Revision 5

#11988

Store at -20C

CST Logo
Orders:

877-616-CELL (2355)

[email protected]

Support:

877-678-TECH (8324)

3 Trask Lane | Danvers | Massachusetts | 01923 | USA

For Research Use Only. Not for Use in Diagnostic Procedures.

Applications:
W, IP, IHC-P

Reactivity:
H M R Mk

Sensitivity:
Endogenous

MW (kDa):
30

Source/Isotype:
Rabbit IgG

UniProt ID:
#Q14469

Entrez-Gene Id:
3280

Product Usage Information

Application Dilution
Western Blotting 1:1000
Immunoprecipitation 1:200
Immunohistochemistry (Paraffin) 1:3200 - 1:12800

Storage

Supplied in 10 mM sodium HEPES (pH 7.5), 150 mM NaCl, 100 µg/ml BSA, 50% glycerol and less than 0.02% sodium azide. Store at –20°C. Do not aliquot the antibody.

For a carrier free (BSA and azide free) version of this product see product #33699.

Specificity/Sensitivity

HES1 (D6P2U) Rabbit Monoclonal Antibody recognizes endogenous levels of total HES1 protein.

Source / Purification

Monoclonal antibody is produced by immunizing animals with recombinant protein specific to human HES1 protein. The epitope has been mapped to residues surrounding Ala230.

Background

HES1 (Hairy and Enhancer of Split 1) is one of seven members of the HES family of basic helix-loop-helix (bHLH) transcription factors which function primarily to repress transcription of bHLH-dependent genes (1). HES1 is understood to play an important conserved role in maintaining pluripotency of embryonic and adult stem/progenitor cells via the transcriptional repression of genes that promote differentiation (1,2). HES1 is particularly well known as a repressive mediator of the canonical Notch signaling pathway (3). HES1 plays a key role in mediating Notch-dependent T cell lineage commitment (4), and has been reported to be an essential mediator of Notch-induced T cell acute lymphoblastic leukemia (T-ALL) (4,5). HES1 is also reported to mediate Notch-induced repression of differentiation in a number of cancer cell types. A conditional deletion of HES1 from intestinal tumor cells in APC-mutant mice reduced tumor cell proliferation, while promoting differentiation toward epithelial lineages (6). Overexpression of HES1 in a human osteosarcoma (OS) cell line was shown to repress expression of the Notch antagonist Dtx1, leading to increased OS cell invasiveness (7). Other genes subject to transcriptional repression by HES1 include Neurogenin-2, Math1/Atoh1 and the NOTCH ligands DLL1 and Jagged1 (6,8,9).

Species Reactivity

Species reactivity is determined by testing in at least one approved application (e.g., western blot).

Western Blot Buffer

IMPORTANT: For western blots, incubate membrane with diluted primary antibody in 5% w/v BSA, 1X TBS, 0.1% Tween® 20 at 4°C with gentle shaking, overnight.

Applications Key

W: Western Blotting IP: Immunoprecipitation IHC-P: Immunohistochemistry (Paraffin)

Cross-Reactivity Key

H: Human M: Mouse R: Rat Mk: Monkey

Trademarks and Patents

Cell Signaling Technology is a trademark of Cell Signaling Technology, Inc.

All other trademarks are the property of their respective owners. Visit cellsignal.com/trademarks for more information.

Limited Uses

Except as otherwise expressly agreed in a writing signed by a legally authorized representative of CST, the following terms apply to Products provided by CST, its affiliates or its distributors. Any Customer's terms and conditions that are in addition to, or different from, those contained herein, unless separately accepted in writing by a legally authorized representative of CST, are rejected and are of no force or effect.

Products are labeled with For Research Use Only or a similar labeling statement and have not been approved, cleared, or licensed by the FDA or other regulatory foreign or domestic entity, for any purpose. Customer shall not use any Product for any diagnostic or therapeutic purpose, or otherwise in any manner that conflicts with its labeling statement. Products sold or licensed by CST are provided for Customer as the end-user and solely for research and development uses. Any use of Product for diagnostic, prophylactic or therapeutic purposes, or any purchase of Product for resale (alone or as a component) or other commercial purpose, requires a separate license from CST. Customer shall (a) not sell, license, loan, donate or otherwise transfer or make available any Product to any third party, whether alone or in combination with other materials, or use the Products to manufacture any commercial products, (b) not copy, modify, reverse engineer, decompile, disassemble or otherwise attempt to discover the underlying structure or technology of the Products, or use the Products for the purpose of developing any products or services that would compete with CST products or services, (c) not alter or remove from the Products any trademarks, trade names, logos, patent or copyright notices or markings, (d) use the Products solely in accordance with CST Product Terms of Sale and any applicable documentation, and (e) comply with any license, terms of service or similar agreement with respect to any third party products or services used by Customer in connection with the Products.

Orders: 877-616-CELL (2355) [email protected] Support: 877-678-TECH (8324) [email protected] Web: cellsignal.com
For Research Use Only. Not for Use in Diagnostic Procedures.

Revision 5

Cell Signaling Technology Logo
Western blot analysis of extracts from various cell lines using HES1 (D6P2U) Rabbit mAb.
Western Blotting Image 1: HES1 (D6P2U) Rabbit Monoclonal Antibody
Immunohistochemical analysis of paraffin-embedded human lung carcinoma using HES1 (D6P2U) Rabbit mAb.
Immunohistochemistry Image 1: HES1 (D6P2U) Rabbit Monoclonal Antibody
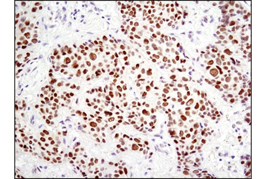
Immunohistochemical analysis of paraffin-embedded human breast carcinoma using HES1 (D6P2U) Rabbit mAb.
Immunohistochemistry Image 2: HES1 (D6P2U) Rabbit Monoclonal Antibody
Orders: 877-616-CELL (2355) [email protected] Support: 877-678-TECH (8324) [email protected] Web: cellsignal.com
For Research Use Only. Not for Use in Diagnostic Procedures.

Revision 5

Cell Signaling Technology Logo
Immunohistochemical analysis of paraffin-embedded CUTLL1 cell pellets, control (left) or Compound E-treated (right), using HES1 (D6P2U) Rabbit mAb.
Immunohistochemistry Image 3: HES1 (D6P2U) Rabbit Monoclonal Antibody
Orders: 877-616-CELL (2355) [email protected] Support: 877-678-TECH (8324) [email protected] Web: cellsignal.com
For Research Use Only. Not for Use in Diagnostic Procedures.