Revision 5

#4290

Store at -20C

CST Logo
Orders:

877-616-CELL (2355)

[email protected]

Support:

877-678-TECH (8324)

3 Trask Lane | Danvers | Massachusetts | 01923 | USA

For Research Use Only. Not for Use in Diagnostic Procedures.

Applications:
W, W-S, IHC-Bond, IHC-P

Reactivity:
H M

Sensitivity:
Endogenous

MW (kDa):
185

Source/Isotype:
Rabbit IgG

UniProt ID:
#P04626

Entrez-Gene Id:
2064

Product Usage Information

Application Dilution
Western Blotting 1:1000
Simple Western™ 1:50 - 1:250
IHC Leica Bond 1:200 - 1:800
Immunohistochemistry (Paraffin) 1:400 - 1:1600

Storage

Supplied in 10 mM sodium HEPES (pH 7.5), 150 mM NaCl, 100 µg/ml BSA, 50% glycerol and less than 0.02% sodium azide. Store at –20°C. Do not aliquot the antibody.

For a carrier free (BSA and azide free) version of this product see product #85254.

Specificity/Sensitivity

HER2/ErbB2 (D8F12) Rabbit Monoclonal Antibody detects endogenous levels of total HER/ErbB2 protein. This antibody may cross-react slightly with other overexpressed RTKs.

Species predicted to react based on 100% sequence homology

Rat

Source / Purification

Monoclonal antibody is produced by immunizing animals with a synthetic peptide corresponding to residues near the amino terminus of human HER2/ErbB2 protein.

Background

The ErbB2 (HER2) proto-oncogene encodes a 185 kDa transmembrane, receptor-like glycoprotein with intrinsic tyrosine kinase activity (1). While ErbB2 lacks an identified ligand, ErbB2 kinase activity can be activated in the absence of a ligand when overexpressed and through heteromeric associations with other ErbB family members (2). Amplification of the ErbB2 gene and overexpression of its product are detected in almost 40% of human breast cancers (3). Binding of the c-Cbl ubiquitin ligase to ErbB2 at Tyr1112 leads to ErbB2 poly-ubiquitination and enhances degradation of this kinase (4). ErbB2 is a key therapeutic target in the treatment of breast cancer and other carcinomas and targeting the regulation of ErbB2 degradation by the c-Cbl-regulated proteolytic pathway is one potential therapeutic strategy. Phosphorylation of the kinase domain residue Tyr877 of ErbB2 (homologous to Tyr416 of pp60c-Src) may be involved in regulating ErbB2 biological activity. The major autophosphorylation sites in ErbB2 are Tyr1248 and Tyr1221/1222; phosphorylation of these sites couples ErbB2 to the Ras-Raf-MAP kinase signal transduction pathway (1,5).

Species Reactivity

Species reactivity is determined by testing in at least one approved application (e.g., western blot).

Western Blot Buffer

IMPORTANT: For western blots, incubate membrane with diluted primary antibody in 5% w/v BSA, 1X TBS, 0.1% Tween® 20 at 4°C with gentle shaking, overnight.

Applications Key

W: Western Blotting W-S: Simple Western™ IHC-Bond: IHC Leica Bond IHC-P: Immunohistochemistry (Paraffin)

Cross-Reactivity Key

H: Human M: Mouse

Trademarks and Patents

Cell Signaling Technology is a trademark of Cell Signaling Technology, Inc.

All other trademarks are the property of their respective owners. Visit cellsignal.com/trademarks for more information.

Limited Uses

Except as otherwise expressly agreed in a writing signed by a legally authorized representative of CST, the following terms apply to Products provided by CST, its affiliates or its distributors. Any Customer's terms and conditions that are in addition to, or different from, those contained herein, unless separately accepted in writing by a legally authorized representative of CST, are rejected and are of no force or effect.

Products are labeled with For Research Use Only or a similar labeling statement and have not been approved, cleared, or licensed by the FDA or other regulatory foreign or domestic entity, for any purpose. Customer shall not use any Product for any diagnostic or therapeutic purpose, or otherwise in any manner that conflicts with its labeling statement. Products sold or licensed by CST are provided for Customer as the end-user and solely for research and development uses. Any use of Product for diagnostic, prophylactic or therapeutic purposes, or any purchase of Product for resale (alone or as a component) or other commercial purpose, requires a separate license from CST. Customer shall (a) not sell, license, loan, donate or otherwise transfer or make available any Product to any third party, whether alone or in combination with other materials, or use the Products to manufacture any commercial products, (b) not copy, modify, reverse engineer, decompile, disassemble or otherwise attempt to discover the underlying structure or technology of the Products, or use the Products for the purpose of developing any products or services that would compete with CST products or services, (c) not alter or remove from the Products any trademarks, trade names, logos, patent or copyright notices or markings, (d) use the Products solely in accordance with CST Product Terms of Sale and any applicable documentation, and (e) comply with any license, terms of service or similar agreement with respect to any third party products or services used by Customer in connection with the Products.

Orders: 877-616-CELL (2355) [email protected] Support: 877-678-TECH (8324) [email protected] Web: cellsignal.com
For Research Use Only. Not for Use in Diagnostic Procedures.

