Revision 7

#12708

Store at -20C

CST Logo
Orders:

877-616-CELL (2355)

[email protected]

Support:

877-678-TECH (8324)

3 Trask Lane | Danvers | Massachusetts | 01923 | USA

For Research Use Only. Not for Use in Diagnostic Procedures.

Applications:
W, W-S, IP, IHC-Bond, IHC-P, IF-IC, FC-FP

Reactivity:
H M

Sensitivity:
Endogenous

MW (kDa):
185

Source/Isotype:
Rabbit IgG

UniProt ID:
#P21860

Entrez-Gene Id:
2065

Product Usage Information

Application Dilution
Western Blotting 1:1000
Simple Western™ 1:50 - 1:250
Immunoprecipitation 1:50
IHC Leica Bond 1:50
Immunohistochemistry (Paraffin) 1:125 - 1:500
Immunofluorescence (Immunocytochemistry) 1:100 - 1:200
Flow Cytometry (Fixed/Permeabilized) 1:100 - 1:400

Storage

Supplied in 10 mM sodium HEPES (pH 7.5), 150 mM NaCl, 100 µg/ml BSA, 50% glycerol and less than 0.02% sodium azide. Store at –20°C. Do not aliquot the antibody.

For a carrier free (BSA and azide free) version of this product see product #60638.

Specificity/Sensitivity

HER3/ErbB3 (D22C5) Rabbit Monoclonal Antibody recognizes endogenous levels of total HER3/ErbB3 protein. This antibody does not cross-react with other HER family proteins.

Species predicted to react based on 100% sequence homology

Rat

Source / Purification

Monoclonal antibody is produced by immunizing animals with recombinant protein corresponding to the carboxy terminus of human ErbB3 protein.

Background

HER3/ErbB3 is a member of the ErbB receptor protein tyrosine kinase family, but it lacks tyrosine kinase activity. Tyrosine phosphorylation of ErbB3 depends on its association with other ErbB tyrosine kinases. Upon ligand binding, heterodimers form between ErbB3 and other ErbB proteins, and ErbB3 is phosphorylated on tyrosine residues by the activated ErbB kinase (1,2). There are at least 9 potential tyrosine phosphorylation sites in the carboxy-terminal tail of ErbB3. These sites serve as consensus binding sites for signal transducing proteins, including Src family members, Grb2, and the p85 subunit of PI3 kinase, which mediate ErbB downstream signaling (3). Both Tyr1222 and Tyr1289 of ErbB3 reside within a YXXM motif and participate in signaling to PI3K (4).

Investigators have found that ErbB3 is highly expressed in many cancer cells (5) and activation of the ErbB3/PI3K pathway is correlated with malignant phenotypes of adenocarcinomas (6). Research studies have demonstrated that in tumor development, ErbB3 may function as an oncogenic unit together with other ErbB members (e.g., ErbB2 requires ErbB3 to drive breast tumor cell proliferation) (7). Thus, investigators view inhibiting interaction between ErbB3 and ErbB tyrosine kinases as a novel strategy for anti-tumor therapy.

Species Reactivity

Species reactivity is determined by testing in at least one approved application (e.g., western blot).

Western Blot Buffer

IMPORTANT: For western blots, incubate membrane with diluted primary antibody in 5% w/v nonfat dry milk, 1X TBS, 0.1% Tween® 20 at 4°C with gentle shaking, overnight.

Applications Key

W: Western Blotting W-S: Simple Western™ IP: Immunoprecipitation IHC-Bond: IHC Leica Bond IHC-P: Immunohistochemistry (Paraffin) IF-IC: Immunofluorescence (Immunocytochemistry) FC-FP: Flow Cytometry (Fixed/Permeabilized)

Cross-Reactivity Key

H: Human M: Mouse

Trademarks and Patents

Cell Signaling Technology is a trademark of Cell Signaling Technology, Inc.

Alexa Fluor is a registered trademark of Life Technologies Corporation.

All other trademarks are the property of their respective owners. Visit cellsignal.com/trademarks for more information.

Limited Uses

Except as otherwise expressly agreed in a writing signed by a legally authorized representative of CST, the following terms apply to Products provided by CST, its affiliates or its distributors. Any Customer's terms and conditions that are in addition to, or different from, those contained herein, unless separately accepted in writing by a legally authorized representative of CST, are rejected and are of no force or effect.

