Revision 3

#39386

Store at -20C

CST Logo
Orders:

877-616-CELL (2355)

[email protected]

Support:

877-678-TECH (8324)

3 Trask Lane | Danvers | Massachusetts | 01923 | USA

For Research Use Only. Not for Use in Diagnostic Procedures.

Applications:
W, FC-FP

Reactivity:
H

Sensitivity:
Endogenous

MW (kDa):
12

Source/Isotype:
Rabbit IgG

UniProt ID:
#P69891

Entrez-Gene Id:
3047

Product Usage Information

Application Dilution
Western Blotting 1:1000
Flow Cytometry (Fixed/Permeabilized) 1:50

Storage

Supplied in 10 mM sodium HEPES (pH 7.5), 150 mM NaCl, 100 µg/ml BSA, 50% glycerol and less than 0.02% sodium azide. Store at –20°C. Do not aliquot the antibody.

For a carrier free (BSA and azide free) version of this product see product #91175.

Specificity/Sensitivity

Hemoglobin gamma (D4K7X) Rabbit Monoclonal Antibody recognizes endogenous levels of the hemoglobin γ subunit. This antibody recognizes both HBG1 and HBG2 isoforms, but does not cross-react with the hemoglobin β subunit.

Source / Purification

Monoclonal antibody is produced by immunizing animals with a synthetic peptide corresponding to residues surrounding Val21 of human hemoglobin γ (HBG1) protein.

Background

Hemoglobin (Hb, Hbg) is a heme-containing transport protein found primarily in the red blood cells of humans and most other vertebrates. The primary function of hemoglobin is to transport oxygen from the external environment to body tissues. Hemoglobin also facilitates metabolic waste removal by assisting in the transport of carbon dioxide from tissues back to the respiratory organs (1). Mature hemoglobin is a tetrameric protein complex, with each subunit containing an oxygen-binding heme group (2). Multiple isoforms of hemoglobin exist, which vary in relative abundance depending on developmental stage. Adult hemoglobin (HbA) is composed of two α subunits and two β subunits and is the predominant hemoglobin found in red blood cells of children and adults. Fetal hemoglobin (HbF) contains two α subunits and two γ subunits and is the predominant isoform found during fetal and early postnatal development (2,3). Mutations that alter the structure or abundance of specific globin subunits can result in pathological conditions known as hemoglobinopathies (4). One such disorder is sickle cell disease, which is characterized by structural abnormalities that limit the oxygen carrying capacity of red blood cells. By contrast, thalassemia disorders are characterized by deficiencies in the abundance of specific hemoglobin subunits (4). Clinical treatments that are designed to alter the expression of specific hemoglobin subunits can be used to treat hemoglobinopathies (5).

Species Reactivity

Species reactivity is determined by testing in at least one approved application (e.g., western blot).

Western Blot Buffer

IMPORTANT: For western blots, incubate membrane with diluted primary antibody in 5% w/v BSA, 1X TBS, 0.1% Tween® 20 at 4°C with gentle shaking, overnight.

Applications Key

W: Western Blotting FC-FP: Flow Cytometry (Fixed/Permeabilized)

Cross-Reactivity Key

H: Human

Trademarks and Patents

Cell Signaling Technology is a trademark of Cell Signaling Technology, Inc.

Alexa Fluor is a registered trademark of Life Technologies Corporation.

All other trademarks are the property of their respective owners. Visit cellsignal.com/trademarks for more information.

Limited Uses

Except as otherwise expressly agreed in a writing signed by a legally authorized representative of CST, the following terms apply to Products provided by CST, its affiliates or its distributors. Any Customer's terms and conditions that are in addition to, or different from, those contained herein, unless separately accepted in writing by a legally authorized representative of CST, are rejected and are of no force or effect.

Products are labeled with For Research Use Only or a similar labeling statement and have not been approved, cleared, or licensed by the FDA or other regulatory foreign or domestic entity, for any purpose. Customer shall not use any Product for any diagnostic or therapeutic purpose, or otherwise in any manner that conflicts with its labeling statement. Products sold or licensed by CST are provided for Customer as the end-user and solely for research and development uses. Any use of Product for diagnostic, prophylactic or therapeutic purposes, or any purchase of Product for resale (alone or as a component) or other commercial purpose, requires a separate license from CST. Customer shall (a) not sell, license, loan, donate or otherwise transfer or make available any Product to any third party, whether alone or in combination with other materials, or use the Products to manufacture any commercial products, (b) not copy, modify, reverse engineer, decompile, disassemble or otherwise attempt to discover the underlying structure or technology of the Products, or use the Products for the purpose of developing any products or services that would compete with CST products or services, (c) not alter or remove from the Products any trademarks, trade names, logos, patent or copyright notices or markings, (d) use the Products solely in accordance with CST Product Terms of Sale and any applicable documentation, and (e) comply with any license, terms of service or similar agreement with respect to any third party products or services used by Customer in connection with the Products.

Orders: 877-616-CELL (2355) [email protected] Support: 877-678-TECH (8324) [email protected] Web: cellsignal.com
For Research Use Only. Not for Use in Diagnostic Procedures.

Revision 3

Cell Signaling Technology Logo
Western blot analysis of extracts from various cell lines using Hemoglobin γ (D4K7X) Rabbit mAb (upper) and β-Actin (D6A8) Rabbit mAb #8457 (lower).
Western Blotting Image 1: Hemoglobin gamma (D4K7X) Rabbit Monoclonal Antibody
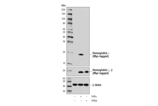
Western blot analysis of extracts from 293T cells, mock-transfected (-) or transfected with a construct expressing Myc-tagged full-length human hemoglobin γ (hHbγ, +) or hemoglobin β (hHbβ, +), using Hemoglobin γ (D4K7X) Rabbit mAb (upper), Myc-Tag (71D10) Rabbit mAb #2278 (middle), and β-Actin (D6A8) Rabbit mAb #8457 (lower).
Western Blotting Image 2: Hemoglobin gamma (D4K7X) Rabbit Monoclonal Antibody
Flow cytometric analysis of K-562 (green) and Ramos (blue) cells using Hemoglobin γ (D4K7X) Rabbit mAb. Anti-rabbit IgG (H+L), F(ab')2 Fragment (Alexa Fluor® 488 Conjugate) #4412 was used as a secondary antibody.
Flow Cytometry Image 1: Hemoglobin gamma (D4K7X) Rabbit Monoclonal Antibody
Orders: 877-616-CELL (2355) [email protected] Support: 877-678-TECH (8324) [email protected] Web: cellsignal.com
For Research Use Only. Not for Use in Diagnostic Procedures.