Revision 5

Cell Signaling Technology Logo
Western blot analysis of extracts from SK-BR-3, MDA-MB-453, MCF-7, and mIMCD-3 cells using HER2/ErbB2 (D8F12) XP® Rabbit mAb (upper) or GAPDH (D16H11) XP® Rabbit mAb #5174 (lower).
Western Blotting Image 1: HER2/ErbB2 (D8F12) Rabbit Monoclonal Antibody
Simple Western™ analysis of lysates (0.1 mg/mL) from SK-BR-3 cells using HER2/ErbB2 (D8F12) XP® Rabbit mAb #4290. The virtual lane view (left) shows a single target band (as indicated) at 1:50 and 1:250 dilutions of primary antibody. The corresponding electropherogram view (right) plots chemiluminescence by molecular weight along the capillary at 1:50 (blue line) and 1:250 (green line) dilutions of primary antibody. This experiment was performed under reducing conditions on the Jess™ ​​​​​​​ Simple Western instrument from ProteinSimple, a BioTechne brand, using the 12-230 kDa separation module.
Western Blotting Image 1: HER2/ErbB2 (D8F12) Rabbit Monoclonal Antibody
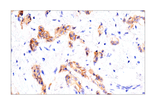
Immunohistochemical analysis of paraffin-embedded human urothelial carcinoma using HER2/ErbB2 (D8F12) XP® Rabbit mAb performed on the Leica® BOND™ Rx. 
Immunohistochemistry Image 1: HER2/ErbB2 (D8F12) Rabbit Monoclonal Antibody
Orders: 877-616-CELL (2355) [email protected] Support: 877-678-TECH (8324) [email protected] Web: cellsignal.com
For Research Use Only. Not for Use in Diagnostic Procedures.

Revision 5

Cell Signaling Technology Logo
Immunohistochemical analysis of paraffin-embedded human urothelial carcinoma using HER2/ErbB2 (D8F12) XP® Rabbit mAb performed on the Leica® BOND™ Rx. 
Immunohistochemistry Image 2: HER2/ErbB2 (D8F12) Rabbit Monoclonal Antibody
Immunohistochemical analysis of paraffin-embedded human lung adenocarcinoma using HER2/ErbB2 (D8F12) XP® Rabbit mAb performed on the Leica® BOND™ Rx. 
Immunohistochemistry Image 3: HER2/ErbB2 (D8F12) Rabbit Monoclonal Antibody
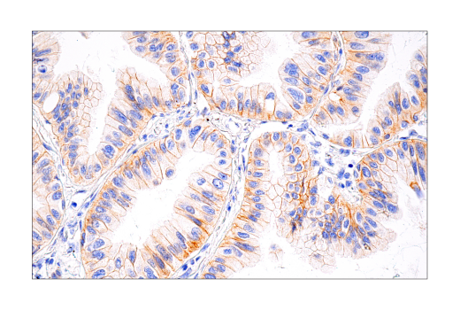
Immunohistochemical analysis of paraffin-embedded human prostate carcinoma using HER2/ErbB2 (D8F12) XP® Rabbit mAb performed on the Leica® BOND™ Rx. 
Immunohistochemistry Image 4: HER2/ErbB2 (D8F12) Rabbit Monoclonal Antibody
Orders: 877-616-CELL (2355) [email protected] Support: 877-678-TECH (8324) [email protected] Web: cellsignal.com
For Research Use Only. Not for Use in Diagnostic Procedures.

Revision 5

Cell Signaling Technology Logo
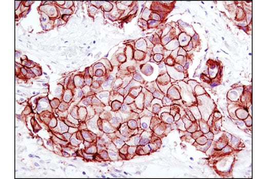
Immunohistochemical analysis of paraffin-embedded human breast carcinoma using HER2/ErbB2 (D8F12) XP® Rabbit mAb.
Immunohistochemistry Image 1: HER2/ErbB2 (D8F12) Rabbit Monoclonal Antibody
Immunohistochemical analysis of paraffin-embedded human ductal breast carcinoma using HER2/ErbB2 (D8F12) XP® Rabbit mAb.
Immunohistochemistry Image 2: HER2/ErbB2 (D8F12) Rabbit Monoclonal Antibody
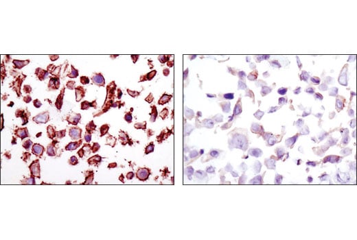
Immunohistochemical analysis of paraffin-embedded SK-BR-3 (Her2 high, left) and MCF7 cell pellets (Her2 low, right) using HER2/ErbB2 (D8F12) XP® Rabbit mAb.
Immunohistochemistry Image 3: HER2/ErbB2 (D8F12) Rabbit Monoclonal Antibody
Orders: 877-616-CELL (2355) [email protected] Support: 877-678-TECH (8324) [email protected] Web: cellsignal.com
For Research Use Only. Not for Use in Diagnostic Procedures.