Products are labeled with For Research Use Only or a similar labeling statement and have not been approved, cleared, or licensed by the FDA or other regulatory foreign or domestic entity, for any purpose. Customer shall not use any Product for any diagnostic or therapeutic purpose, or otherwise in any manner that conflicts with its labeling statement. Products sold or licensed by CST are provided for Customer as the end-user and solely for research and development uses. Any use of Product for diagnostic, prophylactic or therapeutic purposes, or any purchase of Product for resale (alone or as a component) or other commercial purpose, requires a separate license from CST. Customer shall (a) not sell, license, loan, donate or otherwise transfer or make available any Product to any third party, whether alone or in combination with other materials, or use the Products to manufacture any commercial products, (b) not copy, modify, reverse engineer, decompile, disassemble or otherwise attempt to discover the underlying structure or technology of the Products, or use the Products for the purpose of developing any products or services that would compete with CST products or services, (c) not alter or remove from the Products any trademarks, trade names, logos, patent or copyright notices or markings, (d) use the Products solely in accordance with CST Product Terms of Sale and any applicable documentation, and (e) comply with any license, terms of service or similar agreement with respect to any third party products or services used by Customer in connection with the Products.

Orders: 877-616-CELL (2355) [email protected] Support: 877-678-TECH (8324) [email protected] Web: cellsignal.com
For Research Use Only. Not for Use in Diagnostic Procedures.

Revision 7

Cell Signaling Technology Logo
Western blot analysis of extracts from MCF7 (HER3+) and MDA-MB-231 (HER3-) cells using HER3/ErbB3 (D22C5) XP® Rabbit mAb (upper) or β-Actin (D6A8) Rabbit mAb #8457 (lower).
Western Blotting Image 1: HER3/ErbB3 (D22C5) Rabbit Monoclonal Antibody
Simple Western™ analysis of lysates (1.0 mg/mL) from MCF-7 cells using HER3/ErbB3 (D22C5) XP® Rabbit mAb #12708. The virtual lane view (left) shows the target band (as indicated) at 1:50 and 1:250 dilutions of primary antibody. The corresponding electropherogram view (right) plots chemiluminescence by molecular weight along the capillary at 1:50 (blue line) and 1:250 (green line) dilutions of primary antibody. This experiment was performed under reducing conditions on the Jess™ Simple Western instrument from ProteinSimple, a BioTechne brand, using the 44-660 kDa separation module.
Western Blotting Image 1: HER3/ErbB3 (D22C5) Rabbit Monoclonal Antibody
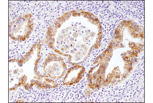
Immunohistochemical analysis of paraffin-embedded human ductal breast carcinoma using HER3/ErbB3 (D22C5) XP® Rabbit mAb performed on the Leica BOND Rx.
Immunohistochemistry Image 1: HER3/ErbB3 (D22C5) Rabbit Monoclonal Antibody
Orders: 877-616-CELL (2355) [email protected] Support: 877-678-TECH (8324) [email protected] Web: cellsignal.com
For Research Use Only. Not for Use in Diagnostic Procedures.

Revision 7

Cell Signaling Technology Logo
Immunohistochemical analysis of paraffin-embedded human ovarian clear cell carcinoma using HER3/ErbB3 (D22C5) XP® Rabbit mAb performed on the Leica BOND Rx.
Immunohistochemistry Image 2: HER3/ErbB3 (D22C5) Rabbit Monoclonal Antibody
Immunohistochemical analysis of paraffin-embedded human gastric carcinoma using HER3/ErbB3 (D22C5) XP® Rabbit mAb performed on the Leica BOND Rx.
Immunohistochemistry Image 3: HER3/ErbB3 (D22C5) Rabbit Monoclonal Antibody
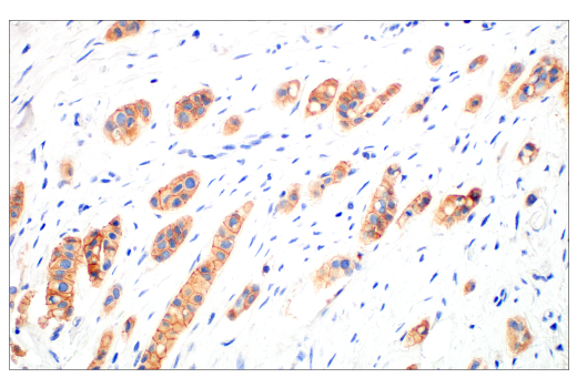
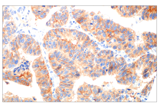
Immunohistochemical analysis of paraffin-embedded non-small cell lung carcinoma using HER3/ErbB3 (D22C5) XP® Rabbit mAb.
Immunohistochemistry Image 1: HER3/ErbB3 (D22C5) Rabbit Monoclonal Antibody
Orders: 877-616-CELL (2355) [email protected] Support: 877-678-TECH (8324) [email protected] Web: cellsignal.com
For Research Use Only. Not for Use in Diagnostic Procedures.

