, unless separately accepted in writing by a legally authorized representative of CST, are rejected and are of no force or effect.

Products are labeled with For Research Use Only or a similar labeling statement and have not been approved, cleared, or licensed by the FDA or other regulatory foreign or domestic entity, for any purpose. Customer shall not use any Product for any diagnostic or therapeutic purpose, or otherwise in any manner that conflicts with its labeling statement. Products sold or licensed by CST are provided for Customer as the end-user and solely for research and development uses. Any use of Product for diagnostic, prophylactic or therapeutic purposes, or any purchase of Product for resale (alone or as a component) or other commercial purpose, requires a separate license from CST. Customer shall (a) not sell, license, loan, donate or otherwise transfer or make available any Product to any third party, whether alone or in combination with other materials, or use the Products to manufacture any commercial products, (b) not copy, modify, reverse engineer, decompile, disassemble or otherwise attempt to discover the underlying structure or technology of the Products, or use the Products for the purpose of developing any products or services that would compete with CST products or services, (c) not alter or remove from the Products any trademarks, trade names, logos, patent or copyright notices or markings, (d) use the Products solely in accordance with CST Product Terms of Sale and any applicable documentation, and (e) comply with any license, terms of service or similar agreement with respect to any third party products or services used by Customer in connection with the Products.

Orders: 877-616-CELL (2355) [email protected] Support: 877-678-TECH (8324) [email protected] Web: cellsignal.com
For Research Use Only. Not for Use in Diagnostic Procedures.

Revision 4

Cell Signaling Technology Logo
Western blot analysis of extracts from various cell lines using Helios (E4L5U) Rabbit mAb (upper) or β-Actin (D6A8) Rabbit mAb #8457 (lower). As expected, Helios protein is not expressed in RL cells.
Western Blotting Image 1: Helios (E4L5U) Rabbit Monoclonal Antibody
Western blot analysis of extracts from Jurkat, EL4, and NIH/3T3 cells using Helios (E4L5U) Rabbit mAb (upper) or β-Actin (D6A8) Rabbit mAb #8457 (lower). As expected, Helios protein is not detected in NIH/3T3 cells.
Western Blotting Image 2: Helios (E4L5U) Rabbit Monoclonal Antibody
Immunoprecipitation of Helios from Jurkat cell extracts. Lane 1 is 10% input, lane 2 is Rabbit (DA1E) mAb IgG XP® Isotype Control #3900, and lane 3 is Helios (E4L5U) Rabbit mAb. Western blot analysis was performed using Helios (E4L5U) Rabbit mAb. Mouse Anti-rabbit IgG (Conformation Specific) (L27A9) mAb (HRP Conjugate) #5127 was used for detection to avoid cross-reactivity with IgG.
Immunoprecipitation Image 1: Helios (E4L5U) Rabbit Monoclonal Antibody
Orders: 877-616-CELL (2355) [email protected] Support: 877-678-TECH (8324) [email protected] Web: cellsignal.com
For Research Use Only. Not for Use in Diagnostic Procedures.

Revision 4

Cell Signaling Technology Logo
Immunohistochemical analysis of paraffin-embedded human colon carcinoma using Helios (E4L5U) Rabbit mAb performed on the Leica® BOND™ Rx. 
Immunohistochemistry Image 1: Helios (E4L5U) Rabbit Monoclonal Antibody
Immunohistochemical analysis of paraffin-embedded human T-cell lymphoblastic lymphoma using Helios (E4L5U) Rabbit mAb performed on the Leica® BOND™ Rx.
Immunohistochemistry Image 2: Helios (E4L5U) Rabbit Monoclonal Antibody
Immunohistochemical analysis of paraffin-embedded human B-cell non-Hodgkin's lymphoma (left) or prostate carcinoma (right) using Helios (E4L5U) Rabbit mAb (upper) or Helios Rabbit mAb (lower). These two antibodies detect independent, unique epitopes on human Helios. The similar staining patterns obtained with both antibodies help to confirm the specificity of the staining.
Immunohistochemistry Image 1: Helios (E4L5U) Rabbit Monoclonal Antibody
Orders: 877-616-CELL (2355) [email protected] Support: 877-678-TECH (8324) [email protected] Web: cellsignal.com
For Research Use Only. Not for Use in Diagnostic Procedures.

Revision 4

Cell Signaling Technology Logo
Immunohistochemical analysis of paraffin-embedded human urothelial carcinoma using Helios (E4L5U) Rabbit mAb (left) compared to concentration-matched Rabbit (DA1E) mAb IgG XP® Isotype Control #3900 (right).
Immunohistochemistry Image 2: Helios (E4L5U) Rabbit Monoclonal Antibody
Immunohistochemical analysis of paraffin-embedded Jurkat cell pellet (left, positive) or RL cell pellet (right, negative) using Helios (E4L5U) Rabbit mAb.
Immunohistochemistry Image 3: Helios (E4L5U) Rabbit Monoclonal Antibody
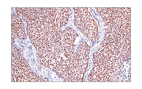
Immunohistochemical analysis of paraffin-embedded human squamous cell lung carcinoma using Helios (E4L5U) Rabbit mAb.
Immunohistochemistry Image 4: Helios (E4L5U) Rabbit Monoclonal Antibody
Orders: 877-616-CELL (2355) [email protected] Support: 877-678-TECH (8324) [email protected] Web: cellsignal.com
For Research Use Only. Not for Use in Diagnostic Procedures.

Revision 4

Cell Signaling Technology Logo
Immunohistochemical analysis of paraffin-embedded mouse spleen using Helios (E4L5U) Rabbit mAb.
Immunohistochemistry Image 5: Helios (E4L5U) Rabbit Monoclonal Antibody
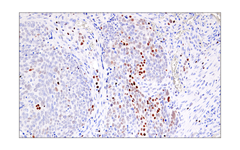
Immunohistochemical analysis of paraffin-embedded human ovarian serous carcinoma using Helios (E4L5U) Rabbit mAb.
Immunohistochemistry Image 6: Helios (E4L5U) Rabbit Monoclonal Antibody
Orders: 877-616-CELL (2355) [email protected] Support: 877-678-TECH (8324) [email protected] Web: cellsignal.com
For Research Use Only. Not for Use in Diagnostic Procedures.