Revision 7

Cell Signaling Technology Logo
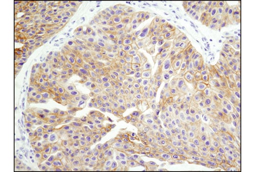
Immunohistochemical analysis of paraffin-embedded breast carcinoma using HER3/ErbB3 (D22C5) XP® Rabbit mAb.
Immunohistochemistry Image 2: HER3/ErbB3 (D22C5) Rabbit Monoclonal Antibody
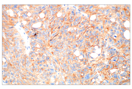
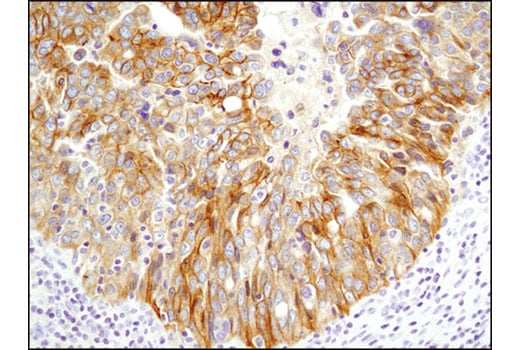
Immunohistochemical analysis of paraffin-embedded ovarian serous adenocarcinoma using HER3/ErbB3 (D22C5) XP® Rabbit mAb.
Immunohistochemistry Image 3: HER3/ErbB3 (D22C5) Rabbit Monoclonal Antibody
Immunohistochemical analysis of paraffin-embedded 293T cell pellets transfected with human erbB family members HER3, EGFR, HER2 and HER4 (from left to right as indicated) using HER3/ErbB3 (D22C5) XP® Rabbit mAb (top panels). Transfections were confirmed using EGF Receptor (D38B1) XP® Rabbit mAb #4267 (lower left), HER2/ErbB2 (D8F12) XP® Rabbit mAb #4290 (lower middle) and HER4/ErbB4 (111B2) Rabbit mAb #4795 (lower right).
Immunohistochemistry Image 4: HER3/ErbB3 (D22C5) Rabbit Monoclonal Antibody
Orders: 877-616-CELL (2355) [email protected] Support: 877-678-TECH (8324) [email protected] Web: cellsignal.com
For Research Use Only. Not for Use in Diagnostic Procedures.

Revision 7

Cell Signaling Technology Logo
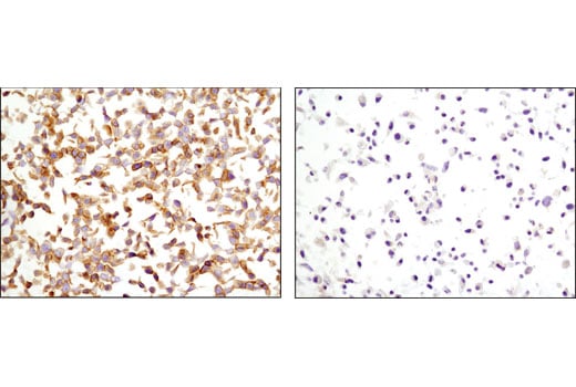
Immunohistochemical analysis of paraffin-embedded MCF7 (left) or MDA-MB-231 (right) cell pellets using HER3/ErbB3 (D22C5) XP® Rabbit mAb.
Immunohistochemistry Image 5: HER3/ErbB3 (D22C5) Rabbit Monoclonal Antibody
Confocal immunofluorescent analysis of MCF7 cells (HER3+, left) and MDA-MB-231 cells (HER-, right) using HER3/ErbB3 (D22C5) XP® Rabbit mAb (green). Blue pseudocolor= DRAQ5® #4084 (fluorescent DNA dye).
Immunofluorescence Image 1: HER3/ErbB3 (D22C5) Rabbit Monoclonal Antibody
Flow cytometric analysis of MDA-MB-231 cells (blue, negative) and T-47D cells (green, positive) using HER3/ErbB3 (D22C5) XP® Rabbit mAb (solid lines) or concentration-matched Rabbit (DA1E) mAb IgG XP® Isotype Control #3900 (dashed lines). Anti-rabbit IgG (H+L), F(ab')2 Fragment (Alexa Fluor® 647 Conjugate) #4414 was used as a secondary antibody.
Flow Cytometry Image 1: HER3/ErbB3 (D22C5) Rabbit Monoclonal Antibody
Orders: 877-616-CELL (2355) [email protected] Support: 877-678-TECH (8324) [email protected] Web: cellsignal.com
For Research Use Only. Not for Use in Diagnostic Procedures.